Úspěšná terapie je, když jsou plnicí materiály schopny pevně utěsnit prostor kořenových kanálků, a to i v případě více výstupů (Fotografie: autoři článku)
Dosažení dostatečné dezinfekce systému kořenových kanálků je proces, který vyžaduje mnoho kroků. Mezi těmito kroky hraje klíčovou roli výplach, který pomáhá mechanickým nástrojům odstranit zbytky pulpy, pilin a smear layer ze stěn kořenových kanálků. Samotný mechanický nástroj nemůže odstranit všechny bakterie ze systému kořenových kanálků a výzkum publikovaný v literatuře ukázal, že neošetřené oblasti kanálků mohou u každého individuálního kanálku dosahovat cca 10 až 50 %. Tyto oblasti mohou ukrývat zbytky pulpy a bakterií a tím ohrožovat výsledek endodontického ošetření a vést k apikální periodontitis. Výplach kořenových kanálků tedy zásadním způsobem zvyšuje účinek mechanické instrumentace v odstranění bakterií, pulpální tkáně, smear layer a pilin ze systému kořenových kanálků, a tím snižuje riziko poléčebného onemocnění (post-treatment disease).
Chlornan sodný má antimikrobiální účinek a rozpouští tkáň, ale míra jeho účinnosti odstraňování bakterií závisí na mnoha faktorech, mezi kterými hraje důležitou roli to, zda pronikne celou délkou kanálku, a také výměna tekutin v prostoru kanálku. Anatomie kořenových kanálků, systém aplikace výplachu, hloubka umístění, vlastnosti roztoku a jeho objem ovlivňují jeho výplachové působení. Anatomická komplexita zubů byla široce zkoumána v literatuře a systém kořenových kanálků byl obzvlášť zajímavý s ohledem na variabilitu jeho anatomie (obr. 1).
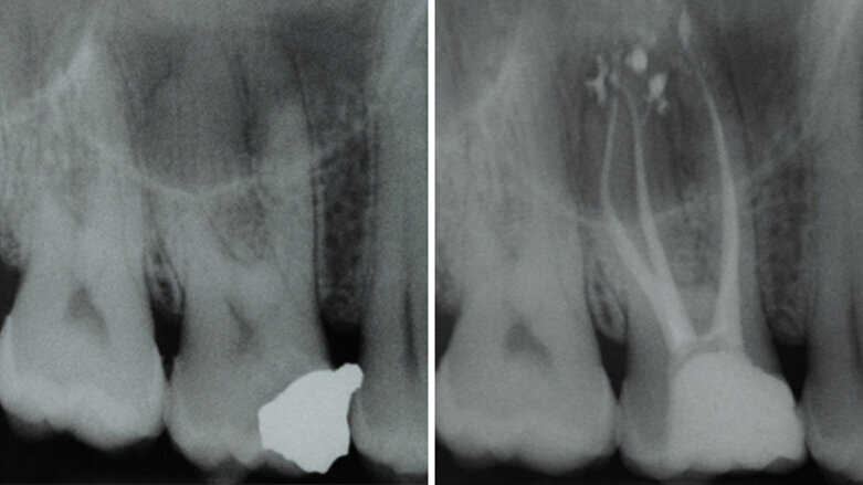
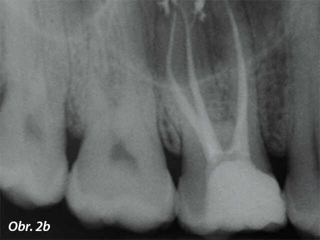
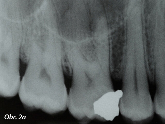
In vitro a ex vivo studie ukázaly přítomnost bakterií v dentinových tubulech a cementu i po endodontickém ošetření, což zdůrazňuje, že cíl absolutní dezinfekce kanálku není pravděpodobně dosažitelný pouhým čištěním a opracováním.Plnění opracovaného kořenového kanálku je následným krokem v endodontické terapii a slouží jako prevence bakteriální reinfekce zubu a periapexu. Většina obturačních systémů v endodontické terapii je složena ze základního materiálu a sealeru. Sealer by měl nejen vyplnit mezery mezi základním materiálem a stěnou kořenového kanálku, ale také povrchové nerovnosti systému kořenových kanálků (jako jsou laterální kanálky a isthmy), aby bylo dosaženo pevného utěsnění (obr. 2a, b).K překonání problému bakteriální persistence v systému kořenových kanálků byly postupně vyvíjeny a uváděny na trh materiály s antibakteriálními vlastnostmi. Antibakteriální povaha sealeru je cenná kvůli vyššímu procentu fakultativních anaerobů v případech selhání léčby kořenových kanálků. Objevilo se několik sealerů na bázi pryskyřic a MTA, u kterých výrobci tvrdili, že mají schopnost zničit bakterie ponechané v dentinu kořenových kanálků, avšak literatura ukázala, že antimikrobiální sealery (především sealery na bázi pryskyřice) jsou efektivnější, když jsou čerstvě namíchány, a jejich aktivita se snižuje po ztuhnutí,a tedy se na ně nelze spoléhat v prevenci reinfekce v průběhu delšího období.
