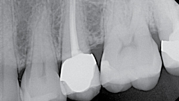
Pacient, jehož snímek je na obrázku 1, byl odkázán na endodontistu, protože prvnímu lékaři se nepodařilo lokalizovat kořenové kanálky.
Pacient, jehož snímek je na obrázku 1, byl odkázán na endodontistu, protože prvnímu lékaři se nepodařilo lokalizovat kořenové kanálky.
Pacient trpěl bolestmi zubu 25 při žvýkání a mírnou spontánní bolestí, což vedlo před postoupením případu specialistům k diagnóze nevitální dřeně. Lékař před odesláním pacienta zub otevřel, aniž by lokalizoval kanálek. Poté pacienta předal specialistům. Tato kazuistika se zabývá klinickými nálezy, postupem a potenciálními komplikacemi ošetření případu z pohledu plánování ošetření a pojednává o klinickém postupu a použitých materiálech.
Po předání specialistům byl pacient asymptomatický a bez otoků. Zub byl mírně citlivý na poklep, vyšetření pohmatem, pohyblivost a vyšetření sondou bylo v normě. Z rentgenového snímku byly na zubu 25 zřejmé otevřené okraje korunky a kalcifikované kanálky.
Rizikové faktory při endodontickém ošetření zubu 25: V případě, že by se trepanační vstup v korunkové části odklonil od apikální linie, je u zubu 25 mírné riziko cervikální perforace. Dokud nebudou kanálky lokalizovány, je nutné vynaložit veškeré úsilí na to, aby byl dentin odstraňován ve směru skutečného kanálku.
Odstranění příliš velkého množství dentinu v cervikální oblasti zubu by mohlo, kromě rizika perforace, narušit strukturu korunkové části zubu natolik, že by byla náchylná k prasknutí v koronální a nakonec i kořenové oblasti.
Před zahájením ošetření by zde mělo být určeno hlavní apikální zúžení a hlavní apikální průměr – bylo předpokládáno hlavní apikální zúžení .08 a apikální průměr pro hrot typu ISO #40 nebo možná #50.
Pokud je trepanační otvor příliš široký, může být ohrožena rezistence keramického pláště korunky – na rtg snímku je patrné, že zub 25 je opatřen metalokeramickou korunkou.
Z důvodu získání větší optické a taktilní kontroly při endodontickém ošetření je nezbytné použití vizualizace a zvětšení. Optimální je chirurgický operační mikroskop (SOM) (Global Surgical, St. Louis, Mo.). U tohoto případu bude vhodnou alternativou lupa 4,8x Class IV HiRes Plus s osvětlením (Orascoptic, Middleton, Wis.).
embedImagecenter("Imagecenter_1_323",323, "large");
Obr. 1: Klinický případ (zub 25) před zákrokem praktického zubního lékaře
Obr. 2: Klinický případ po zákroku specializovaných zubních lékařů
Obr. 3, 4: Případ po zákroku
Obr. 5: Lupa Orascoptic, 4.8x HiRes Class IV (Orascoptic, Middleton, Wis.)
Obr. 6: Chirurgický operační mikroskop (SOM) (Global Surgical, St. Louis, Mo.)
Obr. 7: Twisted Files (TF) (.12/25, .10/25, .08/25, .06/25), (SybronEndo, Orange, Calif.)
Obr. 8: Sada malých kořenových nástrojů (25/.08/23 mm, 30/.06/23 mm, 35/.06/23 mm) (SybronEndo, Orange, Calif.)
Obr. 9: Stříkačka Skiny s hrotem Navi (Ultradent, South Jordana, Utah)
Obr. 10: Obturátory RealSeal One Bonded Obturators (SybronEndo, Orange, Calif.)
Vyčerpávající pojednání o použití SOM nebo lupy není v možnostech tohoto článku, je ale třeba zmínit, že po vyjmutí provizorní výplně je možné vyhodnotit strukturu a barvu dentinu, podle čehož lze určit správný směr preparace do ústí kořenového kanálku. Velice důležitá je hloubka odstranění dentinu při zákroku. Postoupí-li lékař při zavádění kořenového nástroje o 7 až 8 mm a nelokalizuje kanálek, je velice pravděpodobné, že se od linie kanálku odklonil a riziko perforace je velmi vysoké.
Jakmile je kanálek lokalizován a jeho rozšiřování je vedeno špatným směrem, čelí lékař riziku zablokování kanálku. Pronikače (.12, .10 nebo .08) nebo vrtáčky Gates Glidden (jako první kořenové nástroje) jsou kontraindikovány, protože při jejich použití by mohlo snadno dojít k zablokování kanálku dentinem nebo úlomky dřeně.
Daleko vhodnější a velice důležité je věnovat čas práci s malými ručními K-file kořenovými nástroji a kanálek pročistit od ústí k apexu. Před použitím RNT kořenových nástrojů je nutné upravit počáteční rozměr kanálku z #6 na #15. U tohoto klinického případu byly lokalizovány dva kanálky a byl zaveden zahnutý ruční K-file kořenový nástroj #6 natolik, až hmatatelně zarazil v malém zúžení foramen apicale (MC). Poté byl ke zjištění skutečné pracovní délky kanálku (TWL) použit elektronický apexlokátor, potvrdila se délka naměřená jako rozdíl mezi zavedením prvního RNT kořenového nástroje do apexu a zavedením posledního RNT kořenového nástroje do apexu.
