Před více než 20 lety popsali jako první Torabinejad a spol. (1993) nový kořenový výplňový materiál nazvaný Mineral trioxide aggregate (MTA). MTA vykazoval in vitro lepší těsnicí vlastnosti než amalgám nebo cement Super EBA při použití v apikální části. Později některé in vivo a in vitro studie demonstrovaly více možností využití MTA. Překrytí pulpy, apexifikace, perforace kořene a apikální plnění jsou běžně popisovány jako klinické postupy, kdy je třeba řešit komunikaci mezi kořenovým systémem a vnějším povrchem zubu. První aplikace MTA byly řešeny pomocí plastových nebo kovových špachtlí (Torabinejad a Chivian, 1999). Bohužel tímto způsobem nebyla zajištěna správná aplikace.
Produits Dentaires proto představil univerzální aplikační systém pro klinické a chirurgické aplikace MTA. Tento Micro-Apical Placement (MAP) systém nabízí různé způsoby aplikace pro každou klinickou situaci. Intro Kit a Universal Kit jsou určeny pro ortográdní plnění a Surgical Kit pro retrográdní plnění. Koncovku NiTi Memory Shape lze předtvarovat do jakéhokoliv požadovaného zakřivení. Po sterilizaci v autoklávu se koncovka vrátí do svého původního tvaru. Použitím MAP Systému se aplikace MTA stává snadnou pro každého zubního lékaře.
V kombinaci s MAP Systémem nabízí Produit Dentaires také bílé MTA, které je speciálně určeno pro aplikaci pomocí MAP Systému. Je mnoho indikací pro použití PD MTA White a aplikace pomocí MAP Systému je snadná v každé situaci.
Překrytí pulpy
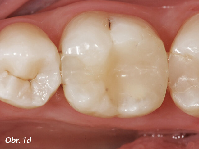
V posledních letech se stala populární terapie zachování vitální pulpy. Běžným materiálem pro překrytí pulpy byl hydroxid vápenatý, ale MTA vykazuje lepší výsledky v biokompatibilitě a úspěšnosti (Aguilar a Linsuwanont 2011). Případy s rozsáhlým kariézním nálezem mohou být úspěšně ošetřeny částečnou pulpotomií a překrytím MTA, což zachová pulpu vitální (obr. 1a–e).
Apexifikace
Aby se zabránilo přetlačení výplňového materiálu u zubů s nedokončeným vývojem, používá se MTA jako apikální zátka. Výsledky mnoha studií ukazují, že MTA podporuje tvorbu tvrdých tkání více a je spojeno s menším počtem zánětlivých reakcí než jiné testované materiály (Simon a spol. 2007) (obr. 2a–g).
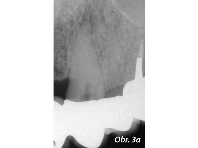
Kořenové perforace
Perforace v dřeňové dutině nebo kořenovém kanálku významně mění prognózu zubu. Oprava perforace pomocí biokompatibilního těsnicího materiálu jako je MTA může ohrožené zuby ušetřit (Mente a spol. 2014) (obr. 3a–e).
Apikální chirurgie
MTA má nejpříznivější výsledky jako materiál pro apikální chirurgii. Signifikantně vykazuje méně zánětlivých reakcí, podporuje tvorbu terciálního cementu a regeneraci periapikálních tkání (Torabinejad a Chivian 1999) (obr. 4a–f).
Aplikace MTA s MAP systémem a PD MTA White
Postoperační RTG zobrazující překrytí pulpy s MTA
Endodonticky ošetřený zub s píštělí
Po reendodoncii se ukázal otevřený apex
Aplikace PD MTA White s MAP systémem
Kondenzace MTA papírovým čepem
Postoperační RTG ukazuje výplň MTA a rekonstrukci se světlovodným čepem
Radiolucence v krčkové části špičáku
Aplikace PD MAP White pomocí MAP systému
Původní stav se zaplněnou perforací
Postoperační RTG se zaplněným kanálkem
Předoperační RTG s velkým periradikulárním nálezem a periapikální chirurgie
Aplikace PD MAP White pomocí MAP systému a kondenzace MTA pluggerem
Pohled přes zrcátko - MTA výplň v apikální části a postoperační RTG s apikální výplní
Dr. Mauro Amato
Provádí výuku a výzkum na University of Basel, oddělení parodontologie, endodoncie a kariologie, Švýcarsko. Dr. Amato je členem výboru Švýcarské společnosti pro endodontologii. Můžete jej kontaktovat na adrese mauro.amato@unibas.ch.
Štítky:
Nová generace vyplachovacích jehel navržená a vyrobená švýcarskou endodontickou společností PD (Produits Dentaires SA) umožňuje účinnější ...
WARDHA, Indie: Zatímco většina zubních lékařů je již obeznámena s možnostmi 3D tisku při výrobě modelů, aparátů, chirurgických šablon a ...
LEIPZIG, Německo: Změna klimatu způsobená vlivy člověka – jako jsou odpadky a nadměrná spotřeba biologicky nerozložitelných odpadů – je ...
Není žádným tajemstvím, že motivace dětí k čištění zubů je všeobecně velice malá ...
Existuje mnoho technik, které zjednodušují každodenní práci. Příkladem jsou intraorální, extraorální a obličejové skenery, CBCT ...
Augmentační materiál ve formě granulátu je nutno dobře stabilizovat a materiál Geistlich Mucograft je možno kombinovat se „strip štěpem“ ...
V době, kdy byla zubním lékařům představena výpočetní tomografie využívající kuželovitý paprsek záření (Cone Beam CT, CBCT), vstoupila v ...
INNOVA: V klinické praxi se často setkáváme se zvýšenou citlivostí zubů a jedná se o jedno z nejčetnějších nekariézních onemocnění ...
Skupina bioaktivních hydraulických cementů, známých nejčastěji jako MTA (Mineral Trioxide Aggregate) po prvním komerčně připraveném preparátu, ...
Periimplantitida je jednou z výzev medicíny 21. století. Implantologové a parodontologové na celém světě neustále hledají spolehlivá a ...
Živý webinář
Po. 11 května 2026
6:00 (CET) Prague
Živý webinář
Po. 11 května 2026
7:00 (CET) Prague
Živý webinář
Út. 12 května 2026
7:00 (CET) Prague
Živý webinář
Čt. 14 května 2026
6:00 (CET) Prague
Živý webinář
Čt. 14 května 2026
8:00 (CET) Prague
Prof. Hani Ounsi DDS PhD FICD
Živý webinář
Út. 19 května 2026
5:00 (CET) Prague
Živý webinář
Út. 19 května 2026
7:00 (CET) Prague
Prof. Dr. med. dent. Ivo Krejci