Po připojení obou fragmentů byl podél lomné linie vybroušen oblý schůdek, doplněn dalším kompozitem a zpolymerován na místě. To zvýší sílu spojení a lépe zakryje lomnou linii. (Fotografie: Dr. Asgeir Sigurdsson, D.D.S., M.S.)
Časová osa péče je v mnoha případech klíčem k zachování zubu při léčení dentálních traumat. Je tedy důležité, aby se všichni zubní lékaři dobře orientovali v problematice diagnostiky a léčby nejčastějších úrazů zubů, a to obzvlášť v pohotovostní fázi léčby. Správné řízení léčby úrazu zubů je nejčastěji týmovým úsilím, kdy spolupracují praktický zubní lékař, pedostomatolog nebo stomatochirurg v přední linii pohotovostní služby, a endodontický specialista, který se přidává, aby se pokusil zachovat zub s ohledem na pulpu, pulpální prostor a kořen. Informované a koordinované snažení všech členů týmu zajišťuje, že pacient dostane tu nejrychlejší a nejúčinnější péči.
Panel členů American Association of Endodontists před několika lety připravil aktualizovanou verzi Doporučených postupů pro léčbu traumatických zubních poranění (Treatment od Traumatic Dental Injuries). Tyto postupy jsou zčásti založeny na současných doporučeních Mezinárodní společnosti pro zubní traumatologii (International Association of Dental Traumatology, pro více informací navštivte www.iadt-dentaltrauma.org). Tento článek poskytuje přehled postupů AAE, kompletní postupy jsou k dispozici zdarma na www.aae.org/clinical-resources/trauma-resources.aspx.
Výhody dodržování doporučených postupů léčby traumatu zubu byly nedávno předloženy ve studii Buchera a kol. V této studii bylo zjištěno, že případy, u kterých byly doporučené postupy dodrženy, vykazovaly mnohem příznivější výsledky včetně nižší míry komplikací – v porovnání s případy, u kterých nebyly doporučené postupy respektovány. Studie také odhalila, že brzké následné kontroly byly zásadní v zajištění včasného léčení komplikací v případě, že nějaké vznikly.
Pohotovostní péče
Před jakoukoliv léčbou musí lékař poranění důkladně zhodnotit pečlivým klinickým a radiologickým vyšetřením. Je doporučeno postupovat podle bodového seznamu, abychom si byli jisti, že nashromáždíme všechny potřebné informace týkající se pacienta a poranění, jakými jsou:
Pacientovo jméno, věk, pohlaví, adresa a kontaktní číslo (u mladších pacientů zapište i váhu)
Projevy symptomů centrálního nervového systému po úrazu
Pacientův celkový zdravotní stav
Kdy, kde a jak se stal úraz
Léčba, kterou pacient prodělal jinde
Anamnéza ohledně předchozích zubních poranění
Poruchy skusu
Reakce zubů na teplotní změny nebo citlivost na sladké/kyselé
Zda zuby bolí na dotek nebo během jídla
Zda pacient cítí spontánní bolest zubů
Jakmile jsou shromážděny všechny výše uvedené informace, může být určena diagnóza a poskytnuta náležitá léčba. Pokud není poraněný jedinec v záznamech praxe, všechny potřebné demografické informace by měly být získány okamžitě po příchodu pacienta, a ještě před jakýmkoliv posuzováním případu. V případě avulze a zubu mimo lůžko, by měl lékař okamžitě umístit zub do fyziologického roztoku či speciálního média (jako například Hank’s Balanced Salt Solution), mléka nebo sliny, pokud výše zmíněné roztoky nejsou k dispozici. Až když je zub bezpečně v roztoku, teprve pak bychom měli začít získávat informace o pacientovi. Poté, co je pacient usazen na dentální křeslo, je nutné udělat rychlé zhodnocení centrálního nervového systému (CNS) ještě před pokročením k dalšímu posuzování.
Často je zubní lékař prvním poskytovatelem péče, který vidí pacienta po poranění hlavy (jakýkoliv úraz zubu je dle definice i úrazem hlavy) a proto musí zhodnotit riziko otřesu nebo krvácení do mozku. V metaanalýze bylo odhadnuto, že prevalence intrakraniálního krvácení po lehkém úrazu hlavy je 8 % a následné symptomy mohou být zpožděny o minuty až hodiny. Nejčastějšími známkami vážného otřesu mozku nebo krvácení jsou ztráta vědomí nebo posttraumatická amnézie, nevolnost/zvracení, výtok tekutiny z ucha/nosu, situační zmatenost, rozmazané vidění nebo nestejnoměrné zornice a těžkosti při mluvení a/nebo nezřetelná řeč mohou také indikovat závažné poranění.
Jakmile jsou u pacienta vyloučeny jakékoliv problémy s CNS, měly bychom zhodnotit dentální trauma. Klíčem je získat srozumitelnou informaci o úrazu. Abychom toho byli schopni, musíme provést pečlivá extraorální a intraorální klinická vyšetření a vhodné radiografické zhodnocení.
Nové postupy od AAE doporučují u všech dentálních úrazů, včetně fraktur korunky, provést jeden okluzální a dva periapikální RTG snímky s různou laterální angulací. Pokud je k dispozici CBCT, mělo by být zvažováno u závažnějších poranění jako je fraktura korunky i kořene, alveolární fraktury a také u všech luxačních poranění.