Komplexnost systémů kořenových kanálků ukazuje na oblasti, které nemohou být dosaženy mechanickou preparací
Úspěšná terapie je, když jsou plnicí materiály schopny pevně utěsnit prostor kořenových kanálků, a to i v případě více výstupů
Úspěšná terapie je, když jsou plnicí materiály schopny pevně utěsnit prostor kořenových kanálků, a to i v případě více výstupů
Zahnuté kanálky jsou náročné na opracování, vyčištění a plnění
Zahnuté kanálky jsou náročné na opracování, vyčištění a plnění
Příznačný design s kontralaterálními postranními vývody napomáhá k bezpečnosti a efektivitě
Flexibilní konec vylepšuje ergonomii výplachu a umožňuje oplach kanálkového systému u zubů se složitou anatomií
Flexibilní konec vylepšuje ergonomii výplachu a umožňuje oplach kanálkového systému u zubů se složitou anatomií
Flexibilní konec vylepšuje ergonomii výplachu a umožňuje oplach kanálkového systému u zubů se složitou anatomií
Ocelové jehly se mohou zablokovat o externí stěny kanálku, což snižuje efektivitu výplachu
Jehly ze 4% měkkého polypropylenu mohou jednoduše dosáhnout pracovní délky
Dosažení co nejlepšího opracování a vyčištění systému kořenových kanálků je náročnější v případech léčby zahnutých kanálků. Jejich anatomie může představovat problém pro průnik nástrojů a může snížit jejich efektivitu. Vývoj nástrojů používaných na tvarování systému kanálků přinesl s příchodem strojových nikltitanových (NiTi) nástrojů vylepšení v dosažení čistoty stěn kořenových kanálků oproti manuálním nástrojům, avšak vysoké procento povrchů kanálků zůstává stále nedotčeno.Mechanické opracování navíc není schopno odstranit všechen smear layer na povrchu stěn kořene, a to především v apikální třetině nebo u případů se složitou anatomií (obr. 3a–d).
Srovnávací studie Li a kol. jasně uvádí, jak je důležité si uvědomit, že žádný plnicí materiál nebo technika nemůže kompenzovat nevhodnou asepsi a dezinfekční postupy.Z tohoto důvodu musí být dosažení dobré dezinfekce systému kořenových kanálků hlavním cílem zubních lékařů, a to především u zahnutých kanálků.
Anatomie zubů způsobuje, že opracování kanálků může být velmi nevypočitatelné a mechanickou preparací nelze dosáhnout všech oblastí kořene. Také výplachy mohou jen obtížně penetrovat do úzkých prostor a obtíže s dosažením nejapikálnějších oblastí kanálku velkými objemy výplachu mohou vyústit v nižší výkon během čištění.Nejčastější metodou k umístění výplachového roztoku do opracovaného kanálku, která odpovídá všeobecným doporučením k maximalizaci výplachové efektivity a vyhnutí se přetlačení výplachu do periapikálních tkání, je pomocí stříkačky a jehly.Většina výplachových jehel je vyráběna z oceli a tento materiál není schopen přizpůsobit se anatomii kořenového kanálku, obzvlášť v přítomnosti jeho ohybů. Následně se tedy jehla zastaví o jednu ze stěn kanálku, což snižuje míru čerstvého výplachu, který dosáhne apikální třetiny a zvyšuje střihové napětí na stěnu kanálku.
Pro endodontické výplachy může být prospěšné použití 5ml stříkaček s Luer lock koncovkami, které mohou pomoci lékaři pracovat bezpečněji a s konstantním průtokem.Volba jehly je funkcí průměru kořenového kanálku: jehla musí být umístěna do vzdálenosti 1 mm od pracovní délky, ale nemá se dotýkat stěn kořenového kanálku (aby se snížilo riziko přetlačení).Doporučované průměry jehel pro endodoncii jsou od 27G do 30G. Jsou dostatečně tenké, aby mohly být zavedeny do kořenového kanálku a umožňují průtok výplachu mezi 0,19 ml/s do 0,09 m/s a tím i lepší výměnu roztoku a účinnější čištění.
Jehly by měly být navrženy se specifickými konci, které mohou být s šikmo zaříznutým nebo s bočním vývodem. Tyto tvary většinou zajišťují laminárně vedené proudění výplachového roztoku a umožňují bezpečné umístění hrotu do apikální třetiny, zatímco roztok může téci směrem ke koronální části kořene.Je třeba vzít v potaz, že čím násilnější je proud, tím větší je riziko přetlačení pilin do periapikálních tkání, a že jehly s otevřeným koncem vytlačují více produktu než jehly s bočním vývodem.Je třeba také zmínit, že čím dále je jehla od pracovní délky, tím nižší je průtok.
