Alignery jsou předvídatelným a efektivním ortodontickým aparátem. I když existuje mnoho komerčních značek, systém Invisalign (Align Technology) se stal nejrozšířenějším mezi ortodontisty po celém světě a byly jím ošetřeny již miliony pacientů. Díky pokroku v technologii je 3D plánování léčby nyní předvídatelnější než dříve a výroba alignerů přímo v ordinaci je výrazně cenově dostupnější, protože 3D tiskárny, pryskyřice a termoplastické fólie jsou k dispozici téměř všude.
Každý ortodontický pacient, bez ohledu na použitou techniku léčby a aparáty, vyžaduje komplexní diagnostiku, aby pro něj bylo možno vytvořit individuální léčebný plán. Cílem článku je ukázat dvě různé možnosti léčby pacientů se středné složitou malokluzí pomocí alignerů, první aparátem Invisalign a druhou s alignery zhotovenými v ordinaci.
Pacientka 1: Léčba pomocí Invisalign Lite
35letá pacientka se skeletální II. třídou, brachyfaciálním biotypem, bilaterálně I. třídou v molárech a špičácích, posunem středové linie dolního zubního oblouku 1,5 mm vlevo, ektopickým zubem 33 s nedostatkem prostoru v oblouku, bukálně skloněným zubem 12, vnější kořenovou resorpcí zubů 26 a 46, oboustranným posunem disku s redukcí, nosním dýcháním a profilem měkkých tkání I. třídy. Její hlavní stížností bylo dolní stěsnání a posun středu.
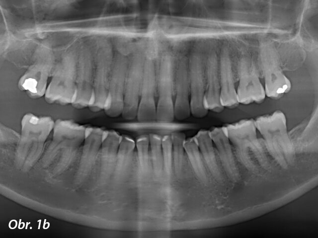
Léčba pomocí Invisalign Lite začala intraorálními a extraorálními fotografiemi pacientky pořízenými pomocí aparátu iPhone XS (Apple) a nahranými do aplikace Invisalign Photo Uploader. Byly požadovány následující rentgeny: panoramatický, bitewingy a boční dálkový snímek pacientky. Otisky byly provedeny metodou dvojího míchání dodatečně vytvrzeným silikonem konzistence pasty a tmelu pro získání co nejvíce podrobného otisku. Otiskovací lžíce byly odeslány do systému Align Technology Invisalign a všechny záznamy byly nahrány do archivu pacientů na Invisalign Doctor Site, následně byl vygenerován léčebný protokol.
Pacientka 1 – Počáteční telerentgen a panoramatický rentgen.
Pacientka 1 – Počáteční telerentgen a panoramatický rentgen.
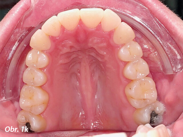
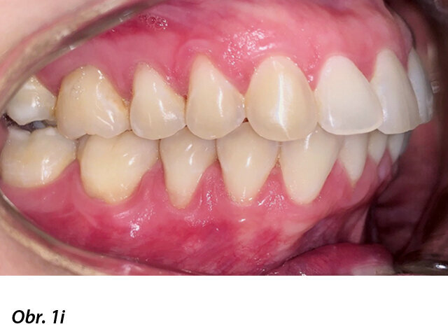
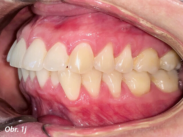
Pacientka 1 – Počáteční fotografie.
Pacientka 1 – Počáteční fotografie.
Pacientka 1 – Počáteční fotografie.
Pacientka 1 – Počáteční fotografie.
Pacientka 1 – Počáteční fotografie.
Pacientka 1 – Počáteční fotografie.
Pacientka 1 – Počáteční fotografie.
Pacientka 1 – Počáteční fotografie.
Pacientka 1 – Počáteční fotografie.
Pacientka 1 – Počáteční fotografie.
Původní plán léčby ClinCheck sestával ze 14 mandibulárních aktivních alignerů a osmi maxilárních aktivních alignerů, které doplňovaly pasivní fólie. Korunka zubu 33 se má během léčby postupně sklánět lingválně spolu s protruzí dolní fronty, aby se vyřešilo stěsnání řezáků. Pacientka byla instruována, že musí nosit alignery 22 hodin denně, přičemž první a druhý aligner měnila po dvou týdnech a zbylé alignery každý týden.
Poté, co pacientka po 16 týdnech dokončila používání prvního setu alignerů, byla stále evidentní bukální inklinace zubu 12, jehož kořen byl skloněn orálně. Kromě toho nebyl tracking mandibulárních alignerů zdaleka ideální z důvodu nedostatečné spolupráce ze strany pacientky.
Byl vygenerován nový ClinCheck, který upravoval tyto problémy. V rámci refinementu bylo vyrobeno 14 nových aktivních alignerů (sedm v každé čelisti). Požádal jsem také technika navíc o tři alignery pro každý oblouk, které stav překompenzovaly, pro dosažení optimálního vyrovnání zubů.
Po dalších devíti týdnech byla terapie dokončena. Bylo dosaženo dobrého vyrovnání zubů a korekce posunu střední čáry. Laterálně otevřený skus v oblasti molárů se spontánně uzavřel během měsíce po nasazení frontálních fixních retainerů.
Zaujala vás ukázka článku?
Celý článek můžete prostudovat v příslušném vydání časopisu Digital CZ/SK 1/2021 stáhněte jej ve formátu PDF
Dr. Tomás A. Salazar ARTIS Centro Odontológico Av. Presidente Kennedy 7500, Piso 5 7650618 Vitacura Region Metropolitana Santiago Chile e-mail: drtomas.salazar@gmail.com
To post a reply please login or register