Search Dental Tribune

Ortodontická léčba komplexních případů malokluze pomocí průhledných alignerů

Vstupní cefalometrický snímek (fotografie: Dr. Gina Theodoridis)
Dr. Gina Theodoridis, Řecko

Dr. Gina Theodoridis, Řecko

St. 15 prosince 2021

uložit

V posledních deseti letech získává ortodontická léčba pomocí průhledných alignerů na popularitě. Pacienti si chválí, jak jsou aparáty nenápadné a také to, že je možné je před jídlem a hygienou snadno z úst vyjmout. Další vý­hody této léčby se ukázaly během koronavirové pandemie, kdy pacienti nemohli tolik docházet do ordinací. Vedle estetických výhod léčby pomocí průhledných alignerů ortodontisté oceňují také technické vlastnosti alignerů, jako je přesnost a předvídatelnost pohybu zubů. Díky biomechanice alignerů a léčebnému softwaru je možné vyvolat ortodontické pohyby zubů v takových směrech, kterých by se pomocí klasické léčby dosahovalo obtížně, např. posteriorní distalizace. Výsledkem je rozsáhlá korekce II. třídy. Materiál alignerů je také účinný z hlediska zabraňování nežádoucí proklinace řezáků, a to jak během distalizace, tak po celou dobu léčby. Pomocí alignerů je tak možné do­sáhnout dobrých výsledků léčby, aniž by u případů se středním až závažným stěsnáním chrupu došlo k nadměrné proklinaci řezáků. Tento článek je případovou studií, která zdůrazňuje výše uvedené výhody.

 

Případová studie

Pacientkou je 27letá žena. Hlavním důvodem, proč se pro léčbu rozhodla, bylo stěsnání zubů a nerovný skus. Pacientka je profesionální tanečnicí a měla velké obavy, jak bude během léčby vypadat a jaký vliv bude mít léčba na její vystoupení. Po klinickém vyšetření byla na pravé straně zjištěna Angleova I. třída a II. třída vztahu molárů a špičáků na levé straně (obr. 1). Pro posteriorní okluzi na levé straně byl charakteristický zkřížený skus v oblasti molárů, premolárů a špičáků. Funkční posun mandibuly nebyl zjištěn. Středová čára mandibuly byla vychýlená doleva a ve vztahu ke středové čáře maxily, která byla z hlediska symetrie obličeje v pořádku, byly zuby posunuty o 4 mm. Dále byly zuby v dolní čelisti velmi stěsnané (11 mm). Zuby v horní čelisti byly stěsnané středně (10 mm). Kořeny zubů 31, 33 a 43 se jevily blízko bukální strany kompaktní kosti. Oba oblouky byly v oblasti premolárů a molárů zúžené.

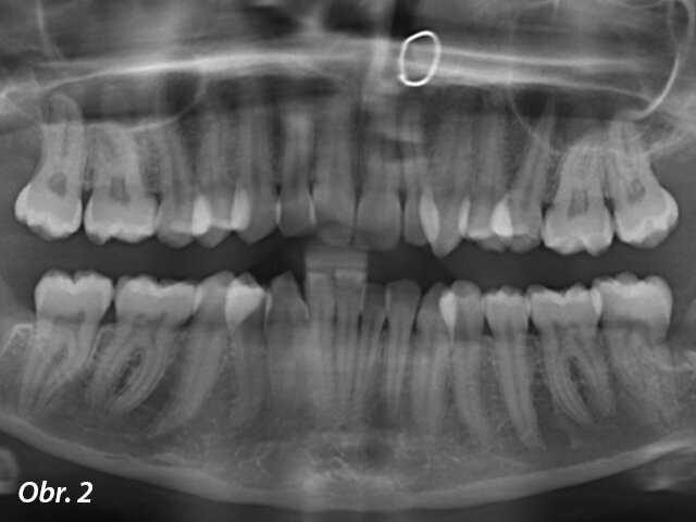
Na rentgenu se ukázalo, že struktura a morfologie kořenů je normální. V místě extrahovaného zubu 38 byly nalezeny pozůstatky kořene (obr. 2). Kefalometrická analýza odhalila I. třídu skeletálního modelu s lehce zvýšenou proklinací horních a dolních špičáků (obr. 3).

Pro pacientku byla zvolena léčba pomocí průhledných alignerů Invisalign (Align Technology). Plán léčby byl sestaven podle následujících cílů:

  • odstranit zkřížený skus na levé straně a dosáhnout vztahu molárů a špičáků I. třídy
  • rozšířit oblouky a dosáhnout anatomického tvaru
  • vyřešit stěsnání zubů a srovnat horní a dolní řezáky s minimálním užitím strippingu a bez dalšího zvětšování proklinace řezáků

První plán léčby ClinCheck počítal s 53 alignery. Zahrnoval postupnou posteriorní distalizaci o cca 4 mm na levé straně horní čelisti, expanzi o 2 mm na kvadrant a srovnání v anteriorní oblasti. Dále také stripping o 0,25 mm na vybraných plochách v dolním oblouku a od 0,10 mm do 0,15 mm v pravé části horního oblouku (obr. 4). V místě provedení strippingu byla plánována fluoridace. S distalizací na levé straně pomáhaly gumičky II. třídy. Interval pro výměnu alignerů byl sedm dní a následně byl zkrácen na pět. Ke zrychlení léčby a předvídatelnosti pohybu zubů byl použit vibrační přístroj. Při léčbě nebyly použity alignery pro nadměrnou korekci.

