Rekonstrukce endodonticky ošetřených zubů a jejich zachování po zbytek života zůstává výzvou. Na zachování endodonticky ošetřených zubů a jimi nesených náhrad se podílí celá řada faktorů. Cílem tohoto článku je určit klíčové zásady, které mají vliv na udržení zubu a náhrady.
Zásada I
Většina endodonticky ošetřených laterálních zubů by měla být z důvodu delší životnosti rekonstruována pomocí korunek.
Lékaři sledovali rozdíl mezi endodonticky ošetřenými zuby a vitálními zuby. U endodonticky ošetřených zubů docházelo k fraktuře častěji než u zubů vitálních: při extrakci se snadno lámou a moláry bez dřeně neopatřené korunkou se mohou zlomit.1, 2
Mnoho studií prokázalo, že endodonticky ošetřené zuby je přínosné opatřit korunkami. Jedna studie zjistila, že u endodonticky ošetřených zubů neopatřených korunkou docházelo k jejich ztrátě až šestkrát častěji než u zubů s korunkami.3 Jiná studie prokázala, že ke ztrátě endodonticky ošetřených zubů bez korunek došlo průměrně po 50 měsících, zatímco u endodonticky ošetřených zubů opatřených korunkami průměrně až po 87 měsících.4 Fixní náhrady kotvené na endodonticky ošetřených pilířích vykazovaly menší klinickou úspěšnost než jejich obdoby kotvené na vitálních zubech.1,5–8 Přestože bylo prokázáno, že korunky významně zvyšují úspěšnost endodonticky ošetřených laterálních zubů, u frontálních zubů se totéž nepotvrdilo.9 Intaktní nebo minimálně rekonstruované endodonticky ošetřené frontální zuby proto není nutné zcela zakrývat korunkou. Korunku potřebují pouze tehdy, jsou-li oslabené rozsáhlými a/nebo početnými výplněmi v koronální části nebo vyžadují-li výrazné odstínové či tvarové korekce, které nelze zvládnout konzervativnějším způsobem ošetření.10
Na rozdíl od výše zmíněných studií, našla skupina výzkumných pracovníků11 podobnou úspěšnost při vyhodnocování endodonticky ošetřených premolárů rekonstruovaných pomocí čepu a přímé kompozitní výplně, a to jak při úplném, tak i jen částečném překrytí. Podobně také retrospektivní související studie12 naznačila, že lze endodonticky ošetřené moláry, které jsou kromě vstupního otvoru intaktní, úspěšně rekonstruovat pomocí kompozitní výplně.
Po zvážení všech dostupných dat, je zapotřebí jednoznačně uznat výhody, vyplývající z použití kompozitních materiálů k přímé rekonstrukci endodonticky ošetřených zubů, které jsou s výjimkou trepanačního otvoru zcela intaktní. Je nicméně potřeba získat více klinických údajů, které by se zabývaly dlouhodobou úspěšností těchto zubů, zvláště co se týče opotřebení žvýkacím tlakem nebo vlivem přítomných parafunkcí. Z tohoto důvodu doporučujeme, aby endodonticky ošetřené zuby s rozsáhlými výplněmi byly opatřeny korunkami, které zcela nahradí stávající hrbolky, vystavené značným žvýkacím silám. Naproti tomu je možné se zcela vyhnout zhotovení korunek u zubů, které jsou sice endodonticky ošetřené, avšak s výjimkou trepanačního otvoru jsou intaktní a bez jakýchkoliv známek signalizujících působení škodlivých laterálních sil. Dalším příkladem zubů, u kterých se lze obejít bez zhotovení korunky jsou první dolní premoláry, které mají zpravidla malý a málo vyvinutý lingvální hrbolek, který není vystaven přímému působení okluzálních sil nadměrné velikosti a tudíž u nich nehrozí riziko fraktury.13
Zásada II
Čepy endodonticky ošetřené zuby neposilují. Jejich jediným účelem je zajištění retence pahýlu.
