Všichni endodontisté vědí, že každý zub je jiný a že je nutné ho léčit s péčí a s důrazem na každý detail. Existuje celá řada studií anatomie kořenového systému, konfigurace vstupů do kanálků i kanálků samotných.1 Řada vědeckých prací diskutuje o přídatných kanálcích v horních prvních premolárech a dolních prvních molárech.
Procento přídatných kořenových kanálků se pohybuje mezi 0 a 6 % u horního prvního moláru a mezi 6 a 23 % u prvního dolního moláru.1, 6 Léčba kořenových kanálků (RCT) těchto zubů je vždy výzvou a vyžaduje znalosti, trpělivost a řadu nástrojů a zařízení.
Případ I: Tříkanálkový horní první premolár
Čtyřiatřicetiletý pacient byl na naši kliniku odeslán s mírnými bolestmi způsobenými chronickou periodontitidou zubu 15. Praktický zubní lékař pacienta odeslal, protože nebyl schopen provést RCT. Situační RTG snímky odhalily tři samostatné kořeny u prvního horního pravého premoláru (Obr. 1a – c). Trepanační otvor byl modifikován vrtáčkem s neaktivní pracovní částí a Start-X ultrazvukovou koncovkou č. 1 (DENTSPLY Maillefer). Zpřístupnění distobukálního kanálku jsem začal nástrojem 10.04 Micro-Opener a ProTaper SX (DENTSPLY Maillefer). Opracování kanálku bylo usnadněno koronárním rozšířením ProTaperem S1, S2 a SX-nástroji. Po potvrzení průchodnosti 08.02 K-filem byla pracovní délka potvrzena elektronickým apexlokátorem (iPex, NSK) a kanálek byl opracován nástroji PathFiles (DENTSPLY Maillerfer) při 250 otáčkách za minutu a maximální torzi.
Všechny kanálky byly opracovány nikltitanovými nástroji ProTaper. Poslední nástroj použitý na pracovní délku byl ProTaper F1. V závěru byl použit nástroj ProTaper F2 pro mesiobukální a distobukální kanálky a ProTaper F3 pro palatinální kanálek. Během RCT byl kořenový systém vyplachován množstvím 5% roztoku hypochloridu sodného, na závěr byl proveden výplach ultrazvukově aktivovaným 40% roztokem kyseliny citronové a 95% etanolem.
Uzávěr kořenového systému byl proveden dle techniky kontinuální kondenzační vlny s Alpha II a Beta zařízením (B&L Biotech; Obr. 2) a vstup do kořenových kanálků byl uzavřen kompozitem Gradia Flow (GC). Po zaplnění kořenových kanálků byly zhotoveny tři rentgenové snímky: jeden v normální angulaci a dva angulované (obr. 3a – c). Rentgeny jasně ukazují komplexnost kořenového systému a 3D obturace. Zub byl postendodonticky zrekonstruován pomocí Miris 2 (Coltène/Whaledent).
Případ II:
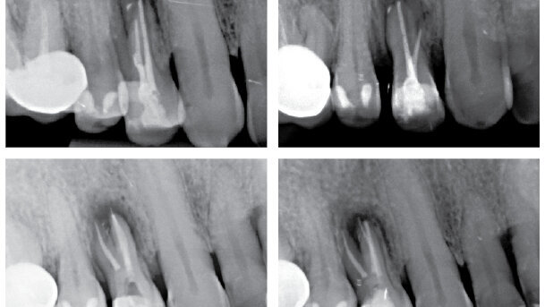
Tříkořenový dolní první molár
Dvaadvacetiletý pacient byl na naši kliniku odeslán z důvodu bolestivosti zubů 45 a 46. Jednalo se o celkově zdravého pacienta s mírnou až akutní bolestivostí zubů na poklep. Odesílající lékař byl znepokojen celkovou anatomií. Po zhotovení preoperativního rentgenového snímku (Obr. 4) byl proveden trepanační otvor pomocí vrtáčku Crown Cutter a vrtáčku s neaktivní pracovní částí (KOMET/Gebr. Brasseler). Očištění kavity bylo provedeno Start-X-ultrazvukovou koncovkou č. 1 a Muellerovým vrtáčkem č. 3 (Mani, Inc.; obr. 5).
