Search Dental Tribune

Navigovaný endodontický přístup u kalcifikovaných frontálních zubů: Kazuistika

Fotografie: Dr. Hugo Sousa Dias, Dr. Inês Pampulha a Dr. Maria João Valadas
Dr. Hugo Sousa Dias a kol.

Dr. Hugo Sousa Dias a kol.

Po. 15 června 2020

uložit

Obliterace pulpy kanálku (Pulp Canal Obliteration – PCO) nebo kalcifikující metamorfóza je některými autory považována za odpověď pulpy na trauma a je charakterizována depozicí tvrdých tkání do prostoru kořenového kanálku a žlutavým zbarvením klinické korunky.1, 2 Přesný mechanismus obliterace kanálku není dosud znám, ale poškození neurovaskulárního zásobení pulpy v době poranění je jedním z nejvíce akceptovaných vysvětlení. Spouštěčem PCO mohou být různé faktory, jako je zubní trauma (kontuze nebo subluxace), kaz, náhrady korunky, vitální terapie pulpy, ortodontická léčba, okluzální patologie, abfrakce, abraze, ústní zlozvyky a stárnutí jedince.1–4

PCO většinou postihuje frontální zuby mladých dospělých a může způsobit kompletní nebo částečnou obliteraci kořenového kanálku. Začíná v korunce zužováním pulpální dutiny a šíří se apikálně, je doprovázena postupným zmenšováním prostoru kořenového kanálku.5, 6 Kompletní radiografická obliterace pulpálního prostoru nutně neznamená absenci prostoru v kořenovém kanálku. Ve skutečnosti je u většiny z těchto případů přítomna pulpální tkáň, ale citlivost radiologických vyšetření je příliš nízká na to, aby nám umožnila vizualizovat průběh kořenového kanálku.1

Normálně nemá PCO žádné symptomy a může být náhodně objevena kvůli zubní diskoloraci (žluté nebo šedé) během rutinního vyšetření, a to již po 3 měsících od poranění, u většiny případů však zůstává nezjištěna po dobu jednoho roku.1, 3 U případů s PCO byla nekróza pulpy popsána v 1 až 16,5 procentech, a vyvinutí apikální periodontitis bylo odhadováno na 7,3 až 25 procent případů po 4 letech.7

Existuje shoda, že ošetření kořenových kanálků je v případech PCO indikováno pouze tehdy, pokud je diagnostikována irreversibilní pulpitis nebo apikální periodontitis. Taková diagnóza je přítomna u 1 až 27 % zubů s tímto klinickým stavem.4

Hledání kalcifikovaných kořenových kanálků může být náročné a časově vyčerpávající a může způsobit velkou ztrátu tvrdých zubních tkání, která je spojována s vysokým rizikem fraktury a perforace, což ohrožuje prognózu zubu.4, 8 Míra léčebných selhání byla u PCO popsána mezi 20 až 70 % a záleží na klinických zkušenostech lékaře, jeho znalosti anatomie a také informacích dostupných z 2D a 3D radiologických vyšetření.9, 10

V dnešní době zvýšilo používání nových technologií předvídatelnost léčby kalcifikovaných zubů. Zubní operační mikroskop zlepšuje viditelnost pulpální kavity a používání ultrazvukových koncovek umožňuje bezpečnou práci ve větší hloubce systému kořenových kanálků, což může pomoci v identifikaci kořenového kanálku. Počítačová tomografie s kuželovitým paprskem (CBCT) u PCO případů mimořádně pomáhá tím, že umožňuje prohlížení 3D obrázků bez překrývajících struktur, což usnadňuje identifikaci kanálků a jejich anatomie, stupně obstrukce a rozměrů.2, 6, 11

Existuje nový klinický přístup k zubu s PCO nazvaný „navigovaná endodoncie“. Tato technika kombinuje použití naváděcí šablony s CBCT, což usnadňuje nalezení těžce kalcifikovaných kořenových kanálků.2, 4, 6, 8, 11 Tvar šablony je vytvořen na základě anatomie kořenového kanálku a architektury zubu a okolních struktur získaných z CBCT skenů a otiskem nebo intraorálním skenováním.12 Software asociovaný s CBCT daty a 3D intraorálním skenováním, jako je coDiagnostiX (DentalWings) nebo Simplant (Dentsply Sirona), se využívá pro virtuální plánování přístupové kavity.7, 12 Poté je vyrobena 3D virtuální šablona k získání fyzického modelu endodontické šablony, která zajistí orientaci preparačního nástroje do kalcifikovaného kořenového kanálku.7, 12

