Search Dental Tribune

Digitální versus konvenční přístup v estetické stomatologii

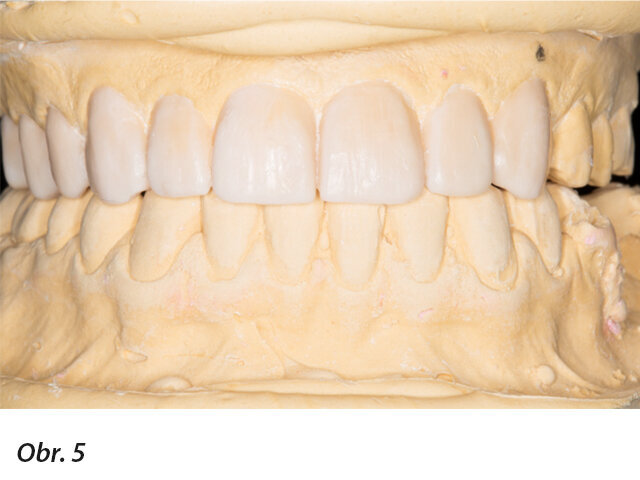
Finální analogové keramické náhrady (Fotografie: Dr. Florin Lăzărescu)
Dr. Florin Lăzărescu

Dr. Florin Lăzărescu

Po. 25 května 2020

uložit

Digitální technologie jsou již masivně přítomny v každodenní práci zubních lékařů, a to i v případech kdy je digitální část práce vykonána zubní laboratoří používající CAD/CAM technologii. Často se v dnešní době ptáme sami sebe, kterou techniku bychom my, jako zubní lékaři měli používat – měli bychom věřit jen novým digitálním řešením nebo se raději držet konvenčních, analogových technik? V tomto článku hledám odpověď na tuto otázku pomocí prezentace případu, kdy byl proveden jak digitální, tak analogový potup ošetření.

Každý zubní lékař používá konvenční otiskovací materiály. Používáme je, protože prošly testem času a zdají se být předvídatelné. Proto se mnoho z nás ptá, zda je digitální skenování spolehlivé a pokud ano, jaký skener zvolit. Moji kolegové z University Iuliu Hatirganu of Medecine and Pharmacy v Cluj-Napoca v Rumunsku provedli výzkum přesnosti různých skenerů a frézovacích přístrojů. Hodnotili je jednotlivě a v kombinaci (jak kombinace produktů od jednotlivých výrobců, tak i kombinace produktů různých výrobců, viz tabulky 1–5).1

Jejich výzkum odhalil, že medián přesnosti byl 78,40 μm u kompletních ordinačních systémů, 76,04 μm u aditivních CAD/CAM systémů a 60,46 μm u laboratorních CAD/CAM systémů. Při kombinaci skenerů a fréz rozdílných výrobců byl medián přesnosti u laboratorních systémů 49,85 μm, zatímco u kompletních ordinačních systémů byla přesnost 78,32 μm a u laboratorních systémů od jednoho výrobce 60,46 μm. Výsledky tohoto výzkumu ukazují, že přesnost je velmi dobrá a nezáleží na tom, který systém použijete. CAD/CAM technologie je spolehlivá a můžeme se o ni opřít při každodenní práci.