Z historického hlediska bylo použití čepů založeno na teorii, že posilují zuby. Téměř všechny laboratorní studie prokázaly, že čepy při působení síly mechanického testovacího přístroje zuby neposilují, ani nezvyšují jejich odolnost vůči fraktuře.14–24 Studie navíc porovnávaly odolnost vůči frakturám u endodonticky ošetřených extrahovaných zubů bez čepů nebo korunek s odolností vůči frakturám u endodonticky ošetřených zubů opatřených čepem, pahýlem a korunkou. Horní řezáky bez čepů vydržely větší zatížení než stejné zuby opatřené čepy a korunkami,16 a dolní řezáky s intaktní přirozenou korunkou prokázaly větší odolnost vůči vodorovnému zatížení než zuby s čepy a pahýly.17 Všechny tyto studie jednoznačně prokazují, že neexistují žádné důkazy o tom, že by čepy nějakým způsobem zvyšovaly odolnost či rezistenci endodonticky ošetřených zubů.
Klinické studie rovněž jednoznačně nepodpořily názor, že čepy posilují endodonticky ošetřené zuby.2, 10, 25, 26 Při zkoumání 200 RTG snímků pacientů, kteří před několika lety prodělali endodontické ošetření, bylo zjištěno, že zuby s čepy trpěly významně častěji apikální periodontitidou.2 Analýza údajů z různých klinických studií odhalila, že u 3 % zubů s čepy došlo k fraktuře a nenalezla žádný důkaz o tom, že by čepy přispívaly k delšímu zachování zubů.26 Čepy měly malý vliv na zlepšení klinické úspěšnosti pilířů fixních náhrad. Při srovnání klinické životnosti endodonticky ošetřených sponových zubů neopatřených kořenovými čepy s klinickou životnosti zubů stejné kategorie avšak se zavedenými kořenovými čepy se zjistilo, že tyto mají daleko delší životnost, což se projevilo i delší životností souvisejících částečných snímatelných náhrad.10
Protože klinické a laboratorní údaje naznačují, že čepy zuby neposilují, je jejich účelem retence pahýlu, který bude poskytovat adekvátní retenci a podporu definitivní korunce nebo náhradě. Tento primární účel ale bohužel nebyl doposud zcela rozpoznán. Průzkum ukázal, že se 24 % zubních lékařů domnívá, že čepy zuby posilují.27 Další průzkum zjistil, že 62 % zubních lékařů starších 50 let věří, že čepy zuby posilují (39 % pracujících na částečný úvazek, 41 % pracujících na plný úvazek a 56 % nepraktikujících zubních lékařů), zatímco pouze 41 % zubních lékařů ve věku do 41 let tomuto nevěří.28 Další průzkum zjistil, že se 29 % zubních lékařů domnívá, že čepy zuby posilují a věří tomu také 17 % atestovaných protetiků ve Švédsku.2
Protože čepy zuby neposilují, měly by se používat pouze v případech, kde nelze retenci pahýlu zajistit jiným způsobem.
Zásada III
Minimální délka reziduální apikální gutaperči by měla být podle RTG snímku 5 mm, aby zajišťovala adekvátní utěsnění apexu.
Po preparaci endodonticky ošetřeného zubu, který bude opatřen čepem, tvoří gutaperča umístěná v apikální části kořene bariéru proti proniknutí bakterií do periapikální oblasti. Různé studie29–31 odhalily, že je-li ponecháno pouze 2 až 3 mm gutaperči, vznikají větší netěsnosti, zatímco zachování 4 až 5 mm gutaperči je zárukou adekvátního utěsnění.21, 31, 33–35 Přesto, že řada studií prokázala, že k zajištění hermetického uzávěru apikální části kořenového kanálku stačí 4 mm zbytkové gutaperčy, je ve skutečnosti přesné odhadnutí vzdálenosti 4 mm od apexu velmi obtížné a navíc rozdíly v anulacích při zhotovování kontrolních rtg snímků mohou mít za následek zachování méně gutaperči než je žádoucí. Z tohoto důvodu se 5 mm minimální zbytková délka na rtg snímcích jeví daleko bezpečnější než 4 mm délka.
