V lednu 2017 vydalo Ormco Insignia Workbook, publikaci, která sdružuje osvědčené postupy a kazuistiky zkušených uživatelů značky Insignia z celého světa. Je zde také popsán vývoj Insignia v průběhu let a vysvětlen vědecký základ tohoto průkopnického systému. Zde prezentovaná kazuistika Dr. Davida Gonzáleze Zamory ze Španělska je součástí této publikace. Chceteli si stáhnout digitální kopii nové publikace Insignia, navštivte ormco.com/cisummer2017.
Diagnóza před léčbou
Dospělá žena, mezocefalická, skeletální I. třída, otevřený skus. Pacientka trpěla častými bolestmi hlavy.
Cíl léčby
Uzavřít otevřený skus a zachovat vertikální pozici horních řezáků.
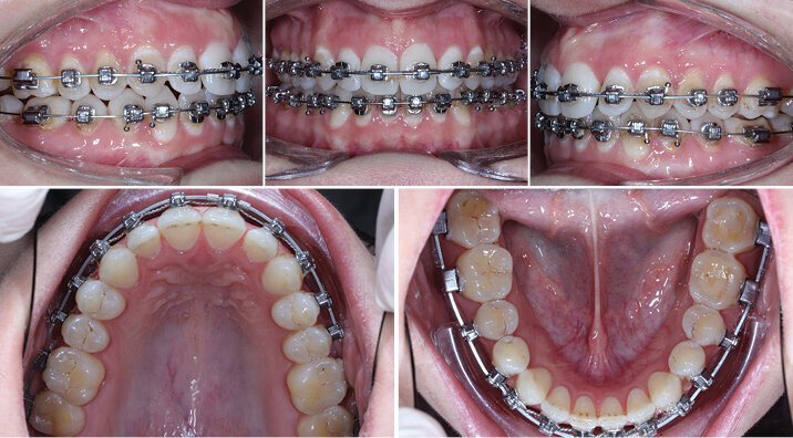
Použitý aparát: Insignia SL – individuální vestibulární Damon zámky
Poznámky k plánu léčby zaslané k tomuto případu:
• Insignia tvar oblouků
• Laterální řezáky by měly být kratší než střední řezáky
• Vyrovnat marginální hrany
• 3mm překus
• Expanze v oblasti molárů a premolárů
• Stripping premolárů
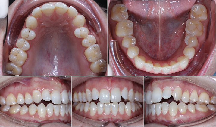
Vstupní intraorální fotografie
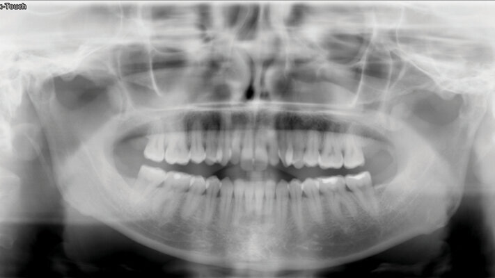
Vstupní foto a RTG dokumentace
Vstupní foto a RTG dokumentace
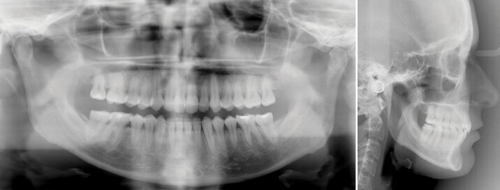
Konečná foto a RTG dokumentace
Konečná foto a RTG dokumentace
Zaujala Vás ukázka článku? Celý článek můžete prostudovat v příslušném vydání časopisu Ortho 1/2018
Stáhněte si jej ve formátu PDF
Ortho 1/2018
Štítky:
Cílem článku je představit nový systém využívající zmenšený aparát Tongue Star 2 (TS2) k léčbě závažných skeletálních otevřených ...
Cílem tohoto článku je představit nový zmenšený aparát BiTurbo2 (BT2), který je součástí čtyřčlenného systému používaného k léčbě ...
MIAMI, USA: Yomi je roboticky asistované chirurgické zařízení vyvinuté zdravotnickým startupem Neocis. Jedná se o jediný systém svého druhu, ...
Ztráta vertikálního rozměru skusu atricí a/nebo erozí vede v důsledku ústupu ústní spodiny a jazyka ne zcela vzácně k zúžení horních cest ...
Lingvální aparáty zajišťují estetickou a komfortní ortodontickou léčbu náročných pacientů. Po zdolání počátečních komplikací, ve smyslu ...
Cílem endodontického ošetření je předcházet zánětu a dosáhnout prodlouženého účinku léčebného výkonu. Abychom toho dosáhli, je velmi ...
Tradiční metoda korekce dásňového úsměvu (gummy smile) s nevyhovujícím poměrem “dáseň versus ...
Komplexní klinická studie ukázala, že endodontické léčebné protokoly zahrnující nástroje Reciproc (Dentsply Sirona) podporují lepší léčebné...
V posledním desetiletí se léčba fóliovými aparáty (CAT – clear aligner therapy) stala velmi dobře známou variantou ortodontické terapie, a to ...
U pacienta byla naplánována okamžitá implantace s okamžitým zatížením provizorní korunkovou náhradou v estetické zóně. Protokol postupu ...
Živý webinář
Po. 11 května 2026
6:00 (CET) Prague
Živý webinář
Po. 11 května 2026
7:00 (CET) Prague
Živý webinář
Út. 12 května 2026
7:00 (CET) Prague
Živý webinář
Čt. 14 května 2026
6:00 (CET) Prague
Živý webinář
Čt. 14 května 2026
8:00 (CET) Prague
Prof. Hani Ounsi DDS PhD FICD
Živý webinář
Út. 19 května 2026
5:00 (CET) Prague
Živý webinář
Út. 19 května 2026
7:00 (CET) Prague
Prof. Dr. med. dent. Ivo Krejci
To post a reply please login or register