V posledním desetiletí se léčba fóliovými aparáty (CAT – clear aligner therapy) stala velmi dobře známou variantou ortodontické terapie, a to především kvůli požadavkům pacientů na estetiku aparátů. Při vší úctě ke konvenčním fixním aparátům, estetika není jedinou výhodou CAT. V několika odborných článcích autoři dospěli k závěru, že fóliové aparáty poskytují vyšší komfort, neobsahují kovy a nedráždí sliznici tváří a gingivy. Umožňují též sejmutí aparátů před jídlem, tím pádem i lepší orální hygienu (např. flossing), ve výsledku pak vedou k menší bolestivosti v porovnání s fixními aparáty. Při léčbě fóliovými aparáty je na základě požadované finální polohy zubů úmyslně do aligneru naprogramován nesoulad mezi aktuální polohou zubu a polohou zubu v aligneru. Prostřednictvím toho je generována potřebná síla pro pohyb zubu. Nicméně CAT vykazuje určitá omezení při tvorbě složených sil nutných k dosažení extruze, rotace, bodily posunu a úpravě postavení kořenů. Za účelem překonání těchto limitů a ke zlepšení biomechaniky CAT byly navrženy pomocné prostředky jako například power ridges a kompozitní attachmenty. Přesto však ortodoncie není pouze o aplikované biomechanice, ale zásadní roli hraje biologická odpověď pacienta. Fóliové aparáty jsou schopny vyvolat stejnou biologickou reakci jako aparáty fixní.
Stimulace kostních buněk je zprostředkována několika mediátory jako například tumor nekrotizující faktor, nukleární faktor kappa B a osteoprotegerin. Osteopontin je pak další protein, který bývá spojován s kostní resorpcí a adhezí osteoklastů ke kostní matrix.
Výzkum ukázal, že použití cyklických sil zvyšuje míru kostní remodelace v porovnání s konstantně působícími silami. Síla propagující se přes alveolární kost a periodontální ligamenta je transformována jako tkáňové a buněčné napětí, které vyvolává tok intersticiální tekutiny. Ačkoli je tento tok mediátorem mechanicko-transdukčního přenosu, jeho anabolické a katabolické účinky jsou závislé na deformaci molekul extracelulární matrix, transmembrá-
nových kanálů, cytoskeletu a jádrových struktur. Je známo, že buňky rychleji reagují na oscilace v určitém rozpětí sil (např. cyklické síly) než na síly konstantní. Nicméně randomizované klinické studie testující komerční zařízení generující cyklické síly během ortodontické léčby vedly k rozporuplným výsledkům. Odchylky v obou zmíněných studiích znemožnily vyvodit konečný závěr. V reálném klinickém použití však bylo stejné zařízení hodnoceno jako spolehlivé. Testovaným zařízením je AcceleDent (OrthoAccel Technologies). Zařízení má náustek podobný sportovním chráničům, do kterého pacient během používání skousne. Náustek je spojen s aktivátorem, který zůstává mimo ústa pacienta. Přístroj obsahuje součásti generující cyklické síly (vibrace) – baterii, motor, otočné závaží a mikroprocesor pro ukládání dat o používání. Pacient připojí náustek k aktivátoru a používá přístroj jednou denně po dobu 20 minut. Zařízením generovaná síla je cca 0,25 N (25 g). Tato nízká síla je pacienty vnímána jako stěží rozpoznatelná a pohodlná. Zařízení může být používáno jak s fixními, tak fóliovými aparáty. Studie na lidské lebce ukazují, že vibrace generované zařízením AcceleDent jsou dobře přenášeny prostřednictvím dentice a lebečních kostí. Proto je zařízení schopno zkrátit dobu léčby vyvoláním rychlejší reakce kostních buněk na ortodontické síly.
Kazuistika
25letá pacientka požadovala estetickou ortodontickou léčbu, kterou nebylo jednoduché naplánovat vzhledem k tomu, že je umělkyní a cestuje po celé Evropě. Během vyšetření byla diagnostikována II. třída 1. oddělení, mírné stěsnání v dolní čelisti a středně těžké stěsnání v čelisti horní. Incizální schůdek byl 10 mm. Profilová zkouška jasně ukazuje protruzní postavení rtů (obr. 1a–c). Pacientka odmítla extrakční nebo ortodonticko-chirurgickou léčbu. Vhledem k jejím požadavkům na estetiku byl léčebný plán stanoven takto: léčba fóliovými aparáty Invisalign (Align Technology) s výsledným postavením molárů i špičáků v I. třídě, které bude dosaženo postupnou distalizací horních molárů s pomocí kompozitních attachmentů na všech distalizovaných zubech a tahů II. třídy (obr. 2, 3). Pacientce bylo doporučeno nosit fólie a tahy II. třídy nejméně 21 hodin denně. Dále pacientka používala přístroj AcceleDent 20 minut denně po celou dobu trvání ortodontické léčby. Fólie byly měněny každé 2 týdny, dokud nebyly druhé horní moláry plně distalizovány, potom každých 10 dnů, dokud nebyly první moláry ve své finální pozici, a nakonec každých sedm dní až do konce léčby.