Nejlepší metodou konzervace apexu během preparace prostoru pro čep je použití pracovní délky zjištěné při endodontickém ošetření. Při preparaci pro čep by měl být použit stejný referenční bod na zubu jako při endodontickém ošetření. Navíc by měl být k preparaci kanálku použit nástroj odpovídajícího průměru spolu s gumovou zarážkou umístěnou na nástroji v příslušné vzdálenosti, což napomůže tomu, že bude v apikální části zachováno adekvátní množství gutaperči.
Pro odstraňování gutaperči při preparaci prostoru pro čep, aniž by došlo k narušení utěsnění apexu, byly obhajovány tři metody: chemická, tepelná a mechanická.29, 32, 36–39 Bylo zjištěno, že k odstranění kondenzované gutaperči se zachováním adekvátního 5 mm utěsnění apikální části kořene lze bezpečně použít jak horké ruční nástroje, tak i rotační nástroje.29, 32, 3–39
Byl rovněž zkoumán účinek odstranění gutaperči bezprostředně po endodontickém ošetření na utěsnění apexu. Různé studie zjistily, že odstranění gutaperči bezprostředně po ošetření kořenového kanálku utěsnění apexu nijak nenarušuje.30, 31, 33, 36, 40
Zásada IV
Optimální délka čepu je u všech zubů, s výjimkou molárů, určena zachováním 5 mm gutaperči v apikální části kořene a extenze čepu do gutaperči. U molárů by se měl pro čep použít pouze hlavní kořen a v něm umístěný čep by neměl být delší než 7 mm. Krátkým čepům je třeba se zcela vyhnout.
Vhodná délka čepu by měla být založena na minimalizaci potenciálního poškození zubu, optimální retenci čepu a zachování odpovídajícího uzávěru apikální části kořene. Bylo navrženo několik zásad pro určování délky čepu.41–45 Základ pro rozlišování mezi těmito různými zásadami poskytuje souhrn vědeckých údajů.
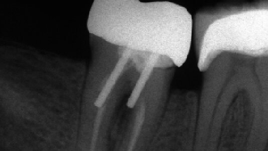
Přestože krátké čepy nebyly nikdy prosazovány, studie prokázaly, že je lze na RTG snímcích vidět poměrně často (obr. 3). Bylo zjištěno, že pouze 34 % z 327 čepů bylo délky shodné se incizo-cervikálním rozměrem zubu.46 Při hodnocení 200 endodonticky ošetřených zubů se zjistilo, že pouze 14 % čepů odpovídalo dvěma třetinám nebo více délky kořene.47 Další studie RTG snímků 217 čepů zjistila, že pouze 5 % čepů odpovídalo dvěma třetinám až třem čtvrtinám délky kořene.48 Fraktury kořene způsobené vysokou zátěží se objevovaly častěji v případech použití krátkých čepů,23, 49–52 přičemž s narůstající délkou čepu narůstala také odolnost kořene vůči zlomení.21
Bylo zjištěno, že čepy, které jsou dlouhé jako tři čtvrtiny délky kořene, poskytují největší pevnost a způsobují nejmenší odchylku kořene.21 Použití čepů této optimální délky je ale u mnoha zubů obtížné. Má-li zub průměrnou nebo podprůměrnou délku kořene a čep zabírá dvě třetiny či více délky kořene, není možné zachovat v apexu 5 mm gutaperči.54 Optimální délka čepu se proto určuje se zachováním 5 mm gutaperči v apikální části a extenzi čepu do této hloubky resp. vzdálenosti.
Použití této zásady pro určování délky čepu je vhodné pro všechny zuby, s výjimkou molárů. Studie 150 extrahovaných horních a dolních molárů zjistila, že u hlavních kořenů molárů, tj. distálních u dolních a palatinálních u horních, by se neměl prostor pro čep preparovat více než 7 mm apikálně od vstupu do kořenového kanálku, a to z důvodu vyšší pravděpodobnosti perforace kořene.55 Vedlejší kořeny molárů, tj. mesiální u dolních a bukální u horních, nelze přizpůsobit ani pro čepy dlouhé 7 mm, aniž by došlo k přílišnému ztenčení kořene a možnosti perforace nebo fraktury kořene po nasazení náhrady. Čepy v molárech by proto neměly být ve hlavních kořenech delší než 7 mm a ve vedlejších kořenech bychom se jim měli pokud možno zcela vyhnout.