Hrubost stěn neovlivňuje laminární proudění ve střední a koronální třetině kanálků, zvyšuje však odpor, pokud je průtok turbulentní, což mění vzor průtoku. Síla střihového napětí na stěnu kanálku se snižuje s oddalováním jehly od pracovní délky, ale zvětšuje se oblast zasažená vyšším střihovým napětím. Tato oblast obklopuje hrot jehly s bočním vývodem a maximální střihové napětí je koncentrováno na stěnu přivrácenou k vývodu jehly, zatímco při použití otevřené ploché jehly je vysoké napětí koncentrováno apikálně. Tlak vyvinutý v apikálním foramen je větší u plochých jehel, než u jehel s bočním vývodem ve stejné hloubce.
Další bod, který je potřeba vzít v potaz je, že výplachový roztok musí být vyměněn, aby si zachoval svou účinnost, a tedy musí být ustavena dostatečná míra průtoku v kořenovém kanálku. K dosažení tohoto cíle je nejlepší vytvořit turbulentní proudění a tím efektivní výměnu výplachu.Jednoduchým způsobem, jak vytvořit turbulentní proudění výplachu uvnitř kořenových kanálků, je pomocí techniky push-pull, kdy se střídá pozitivní a negativní tlak na píst stříkačky, což napomáhá vytvořit turbulenci, která podporuje výměnu výplachu.
Bylo dokázáno, že pouhé vstříknutí výplachu pomocí stříkačky do kořenového kanálku není dostatečné k dosažení dobré dezinfekce,protože výměna výplachu za hrotem jehly je u konvenční jehly limitována. Vzduch uvězněný v apikální části kořenového kanálku během výplachu (vapour lock efekt) může také snížit výměnu výplachu v této oblasti a tím i efektivitu výplachu.Z tohoto důvodu literatura popisuje nutnost aktivace výplachového roztoku. Zahnuté kanálky představují výzvu pro působení výplachu, protože průnik roztoku není tak efektivní jako u rovných kanálků. Z tohoto důvodu je doporučeno výplach aktivovat, abychom dosáhli lepšího vyčištění těchto oblastí.Dle Cunninghama a Josepha,a také dle Basrani a Haapasala,způsobí zvýšení teploty roztoku nad 37 °C vyšší antimikrobiální aktivitu chlornanu sodného. Teplota výplachu může být zvýšena předehřátím nebo aktivací.
Technologické pokroky ovlivnily aktivaci roztoků a obzvláště pak u závěrečného výplachu před plněním. Dostupné techniky zahrnují ultrazvukovou aktivaci, sonickou aktivaci a přímo určené přístroje, které generují negativní tlak mikrokanylou zasunutou na pracovní délku, což usnadňuje apikální tok výplachu.Zdá se, že ultrazvuková aktivace výplachu je nejvíce prozkoumanou a používanou metodou k dosažení tohoto cíle, protože zvyšuje teplotu roztoku a vytvářením turbulence zlepšuje i čisticí účinek v apikální třetině o 5 % a vytváří kontinuální výměnu roztoku.
Technologie také vylepšila mikroinjekční techniky. Například polymerní jehly (např. IrriFlex, Produits Dentaires) byly vyvinuty tak, aby byly schopny garantovat jak bezpečnost, tak účinnost čištění kořenových kanálků díky svému inovativnímu designu s kontralaterálními postranními vývody, které vylepšují dynamiku tekutiny v kanálcích (obr. 4).
Zubní lékaři potřebují, aby čištění bylo účinné, a to obzvláště při závěrečném výplachu systému kořenových kanálků, u kterých je přítomna složitá anatomie (obr. 5a–c). Jak bylo již dříve popsáno, ocelové jehly mají významné nevýhody u zahnutých kanálků, protože mají tendenci se zablokovat o externí stěny kanálků (obr. 6). Oproti tomu použití 30G měkké polypropylenové jehly umožňuje lepší flexibilitu ve srovnání s ocelí nebo i NiTi, a lze pak následovat anatomii kořene až po pracovní délku (obr. 7). Technologické pokroky nám pomáhají k dosažení lepšího čištění systému kořenových kanálků, což zajišťuje bezpečné a účinné působení výplachových roztoků.
Článek byl publikován v časopisu Roots 2/2019.
Dr. Francesca Ceruttipromovala na University of Brescia v Itálii v roce 2007. V roce 2013 získala titul PhD. v inženýrských materiálech na University of Brescia a v roce 2016 dokončila magisterský titul v estetické medicíně. Spolupracuje s prof. Dino Re na University of Milan v Itálii, kde také provádí svůj klinický výzkum a od roku 2018 je zde i hostující profesorkou. Je členkou italské společnosti pro endodoncii. Je stříbrnou členkou Style Italiano Endodontics.