Search Dental Tribune

Řešení endodontických selhání

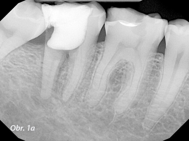
Ilustrační fotografie z kazustiky (Fotografie: Dr. Grzegorz Witkowski)
Dr. Grzegorz Witkowski

Dr. Grzegorz Witkowski

Po. 24 září 2018

uložit

Cílem endodontického ošetření je předcházet zánětu a dosáhnout prodlouženého účinku léčebného výkonu. Abychom toho dosáhli, je velmi důležité dodržovat správné techniky během plánování ošetření, projektování přístupové kavity a také během preparační fáze. Neméně důležitý je také irigační protokol, který může výrazně ovlivnit výsledek. Také obturační technika zvolená k zaplnění trojdimenziálního systému kanálků je zásadní k dosažení vysoké úrovně úspěchu. V poslední době se navíc rozšířily naše možnosti obturačních technik. Během vytváření přístupové kavity tíhnou zubní lékaři k chybám, které mohou vést k problémům v dalším kroku, kterým je hledání kanálků. Když preparujeme vchod do pulpální dutiny, je zásadní dosáhnout možnosti dobré viditelnosti spodiny pulpální dutiny a nalezení všech vstupů do kanálků. Podle literatury neexistuje v porovnání zásadní rozdíl mezi přístupem NEC („ninja“ endodontic cavity) a CEC (conservative endodontic cavity) co se týče biomechaniky, může to ale ovlivnit přehlednost a možné dosažení všech kanálků a také může způsobit transportace ve střední části kanálkových ohybů.

Při hledání kanálků a v preparační fázi může být také chybováno. Setkáváme se s různými formami problémů. Prvním z nich je perforace spodiny dřeňové dutiny. Ta je způsobena především nevhodnou technikou hledání vstupů do kanálků. Ošetřující musí být během této fáze velmi opatrný z toho důvodu, že oprava tohoto problému nemusí být možná kvůli biomechanice zubních struktur. Je třeba také brát v úvahu, že utěsnění spodiny pulpální dutiny je závislé na materiálu. Dnes si můžeme zvolit z mnoha různých materiálů a metod.

I při opracování kanálků se samozřejmě lze dopustit mnoha chyb, jako je například via falsa, perforace nebo transportace kanálku, oddělení nástroje a další. Jedna z nejvíce stresujících věcí pro ošetřujícího je perforace kanálku. Perforace v kanálku může vzniknout kvůli špatné sekvenci nástrojů, kvůli obecně špatné technice nebo kvůli technice s nadměrným třením. Pak se perforace může objevit na vnitřní straně ohybu kanálku. Když se to stane, často se setkáme s výrazným krvácením a problémy s viditelností. Situace se ještě více zkomplikuje, když se začneme zabývat staršími perforacemi spojenými s lézemi (obr. 1a–c).

 

Technika

Řešení perforací na vnitřní části ohybu je záludné a může být složité především, pokud je perforace velká. Abychom mohli perforaci uzavřít, musíme si zvolit vhodný materiál. Tím by měla být biokeramika. V tomto konkrétním případě musíme klást důraz na manipulační vlastnosti materiálu a na jeho čas tuhnutí. Aplikační technika je velmi jednoduchá, pokud použijeme biokeramické injekce s ohybatelnými jehlami. Při opracování je především u starších perforací nutno vyčistit okraje a udělat na hraně čerstvý povrch.

U lézí je důležité udržet sucho v prostoru kanálku. Abychom toho dosáhli, musíme provést vhodný výplach a aktivaci tekutiny. K podpoře hojení kosti je důležitý apikální uzávěr, dobré odstranění infekce a výběr vhodného materiálu jako sealeru/výplně, který stimuluje kost.

 

Zaujala vás ukázka článku?

Celý článek můžete prostudovat v příslušném vydání časopisu Roots
stáhněte jej ve formátu PDF

 

Dr. Grzegorz Witkowski
se narodil v roce 1979
v Bialystoku v Polsku. Studoval lékařskou univerzitu ve Varšavě, kde v roce 2003 i promoval. Díky svému členství v European Association of Endodontics, Polish Association of Endodontics a Polish Academy of Aesthetic Dentistry je Dr. Witkowski známým mezinárodním řečníkem a autorem mnoha článků týkajících se endodoncie, CAD/CAM řešení a používání mikroskopu v každodenní praxi. Od roku 2004 pracuje na soukromé klinice v Olsztynu, Polsko, kde se soustředí na endodoncii, CAD/CAM a estetickou stomatologii. V soukromém životě je manžel, otec a amatérský triatlonista.

Štítky:
advertisement
advertisement