Zásada V
Velký průměr čepů zvyšuje možnost přílišného ztenčení kořene, jeho perforace a fraktury. Doporučuje se, aby průměr čepů nepřesahoval jednu třetinu průměru kořene.
Větší průměr čepu oslabuje zbývající kořen. Bylo zjištěno, že se zvětšujícím se průměrem čepu vzrůstá napětí v kořeni,56 tedy že větší průměr čepu snižuje odolnost zubu vůči frakturám.53
U čepů většího průměru (1,5 mm nebo více) bylo zjištěno57, že s každým milimetrem zvětšujícího se průměru čepu docházelo až k šestinásobnému nárůstu potenciální fraktury kořene.
Studie prokázaly, že fraktury kořene jsou druhou nejčastější příčinou selhání čepu a pahýlu.58–62
S rizikem fraktury kořene souvisí několik faktorů, včetně velkého průměru čepů,23, 50, 56 krátkých čepů, 23, 49–52 a čepů se závity (obr. 4).44, 49, 50, 57, 63–65 Doporučuje se, aby průměr čepu nepřesahoval jednu třetinu průměru kořene55 a aby se průměr čepu proporčně podobal průměrným rozměrům kořene.
Aby průměr čepu nepřesáhl jednu třetinu průměru kořene, měl by se jeho průměr pohybovat mezi 0,6 a 1,2 mm, v závislosti na zubu.66–68 K preparaci prostoru pro čep by se měly také používat pouze nástroje odpovídající požadovanému průměru. Používáte-li určitou značku čepu, ujistěte se, že kořenový nástroj odpovídá danému typu čepu (tabulka I a II).
Dobrá znalost anatomie zubů, uspořádání kořenů a jejich odchylek, i použití vhodně zahnutého nástroje zabraňují tomu, aby nedocházelo k ztenčení kořene a jeho perforaci. Nástroje by měly být zahnuté tak, aby odpovídaly průběhu kanálku (obr. 5).
Je-li třeba opatřit čepem premoláry, umisťuje se čep u horního premoláru nejlépe do palatinálního kořene a u jakéhokoli dolního premoláru s více kořeny do nejrovnějšího kořene. Před preparací pro čep je potřeba zhodnotit zúžení kořene, jeho zakřivení a případné prohlubně.
Je-li potřeba opatřit čepy moláry, měly by se umístit do kořenů s největší tloušťkou dentinu. Tyto kořeny jsou známy jako hlavní kořeny a u horních molárů se jedná o palatinální kořeny a u dolních molárů o distální kořeny. Je nicméně důležité mít na paměti, že prodloužení čepu na více než 7 mm apikálně od vstupu do kořenového kanálku zvyšuje u hlavních kanálků riziko perforace.55 Je-li to jen trochu možné, je dobré se vyhnout meziálním kořenům dolních molárů a bukálním kořenům horních molárů. Je rovněž třeba dbát na to, abychom nástrojem netlačili na oblast furkace, protože tato oblast se ztenčí snadněji než vnější povrch záhybů kořene.
U všech zubů je třeba se vyhnout apikálním 5 mm kořene, protože většina záhybů kořene se vyskytuje právě v apikálních 5 mm kořene69 a proniknutí do této oblasti zvyšuje riziko přílišného ztenčení kořene nebo jeho perforace.
Zásada VI
Cervikální obroučka by měla zaujmout minimálně 2 mm zubní tkáně, aby zajistila odolnost zubu resp. kořene vůči fraktuře.
Obroučky mohou být tvořeny strukturou jádra, tzv. jádrové obroučky70–73 nebo korunkou překrývající/zahrnující zdravou strukturu zubu apikálně od jádra, tzv. korunkové obroučky.74–79 Údaje naznačují, že korunkové obroučky jsou účinnější než pahýlové obroučky71–73, 80 a že zvyšují odolnost zubu vůči frakturám.74, 75, 80 Navzdory údajům ve prospěch přínosu korunkových obrouček, zdaleka ne všichni lékaři jejich hodnotu uznávají. Průzkum zveřejněný Morganem a kol.80 hodnotil podíl respondentů, kteří se domnívali, že obroučka zvyšuje odolnost zubu vůči frakturám: 56 % všeobecných zubních lékařů, 67 % protetiků a 73 % atestovaných protetiků se domnívalo, že odolnost zubu vůči frakturám zvyšují obroučky na pahýlech.
