Všichni zubní lékaři mají jako součást svého instrumentária artikulační papíry, s jejichž pomocí provádí úpravy na okluzi. Často ale ani neznáme drobné rozdíly mezi řadou papírů a existujícími produkty. Účelem tohoto článku je doporučit malé množství dobře navržených produktů od jednoho dobře známého výrobce, které vám umožní poskytovat při posuzování a úpravách kontaktů na okluzi velmi vysoký standard stomatologické péče.
Klinické tipy
Značky pomocí fólie Shimstock
8 mm široká páska BK38 Arti-Fol® z nepotažené kovové fólie Shimstock (12µ) je moderní testovací fólií vyrobenou z kovu s polyesterovou vrstvou. Je antistatická a lze ji snadno podržet koncem kleští typu Miller. Fólie je extrémně odolná vůči roztržení a používá se k testování odolnosti, např. vytvoření značek pomocí fólie Shimstock před provedením jakéhokoli ošetření.
Před preparací zubů (nebo zubů) vždy zaznamenejte značku pomocí fólie Shimstock. Pak dbejte, aby byl vztah při nasazení provizorní náhrady obnoven. Totéž platí i při posuzování náhrady vyrobené v laboratoři na hlavním modelu (ve vztahu s protikusem) a po nacementování náhrady do úst. Vytvoření si jednoduché značky pomocí fólie Shimstock (na zubech, které se nebudou preparovat) je zárukou úspory času, přesnosti a minimálních úprav okluzních plošek na hotových náhradách vyrobených v laboratoři.
Registrace skusu a značky pomocí fólie Shimstock
Vynikajícím tipem je podržet fólii Shimstock při registraci skusu mezi laterálními zuby (tam, kde byla značka). Jak materiál na registraci skusu (např. Luxabite od DMG) tuhne, provádí se za účelem kontroly jisté přesnosti skusového registrátu test odolnosti. Ten lze poté zaznamenat pro zubního technika.
Pomoc stomatologického asistenta
Nechte svého stomatologického asistenta pomoci podržením dvou artikulačních kleští vždy oboustranně, i při použití gázy (k vysušení okluzních plošek), osoušení vzduchem ze stříkačky „tři v jednom“ a odsávání slin, které zajistí suché pracovní pole a maximální efektivitu při kontrole značek. Zubní lékař se pak může soustředit na jemnější úpravy pomocí vysokorychlostní frézky a vyhnout se častému přerušování úprav. Celý proces tak bude efektivnější a rovněž snazší pro pacienta.
„Dvoufázový systém artikulace“
Doporučuji dělat první značky kontaktů na okluzi pomocí papíru BK 51(Progress 100 modrý papír (100μ)). Tento papír je doporučován k počátečnímu posouzení artikulačních vztahů především u fixních náhrad. Je to papír vyztužený hladkými vlákny s progresivním přenosem barvy. Díky vazebnému prostředku transculase® vytváří značky dobře i na vlhkém povrchu. Papír vytváří značky také na náročném povrchu, jakým jsou korunky vyleštěné do vysokého lesku.
Je lepší používat dvoje artikulační kleště umístěné oboustranně. Tento papír je silnější a jeho jednostranné použití nemusí být ideální kvůli nerovnováze, kterou vytváří v okluzním systému (včetně TMK).
Po tomto papíru následuje použití červeného kovového papíru BK 31 Arti-Fol® (12μ), který zřetelně označí střed příslušných modrých značek. Červené značky pak budou přesnými místy, která se mají při okluzálních úpravách odstranit. Proto je obvykle vidět modrá větší zóna se zřetelným přechodem mezi a červenou značku uprostřed.
Papír BK 31 poskytuje jedinečnou kombinaci moderní kovové fólie (fólie Shimstock 12µ) a oboustranný barevný potah s mikro-jemnými barevnými pigmenty, které umožňují zřetelně viditelné označení všech kontaktních bodů na okluzi. Papír označí rovněž vlhký povrch okluze.
Úpravy okluzální dlahy
Kovový černý/červený papír BK 28 Arti-Fol® (12μ) je díky schopnosti označit středové i mimostředné pozice dvěma různými barvami ideální pro úpravy okluzálních dlah.
Těsné mezizubní kontakty
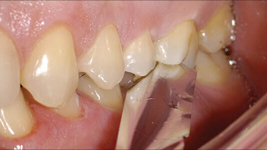
Široká kovová červená (jednostranná) fólie BK 35 Arti-Fol® 8 mm s vrstvou Shimstock (12μ) je užitečná pro kontrolu aproximálních bodů kontaktu při nasazování můstků, korunek nebo fazet. Protože je rub fólie kovový, je zřejmé, která strana je potažena barvivem a která ne.
Artikulační kleště
Existují dvoje různé artikulační kleště, které jsou vhodné pro každodenní práci: kleště na artikulační papír BK 132 a kleště BK 145 Arti-Fol. První zmíněné jsou vysoce kvalitní kleště s výborným upevněním papíru a schopností na konci díky silnému sevření pevně držet 8 mm fólii Shimstock. Druhé zmíněné kleště jsou na držení 8 mm testovací fólie BK 35 při posuzování aproximálních kontaktních zón.
Já mám obvykle na každém pracovním zásobníku připravené dvoje kleště BK 132 s papírem Progress 100 a rovněž dvoje kleště s červeným papírem BK 31. Ačkoli to vede k vyšším počátečním výdajům za artikulační kleště, zjistil jsem, že to šetří čas a náklady se v dlouhodobém horizontu vrátí.
