Začlenění digitálních pracovních postupů do našich ošetření může přinést řadu výhod, včetně větší přesnosti a kvality výsledků. Stejně zásadní jako realizace komplexního rozhodovacího procesu s cílem definovat naši klinickou strategii a pracovní postup je nicméně i volba správné kvality a designu materiálů.
Následující kazuistika popisuje přeměnu úsměvu u ženy s vysokými estetickými nároky na výsledek ošetření. Požadavky pacientky jsme splnili použitím efektivního protokolu ošetření pro zavádění implantátů, nasazením estetické provizorní náhrady a následně definitivní náhrady za použití implantátů Straumann BLX vyrobených z materiálu Roxolid s povrchovou úpravou SLActive v kombinaci s digitálním pracovním postupem.
58letá zdravá pacientka se dostavila do naší ordinace se stížností na zhoršenou žvýkací funkci na levé straně a požadavkem zlepšit vzhled úsměvu. Pacientka současně vyjádřila přání vyhnout se ve všech fázích ošetření snímatelným náhradám a chtěla být ošetřena minimálně invazivním způsobem, protože měla předchozí nepříjemné zkušenosti se stomatologickými ošetřeními. Extraorální vyšetření zjistilo středně vysokou linii úsměvu a chybějící premoláry a moláry ve druhém kvadrantu (obr. 1).
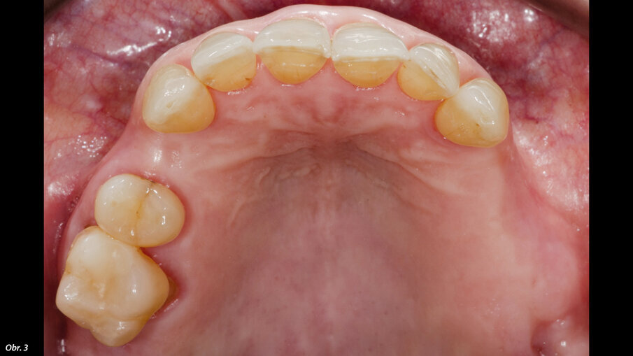
Intraorální vyšetření ukázalo částečně bezzubou horní čelist s chybějícími zuby 17, 14, 24, 25, 26 a 27 a černými trojúhelníčky ve druhém sextantu (obr. 2). Horní čelist vykazovala při okluzálním pohledu modifikaci Applegate I Kennedyho II. třídy se zuby v mírné malpozici (obr. 3). Fotografie ze strany ukázala z hlediska výšky pravděpodobně dostatečné množství kosti (obr. 4). Pohled z levé strany na ústa při skusu ukázal extruzi zubů 34 a 36 (obr. 5).
Za účelem posouzení kvality a množství kosti dostupné pro zavedení implantátů byl pořízen CBCT sken vizualizovaný prostřednictvím softwaru coDiagnostiX (obr. 6). V oblasti zubů 24 až 26 vyšetření zjistilo adekvátní vertikální i horizontální dostupnost kosti.
Plánování ošetření
S ohledem na požadavky pacientky byly cíle ošetření následující:
- Vyhodnotit možnost zavedení dvou implantátů do oblasti zubů 24 a 26 za účelem rekonstrukce formou fixního tříčlenného můstku
- Zvážit možnost okamžitého nasazení provizorní náhrady na implantáty s vysokou mírou estetiky, bude-li dosaženo uspokojivé primární stability
- Zvážit možnost zavedení implantátů s použitím počítačem navigované chirurgie a flapless přístupu, čímž by se snížila invazivita zákroku a zjednodušila protetická fáze
Vzhledem k výše uvedeným zvažovaným cílům byly předloženy a s pacientkou prodiskutovány následující možnosti ošetření v podobě tříčlenného můstku neseného implantáty:
- Zavedení implantátů do oblasti zubů 24 a 26 bez provizorní náhrady během doby hojení. Po oseointegraci implantátů nasazení definitivní náhrady.
- Zavedení implantátů do oblasti zubů 24 a 26 a bude-li stabilita implantátů optimální, tak okamžité nasazení provizorní náhrady. Po oseointegraci implantátů nasazení definitivní náhrady.
- Zavedení implantátů do oblasti zubů 24 a 26 za použití počítačem navigované chirurgie a bude-li stabilita implantátů adekvátní, okamžité nasazení provizorní náhrady. Po oseointegraci implantátů nasazení definitivní náhrady.
Redakční poznámka:
Zaujala vás ukázka článku?
Celý článek můžete prostudovat v příslušném vydání časopisu implants CZ/SK 2022.
Dentální implantáty jsou všeobecně uznávány pro svou úspěšnost při nahrazování chybějících zubů. Účinnost léčby implantáty ovlivňuje ...
Rozhovor s Richardem Doležalem, manažerem systému ConnectDental, o klíčových stránkách plánování,...
Rozhovor s Richardem Janů, odborníkem na sterilizaci a hygienu ze společnosti Henry Schein Dental, o řešení ...
Čas od času je nutné sejmout protetickou práci nacementovanou na jednom nebo více implantátech a ne vždy lze použít ...
Stomatologie je pestrý, neustále se rozšiřující obor. Již dávno není v silách praktického zubního lékaře zvládat špičkově všechna její ...
Fossa submandibularis (SF) je důležitou anatomickou strukturou mandibuly, kde se nachází submandibulární žláza. Ve ...
Pacient, jehož snímek je na obrázku 1, byl odkázán na endodontistu, protože prvnímu lékaři se nepodařilo ...
AARHUS, Dánsko: Ve světě medicíny se kromě každodenních diagnóz vyskytují i skutečné rarity. To platilo pro pacienta na Oddělení ...
Rehabilitace bezzubé horní čelisti pomocí implantátů je náročná, mimo jiné s ohledem na anatomii a kvalitu kosti i design zubní náhrady. Velmi ...
V medicíně je široce přijímáno, že lékařské implantáty a zákroky je nutné v průběhu času revidovat. Například v ortopedické chirurgii se ...
Živý webinář
Po. 11 května 2026
6:00 (CET) Prague
Živý webinář
Po. 11 května 2026
7:00 (CET) Prague
Živý webinář
Út. 12 května 2026
7:00 (CET) Prague
Živý webinář
Čt. 14 května 2026
6:00 (CET) Prague
Živý webinář
Čt. 14 května 2026
8:00 (CET) Prague
Prof. Hani Ounsi DDS PhD FICD
Živý webinář
Út. 19 května 2026
5:00 (CET) Prague
Živý webinář
Út. 19 května 2026
7:00 (CET) Prague
Prof. Dr. med. dent. Ivo Krejci
To post a reply please login or register