Systém RNT použitý u tohoto klinického případu byl Twisted File* (SybronEndo, Orange, CA, USA). Břity na TF se vyrábí kroucením nikl-titanu ve fázi rhomohedrického krystalického uspořádání. Trojhranný průřez nástroje dosažený speciální výrobou umožňuje vytvořit s pomocí TF. 08 zúžení v takovém kořeni, jako je u zubu 13. Takto preparované zúžení je větší než zúžení dosažené běžnými RNT kořenovými nástroji, které se vyrábí broušením. Díky technologii kroucení nikl-titanu v R fázi a trojhrannému tvaru průřezu vznikají přizpůsobivé a vysoce účinné nástroje. U tohoto klinického případu nástroj TF.08 dosáhl apexu zhruba po 4 zavedeních.
Poté co TF.08/25 dosáhl apexu, byly do rozdvojené apikální části kanálku zavedeny TF.06/30/35 a .04/40 – každá velikost jedenkrát. Kónické kořenové nástroje TF.06 a .04 snadno dosáhly apexu, protože dentin probrousily pouze svým hrotem.
Po dokončení přípravy byl kořenový systém zubu 25 zaplněn materiálem RealSeal* pomocí techniky SystemB využívající Elements Obturation Unit*. Byl použit hlavní konus .06/20. 3 mm od hrotu .06/20 je hlavní konus zhruba .38 mm. Hlavní konus .06/20 byl zredukován o 3 mm a byla vytvořena zarážka. Stříkačkou Skiny s hroty Navi (Ultradent, South Jordan, Utah) byl do kanálku aplikován RealSeal.
Zaplnění kanálku bylo u tohoto případu možné snadno zajistit materiálem RealSeal One Bonded Obturators (Sybron Endo, Orange, Calif.)*, verze vycházející z RealSeal. RS1 má konusové .04 RealSeal obturátory, které se injekčně formují přes polysulfonové nosiče ve hrotu o velikosti 20-90. Ve studiích in vitro a in vivo bylo prokázáno, že RealSeal vytváří statisticky významnou bariéru proti mikroskopickým netěsnostem, přisuzovaným gutaperčovým čepům.
Na žádost předávajícího lékaře byla na zubu zhotovena provizorní výplň. Na dno dřeňové dutiny byla nanesena vrstva zatékavého kompozita Permaflo Purple (Ultradent, South Jordan, Utah), které má chránit vstup do kanálku, dokud nebude na zub zhotovena výplň definitivní.
Po přizpůsobení konusu a obturaci skončilo rozpínání sealeru. Rozpínání sealeru je známkou toho, že byla v průběhu celého ošetření udržena průchodnost apexu. I když to není známka prvotřídního ošetření, značí to, že vyčištění a vytvarování odpovídá cílům tvarování kanálku, a že Foramen Apicale byl udržen ve své původní velikosti a pozici, a současně byla zachována původní pozice kanálku.
Klinický postup kalcifikovaného horního premoláru je detailní. Aby nedošlo k iatrogenním příhodám, byl důraz kladen na plánování zákroku. Zub byl do hlavního apikálního konusu .08 a hlavního apikálního průměru #40 vytvarován pomocí Twisted Files – čtyř kořenových nástrojů a při zhruba sedmi úplných zavedeních do každého kanálku.
Obliterace pulpy kanálku (Pulp Canal Obliteration – PCO) nebo kalcifikující metamorfóza je některými autory považována za odpověď pulpy na ...
Dosažení dostatečné dezinfekce systému kořenových kanálků je proces, který vyžaduje mnoho kroků. Mezi těmito kroky hraje klíčovou roli ...
Stomatologie je pestrý, neustále se rozšiřující obor. Již dávno není v silách praktického zubního lékaře zvládat špičkově všechna její ...
Skupina bioaktivních hydraulických cementů, známých nejčastěji jako MTA (Mineral Trioxide Aggregate) po prvním komerčně připraveném preparátu, ...
Leicester, UK: V březnu 2005, 38letý britský voják umístěný v Německu ztratil schopnost vytvářet si ...
LONDÝN, Anglie: Průměrný člověk vnímá zubního lékaře většinou jako poměrně neškodnou osobu. Ať už pacient pociťuje jakékoliv obavy a ...
Fyziologické přechodné diastema v horní čelisti je pozorováno u dětí během erupce horních špičáků – po jejich prořezání se diastema v 96 ...
ESPOO, Finsko: Před zaváděním implantátu musí zubní lékaři nejprve lokalizovat mandibulární kanálek, což se obvykle dělá s pomocí CBCT ...
LOS ANGELES, USA: Kalifornští vědci nedávno pracovali na drobném, ale silném spojenci, který by pomohl zabránit infekci po ošetření kořenových ...
Během jednotlivých procedur se hromadí chyby. To je důvod, proč je špatně vytvořený přístupový otvor na ...
Živý webinář
Čt. 30 dubna 2026
1:00 (CET) Prague
Dr. Renato Leonardo D.M.D.
Živý webinář
Čt. 30 dubna 2026
7:00 (CET) Prague
Živý webinář
Ne. 3 května 2026
6:00 (CET) Prague
Dr. Rickard Brånemark MSc, MD, PhD, Dr. Robert Gottlander DDS
Živý webinář
Po. 4 května 2026
2:00 (CET) Prague
Živý webinář
Út. 5 května 2026
4:00 (CET) Prague
Živý webinář
Út. 5 května 2026
6:00 (CET) Prague
Živý webinář
Út. 5 května 2026
7:00 (CET) Prague
Dr. Maximilian Dobbertin M.Sc
To post a reply please login or register