Search Dental Tribune

Komplexní řešení bez obsahu kovů: hybridní keramika a implantát z oxidu zirkoničitého

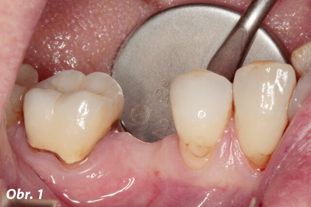
Situace před upevněním protetické rekonstrukce (Fotografie: Dr. Schutenhaus)
Dr. Sigmar Schnutenhaus / Německo | PR VITA

Dr. Sigmar Schnutenhaus / Německo | PR VITA

St. 3 ledna 2018

uložit

Celokeramické koncepty rekonstrukcí chrupu se již osvědčily v praxi a keramické implantáty se těší stále vetší oblibě. Od roku 2014 nabízí VITA Zahnfabrik (Bad Säckingen, Německo) v podobě ceramic.implant implantát z oxidu zirkoničitého. Dr. Sigmar Schnutenhaus (Hilzingen, Německo) popisuje na základě případové zprávy, jak se pomocí suprakonstrukce z VITA ENAMIC a ceramic.implant může realizovat kompletní implantátová rekonstrukce bez obsahu kovu.

Poptávka po celokeramických terapeutických prostředcích s sebou přináší i v oblasti implantátové protetiky změnu pohledu na věc. Již nějaký čas jsou dostupné implantáty z oxidu zirkoničitého, které mimo jiné zajištují vynikající management měkkých tkání. „S ceramic.implant pracujeme již několik měsíců a hybridní keramiku VITA ENAMIC považujeme za ideální materiál pro suprakonstrukci“, uvádí Dr. Sigmar Schnutenhaus. Kombinací keramického implantátu s korunkou z hybridní keramiky lze vyhovět častému přání pacientů požadujících kompletní řešení bez obsahu kovu.

Implantát ceramic.implant je jednodílný, válcově-kónický implantát z modifikovaným povrchem z oxidu zirkoničitého (cer.face®14). Hybridní keramika VITA ENAMIC jako materiál pro výrobu suprakonstrukce spojuje výhody běžné keramiky s pozitivními vlastnostmi kompozitního materiálu – díky srovnatelně elastickým vlastnostem do určité míry absorbuje zatížení při stisku čelistí. Při rekonstrukci mezer mezi jednotlivými zuby v oblasti postranních zubů pokládáme zde představenou terapii za ideální.

1. Plánování ošetření

Upřednostňujeme virtuální plánování implantátu. Podle DVT je posuzována anatomická situace (obr. 2). Wax-up modelovaný na situačním modelu slouží jako předloha pro suprakonstrukci. DICOM data DVT a STL data Wax-upu jsou sloučena v plánovacím softwaru a je určena poloha implantátu.

 

 

2. Vložení implantátu

Při vkládání implantátu lze volit mezi postupem vedení šablonou a běžným postupem. Po přípravě lůžka implantátu je implantát umístěn do kosti (obr. 3 a 4). Operační oblast uzavřeme pomocí dvou stehů a pacient je z ordinace v této fázi ošetření propuštěn.

 

Zaujala Vás ukázka článku? Celý článek můžete prostudovat v příslušném vydání časopisu Digital 1/2017

Stáhněte si jej ve formátu PDF

 

Dr. Sigmar Schnutenhaus, Německo | PR, VITA

 Digital 01/2017

Štítky:
To post a reply please login or register
advertisement
advertisement