Celokeramické frontální korunky (IPS e.max lithium disilikát) nasazené pomocí Monobond Etch & Prime.
Až dosud sestávalo kondicionování sklokeramických náhrad z leptání kontaktního povrchu kyselinou fluorovodíkovou a následné silanizace. Monobond Etch & Prime je jednosložkový primer, který umožňuje leptání keramických povrchů a silanizaci v jednom kroku.
Frontální korunky lze vidět v mnoha různých variantách, od čistě funkčních po vysoce estetické, podle požadavků a finančních možností pacienta, dovedností zubního technika, dostupnosti materiálů a použitých technik preparace a cementování. Řada frontálních korunek byla v minulosti považována za estetické, ale požadavkům dnešních pacientů již nevyhovují. Podobně tomu bylo i v níže uvedeném případě.
Kazuistika
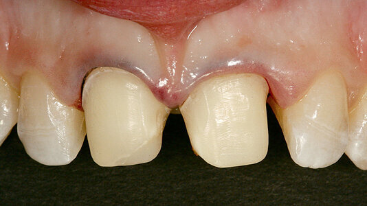
Když přišla do naší ordinace, byla největším přáním této dvacetileté studentky výměna korunek na dvou středních horních řezácích (obr. 1). Ve 14 letech prodělala úraz frontálních zubů, který zjevně poškodil mezio-incizální část incizní hrany obou zubů. V zubní ordinaci, kterou pacientka v té době navštěvovala, byly zuby rekonstruovány metalokeramickými korunkami. Ačkoli již nebylo možné posoudit rozsah úrazu, současnou alternativou ošetření by – zejména s ohledem na mladý věk pacientky – byla pravděpodobně rekonstrukce formou přímé kompozitní výplně.
Obrázek 2 zachycuje zblízka z labiální strany dva střední řezáky. Obrázek 3 zachycuje incizální pohled. Korunky nevykazovaly žádné funkční defekty. Hlavním cílem ošetření proto bylo zlepšit estetický vzhled frontálních zubů, jak si přála pacientka. Pacientka byla následně informována o postupu ošetření – především o možné další preparaci vyžadující odstranění struktury zubů – a o ceně ošetření. Samotné ošetření bylo zahájeno při další návštěvě.
Náhrady byly vyrobeny zubní laboratoří Hildegard Hofmann (Mainz, Německo). Pro tento případ byly zvoleny presované celokeramické korunky z IPS e.max, protože jsou první volbou právě pro tento typ indikace. Tuto indikaci potvrdila řada klinických studií, včetně nedávno vydaných pokynů ke keramickým náhradám „German S3 Clinical Practice Guideline“.
Před odevzdáním nových náhrad byla v oblasti ošetřovaných zubů aplikována anestezie. Byly odstraněny původní korunky a vazebné povrchy byly pečlivě očištěny ultrazvukem a čisticí pastou bez obsahu fluoridu. Protože byl jako upevňovací materiál zvolen cement Variolink® Esthetic, byly korunky ozkoušeny pomocí odpovídajících zkušebních past. Díky neutrálnímu odstínu (Neutral) bylo okamžitě dosaženo souladu se sousedními a dolními frontálními zuby. Nebyly nutné žádné změny, co se týče světlejšího (Light) nebo tmavšího (Warm) odstínu upevňovacího kompozitního materiálu. Tento vynikající soulad jsme přisuzovali tomu, že zubní technik vybíral odstín v zubní ordinaci. Náklady navíc spojené s tímto krokem daleko převáží nepříjemnosti spojené s nutností několika úprav nebo výroby nových náhrad z důvodu nesouladu odstínu.
Kondicionování korunek
Před kondicionováním byly z korunek odstraněny sliny a zbytky zkušební pasty (Ivoclean). Je vhodné vyrobit si „držák“, který umožní kondicionování vnitřních povrchů korunky bez nutnosti dotýkat se korunky prsty. V tomto případě byly korunky připevněny k držáku na kartáček pomocí světlem tuhnoucího provizorního kompozitního materiálu. Tento „držák“ také umožnil snadné umístění korunek během procesu upevňování. Jako alternativu by bylo možné použít nástroj OptraStick®.