Artikulační papír pro kontrolu kontaktů u snímatelných náhrad
Jedním z nejlepších papírů pro kontrolu okluze u snímatelných náhrad je artikulační papír BK 81 Bausch microthin (60μ), který je tenký a odolný vůči roztržení a je potažen z obou stran tekutými barvami. Papír je také k dostání ve tvaru podkovy. Tento papír je užitečný k označování celkových snímatelných náhrad – dvě barvy je možné použít ke středovým i mimostředným značkám.
Artikulační papíry ve tvaru podkovy jsou také obzvláště užitečné u pacientů, kteří mají sklon díky nižší odolnosti skousnout během testu okluze jednostranně.
Zubní lékař tak může ihned zjistit upřednostňovanou stranu úst. Symetrické označení všech kontaktů je žádoucí především při kontrole okluzních vztahů celkových snímatelných náhrad, které jsou primárně zhotovovány podle konceptu oboustranně vyvážené okluze.
Značky v celém zubním oblouku jsou také zásadní i při úpravách okluzních aparátů. V tomto ohledu poskytují papíry ve tvaru podkovy vítanou úlevu, zejména při kontrole okluzních kontaktů na vlhkém umělém povrchu.
Kontrola dosednutí korunek a spon snímatelných náhrad
Já používám indikátor BK 86 Arti-Spot® Highspot-Indicator (červený), který je kontaktním barvivem pro kontrolu přesnosti dosednutí korunek, inlejí, onlejí, teleskopických korunek a spon. Nanáší se na kontrolovaný povrch štětečkem. Rozpouštědlo během několika sekund vyprchá a zůstane tenká vrstva silná 3 µm. Každý kontakt naruší barvu přesně v bodě kontaktu. Podkladový materiál pak prosvítá a lze tak snadno zjistit vysoká místa.
Arti-Spot® se po použití snadno odstraňuje. Zbytky barviva spolehlivě odstraní horká voda, mechanické otření (např. zubním kartáčkem nebo nití), alkohol, izopropyl alkohol a horká pára. Jemným štětečkem lze odstranit také značky na sádrových modelech.
Kontrola obroušení v oblasti okluze během preparace zubu
Pásky Fleximeter-Strip (BK 253) jsou pro zubní lékaře i techniky užitečnou inovací. Tyto pásky jsou pružnými měřicími nástroji ve třech různých tloušťkách. Jsou velmi užitečné k posuzování prostoru v oblasti okluze při preparaci laterálních zubů pro korunku nebo můstek. Navíc je možné potřít jednu stranu pásku Fleximeter-Strip barvivem Arti-Spot® a umístit tuto obarvenou stranu proti preparovanému zubu. Pacient je pak požádán, aby skousl nahoru a dolů. Tam, kde je nedostatek prostoru, se okluzální oblast preparovaného zubu označí červeně a je ji pak možné přesně upravit. Sílu pásků Fleximeter-Strip 1,0 mm, 1,5 mm a 2,0 mm je také možné použít ke zvětšení vertikálního rozměru (výšky skusu). Pásky jsou vyrobeny ze speciální silikonové gumy, kterou lze sterilizovat při teplotě až 200 °C.
Použití T-Scan
T-Scan je softwarový systém pro počítačový záznam okluze. Jeho použití ve spojení s „dvoufázovým artikulačním systémem“ okluzálních značek je nejpřesnějším způsobem provádění úprav a vyrovnávání okluze.
Shrnutí
Seznámení se s provedením a rozdíly mezi artikulačními papíry umožňuje zubnímu lékaři vytvářet na okluzi přesné a správné značky. To pak pomůže provedení přesnějších úprav, než „pouhému dohánění modrých značek“.
Kompletní článek v PDF naleznete zde »
Při každodenní tvorbě fixních řešení se zubní technik setkává se spoustou technologických omezení, které jeho snahu o estetické řešení ...
Poslední vývoj v oblasti kompozitních materiálů a vazebných technologií umožnil jejich běžné ...
Průměrná délka života lidské populace se již mnoho let prodlužuje, což má za následek nárůst počtu pacientů, u nichž se objevují různé ...
KRIENS, Švýcarsko: Stomatologičtí odborníci hrají důležitou roli nejen pokud jde o zdraví dutiny ústní, ale i celkový stav pohody. To dodává ...
Při léčbě příznaků pocházejících z poruch temporomandibulárního kloubu (TMK) a okluze bylo ...
PRAHA/ČESKÁ REPUBLIKA: Česká společnost pro implantologii při Stomatologické klinice 3. LF UK a FN KV v Praze v rámci ...
V posledním desetiletí byly vyvinuty a rozvíjely se nové CAD/CAM (Computer Aided Design/Computer Aided Manufacturing) systémy a materiály pro výrobu ...
Během krátké doby se z RECIPROC® stal celosvětově velice úspěšný systém pro preparaci kořenového ...
Dvě lahvičky pro jeden protokol pro jakoukoli proceduru – KaVo Kerr představuje snadno zopakovatelné výsledky při jakémkoli scénáři použití s ...
Bohužel je až příliš časté, že je v již existujících nebo nově projektovaných zubních ordinacích věnována jen velmi malá pozornost ...
Živý webinář
Po. 11 května 2026
6:00 (CET) Prague
Živý webinář
Po. 11 května 2026
7:00 (CET) Prague
Živý webinář
Út. 12 května 2026
7:00 (CET) Prague
Živý webinář
Čt. 14 května 2026
6:00 (CET) Prague
Živý webinář
Čt. 14 května 2026
8:00 (CET) Prague
Prof. Hani Ounsi DDS PhD FICD
Živý webinář
Út. 19 května 2026
5:00 (CET) Prague
Živý webinář
Út. 19 května 2026
7:00 (CET) Prague
Prof. Dr. med. dent. Ivo Krejci
To post a reply please login or register