Cílem článku je představit nový systém využívající zmenšený aparát Tongue Star 2 (TS2) k léčbě závažných skeletálních otevřených skusů. V první části se autor věnuje klinickému využití TS2. Druhá část je věnována problematice protlačování jazyka, etiologii otevřeného skusu a jeho léčbě
Klinické evaluace TS2
Metodika
Autor článku zhodnotil klinické používání první generace aparátu Tongue Star s devíti zaoblenými výstupky a získané poznatky vložil do vývoje Tongue Star aparátu druhé generace (TS2).
Nový TS2 byl vytvořen v Itálii společností SIA Orthodontic Manufacturer. TS2 sestává ze čtyř částí. Tělo se šesti tie-wing zářezy pro aplikaci zkřížených tahů je pro větší pružnost aparátu připájeno k bázi, na rozdíl od první generace aparátu, který byl vyráběn v jednom celku, a ta má na povrchu speciální mřížku, která slouží ke zvýšení vazby na zub (obr. 1).
Pro každého pacienta se doporučuje použít 12 TS2 aparátů. Šest se umisťuje na gingivální třetinu palatinálních ploch horních zubů od špičáku po špičák. Dalších šest se pak umístí stejným způsobem na dolní zuby od špičáku po špičák.
TS2 je hlavní součástí čtyřčlenného systému určeného k léčbě protlačování jazyka. Druhou komponentou je současné nasazení aktivních samoligovacích dvoukřidélkových zámků, do kterých se inkorporuje třetí prvek – nové iniciální NiTi iArch oblouky, které působí lehkými silami. Síly generované tímto obloukem mají větší složku vertikální, než horizontální (např. .018“ × .014“). Dosahuje se tak posunu momentu torze blíže centru rezistence u horních i dolních řezáků. Společně s kompenzačním zakřivením dolních a horních oblouků je výsledkem výrazná reerupce řezáků. Čtvrtou komponentou je použití vertikálních intermaxilárních čtvercových tahů umístěných na labiální plochy frontálních zubů od horních laterálních řezáků k dolním špičákům (6,4 mm MEDIUM). Ty napomáhají reerupci frontálních zubů v součinnosti s TS2.
Klinické výsledky a poznatky
TS2 jsou vysoce účinné při protlačování jazyka a k rychlé úpravě otevřeného skusu (ROC). Nebyly zaznamenány žádné klinicky významné resorpce kořenů zubů v souvislosti s aplikovanými silami. Proto jsou TS2 aparáty doporučovány k rychlé úpravě otevřeného skusu – způsobí retrakci jazyka v průběhu léčby a tím umožňují reerupci frontálních zubů.
Protlačování jazyka
Jazyk ovlivňuje postavení zubů, jelikož svaly, které jej tvoří, jsou jedny z nejsilnějších svalů lidského těla s reflexivní funkcí. Ortodontické vady typu otevřeného skusu rozdělujeme do dvou kategorií. Anteriorně otevřený skus v rozsahu špičák– špičák a laterálně otevřený skus v oblasti premolárů a molárů. U otevřeného skusu se jazyk snaží uzavřít dutinu ústní pro efektivní polykání. Tím se dostává do nepřirozené anteriorní polohy. Síla jazyka navíc při tomto pohybu působí kraniálně i kaudálně. Horní i dolní frontální zuby jsou omezovány v jejich erupci. Tím se postupně zhoršuje otevřený skus. Horní i dolní zuby nejsou pouze intrudované, ale také výrazně protrudované díky nepřirozené anteriorní pozici jazyka mezi řezáky. S otevřeným skusem jsou spojeny další anomálie.
Etiologie otevřených skusů zahrnuje:
1) Primárně anteriorní, kraniální a kaudální pozice jazyka spolu s jeho protlačováním
2) Alergie, astma, nosní obstrukce (daná například deviací septa) jako následek chronického zánětu v oblasti konch, chronicky zvětšené nosní mandle, atd.