Byly také zkoumány různé délky a tvary obrouček.74, 76, 77, 81 Délka a tvar jsou pro úspěšnost „účinné obroučky“ velice podstatné. Optimální obroučka by měla zaujmout minimálně 2 mm zdravé tkáně podél celého obvodu zubu resp. kořene. Účinnost obroučky je tím lepší, čím více zdravé tkáně zaujímá. Množství struktury zubu začleněné do překrývající korunky se zdá být z hlediska zvýšení odolnosti zubu vůči frakturám mnohem důležitější než délka čepu (obr. 6).
Nezbývá-li pro vytvoření obroučky v oblasti krčku dostatek struktury zubu, měla by se za účelem obnažení většího množství struktury zubu uvážit možnost chirurgického nebo ortodontického prodloužení korunky. V některých situacích, je-li přítomna jedna nebo více z následujících podmínek, může být moudré zub extrahovat a nahradit jej implantátem a korunkou: obroučku nelze vytvořit, prodloužením korunky by vzniklo nepřijatelné estetické prostředí nebo by vznikl defekt furkace, nebo je kořen tak krátký, že by nebylo možné použít dostatečně dlouhý čep.
Zásada VII
Dokud nejsou k dispozici dlouhodobé údaje, měli bychom používat skelnými vlákny vyztužené čepy pouze s jistou opatrností.
Po mnoho let bylo standardní metodou rekonstrukce endodonticky ošetřených zubů buď použití individuálně litých čepů a pahýlu, nebo prefabrikovaných kovových čepů s pahýlem z výplňového materiálu.41, 82, 83 Celostátní průzkum mezi zubními lékaři z roku 1994 zjistil, že 40 % všeobecných zubních lékařů používalo prefabrikované čepy a nejoblíbenějším čepem byl paralelní vroubkovaný kovový čep.28 Použití prefabrikovaných čepů se od průzkumu z roku 1994 nepochybně ještě podstatně zvýšilo. Vysoká poptávka po estetických náhradách a celokeramických korunkách vedla k vývoji různých nekovových prefabrikovaných systémů čepů, coby alternativy k čepům kovovým.84–87 Kromě estetických výhod nekovových čepů ukázaly laboratorní studie, že alternativa čepů na bázi pryskyřice má také příznivé fyzikální a mechanické vlastnosti, a že u čepů vyztužených skelnými vlákny dochází méně často k fraktuře kořene než u čepů kovových.88–92 Klinické studie čepů vyztužených skelnými vlákny ale zaznamenaly také celou řadu selhání pohybující se procentuelně od 0 % po 2,3 letech až po 11,4 % po 2 letech.9, 58–61, 63, 93–96 Nejčastěji zaznamenanými komplikacemi bylo uvolnění čepu a fraktura kořene (obr. 7).58–62, 93, 97, 98 Protože je pahýl závislý na retenčních možnostech čepu, závisí na retenci čepu také prognóza celé náhrady.99 Vzhledem k velkému rozsahu podílu zaznamenaných selhání se zdá, že pro zjištění účinnosti čepů vyztužených skelnými vlákny jsou nezbytné další dlouhodobé klinické údaje.
Závěr
Na základě tohoto přehledu dostupných průzkumů lze učinit následující klinická doporučení:
1. Korunky nejsou nutné v případě intaktních nebo minimálně rekonstruovaných frontálních zubů s výjimkou podstatných změn tvaru nebo odstínu, které nelze provést konzervativními metodami.
2. Korunky by se měly umístit na většinu endodonticky ošetřených laterálních zubech, aby napomohly jejich dlouhodobému zachování. Existují údaje naznačující, že laterální zuby, které jsou kromě přístupového otvoru intaktní, lze uspokojivě rekonstruovat kompozitní pryskyřicí spíše než korunkou. Není nicméně známá dlouhodobá úspěšnost tohoto konzervativnějšího způsobu ošetření při zatížení žvýkacím tlakem.