Leptání sklokeramiky kyselinou fluorovodíkovou a následná silanizace je již několik desetiletí přijímanou metodou kondicionování. Její účinnost potvrzují i nejnovější studie. Vytváří pevnou vazbu i na nejmodernějších keramických materiálech jako je hybridní keramika.
Používá se 5% koncentrace kyseliny, která představuje podle posledních výzkumů rozumný kompromis.
Nový materiál Monobond® Etch & Prime, který byl představen na IDS 2015, je kondicionér na bázi polyfluoridu amonného. Výrobek se aktivně vtírá do vazebného povrchu (obr. 4) po dobu 20 sekund. Během tohoto procesu odstraní veškerou kontaminaci slinami nebo silikonem. Po dalších 40 sekund (obr. 5) reaguje polyfluorid amonný s keramickým povrchem a vytváří jeho drsný naleptaný charakter. Přestože není charakter povrchu tak výrazný jako v případě konvenčního leptání 5% kyselinou fluorovodíkovou po dobu 20 sekund, dosažené vazebné výsledky jsou v obou případech srovnatelné. Větší plocha vytvořená tímto způsobem pomáhá aktivovat keramický vazebný povrch.
Náhrada se poté opláchne, aby byl odstraněn polyfluorid amonný a jeho reaktivní produkty. Pak začíná reakce silanu a aktivovaného povrchu sklokeramiky. Po rozptýlení proudem vzduchu zůstává na keramice tenká vrstva chemicky provázaného silanu. Tento výrobek tedy kombinuje kroky leptání kyselinou fluorovodíkovou a silanizace a dokonce se zdá, že je zbytečné čištění prostředkem Ivoclean. Aktuálně dostupné údaje ze studií in vitro potvrzují, že pečlivé použití tohoto nového výrobku může nahradit metodu leptání kyselinou fluorovodíkovou a silanizaci. Ačkoli se neprokázalo, že by tato metoda ve vztahu k zavedeným metodám vazebné hodnoty zlepšovala, nebyly zjištěny žádné negativní účinky na adhezivní vazbu. Nicméně, protože je adhezivní vazba na sklokeramice považována za nejproblematičtější rozhraní v procesu upevňování nepřímých náhrad, nelze předpokládat ani žádné klinické výkyvy.
Ve zde prezentovaném případě bylo možné korunky nasadit pomocí konvenčních nebo samoadhezivních prostředků. Ztráta retence by měla být stejně nepravděpodobná jako výskyt praskliny v keramice vlivem nedostatečné adhezivní opory. Obrázek 6 zachycuje jednu ze dvou korunek po opláchnutí Monobond Etch & Prime a osušení povrchu proudem vzduchu.
Cementování korunek
K adhezivnímu cementování korunek byl použit nový cement Variolink Esthetic DC. Protože je tento upevňovací systém plně adhezivní, musí být zajištěna dostatečná kontrola nad vlhkostí. Vzhledem k okraji preparace v úrovni gingivy, zdraví gingivy a výborné spolupráci pacientky nebylo nutné nasazovat kofferdam. Při nasazování korunek byly proto k izolaci použity jen vatové válečky. Aby se zabránilo kontaminaci tekutinami ze sulku, byla umístěna dvě retrakční vlákna (Ultradent) (obr. 7 a 8).
Vazebné povrchy byly očištěny profylaktickou pastou bez obsahu fluoridu. V další fázi bylo aplikátorem naneseno adhezivum Adhese®Universal (obr. 9). Zbývající tenký okraj skloviny naleptán nebyl, aby se zabránilo krvácení gingivy. Adhese®Universal bylo vtíráno do kondicionovaného zubu minimálně po dobu 20 sekund, jak je uvedeno v návodu k použití. Podle výrobce nesmí být tato doba kratší – pouhé potření povrchu zubu adhezivem nestačí! Dále bylo adhezivum vysušeno jemným proudem vzduchu, až vznikla nepohyblivá, lesklá vrstva. Poté bylo adhezivum vytvrzeno světlem po dobu 10 sekund (obr. 10). Protože univerzálně kompatibilní adhezivum vytváří podstatně tenčí vrstvu než například Heliobond, je jej možné vytvrzovat bez následných problémů s dosednutím náhrady nebo zvýšením skusu. Zpolymerovaná adhezivní vrstva na zubu 11 a 21 je vidět na obrázku 11.