3) Primární habituální ústní dýchání, často spojené s anteriorní, kraniální a kaudální pozicí jazyka v dutině ústní
4) Skeletální růst mandibuly dolů a vpřed (dolichocefalický)
5) Svalová hypoaktivita (u extrémních případů je otevřený skus pozorován u pacientů se svalovou dystrofií)
6) Opožděné prořezávání řezáků a nadměrné prořezání molárů
7) Zlozvyky jako jsou dumlání palce, dumlání prstu, dumlání pokrývky, používání dudlíku ještě po šestém roku věku.
Na úpravu anteriorní pozice jazyka je možné použít různé aparáty. Známe tradiční aparáty jako je zábrana na jazyk pájená na molárové kroužky; zámky lepené na palatinální plochy horních řezáků. Tyto aparáty bývají často objemné a pro pacienty nepohodlné.
Co je TS2?
První Tongue Star s devíti zaoblenými výstupky k prevenci anteriorní polohy jazyka byl vyvinut jako jednodílný aparát v roce 2014. Tato první generace byla klinicky testována autorem článku v jeho soukromé ortodontické praxi v Torontu v Kanadě. Aparát byl účinný v úpravě polohy jazyka u otevřených skusů (ROC), a v návaznosti na klinické poznatky byl TS1 dále modifikován.
Druhá generace TS2 byla vytvořena v Itálii společností SIA Orthodontic Manufacturer a skládá se ze 4 částí:
1) Těla s devíti zaoblenými výstupky a s inovací v podobě šesti tie-wing zářezů
2) Pájeného spoje těla k bázi kvůli flexibilitě
3) Báze
4) Oddělené speciálně designované mřížky pro rezistenci proti střižným silám a silnější vazbu
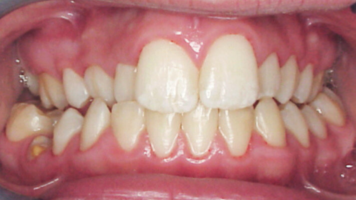
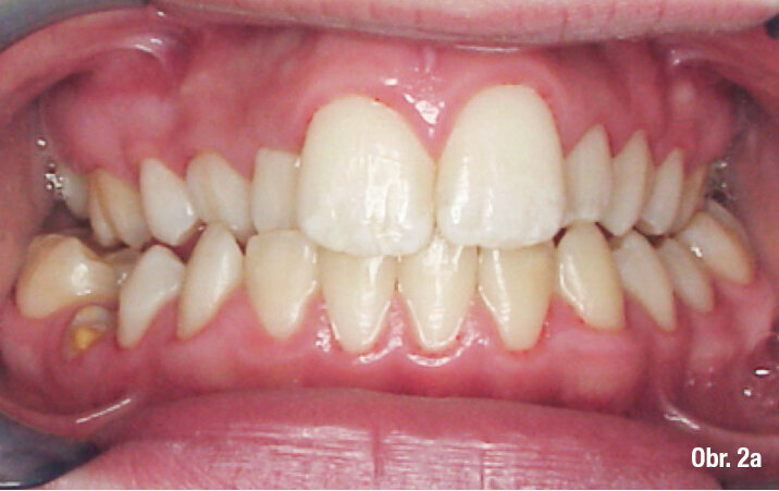
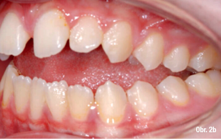
Samostatná aplikace speciálně designované mřížky zlepšuje sílu vazby a působí proti střižným silám. TS2 je miniaturní zařízení v rozměrech podobné lepeným knoflíkům. Tím je pohodlné pro pacienta a umožňuje udržování dobré hygieny. Zářezy typu tie-wing jsou umístěny do šesti z devíti výstupků a slouží k umístění zkřížených tahů. Ty s výhodou využíváme u laterálně otevřeného skusu, který je často spojen se závažnou konstrikcí v horní čelisti (obr. 2a, b).
Kam umístit TS2?