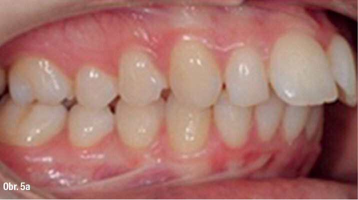
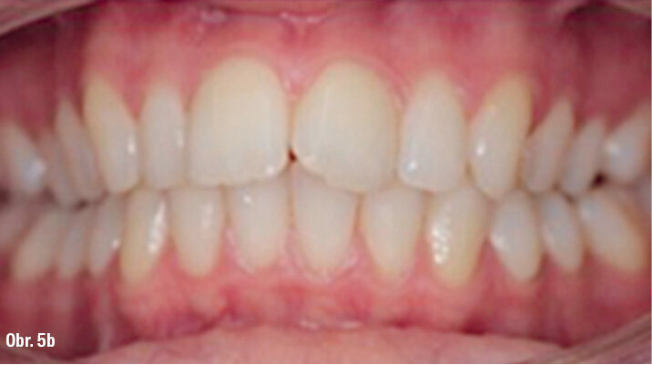
ClinCheck (Align Technology) software navrhl k získání požadovaných výsledků 63 alignerů s předepsaným množstvím atachmentů a nasazením tahů II. třídy. Odhadovaná doba léčby byla přibližně 30 měsíců. Nicméně protože se pacientka rozhodla používat přístroj AcceleDent, léčba byla ukončena již po 18 měsících bez nutnosti refinementu, tedy s původně plánovanými 63 alignery (obr. 4a–c, 5a–c).
Klinický výsledek byl vynikající, postavení molárů i špičáků v I. třídě, vyhovující překus a předkus. I profil dolní třetiny obličeje byl výrazně lepší.
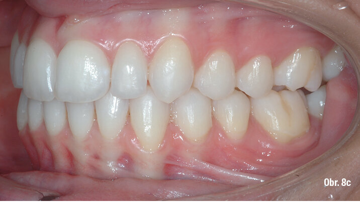
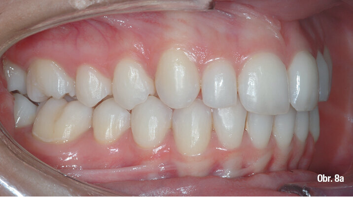
Na překrytí kefalometrických snímků je zřejmá distalizace molárů o 6 mm bez výraznějšího sklonu a s ideálním bukolingválním sklonem řezáků. Tahy druhé třídy umožnily protrakci mandibuly o 1,5 mm. Jako retenční aparáty jsme zvolili Vivera retainery (Align Technology) (obr. 6, 7a–c, 8a–c).
Kazuistika - popis v textu
Kazuistika - popis v textu
Kazuistika - popis v textu
Kazuistika - popis v textu
Kazuistika - popis v textu
Kazuistika - popis v textu
Kazuistika - popis v textu
Kazuistika - popis v textu
Kazuistika - popis v textu
Kazuistika - popis v textu
Kazuistika - popis v textu
Kazuistika - popis v textu
Kazuistika - popis v textu
Kazuistika - popis v textu
Kazuistika - popis v textu
Kazuistika - popis v textu
Kazuistika - popis v textu
Kazuistika - popis v textu
Kazuistika - popis v textu
Diskuze a závěr
Několik studií, které popisují dentoskeletální účinky aparátů při léčbě II. třídy, u těch nevhodně fungujících konstatovalo ztrátu kotvení. To se projevilo distálním sklonem a extruzí molárů. Ztráta kotvení obvykle nastává i ve frontálním úseku chrupu v důsledku reakce na distalizační sílu. Odborné výzkumy potvrdily, že použití tahů druhé třídy během distalizace horních molárů při léčbě fóliovými aparáty brání nekontrolované protruzi frontálních zubů. Navíc sekvenční distalizační protokol limituje otevírání místa mezi distalizovanými zuby, což je estetičtější, a navíc zajišťuje maximální kontakt aligneru se zuby a redukuje pružnost materiálu fólie. To naopak minimalizuje nekontrolovaný sklon řezáků, který se klinicky projeví jako hluboký skus a ztráta palatinální torze.
Celková doba terapie je ovlivněna závažností malokluze, velikostí požadovaných pohybů zubů a aplikovanými silami. Distalizace horních molárů je často požadována při neextrakční léčbě II. tříd. Řešení II. třídy pomocí distalizace horních molárů může být indikována u pacientů s minimálními skeletálními odchylkami.