Obrázky 12 a 13 zachycují adhezivně nacementované korunky z IPS e.max LS2 při závěrečné kontrolní návštěvě, čtyři týdny po ošetření. Gingiva je bez podráždění a korunky hladce splývají s okolními zuby. Na obrázku 14 je zblízka vidět fantastické zlepšení vzhledu frontálních zubů, jehož bylo dosaženo pomocí celokeramických náhrad na zubech 11 a 21. Spokojená pacientka se po mnoha letech odvážila poprvé usmát (obr. 15).
Závěr
Použít inovativní výrobky a postupy, jako ty zde popsané, vyžaduje poměrně dost odvahy. Dosud nejsou k dispozici odpovídající klinické údaje, natož pak tolik potřebné dlouhodobé studie. Nicméně, někde se začít musí. Popsaný samo-kondicionující sklokeramický primer může nabídnout zajímavou možnost těm zubním lékařům, kteří by se chtěli co nejdříve zbavit kyseliny fluorovodíkové.
Protože má doba leptání značný vliv na pevnost vazby s keramikou, je třeba při použití kyseliny fluorovodíkové ke kondicionování keramických náhrad striktně dodržovat specifikace výrobce. Keramika IPS e.max LS2 by se měla leptat po dobu 20 sekund, používá-li se 5% kyselina fluorovodíková. Jiné konvenční sklokeramiky vyžadují 60 sekundové leptání. Dentsply/Degudent doporučují leptání jejich materiálem Celtra po dobu 30 sekund. Reakční doba Monobond Etch & Prime je na všech typech keramiky 60 sekund. Nabízí tak první krok směrem k prevenci chyb. Zbývá zjistit, zda externí studie potvrdí účinnost výrobku při vytváření adhezivní vazby na keramice jiné než od Ivoclar Vivadent.
Informace o autorovi a fotografie k článku naleznete na www.stomateam.cz
CHARLOTTE, USA: CEREC na DS Core zjednodušuje práci u křesla pro týmy, které začínají s digitální stomatologií. Cloudový přístup umožňuje ...
ZIRKONZAHN’S WORKFLOW: ANALOGUE – DIGITAL – ANALOGUE-SWITCHING
Tento článek byl poprvé publikován v časopisu Labline, letní vydání, 2017.
IonoSelect® – univerzální skloionomerní materiál v aplikačních kapslích VOCO
IonoSelect je...
Úspěch implantologického ošetření ve velké míře závisí na objemu kosti a na podpoře měkkých tkání. Komplexní augmentační postupy kladou i...
Nová generace vyplachovacích jehel navržená a vyrobená švýcarskou endodontickou společností PD (Produits Dentaires SA) umožňuje účinnější ...
Časová osa péče je v mnoha případech klíčem k zachování zubu při léčení dentálních traumat. Je tedy důležité, aby se všichni zubní ...
V posledních letech byly implantačnímu zubnímu lékařství představeny nové digitální technologie. Již zcela běžně je kupříkladu využívána...
Implantologie se v průběhu let neustále vyvíjí a je jednou z nejrychleji rostoucích oblastí naší profese....
Pro frontální úsek chrupu je v estetické a záchovné stomatologii k dispozici mnoho různých materiálů a možností léčby. Konvenční protokol, ...
Zubní lékaři přijímají a do své klinické praxe zahrnují neustále nové technologické pokroky, které zvyšují efektivitu, snižují výrobní ...
Živý webinář
Po. 11 května 2026
6:00 (CET) Prague
Živý webinář
Po. 11 května 2026
7:00 (CET) Prague
Živý webinář
Út. 12 května 2026
7:00 (CET) Prague
Živý webinář
Čt. 14 května 2026
6:00 (CET) Prague
Živý webinář
Čt. 14 května 2026
8:00 (CET) Prague
Prof. Hani Ounsi DDS PhD FICD
Živý webinář
Út. 19 května 2026
5:00 (CET) Prague
Živý webinář
Út. 19 května 2026
7:00 (CET) Prague
Prof. Dr. med. dent. Ivo Krejci
To post a reply please login or register