Navigovaný endodontický přístup u PCO případů frontálních zubů byl již v literatuře popsán jako bezpečná a předvídatelná technika pro minimálně invazivní přístup ke kalcifikovaným kanálkům. Tato technika může pomoci zachovat tvrdé zubní tkáně, vyhnout se technickým chybám a vést ke zlepšení dlouhodobé prognózy.8, 11

Kazuistika

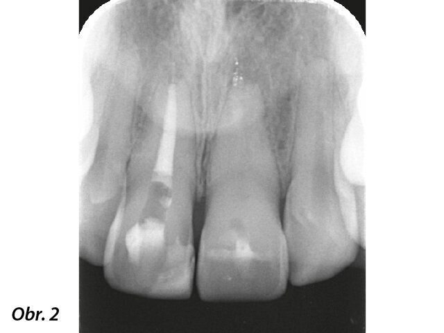
Pacientka, 22 let, byla do privátní kliniky odeslána s bolestí v horního levého středního řezáku v anamnéze. O 9 let dříve prodělala pacientka zubní trauma. Zub byl zbarven dožluta a reagoval citlivě na poklep (obr. 1). Testy vitality chladem a elekrotesterem byly negativní. Radiologické vyšetření ukázalo značně kalcifikovaný kořenový kanálek (obr. 2). Přítomnost radiolucence odpovídající apikální periodontitis byla potvrzena CBCT skenem (i-CAT, Imaging Sciences International) (obr. 3).

Prostor kořenového kanálku bylo možno pomocí původního radiologického a 3D zobrazení identifikovat v apikální třetině. Na základě výsledků klinických a radiologických vyšetření byla stanovena diagnóza nekrotické pulpy se symptomatickou apikální periodontitis a bylo doporučeno ošetření kořenového kanálku. Po analýze a diskuzi s pacientkou byla zvolena navigovaná endodoncie jako nejvhodnější terapeutický postup.

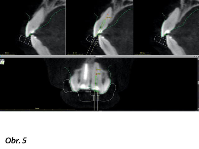
Byly zhotoveny silikonové otisky a vytvořen sádrový zubní model, který byl naskenován (iTero, Align Technology) (obr. 4). CBCT zobrazení i skeny modelů byly vyrovnány a zpracovány pomocí coDiagnostiX. Virtuální kopie vrtáčku s průměrem 1,2 mm a délkou 17 mm (Meisinger) byla vložena do skenů v pozici, která umožnila přístup do identifikovaného systému kořenových kanálků v apikální třetině zubu (obr. 5). Pozice vrtáčku byla zkontrolována ve 3D. Dále byla 3D šablona exportována jako STL soubor a odeslána do 3D tiskárny (Form 2, Formlabs) (obr. 6–9).

 

Zaujala vás ukázka článku?

Celý článek můžete prostudovat v příslušném vydání časopisu Roots CZ/SK 1/2020

stáhněte jej ve formátu PDF

 

Dr. Hugo Sousa Dias promoval s titulem DDS na Univerzitě Fernando Pessoa (Porto, Portugalsko) a dokončil postgraduální program v endodoncii na Univerzitě Lisbon (Portugalsko). Kromě vedení praxe zaměřené na endodoncii v Portu pracuje jako ředitel rezidenčního programu Master in Endodontics na Foramen Dental Education. Dr. Dias je zakladatelem studijního klubu Portuguese Group for Endodontic Study. Je členem European Society of Endodontology a portugalské endodontické společnosti. Přednášel již více než dvacetkrát po celém světě a je spoluautorem kapitoly v knize The Root Canal Anatomy in Permanent Dentition (Springer, 2018).

Dr. Ines Pampulha promovala s titulem DDS na Univerzitě Lisbon v Portugalsku v roce 2014. Absolvovala modulární kurzy v oboru endodoncie a dokončila klinický rezidenční program Master in Endodontics na Foramen Dental Education v roce 2018. Získala magisterský titul v endodoncii na Miguel de Cervantes European University (Valladolid, Španělsko) v roce 2018. Je členkou portugalské endodontické společnosti.

Dr. Maria Joao Valadas promovala s titulem DDS na Univerzitě Lisbon v Portugalsku v roce 2014. Absolvovala modulární kurzy v oboru endodoncie a dokončila klinický rezidenční program Master in Endodontics na Foramen Dental Education v roce 2018. Získala magisterský titul v endodoncii na Miguel de Cervantes European University (Valladolid, Španělsko) v roce 2018. Je členkou portugalské endodontické společnosti.

Štítky:
To post a reply please login or register
advertisement
advertisement