Klinicky se TS2 aplikují do střední třetiny orálních ploch horních a dolních zubů od špičáku po špičák (obr. 3a, b). U horních zubů je doporučené umístění o něco více gingiválně než ve střední třetině zubu, abychom se vyhnuli předčasnému kontaktu s dolními zuby v průběhu uzavírání skusu. Při nasazení použijeme 12 TS2, aktivní samoligovací zámky s novými NiTi iArch oblouky .018“ × .014“ (SIA Orthodontics). Dále se aplikují intermaxilární čtvercové tahy (6,4 mm MEDIUM) od horních laterálních řezáků k dolním špičákům. Tím se usnadňuje uzavírání otevřeného skusu (obr. 4a, b). Intermaxilární tahy jsou tedy poslední položkou ve čtyřdílném systému pro rychlý uzávěr otevřeného skusu.
Laterálně otevřený skus často spojený s konstrikcí v horním zubním oblouku. Je často důsledkem sekundárního ústního dýchání a chronické dysbalance mezi pozicí jazyka a aktivitou m. buccinator (obličejové svalstvo).
Laterálně otevřený skus často spojený s konstrikcí v horním zubním oblouku. Je často důsledkem sekundárního ústního dýchání a chronické dysbalance mezi pozicí jazyka a aktivitou m. buccinator (obličejové svalstvo).
Doporučené umístění TS2 – o trochu více gingiválně u horních řezáků
Doporučené umístění TS2 – o trochu více gingiválně u horních řezáků
TS2 s anteriorními čtvercovými tahy a aktivními samoligovacími zámky jsou vysoce efektivní k rychlé úpravě závažných skeletálních anteriorně a laterálně otevřených skusů
TS2 s anteriorními čtvercovými tahy a aktivními samoligovacími zámky jsou vysoce efektivní k rychlé úpravě závažných skeletálních anteriorně a laterálně otevřených skusů
Zaujala Vás ukázka článku? Celý článek můžete prostudovat v příslušném vydání časopisu Ortho 1/2018
Stáhněte si jej ve formátu PDF
Ortho 1/2018
Štítky:
Cílem tohoto článku je představit nový zmenšený aparát BiTurbo2 (BT2), který je součástí čtyřčlenného systému používaného k léčbě ...
V lednu 2017 vydalo Ormco Insignia Workbook, publikaci, která sdružuje osvědčené postupy a kazuistiky zkušených uživatelů značky Insignia z ...
LUCEMBURK: Teledentální péče zaznamenala během pandemie SARS-CoV-2 výrazný rozmach a její rostoucí využívání nadále vyvolává právní i ...
Během krátké doby se z RECIPROC® stal celosvětově velice úspěšný systém pro preparaci kořenového ...
Tradiční metoda korekce dásňového úsměvu (gummy smile) s nevyhovujícím poměrem “dáseň versus ...
L’AQUILA, Itálie: Vědci z univerzity v italské L’Aquile upozorňují ve své nové studii na význam zdravé ústní dutiny ve vztahu k léčbě ...
Dvě lahvičky pro jeden protokol pro jakoukoli proceduru – KaVo Kerr představuje snadno zopakovatelné výsledky při jakémkoli scénáři použití s ...
Ztráta vertikálního rozměru skusu atricí a/nebo erozí vede v důsledku ústupu ústní spodiny a jazyka ne zcela vzácně k zúžení horních cest ...
V posledním desetiletí byly vyvinuty a rozvíjely se nové CAD/CAM (Computer Aided Design/Computer Aided Manufacturing) systémy a materiály pro výrobu ...
Rozhovor s Dr. Sherifem Kandilem, zkušeným odborníkem, CEO společnosti K Line Europe GmbH
Živý webinář
Po. 11 května 2026
6:00 (CET) Prague
Živý webinář
Po. 11 května 2026
7:00 (CET) Prague
Živý webinář
Út. 12 května 2026
7:00 (CET) Prague
Živý webinář
Čt. 14 května 2026
6:00 (CET) Prague
Živý webinář
Čt. 14 května 2026
8:00 (CET) Prague
Prof. Hani Ounsi DDS PhD FICD
Živý webinář
Út. 19 května 2026
5:00 (CET) Prague
Živý webinář
Út. 19 května 2026
7:00 (CET) Prague
Prof. Dr. med. dent. Ivo Krejci
To post a reply please login or register