Search Dental Tribune

Indikační šíře MTA: Soubor kazuistik

Ilustrační fotografie (MUDr. Daniel Černý, Ph.D.)
MUDr. Daniel Černý, Ph.D.

MUDr. Daniel Černý, Ph.D.

Po. 24 září 2018

uložit

Skupina bioaktivních hydraulických cementů, známých nejčastěji jako MTA (Mineral Trioxide Aggregate) po prvním komerčně připraveném preparátu, představuje dnes již nedílnou součást práce endodontisty. Těžko si lze dnes představit provádění řady zákroků na vitálním endodontu nebo mutilovaném nevitálním zubu bez použití MTA nebo jiného produktu z této skupiny.

Duchovním otcem a držitelem patentu je prof. Mahmoud Torabinejad, který získal inspiraci pozorováním svého otce, který jako stavař pracoval s Portlandským cementem. První publikace o MTA byla publikována již v roce 1993 (Lee et al.) 1 a po splnění kritérií FDA (Federal Drug Administration) byl v roce 1997 na trh uveden první produkt – ProRoot MTA (Tulsa Dental, USA), dodnes známý jako „šedé“ MTA. Byly již publikovány tisíce vědeckých prací, které analyzují a hodnotí laboratorní i klinické vlastnosti tohoto materiálu a prof. Torabinejad se přes svou skromnost stal nejcitovanějším autorem v endodoncii a obdržel prakticky všechna vyznamenání, která AAE (Americal Association of Endodontics) uděluje.

Protože se jedná o velmi komplexní strukturu, kde reaguje celá řada součástí, je popis chování preparátu a jeho fyzikálních i chemických vlastností stále předmětem zájmu řady vědců a pracovišť.

Dnes existují vedle původního preparátu desítky dalších, které se výhodné biologické vlastnosti snaží doplnit o řešení některých dobře známých neduhů MTA – pomalé tuhnutí, zbarvování tvrdých zubních tkání, neobvyklá aplikace.

Vedle původní cementové konzistence se dnes značně rozšiřuje použití endodontických sealerů na stejné bázi. Jejich užívání ale dosud nemáme zdokumentováno v dostatečně dlouhé době pro vytváření jednoznačných klinických závěrů.

Jedním z prvních textů popisujících šíři možností využití MTA byl text Torabinejada a Chiviana.

K rozvíjení poznatků o vlastnostech MTA mohou přispívat svými kazuistikami také lékaři, kteří nejsou primárně akademickými pracovníky, ale svou klinickou zkušeností mohou analyzovat a sdílet svá pozorování. Následující text prezentuje několik kazuistik úspěšného použití MTA v různých indikacích.

Kazuistiky

Jednotlivé případy byly sdruženy do skupin podle hlavní diagnózy. Ale jde čistě o snahu vytvořit několik skupin pro snazší orientaci v textu. Skupiny by mohly být tvořeny též podle druhu poškození, náročnosti řešení nebo i předpokladu doby působení. Je pravděpodobné, že indikační šíře použití MTA není konečná a v čase budeme vidět její další rozšíření.

  1. Primárně otevřený apex
  2. Sekundárně otevřený apex
  3. Defekt penetrující do vitální pulpy
  4. Vnitřní resorpce
  5. Iatrogenní subgingivální perforace
  6. Vertikální fraktura
  7. Retrográdní výplň

Podle období byly v popisovaných případech používány preparáty ProRoot White MTA (Tulsa Dental, USA) a Angelus MTA (Angelus, Brazílie). Ve všech případech byl použit při aplikaci operační mikroskop, ale u řady z nich by operatér stejně dobře vystačil s lupovými brýlemi s dobrým světlem.

Pokud je ošetření zakončeno fixní protetickou prací, byla provedena v rámci stejného pracoviště dr. Radkem Mounajjedem nebo dr. Markem Sobotkou.

U každého typu ošetření je též určena prognostická šance na úspěch. 0–20 % nedostatečný, 20–40 % dostatečný, 40–60 % dobrý, 60–80 % velmi dobrý, 80–100 % výborný. V tomto hodnocení vycházím z vlastního pozorování při ošetřování pomocí MTA.

Primárně otevřený apex

Zuby s nedokončeným vývojem jsou obecně velkou výzvou zejména u dětí, kde jejich ztráta není ihned kompenzovatelná implantátem. Obecně existují 2 varianty tohoto stavu – s vitální a nekrotickou pulpou. MTA se uplatňuje u všech variant ošetření takových zubů.

