Search Dental Tribune

Malokluze I. třídy léčená pomocí F22 Aligners

Ilustrační obrázek
Dr. Salvatore Agosta, Itálie

Dr. Salvatore Agosta, Itálie

Po. 11 března 2019

uložit

Je-li to vhodné, k léčbě pacientů, kteří chtějí vylepšit svůj úsměv rychle a bez použití fixních aparátů, je možné využít průhledné alignery. Pro pacienty představují průhledné alignery možnost podstoupit léčbu neviditelnými snímacími aparáty, které jsou mnohem pohodlnější než fixní varianta. Tato terapie obecně sestává z nošení série průhledných dlah, které pacient mění každé dva týdny.

Informace o klinickém případu

26letá žena hledala možnost zlepšení vzhledu svého úsměvu. Je televizní celebritou a požadovala, pokud možno, neviditelné aparáty a rychlou léčbu. Cílem pacientky bylo, s ohledem na veřejné vystupování, dosažení nejlepšího možného vzhledu úsměvu bez nošení fixních aparátů.

V říjnu 2016 jsme provedli vyšetření pacientky na základě analýzy rentgenů, fotografií a intraorálních skenů (3Shape TRIOS). Veškeré záznamy byly odeslány do F22 Aligners na Ferrarskou univerzitu (Itálie) k prostudování ortodontickému týmu.

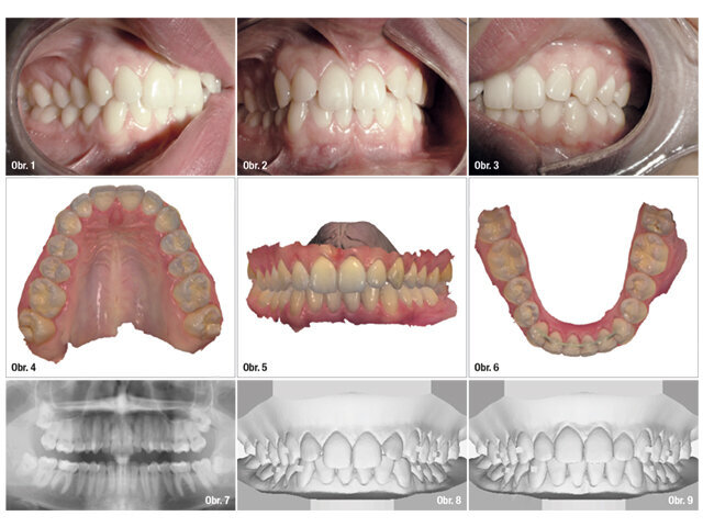
Pacientka měla na pravé i levé straně okluzi I. třídy. Zuby 11 a 21 byly skloněny palatinálně a zuby 12 a 22 vestibulárně. V dolní čelisti byl mírně rotovaný zub 31 (obr. 1–7).

Pacientka neměla žádné jiné signifikantní obtíže, kromě nevyhovující pozice dolního třetího moláru. Jeho stav však nepřinášel pacientce žádné problémy, proto jsme se rozhodli jej neřešit.

Průběh terapie

Případ byl prostudován pomocí softwaru 3Shape OrthoAnalyzer. Ten nám umožnil vytvořit si ortodontický wax-up a plán léčby pro konečný výsledek (obr. 8–10). Měli jsme možnost předem vidět postup terapie na krátkém videu.

V listopadu 2016 jsem seznámil pacientku s léčebným plánem spočívajícím v aplikaci dvanácti průhledných alignerů, které se budou vyměňovat každé dva týdny. Pacientka měla také možnost vidět léčbu na videu včetně výsledného stavu.

Pohyby zubů jsme schopni optimalizovat pomocí umístění kompozitních ortodontických attachmentů.

Léčba byla zahájena v prosinci 2016. Sestávala ze strippingu, nasazení ortodontických attachmentů a předání prvního páru průhledných alignerů pacientce. Zároveň jí bylo vysvětleno, jak je používat, a také, že je zapotřebí aparáty nosit minimálně 22 hodin denně.

Kontrolní návštěvy byly každé dva týdny. Byly kontrolovány body kontaktu a posuny zubů, a zároveň také ústní hygiena pacientky.

Závěr

Navzdory mnoha typům dostupných metod ortodontické léčby poskytly průhledné aparáty F22 v tomto případě optimální řešení pro splnění očekávání pacientky (obr. 11–13).

Díky digitálnímu skenování a CAD/CAM plánování poskytuje tento typ léčby velice předvídatelné výsledky. Digitální náhled také umožňuje lékaři případy lépe posoudit a v případě potřeby navrhnout alternativní typ léčby.

Důležitou výhodou digitalizace mojí ordinace je to, že mi umožňuje poskytovat svým pacientům více typů terapie.

Zvláštní díky patří Antonelle Carlucciové a ortodontickému týmu F22 z Ferrarské univerzity za laskavou podporu tohoto případu.

Originální kazuistika byla publikována na www.3shape.com/en/knowledge-center/case-studies.

Dr. Salvatore Agosta
vystudoval stomatologii
v červenci 2005 na Katánské univerzitě (Sicílie, Itálie). Jako student začal navštěvovat kurzy stomatologie po celé Itálii a Evropě, aby si zlepšil znalosti a získal nové dovednosti. Dr. Agosta otevřel svoji ordinaci jako praktický zubní lékař v Modica (Sicílie, Itálie) v roce 2009. Nadšeně se zajímá o všechny aspekty stomatologie. Intraorální skener 3Shape TRIOS používá od roku 2016. Jeho slovy: „Jsem za něj velice rád.“

Štítky:
advertisement
advertisement