Search Dental Tribune

Plně digitální Pro Arch protokol

Pro Arch protokol (Fotografie: Dr. Luis Cuadrado de Vicente)
Dr. Luis Cuadrado de Vicente a kol.

Dr. Luis Cuadrado de Vicente a kol.

Út. 23 dubna 2019

uložit

Pro Arch od společnosti Straumann je koncept, který zahrnuje různá léčebná řešení pro zcela bezzubého pacienta. Cílem je poskytnout předvídatelnou, reprodukovatelnou a co nejjednodušší léčbu, která obnoví orální zdraví pacientů a následně dramaticky zlepší kvalitu jejich života. Možnost okamžité rehabilitace ve stejný den pomocí provizorní náhrady nabízí maximální kvalitu léčby a spokojenost pro dentální tým i pro pacienta. Cílem ošetření s okamžitě zatíženou fixní náhradou nesenou implantáty je zlepšit pacientovu kvalitu života tím, že poskytuje funkci a estetiku ještě před dosažením plné oseointegrace implantátů.

Díky plně digitálnímu pracovnímu postupu, který začíná použitím intraorálního skeneru, je pracovní tým schopen nabídnout přesné individuální ošetření. Kompletně digitální postup ošetření – od digitálního otisku až po konečnou protézu, může být považován za novou formu implantologie, při níž jsou různé prvky léčby optimalizovány pro vysokou úroveň výsledku v rámci moderní stomatologie.

S ohledem na tento cíl jsme v centu i2 Implantología (Madrid, Španělsko) vyvinuli řadu řešení a protokolů pokrývajících různé klinické situace u plně bezzubých pacientů a založili jsme je na klasických implantologických principech s cílem získat předvídatelné a reprodukovatelné výsledky s použitím intraorálního skeneru jako stěžejního prvku. Naše protokoly zahrnují použití určitých prvků (adekvátní implantační systém, Osstell, atd.) a zevrubné protokoly pro skenování, chirurgické a protetické procedury a laboratorní práce, včetně výroby a údržby provizorních náhrad.

V níže uvedeném případě uvádíme protokol i2 Standard. Tento protokol může být aplikován u pacientů, kteří vyžadují odstranění terminální dentice. Ve výsledku to zahrnuje extrakce vybraných zubů, zavedení implantátů, intraorální digitální otisky, návrh a výrobu provizorní náhrady z PMMA s jejím odevzdáním pacientovi ve stejný den.

Je důležité poznamenat, že náš plně digitální protokol pro dosažení finální náhrady je založen, pokud je to zapotřebí, na vytvoření různých po sobě následujících dočasných náhrad, dokud není dosaženo oseointegrace. Iniciální návrh upravíme (a vytvoříme další provizoria) vždy plně digitálním postupem, abychom získali konečný návrh provizorní náhrady, která splňuje funkční a estetické parametry pacienta. Informace poskytnuté tímto finálním návrhem budou zkopírovány do konečného protetického návrhu. Vyškolený dentální tým, klinika a laboratoř jsou stěžejní podmínkou.

Iniciální situace
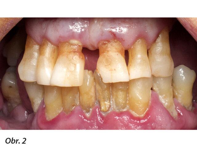
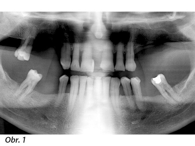
68letý pacient, bez lékařsky relevantní anamnézy a se zoufalým stavem chrupu, k nám byl delegován svým parodontologem. Byly pořízeny panoramatické CT snímky, na základě kterých jsme vyhodnotili dostupnost, dispozice a hustotu kostí (obr. 1 a 2). Po projednání různých možností léčby a s ohledem na celkovou klinickou, sociální a finanční situaci pacienta byla implantologická léčba s fixní dlouhodobě provizorní náhradou ve stejný den první volbou jak pro stomatologický tým, tak pro pacienta.

Plánování léčby
Cílem bylo okamžitě zatížit implantáty šroubovanou provizorní náhradou. Aby toho bylo dosaženo, byly naplánovány strategické extrakce při dočasném zachování některých zubů jako klíčových prvků, které při intraorálním skenování determinují pacientovu estetiku, výšku skusu a protetický oblouk. Rozhodli jsme se provést minimálně invazivní chirurgii s technikou flapless tam, kde to je možné, aby se zabránilo tomu, že by mobilizované tkáně mohly ovlivnit intraorální skenování. Pro rekonstrukci bylo naplánováno zavedení šesti implantátů Straumann Bone Level Tapered, Roxolid, SLActive se šroubovanými abutmenty (SRA).

Chirurgická fáze
Před zahájením operace byl proveden intraorální sken k zaznamenání výchozí situace a odeslán do laboratoře jako pacientův původní stav (soubor 1). Tento soubor obsahoval všechny informace týkající se předoperační situace pacienta, včetně zubů, estetiky, výšky skusu a okluze (obr. 3). Operace byla prováděna v lokální anestezii a také s pomocí vědomé intravenózní sedace midazolamem za dohledu anesteziologa a monitoringu pacienta pulzní oxymetrií.

 

Zaujala vás ukázka článku?

Celý článek můžete prostudovat v příslušném vydání časopisu Implants CZ/SK 1/2019
stáhněte jej ve formátu PDF

 

 

Dr. Luis Cuadrado de Vicente je plastický, rekonstrukční a estetický chirurg. Je ředitelem klinického výcvikového centra i2 Implantología a postgraduálního vzdělávacího programu v oboru implantologie na Universidad a Distancia de Madrid ve Španělsku. Je členem Akademie osseointegrace, Evropské asociace pro osseointegraci, Sociedad Española de Implantes (Španělská společnost pro implantologii), Sociedad Española de Cirugía Bucal (Španělská společnost orální chirurgie), Sociedad Española de Cirugía Plástica, Reparadora y Estética (Španělská společnost plastické, rekonstrukční a estetické chirurgie), Mezinárodního týmu pro implantologii a 3Shape World Advisory Board. Prezentoval se na více než 200 národních a mezinárodních kurzech a konferencích a napsal více než 100 vědeckých článků. Provozuje praxi zaměřenou na orální implantologii a extraorální a rekonstrukční chirurgii.

Dr. Andrea Sánchez Becerra získala titul z oboru stomatologie z Universidad del Zulia ve Venezuele a získala titul v klinické implantologii na Universidad a Distancia de Madrid (Španělsko). Je to specialistka na 3Shape TRIOS 3 a Design Studio na i2 Implantología, stejně jako podpůrná technická specialistka a trenérka obchodního oddělení v GO3D.

Dr. Cristina Cuadrado Canals má diplom v oboru stomatologie a magisterského studia v oboru pokročilé orální implantologie, oba z Universidad Europea de Madrid (Španělsko). Je spoluautorkou několika článků o implantační stomatologii, protetice a ústní chirurgii. Vyučuje klinickou implantologii na Universidad a Distancia de Madrid.

 

 

Štítky:
advertisement
advertisement