 

Případ 1 – Nekrotická pulpa, apexifikace

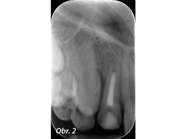
Prvním možným řešením je umístění MTA přímo do dekontaminovaného apexu zubu. U kratších rovných kořenů jde se správným instrumentáriem o poměrně snadný výkon. V případě 12letého chlapce referovaného po fraktuře zubu šlo ale o postranní řezák 12 s výrazným apikálním zahnutím, kam bylo s rigidní zahnutou koncovkou tzv. „MTA gun“ v roce 2011 nemožné aplikovat dostatečně hluboko. V dnešní době s flexibilními koncovkami MAP systému by zřejmě tento problém neexistoval. Přestože nebyl zub zcela zaplněn, předchozí dekontaminace a potentní dětská tkáň zajistily, že se veškerý zbývající prostor kořene vyplnil zřejmě dentinoidní tkání. Zub byl opatřen adhezivní dostavbou s FRC čepem a pryskyřičnou korunkou. (Obr. 1–3)

Popsané řešení má výbornou prognózu.

Případ 2 – Nekrotická pulpa, revaskularizace

V mnoha kazuistikách a různých variacích klinického protokolu je diskutována procedura nazývaná revaskularizace nebo revitalizace. 7, 8 V hrubém principu jde o eliminaci infekčního obsahu kořenového systému zubu s nedokončeným vývojem kořene a následná snaha vytvořit stabilní krevní sraženinu, která organizuje a přivede do kořene zpět cévní zásobení a novotvořenou tkáň s cílem dokončit vývoj kořene a změnit tak nevýhodnou morfologii pro mechanickou stabilitu i standardní endodontické ošetření. Vlastní zkušenosti s touto procedurou čítají 8 případů se 100% přežitím zubu, ale pouze 50% úspěšností změny kořenové morfologie. Prognózu tedy hodnotím jako dobrou.

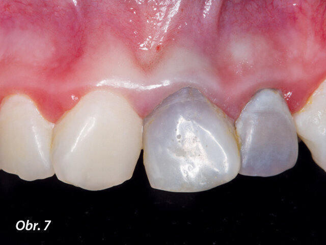
U pacienta v 10 letech byla pro úrazovou ztrátu vitality provedena revaskularizace na zubu 22. Po 2týdenní aplikaci kombinace antibiotik do prostoru pouze chemicky dekontaminovaného kořene byl po vyvolání krvácení aplikován prostředek PRGF a kořen uzavřen pomocí MTA. Zub byl rekonstruován kompozitem. Na kontrole po 5 letech je viditelně zvětšený objem tkáně kořene a absence projasnění. (Obr. 4–6)

Častou komplikací (téměř inherentní součástí) tohoto ošetření je zbarvení korunek ošetřených zubů, které je následně po vytvoření kořenové tkáně nutno řešit vnitřním bělením (obr. 7).

 

Zaujala vás ukázka článku?

Celý článek můžete prostudovat v příslušném vydání časopisu Roots
stáhněte jej ve formátu PDF

 

MUDr. Daniel Černý, Ph.D.
získal titul MUDr. (obor stomatologie) v roce 1998 na Univerzitě Karlově, Lékařská fakulta Hradec Králové.
1. atestaci ze stomatologie obdržel v roce 2001 na Stomatologické klinice v Hradci Králové. Titul Ph.D. obhájil na Univerzitě Palackého v Olomouci v roce 2018.

Od roku 1998 do 2007 působil na Stomatologické klinice v Hradci Králové na oddělení záchovné stomatologie a endodoncie a zúčastnil se příprav curricula oboru „Zubní lékařství“. Od roku 2001 dodnes pracuje na soukromé stomatologické klinice DCM v Hradci Králové na pozici specialisty pro endodoncii. Svou praxi limituje na práce záchovného zubního lékařství a endodoncie.

Od roku 2015 je prezidentem České endodontické společnosti. Je spoluzakladatelem a byl prvním prezidentem České akademie dentální estetiky (2007–2009).

Je spoluvlastníkem Hradeckého dentálního vzdělávacího insitutu (od 2010). Je spoluzakladatelem kongresu Dental Summit.

Během své praxe publikuje v odborných časopisech v ČR i zahraničí. Je spoluautorem 4 kapitol v odborných učebnicích. Za uplynulých 15 let přednášel více než 300 příspěvků na kongresech, celodenních přednášek či praktických kurzů v ČR i zahraničí.

Štítky:
advertisement
advertisement