Simon et al. prokázali vysokou přesnost (88 %) bodily posunu horních molárů při léčbě CAT, kdy průměrná velikost plánované distalizace byla 2,7 mm. Nejvyšší přesnost léčby autoři prokázali, pokud byl pohyb podpořen přítomností attachmentů na zubu. Dále zdůraznili význam stagingu pro prediktabilitu léčby. Také Ravera et al. zkoumali dentoskeletální efekt distalizace horních molárů při léčbě fóliemi Invisalign u dospělých pacientů. Zjistili, že lékaři mohou bezpečně plánovat léčbu pomocí Invisalign u dospělých pacientů, kde požadují distalizaci horních molárů v rozsahu 2–3 mm.
K dosažení takové velikosti pohybu je třeba extrahovat třetí moláry, pokud jsou přítomny, aby byl dostatek místa pro posun druhého a prvního moláru z II. třídy. Objevují se i námitky, že na zuby posouvané pomocí fóliových aparátů působí přerušované síly, a ty proto nepodléhají typickým fázím ortodontického pohybu, jak je popisují Krishnan a Davidovitch. Ale i lehké kontinuální síly mohou být peridonciem vnímány jako přerušované, navíc intermitentní síly jsou schopny produkovat ortodontický pohyb za cenu menšího poškození buněk v porovnání s lehkými kontinuálními silami.
Cyklické síly aplikované přístrojem AcceleDent mají oscilační povahu, a tudíž se jejich velikost mění rychle a opakovaně v daném rozsahu, což ovlivňuje buňky při každé takové oscilaci. Frekvence cyklických sil není nikdy nulová. Koncept adekvátní frekvence působících sil má obrovský význam, avšak na poli ortodoncie a obličejové ortopedie byl až donedávna používán jen velmi zřídka. Je známo, že buňky reagují pohotově na rychlou oscilaci v daném rozsahu (i.e. na cyklické síly) než na síly kontinuální. Proto AcceleDent funguje jako fyzikální mediátor tvorby a remodelace kosti během ortodontického pohybu zubu, což usnadňuje léčbu alignery. Výsledkem je vynikající tracking alignerů, biomechanicky umožněný přesnější interakcí mezi fólií, attachmenty a povrchem zubu (obr. 9). Úspěšné zařazení přístroje AcceleDent do ortodontické léčby může významně zkrátit dobu léčby, což z něj dělá atraktivní doplněk terapie pro pacienty. V prezentované kazuistice byla doba léčby touto efektivní, uživatelsky přívětivou a bezpečnou pomůckou zkrácena o 45 %.
Článek byl poprvé publikován v Ortho – international magazine of orthodontics, vydání 2/2017.
Ortho 1/2018
Štítky:
Zkrácení ortodontické léčby je jedním z nejběžnějších požadavků našich pacientů. Přestože jsou pro nás přání pacientů velmi ...
LUCEMBURK: Teledentální péče zaznamenala během pandemie SARS-CoV-2 výrazný rozmach a její rostoucí využívání nadále vyvolává právní i ...
V posledních deseti letech získává ortodontická léčba pomocí průhledných alignerů na popularitě. Pacienti si chválí, jak jsou aparáty ...
Je-li to vhodné, k léčbě pacientů, kteří chtějí vylepšit svůj úsměv rychle a bez použití fixních aparátů, je možné využít průhledné ...
Endodoncia je predovšetkým o zachovávaní prirodzených zubných tkanív. Nie je lepší ...
Takřka každý člověk touží po perfektním úsměvu. Dale Carnegie řekl, že jednou z nejdůležitějších cest, jak získat přátele a působit na ...
V tomto článku prezentuji klinický případ managementu periimplantátových měkkých tkání pomocí spojení na míru přizpůsobené kolagenní ...
Strach ze zubního lékaře a stomatologického ošetření je velmi závažným problémem, který zásadně přispívá k vyhýbání se stomatologické ...
První dolní molár mladého pacienta musel být extrahován kvůli rozsáhlému poškození kazem s endodontickými komplikacemi – pro nahrazení zubu a...
Alignery se staly oblíbenou metodou léčby malokluzí u dospělých, a to díky své pohodlnosti a estetickému vzhledu. Podle specializovaného průzkumu...
Živý webinář
Čt. 30 dubna 2026
1:00 (CET) Prague
Dr. Renato Leonardo D.M.D.
Živý webinář
Čt. 30 dubna 2026
7:00 (CET) Prague
Živý webinář
Ne. 3 května 2026
6:00 (CET) Prague
Dr. Rickard Brånemark MSc, MD, PhD, Dr. Robert Gottlander DDS
Živý webinář
Po. 4 května 2026
2:00 (CET) Prague
Živý webinář
Út. 5 května 2026
4:00 (CET) Prague
Živý webinář
Út. 5 května 2026
6:00 (CET) Prague
Živý webinář
Út. 5 května 2026
7:00 (CET) Prague
Dr. Maximilian Dobbertin M.Sc
To post a reply please login or register