Kompozitní výplně určují rytmus našeho každodenního života v zubních ordinacích. Bez ohledu na to, zda jsou konečným cílem rehabilitace chrupu nebo jen přechodnou fází léčebného plánu, musí být jejich zhotovení snadné a reprodukovatelné. Ve frontálních úsecích chrupu je nezbytně nutné věnovat dostatečnou pozornost tvaru zubu, jeho barvě a průběhu okluzní roviny tak, aby bylo možno dosáhnout odpovídajících estetických a funkčních cílů. Pokud jde o laterální úsek chrupu, musí přímé výplně splňovat dva hlavní cíle, a to biologický a funkční. Přestože estetika nesmí ani zde zaostávat, větší význam má zajisté morfologie hrbolků. Již více než deset let se používají kompozitní pryskyřice, které tyto požadavky splňují. Jejich jednoduché použití, mechanická odolnost, leštitelnost a optické vlastnosti umožňují perfektní splynutí výplní s okolními přirozenými tkáněmi. Mezi těmito materiály se již deset let osvědčuje řada značky GC G-ænial. Nedávno byl uveden na trh nejmladší člen této rodiny, výplňový materiál G-ænial A´CHORD, a jeví se velmi slibně. S menším počtem odstínů dokáže pokrýt stejné množství situací jako jeho předchůdce, ale navíc má výrazně lepší konzistenci a povrchovou strukturu po vyleštění. Obě zde prezentované kazuistiky jsou příklady možného úspěšného použití tohoto materiálu.
Kazuistika 1
Výplně ve frontálním úseku chrupu zhotovené monochromatickou technikou a tzv. multi-shade technikou neboli technikou vícero odstínů.
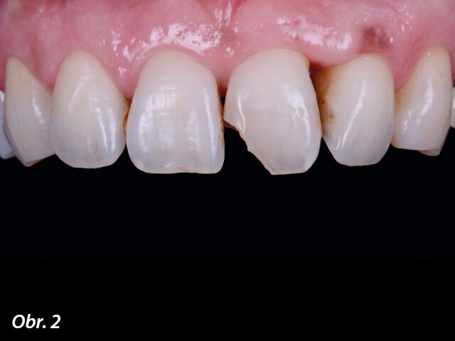
40letá celkově zdravá pacientka se dostavila na akutní ošetření. Pádem na konferenční stolek si urazila meziální růžek zubu 21, přičemž fraktura zasahovala až do střední třetiny zubu. Na zkoušku vitality reagoval zub pozitivně. Vzhledem k barvě a textuře, kterou bylo třeba reprodukovat, byla pacientka objednána na anatomickou stratifikaci.
Kazuistika 1 – výchozí stav.
Kazuistika 1 – výchozí stav.
Výchozí RTG snímek.
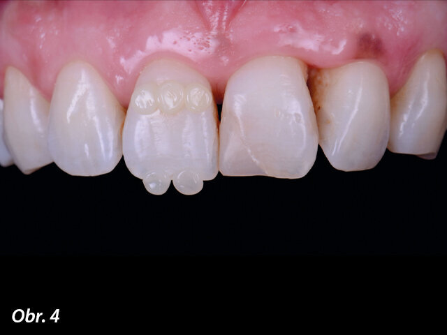
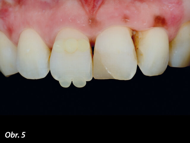
Výběr odstínu pomocí tzv. kompozitní „knoflíkové“ techniky (Composite Button Technique), s (4) a bez (5) polarizačních filtrů.
Výběr odstínu pomocí tzv. kompozitní „knoflíkové“ techniky (Composite Button Technique), s (4) a bez (5) polarizačních filtrů.
Wax-up umožňující vytvoření silikonového klíče.
Pacientka chtěla rovněž dosáhnout lepší estetiky svého úsměvu redukcí zjevných černých trojúhelníků mezi zuby 21 a 22. Ještě během akutní návštěvy byl pořízen otisk pro zhotovení wax-upu a technikou jednoho inkrementu byla zhotovena provizorní kompozitní výplň. Dříve, než bylo u pacientky přistoupeno k vlastní anatomické stratifikaci, byla u ní zahájena parodontologická léčba a provedeno endodontické ošetření zubu 11 (viz fotogalerie).
Zaujala vás ukázka článku?
Celý článek můžete prostudovat v příslušném vydání časopisu Cosmetic Dentistry CZ/SK 1/2021 stáhněte jej ve formátu PDF
Dr. Wallid Boujemaa vystudoval stomatologii v roce 2014 na univerzitě v Bordeaux ve Francii. Mezi lety 2015 a 2019 působil na univerzitě jako odborný asistent pro záchovnou stomatologii a endodoncii a od té doby na univerzitě přednáší. Na plný úvazek provozuje soukromou zubní ordinaci. Dr. Boujemaa se podílí na různých výzkumných projektech a konferencích v oblasti záchovné a estetické stomatologie. V roce 2018 vyhrál cenu v oboru estetické stomatologie udělovanou francouzským časopisem Réalités Cliniques a společností GC.
Redakční poznámka: Článek byl publikován v mezinárodním vydání časopisu cosmetic dentistry beauty & science, Vol. 15, Issue 1/2021.
To post a reply please login or register