V březnu 2017 byl poprvé představen nový multichromatický hybridní keramický bloček VITA ENAMIC® multiColor (VITA Zahnfabrik, Bad Säckingen, Německo). Tento CAD/CAM bloček má integrované, přirozené přechody odstínů, které prostupují šesti jemně přecházejícími vrstvami. Umožňuje to vytváření náhrad na stisknutí tlačítka, a to s přirozeným profilem odstínu od krčku po incizní hranu. Protože se po CAM výrobě neprovádí pálení, je možné hybridní keramiku nasadit hned po vyleštění. Dr. Bernhild-Elke Stamnitz (Langen, Německo) vysvětluje v následujícím rozhovoru efektivitu výrobního procesu a estetický potenciál tohoto nového bločku.
Jaké zkušenosti již máte s tímto novým bločkem a jak hodnotíte jeho estetický potenciál?
Pracovala jsem s bločky v barvách 1M2, 2M2 a 3M2 při klinických studiích a mohu říci, že jsem v každém ohledu s novým multichromatickým bločkem naprosto spokojena! Moji pacienti obecně shledávají hybridní keramiku velmi pohodlnou, protože mají z náhrad v ústech velmi přirozený pocit a nepociťují je jako cizí těleso. Představení multichromatické verze je něco, v co jsem již dlouhou dobu doufala!
Pro jaké klinické situace je VITA ENAMIC® multiColor konkrétně vhodný a kdy by se měly použít alternativní materiály?
Bloček je doporučen pro mnoho jednotlivých zubních náhrad, které jsou viditelné, jinými slovy pro úsek od frontálních zubů po premoláry, od celkových nebo částečných korunek po fazety. Samozřejmě jej lze použít i k rekonstrukci molárů, ale zde by se příliš nevyužil jeho estetický potenciál.
Co je potřeba zohlednit při navrhování pomocí CAD softwaru, aby se dosáhlo velmi přirozeného barevného profilu?
Při náhledu před frézováním se musí návrh náhrady umístit do virtuálního bločku tak, aby se co možná nejefektivněji reprodukoval individuální profil přechodu odstínů konkrétního klinického případu prostřednictvím integrované struktury vrstev. Prostupy odstínů v bločku začínají u chromatické škály reprodukující odstín zubu a směrem k incizní hraně jsou postupně translucentnější. Jakmile pochopíte, jak umístění funguje, je to opravdu snadné!
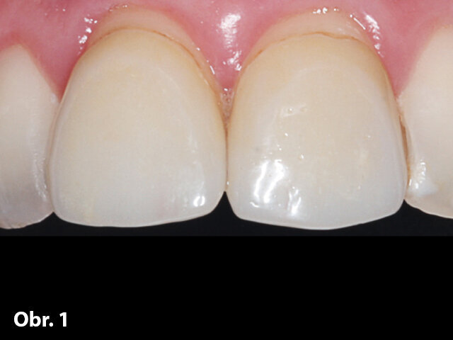
Obr. 1: Počáteční situace
Obr. 3: Umístění konstrukce do bločku
Obr. 4: Otáčení návrhu za účelem dosažení harmonického přechodu odstínů
Jaké výhody nabízí VITA ENAMIC® multiColor ordinacím a laboratořím co se týče efektivity a časových úspor daných integrovaným barevným profilem?
Ačkoliv je možné hybridní keramickou náhradu dále individualizovat pomocí světlem tuhnoucích barviv, u VITA ENAMIC® multiColor to není díky integrovanému přechodu odstínů nutné. Kromě toho není u hybridní keramiky nutné žádné pálení, což umožňuje nasazení náhrady ihned po vyleštění. Ušetří se tak hodně času!
Jaká metoda leštění je u hybridní keramické náhrady nejlepší, abychom dosáhli vynikajícího povrchového lesku?
Je třeba dodržovat kroky leštění popsané výrobcem a používat originální lešticí nástroje pro předleštění a leštění do vysokého lesku. Já je kombinuji s lešticí pastou a kartáčem z kozích chlupů.
Zaujal Vás článek?
Stáhněte si celé vydání ve formátu PDF
Digital 1/2018
Štítky:
Celokeramické koncepty rekonstrukcí chrupu se již osvědčily v praxi a keramické implantáty se těší stále vetší oblibě. Od roku 2014 nabízí ...
Orthocaps HAT (Hybrid Aligner Therapy, čili hybridní terapie alignery) je léčebná metoda, která rozšiřuje indikace použití fóliových aparátů. ...
Kompozitní výplně určují rytmus našeho každodenního života v zubních ordinacích. Bez ohledu na to, zda jsou konečným cílem rehabilitace chrupu...
U příležitosti Scandefa, hlavního dentálního veletrhu ve Skandinávii, nedávno DTI navštívil ...
U příležitosti Scandefa, hlavního dentálního veletrhu ve skandinávii, nedávno DTI navštívil ...
U příležitosti Scandefa, hlavního dentálního veletrhu ve Skandinávii, nedávno DTI navštívil ...
Nejdůležitější kroky při výběru barvy zubů a sdílení získaných informací s ...
S Grandio® Core Dual Cure, VOCO doplňuje úspěšnou řadu produktů Grandio® zatékavým duálně tuhnoucím ...
Přímé výplně v barvě zubu hrají v současných možnostech stomatologického ošetření ...
EQUIA Forte je ďalšia inovácia GC skloionomérov a živicových technológií v podobe EQUIA Forte Fil a EQUIA Forte ...
Živý webinář
Po. 11 května 2026
6:00 (CET) Prague
Živý webinář
Po. 11 května 2026
7:00 (CET) Prague
Živý webinář
Út. 12 května 2026
7:00 (CET) Prague
Živý webinář
Čt. 14 května 2026
6:00 (CET) Prague
Živý webinář
Čt. 14 května 2026
8:00 (CET) Prague
Prof. Hani Ounsi DDS PhD FICD
Živý webinář
Út. 19 května 2026
5:00 (CET) Prague
Živý webinář
Út. 19 května 2026
7:00 (CET) Prague
Prof. Dr. med. dent. Ivo Krejci
To post a reply please login or register