Search Dental Tribune

Smile Makeover pomocí fóliového ortodontického aparátu a kompozitních dostaveb

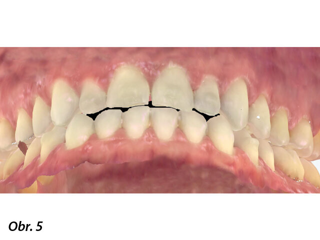
Znázornění okluze (fotografie: Pelin Baysal, Dr. Umut Baysal)
Pelin Baysal, Dr. Umut Baysal

Pelin Baysal, Dr. Umut Baysal

Čt. 25 listopadu 2021

uložit

Takřka každý člověk touží po perfektním úsměvu. Dale Carnegie řekl, že jednou z nejdůležitějších cest, jak získat přátele a působit na ostatní lidi, je úsměv. Atraktivní harmonický úsměv je tedy společenskou osobní výhrou. A přesně to bylo cílem Sebastiana Mansla, který toužil zařadit svůj úsměv mezi své přednosti, neboť první dojem, jak je známo, je trvalý. V následujícím příspěvku bude popsána proměna úsměvu tohoto známého influencera za pomoci fóliového ortodontického aparátu a přímých kompozitních dostaveb.

Sebastian Mansla patřil v sezóně 2019 mezi kandidáty seznamovací show televize RTL „Die Bachelorette“, avšak není známý pouze svým vystoupením v tomto pořadu. 31letý Sebastian má již mnoho fanoušků jakožto instagramová osobnost s více než 320 000 sledujícími. Aby získal další plusové body, dostavil se před svým vystoupením ve zmíněné show na pracoviště SmileClub One za účelem zdokonalení svého úsměvu.

Následující text pojednává o případu pacienta, u kterého bylo dosaženo proměny úsměvu pomocí kombinace fóliových ortodontických aparátů a přímých kompozitních dostaveb zubů. Cílem této kazuistiky je poukázat na minimálně invazivní alternativu k obvyklým metodám s nepřímo zhotovovanými keramickými fazetami.

 

Anamnéza a klinický nález

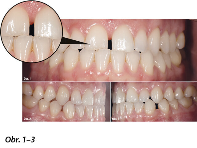
V okamžiku první návštěvy v ordinaci byl Sebastian Mansla velice nešťastný kvůli velké mezeře mezi horními středními řezáky a přál si tuto mezeru uzavřít (obr. 1). Klinické vyšetření odhalilo přítomnost 1,5 mm širokého diastematu i poměrně velkou ztrátu skloviny v oblasti incizálních hran horních středních řezáků. Dále byla zjištěna absence řezákového a špičákového vedení včetně skusu hrana na hranu. Kromě toho odhalilo vyšetření další mezery na distální straně zubů 12 (1 mm), 43 (1 mm), 33 (2 mm), 22 (0,5 mm) (obr. 2, 3).

Sebastian Mansla již během dospívání podstoupil ortodontickou léčbu. Ta však jeho očekávání nesplnila, neboť se nepodařilo dosáhnout kýženého výsledku.

 

Plánování a terapie

Přítomné mezery mezi zuby byly natolik velké, že neumožňovaly estetickou korekci pouze pomocí kompozitního materiálu. Dlouhodobě úspěšnému řešení rovněž bránil nález skusu hrana na hranu. Aby bylo možno zaručit dlouhodobou úspěšnost ošetření, byla pacientovi ke korekci malokluze a k uzávěru mezer v oblasti zubů 11 až 21 i v laterálním úseku doporučena ortodontická korekce pomocí fóliových ortodontických aparátů. Vzhledem ke zvolenému minimálně invazivnímu způsobu ošetření byla po ukončení ortodontického předléčení fóliovými aparáty doporučena estetická rekonstrukce incizálních hran horních středních řezáků pomocí dostaveb z kompozitního materiálu namísto keramických fazet.

Jako další bod byl na základě digitálního skenu zubů vytvořen virtuální plán ošetření. Podle získaných dat byly pro pacienta navrženy individuální ortodontické fóliové aparáty. Pro adekvátní silové působení byly navíc na zuby nalepeny drobné attachmenty z kompozitní pryskyřice. Tyto téměř neviditelné fóliové aparáty se nosí 22 hodin denně a mění se každých 14 dní. Každých 8 týdnů se Sebastian Mansla dostavil do praxe SmileClub One na kontrolu, při které byly podle aktuálního digitálního skenu zubů kontrolovány pokroky ortodontické léčby. Léčba trvala 6 měsíců.

Mezery v laterálním úseku chrupu se podařilo zcela uzavřít, vyjma mezery mezi středními řezáky, kterou se nepodařilo zcela eliminovat tak, aby došlo k optimalizaci proporcí, a tedy vzhledu úsměvu v oblasti středních řezáků (obr. 4 a 5). Skus hrana na hranu byl však odstraněn a zároveň se vytvořil i dostatek místa incizálně, což celé ošetření posunulo blíže k vytouženému krásnějšímu úsměvu.

Po ortodontickém předléčení pomocí fóliových aparátů byly horní střední řezáky doplněny o finální kompozitní rekonstrukci incizálních hran. Zuby byly nejprve naleptány 35% kyselinou fosforečnou (Ultra-Etch, Ultradent Products). Sklovina byla leptána 60 sekund, dentin 15 sekund. Po pečlivém opláchnutí byly zuby při zajištění absolutního suchého pracovního pole připraveny následnou aplikací adhezivního systému pro zamýšlenou kompozitní rekonstrukci. V tomto případě bylo použito dvousložkové adhezivum OptiBond FL (Kerr Dental). Primer byl aplikován na dentin po dobu 30 sekund a přebytky byly následně odstraněny jemným proudem vzduchu. Vlastní adhezivum bylo aplikováno na sklovinu a dentin po dobu 15 sekund, poté bylo proudem vzduchu lehce rozfouknuto, a nakonec vytvrzováno polymerační lampou po dobu 20 sekund. Následně proběhla rekonstrukce incizálních hran pomocí vysoce estetického kompozitního materiálu – byl použit nanokeramický výplňový materiál Ceram.X Mono (Dentsply Sirona). Kompozitní materiál byl nanášen po jednotlivých vrstvách a následně vytvrzován polymerační lampou po dobu 40 sekund. Na závěr byly dostavby opracovány jemnými diamanty a vyleštěny gumičkami.

 

Zaujala vás ukázka článku?

Celý článek můžete prostudovat v příslušném vydání časopisu Cosmetic Dentistry CZ/SK 1/2021
stáhněte jej ve formátu PDF

 

Pelin Baysal
Smile United Köln MVZ GmbH
Zahnmedizinisches Versorgungszentrum Köln
Zeughausstr. 28-38
50667 Köln
Germany

Dr. Umut Baysal
Große Brinkgasse 29
50672 Köln
Germany
u.baysal@me.com

Redakční poznámka: Článek byl publikován v mezinárodním vydání časopisu cosmetic dentistry beauty & science, Vol. 15, Issue 1/2021. Fotografie: © SmileClub One Köln.

To post a reply please login or register
advertisement