Po dokončení první části plánované léčby s alignery byla úspěšnost ortodontických pohybů naprogramovaných pomocí softwaru vyšší než 95 % (obr. 5). Oblouky získaly anatomický tvar a zkřížený skus a vztah II. třídy na levé straně byly opraveny. Došlo také ke zmírnění stěsnání zubů v obou čelistech a ke srovnání středové čáry. Průběžný klinický nález zahrnoval postranní otevřený skus jako výsledek pasivní laterální intruze v důsledku tloušťky materiálu alignerů a předčasných kontaktů na předních zubech. V oblasti dolních řezáků byly potřebné drobné doplňující posuny. K vyřešení těchto problémů tedy byla naplánována druhá fáze léčby pomocí alignerů, aby se zuby dostaly do finální pozice. Druhý plán léčby ClinCheck počítal s 16 alignery na horní a dolní čelist pro posteriorní extruzi a retrakci dolních řezáků, aby se uvolnil kontakt a bylo možné uzavřít laterálně otevřený skus. Pacientka pokračovala v používání vibračního přístroje a interval pro výměnu alignerů byl stanoven na pět dnů a následně byl zkrácen na tři dny. Poslední alignery pacientka nosila pouze dvanáct hodin denně, aby došlo k pasivnímu uzavření laterálního otevřeného skusu.

 

Výsledky léčby

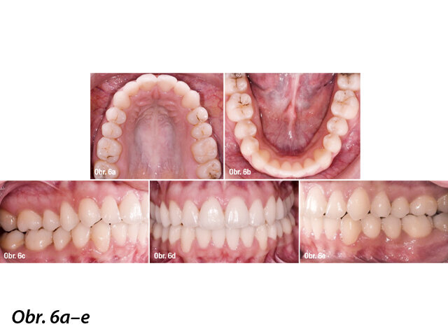
Po jedenácti měsících a celkem 66 alignerech na horní i dolní čelisti byla léčba pacientky dokončena. Všechny cíle léčby se podařilo splnit. Bilaterální vztah I. třídy byl dosažen, oblouky jsou symetrické a vyřešilo se i stěsnání zubů (obr. 6). Podle širokoúhlého rentgenového snímku (obr. 7) byly kořeny paralelně a nebyly zde žádné projevy resorpce kořenů (zcela potvrdit by to ale bylo možné pouze pomocí periapikálního rentgenu). Kefalometrická analýza ukázala, že si horní i dolní řezáky zachovaly svou pozici (původně byly dolní řezáky k linii APog 14 mm, finální poloha řezáků k linii APog byla 13 mm) (obr. 8).

 

Závěr

Ke splnění cílů léčby byly průhledné alignery účinné. Alignery obepínají řezáky, čímž je během distalizační fáze zajištěna dobrá kontrola pozice korunek a předejde se tím nežádoucí proklinaci. Kontrolovaným pohybem dolních řezáků lingválně a zmírněním stěsnání zubů pomocí strippingu je možné zamezit bukálnímu přesunu zubů a zachovat stav parodontu. Nežádoucí proklinace řezáků je velmi častým vedlejším účinkem léčby pomocí fixních aparátů, ke kterému dochází vlivem nekontrolovaného náklonu zubů ve fázi nivelizace. Středně náročné až obtížné případy stěsnání zubů je možné vyřešit léčbou pomocí alignerů bez extrakce. Řešením je efektivní využití prostoru vytvořeného strippingem. Korekce zkříženého skusu pomocí alignerů zároveň probíhá tak, že během přechodných fází nedochází k předčasnému kontaktu způsobenému tím, že by okluze zubů byla překrytá materiálem. Mimo to estetika téměř neviditelného ortodontického aparátu byla faktorem, který měl vliv na pacientčinu psychiku a dodával jí motivaci. Díky tomu dobře spolupracovala, a také díky tomu se nám podařilo dosáhnout optimálního výsledku léčby.

 

Dr. Gina Theodoridis vystudovala ortodoncii na New York University v USA, kde později také vyučovala. Průhledné alignery ve své praxi využívá už více než dvacet let. Působí jako lektorka kurzů po celém světě a je poskytovatelkou služeb Invisalign na úrovni Diamond. Je členkou správní rady organizací European Aligner Society a Greek Orthodontic Aligner Society. Vede svou soukromou ordinaci v řeckých Athénách.

Redakční poznámka: Článek byl publikován v mezinárodním vydání časopisu ortho – international magazine of orthodontics, Vol. 6, Issue 1/2021.

To post a reply please login or register
advertisement
advertisement