Navíc by měly být provedeny testy citlivosti na všech zubech, které prodělaly úraz a také na odpovídajících zubech v opačné čelisti. U mladých pacientů jsou chladové testy doporučeny spíše než elektrické testy pulpy. Oba testy by však měly být provedeny, a to zvlášť v případě, kdy není žádná reakce na první test. Pulpa nemusí reagovat až několik týdnů po traumatickém poranění, takže by pulpální test měl být prováděn v každé kontrolní návštěvě až do doby, než je získána normální reakce.
Jakmile je potvrzena diagnóza a závažnější komplikace jako jsou problémy s CNS, čelistní a jiné obličejové fraktury jsou vyloučeny, musí být zahájena pohotovostní fáze léčby. Cílem léčby dentálního traumatu by mělo být buď zachování nebo obnovení pulpální vitality u traumatizovaného zubu. Zejména proto, že úrazy zubů se nejčastěji vyskytují v předpubertálním nebo pubertálním věku, kdy zuby ještě nejsou zcela vyvinuty a vývoj kořene se bez vitální pulpy zastaví.
Klinické příklady
Traumata zubu mohou být rozdělena zhruba na dvě skupiny: fraktury a luxační úrazy. Fraktury jsou dále děleny dle typu na korunkové, korunkové a zároveň kořenové (korunko-kořenové) a kořenové. Pokud je pulpa vystavena vnějšímu prostředí, je fraktura definována jako komplikovaná, pokud není pulpa odhalena považuje se poškození za nekomplikovanou frakturu.
Obr. 1a: Klinický případ dvou nekomplikovaných fraktur korunky, kdy dva ulomené fragmenty byly nalezeny a znovu připevněny (fotografie poskytnuty American Association of Endodontists)
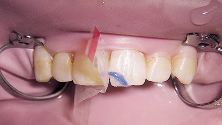
Obr. 1b, c: Po připojení obou fragmentů byl podél lomné linie vybroušen oblý schůdek, doplněn dalším kompozitem a zpolymerován na místě. To zvýší sílu spojení a lépe zakryje lomnou linii.
Obr. 1b, c: Po připojení obou fragmentů byl podél lomné linie vybroušen oblý schůdek, doplněn dalším kompozitem a zpolymerován na místě. To zvýší sílu spojení a lépe zakryje lomnou linii.
Fraktury korunky
První, co je třeba udělat u jakékoliv korunkové nebo korunko-kořenové fraktury, je pokusit se najít odlomený fragment zubu. S moderní bondovací technologií je možné znovu spojit odlomený fragment se zbytkem zubu, což je esteticky nejlepší řešení. Ještě před připojením fragmentu zubu musí být tloušťka vrstvy zubu mezi pulpou a povrchem zhodnocena radiologicky a klinicky. Pokud zbývá alespoň 0,5 mm dentinu, není nutno místo překrývat ochrannou podložkou. Pokud je stanoveno, že zbytkový dentin je méně než 0,5 mm široký, je doporučeno překrýt oblast fraktury nejblíže u pulpy podložkou a tvarově přizpůsobit spojovací plochu fragmentu. Pokud byl fragment zubu držen v suchu, měl by být rehydratován v destilované vodě nebo slině po dobu 30 minut před spojováním, což zvýší vazebnou sílu (obr. 1a–c).
V případě komplikované fraktury je cílem chránit pulpu vytvořením těsnicího uzávěru proti bakteriím poté, co jsme se ujistili, že pulpální rána je čistá a veškerá zánětlivá tkáň je odstraněna. V dnešní době jsou dva nejlepší dostupné materiály na překryv pulpy, a to kalcium hydroxid a MTA, ale novější biokeramické materiály se také zdají být slibné.
Dr. Asgeir Sigurdsson, D.D.S., M.S. získal titul zubního lékaře v roce 1998 na Islandské univerzitě, fakulta zubního lékařství. Promoval na Univerzitě v Nové Karolíně v Chapel Hill v roce 1992 s certifikátem z endodoncie a doktorským titulem se zaměřením na neurobiologii a vnímání bolesti. Na plný úvazek byl členem stomatologické fakulty na tamní univerzitě v letech 1992 až 2004, nejprve jako odborný asistent a poté od roku 2000 i jako docent. V roce 1997 byl jmenován vedoucím programu endodoncie a sloužil v této pozici až do roku 2004. V letech 2004 až 2012 působil v soukromé endodontické praxi v Reykjaviku, Island a Londýně, Anglie. V září roku 2012 se stal ředitelem oddělení endodoncie na newyorské univerzitě na fakultě zubního lékařství. Navíc má následující akademické posty: Od roku 2004 docent na UNC, od roku 2006 čestný klinický vyučující endodontologie na ULC Eastman dentálním institutu, Londýn, a od roku 2011 čestný klinický docent na fakultě zubního lékařství v univerzitě v Hong Kongu. Nesčetněkrát přednášel po celém světě o úrazech zubů, endodoncii, diagnostice bolesti a forenzním zubním lékařství. Je aktivní v mnoha profesních organizacích a je exprezidentem mezinárodní společnosti pro dentální traumatologii (IADT). V roce 1998 získal cenu Edwarda M. Oseteka za vzdělávání od Americké asociace endodotistů.