Vstupy do kořenových kanálků byly zkalcifikované, přístup byl získán pomocí nástroje ProTaper SX, pracoval jsem kartáčovitým pohybem. Opracování kanálků bylo provedeno 10.02 K-Flexofilem (DENTSPLY Maillefer) za pomocí Glyde Gel (DENTSPLY Maillefer). Průchodnost byla ověřena PathFily a kanálky byly opracovány za použití ProTaper Systému (DENTSPLY Maillerfer). Po apikálním tvarování byly čtyři kanálky opracovány nástrojem ProTaper F3 s irigací 5% hypochloridem sodným. Finální výplach byl proveden ultrazvukově aktivovaným 5% roztokem hypochloridu sodného, 40% roztokem kyseliny citronové a 95% etanolem. Kořenová výplň byla zhotovena pomocí Alpha II a Beta zařízení za použití techniky kontinuální kondenzační vlny a vstup do kořenových kanálků byl uzavřen kompozitem (Gradia Flow; Obr. 6).
Zub byl postendodonticky zrekonstruován pomocí čepu vyztuženého skelnými vlákny a kompozita (Core-X Flow a Ceram-X Duo, DENTSPLY DeTrey) a byl zhotoven pooperační RTG snímek (Obr. 7)
Závěr
Když čelíme takovým výzvám, musíme mít trpělivost a zvědavost, abychom objevili skrytá tajemství kořenového systému. Po vyčištění dřeňové dutiny můžeme postupovat směrem k foramen apicale, abychom docílili endodontického cíle: vyčistit, opracovat a zaplnit 3D prostor kořenového kanálku tak nejlépe, jak můžeme.
Všichni endodontisté vědí, že každý zub je jiný a že je nutné ho léčit s péčí a s ...
Pacient, jehož snímek je na obrázku 1, byl odkázán na endodontistu, protože prvnímu lékaři se nepodařilo ...
Skupina bioaktivních hydraulických cementů, známých nejčastěji jako MTA (Mineral Trioxide Aggregate) po prvním komerčně připraveném preparátu, ...
Stomatologie je pestrý, neustále se rozšiřující obor. Již dávno není v silách praktického zubního lékaře zvládat špičkově všechna její ...
Obliterace pulpy kanálku (Pulp Canal Obliteration – PCO) nebo kalcifikující metamorfóza je některými autory považována za odpověď pulpy na ...
Kapitola z monografie Dentální implantologie
Při doporučování vhodných produktů pro ústní hygienu je nutno vzít v úvahu celou řadu různých aspektů: stav ústní dutiny pacienta, jeho ...
AARHUS, Dánsko: Ve světě medicíny se kromě každodenních diagnóz vyskytují i skutečné rarity. To platilo pro pacienta na Oddělení ...
Cílem zubních techniků je vytvořit náhrady, které jsou v harmonii s okolními přirozenými zuby a pohyby dolní čelisti. Náhrady by se měly do ...
MD Guide nabízí alternativu k výrobě konvenční chirurgické šablony.
Živý webinář
Po. 11 května 2026
6:00 (CET) Prague
Živý webinář
Po. 11 května 2026
7:00 (CET) Prague
Živý webinář
Út. 12 května 2026
7:00 (CET) Prague
Živý webinář
Čt. 14 května 2026
6:00 (CET) Prague
Živý webinář
Čt. 14 května 2026
8:00 (CET) Prague
Prof. Hani Ounsi DDS PhD FICD
Živý webinář
Út. 19 května 2026
5:00 (CET) Prague
Živý webinář
Út. 19 května 2026
7:00 (CET) Prague
Prof. Dr. med. dent. Ivo Krejci
To post a reply please login or register