Kazuistika

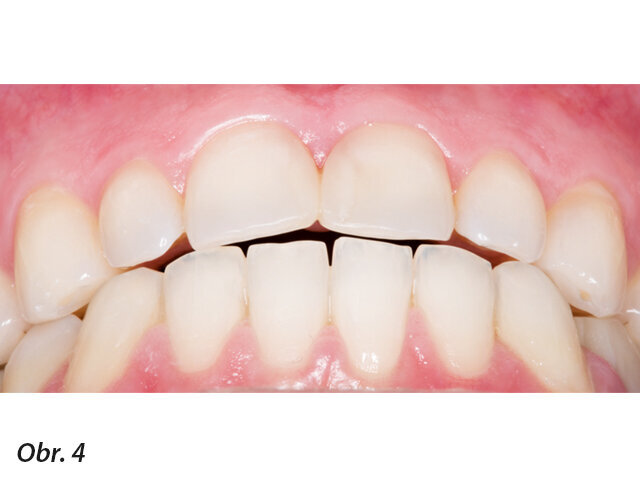
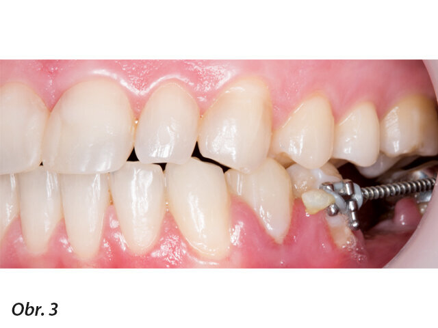
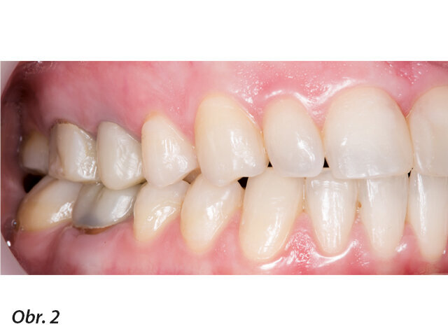
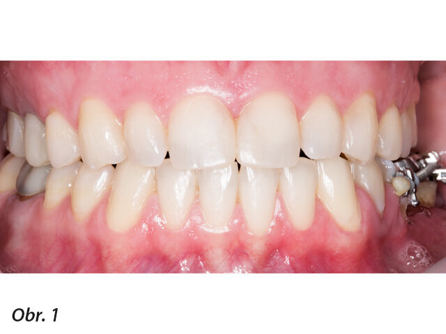
Pacientka, 32 let, navštívila naši kliniku s žádostí o zlepšení estetiky svého úsměvu. Po analýze úvodní situace (obr. 1–4), jsme doporučili fazety na zuby 14 až 23 a keramické korunky na zuby 15 a 16. K optimalizaci finálního výsledku bylo rozhodnuto, že se budou při ošetření používat jak analogové, tak digitální postupy.

Konvenční „analogový“ postup

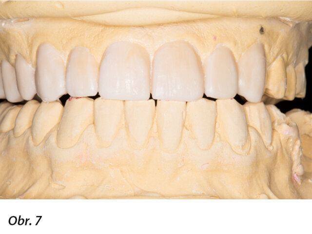
Začali jsme s otisky situace klasickými otiskovacími materiály. Dále byla zhotovena registrace obličejovým obloukem a odeslána do zubní laboratoře spolu s otisky. Zubní technik poté připravil wax-up a analyzoval jej v artikulátoru (okluze a funkční pohyby, obr. 5–7). Prvním důležitým pozorováním byla v tomto případě vzdálenost překusu. Abychom dosáhli perfektního skusu, doporučil jsem oboustranné fazety (bukální i palatinální) na zuby 12 až 22. Analogový přístup umožňuje výrobu oboustranných fazet a je to běžná procedura, ale digitální přístup s CAD/CAM ordinačním systémem toto řešení neumožňuje nebo jej činí komplikovaným – je nutné dvojí skenování a podruhé je nutno skenovat až po fixaci jedné strany fazet – buď palatinálních nebo bukálních.

 

Zaujala vás ukázka článku?

Celý článek můžete prostudovat v příslušném vydání časopisu Digital CZ/SK 1/2020
stáhněte jej ve formátu PDF

 

Dr. Florin Lăzărescu vlastní soukromou praxi v Bukurešti v Rumunsku a ve své práci se soustředí na estetickou medicínu s důrazem na celokeramické práce a práce na implantátech. Je autorem mnoha publikací v zubním lékařství a je editorem a přispívajícím autorem rumunské knihy Comprehensive Esthetic Dentistry (Quintessence, 2015). Je hlavním editorem Dental Tribune Romanian Edition. Dr. Lăzărescu je prezident European Society of Cosmetic Dentistry a zakládající člen a ředitel Society od Esthetic Dentistry v Rumunsku.

Štítky:
To post a reply please login or register
advertisement
advertisement