3. Čepy zuby oslabují a měly by se používat pouze v případě, že nelze zajistit adekvátní retenci pahýlu jinými prostředky.
4. Adekvátní hermetický uzávěr apikální části kořene je zaručen zachováním minimální 5 mm zbytkové gutaperči.
5. Je třeba vyhnout se krátkým čepům, protože zvyšují potenciál fraktury kořene. Pro všechny, s výjimkou molárů, se optimální délka čepu určuje při zachování 5 mm gutaperči v apikální části kořene a extenzi čepu do této hloubky. U molárů by měly být čepy umisťovány do hlavních kořenů (palatinální kořeny horních molárů a distální kořeny dolních molárů) a vzhledem k možnosti přílišného ztenčení nebo perforace kořene by neměly být od vstupu do kořenového kanálku apikálně delší než 7 mm.
6. Průměr čepů by neměl přesahovat jednu třetinu průměru kořene, čímž se minimalizuje ztenčení kořene a riziko jeho fraktury. Průměr nástrojů k preparaci prostoru pro čep by měl odpovídat průměru kořene.
7. Jsou-li umístěny na endodonticky ošetřené zuby korunky, měly by, je-li to možné, apikálně k pahýlu začleňovat 2 mm struktury zubu, protože obroučka korunky zvyšuje odolnost zubů vůči zlomení.
8. Dokud nebudou k dispozici údaje dlouhodobých klinických studií, měly by se vzhledem k rozsahu zaznamenaných selhání v dostupných klinických studiích skelnými vlákny vyztužené čepy používat pouze s opatrností.
Obrazovou dokumentaci k článku naleznete ve vydání DT č. 4/2011
Endodontické ošetření zubů s nedokončeným vývojem představuje v endodoncii zvláštní výzvu. Zatímco u laterálních zubů je příčinou ...
TÜBINGEN, Německo: Vzhledem k tomu, že jsou zuby často nejlépe dochovanou částí lidských koster, spoléhají se na ně, při snaze o rekonstrukci ...
Obliterace pulpy kanálku (Pulp Canal Obliteration – PCO) nebo kalcifikující metamorfóza je některými autory považována za odpověď pulpy na ...
Digitální pracovní postupy jsou neustále zdokonalovány díky inovacím v technikách, softwaru a materiálech v rámci přizpůsobení klinickým ...
Přestože žádná zubní výplň nevydrží navždy, v životnosti výplňových materiálů jsou zřejmé rozdíly. Výzkumníci z Královského ...
STOCKHOLM, Švédsko: Přestože žádná zubní výplň nevydrží navždy, v životnosti výplňových materiálů jsou zřejmé rozdíly. Výzkumníci z ...
Pískování zubů (air polishing) bylo poprvé zavedeno do klinické praxe kolem roku 1970. První přístroje byly velké a hlučné, při ošetření ...
Na klinickém případu vám ukážeme překvapivý význam endodontistů při plánování ...
Rekonstrukce jednoho frontálního zubu implantátem bývá pravděpodobně největší estetickou výzvou pro praktického zubního lékaře. Správné ...
Společnost preventivní stomatologie (SPS) vznikla v dubnu 1998 jako platforma pro příznivce orální hygieny a prevence v zubním lékařství. O ...
Živý webinář
Po. 20 dubna 2026
7:00 (CET) Prague
Dr. Alberto Monje DDS, MS, PhD
Živý webinář
St. 22 dubna 2026
5:00 (CET) Prague
MDT Andreas Chatzimpatzakis
Živý webinář
St. 22 dubna 2026
5:00 (CET) Prague
Živý webinář
St. 22 dubna 2026
6:00 (CET) Prague
Živý webinář
Čt. 23 dubna 2026
5:00 (CET) Prague
Živý webinář
Čt. 23 dubna 2026
6:30 (CET) Prague
Živý webinář
Čt. 23 dubna 2026
7:00 (CET) Prague
To post a reply please login or register