Search Dental Tribune

Přímé vrstvení kompozitních fazet

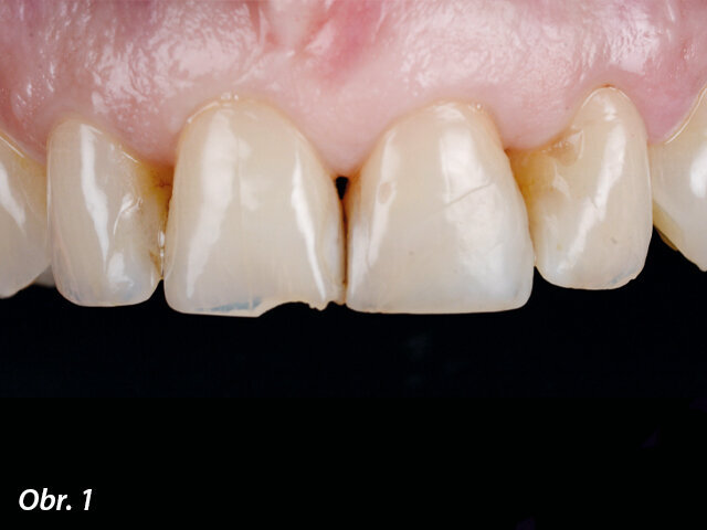
Kompozitní fazety na obou středních řezácích před konturováním (fotografie: Dr. Jordi Manauta, Dr. Walter Devoto, prof. Angelo Putignano)
Dr. Manauta, Dr. Devoto, prof. Putignano

Dr. Manauta, Dr. Devoto, prof. Putignano

Ne. 21 listopadu 2021

uložit

Vzhledem k vyšším nárokům pacientů narostla v posledním desetiletí enormně potřeba estetické a záchovné stomatologie, neboť estetika hraje v současnosti velmi důležitou roli. Perfektní úsměv je nutností a ovlivňuje prokazatelně sebevědomí i psychosociální pohodu pacienta. Na základě vědeckých statistických a klinických dat představují přímo vrstvené kompozitní fazety přesvědčivé řešení pro estetickou rekonstrukci frontálních zubů. Není pouze cenově výhodnějším než obvyklé keramické rekonstrukce, nýbrž může být také zrealizováno při jedné ordinační návštěvě a současně během procesu vrstvení modifikováno tak, aby byly splněny pacientovy požadavky.

V rámci vývoje konvenčních nanokompozitních výplňových materiálů byly vytvořeny materiály s lepšími mechanickými vlastnostmi a s vyšší odolností vůči abrazi, které zajišťují dostatečnou odolnost kompozitních rekonstrukcí. Nedávno provedenou metaanalýzou prospektivních studií zaměřených na kompozitní rekonstrukce frontálních zubů bylo zjištěno, že po pěti letech klinické expozice je medián jejich celkové míry přežití odhadován na 84,6 %.

Nejčastějšími komplikacemi s přímo vrstvenými kompozitními fazetami jsou možné fraktury, sekundární kazy, zabarvení okrajů i změny barvy a povrchové textury. Díky snadné opravitelnosti kompozitních materiálů však mohou být tyto komplikace snadno odstraněny.

Zásadní klinickou výhodou přímých kompozitních rekonstrukcí je možnost minimální preparace skloviny, neboť leptání kyselinou fosforečnou je dostačující pro dosažení potřebné vazebné síly.

 

Klinický postup

Přímé vrstvení kompozitních fazet spočívá v přímé aplikaci jedné či více vrstev kompozitního materiálu na povrch ošetřovaného zubu způsobem, který napravuje jeho defekt či estetiku, a to v jediné návštěvě pacienta v ordinaci. K obnovení správného tvaru a kontury gingivy frontálních zubů lze použít nejrůznější nástroje a pomůcky. Doposud byly přímo vrstvené kompozitní fazety používány u rekonstrukcí aproximálních a cervikálních defektů. Při tom probíhala rekonstrukce ve dvou krocích se dvěma postranními matricemi (aproximální okraje) a s jednou matricovou páskou pro rekonstrukci cervikální oblasti přistřižené do požadovaného tvaru.

 

Frontální matrice usnadňuje pracovní postup

V níže uvedené kazuistice jsme se pro usnadnění postupu rozhodli použít frontální matrici Unica Anterior (Polydentia), neboť umožňuje přímou rekonstrukci celé kontury zubu (cervikální a aproximální okraje) v pouhém jediném kroku. Kvůli tomu byly povrchy zubů nejprve napreparovány a očištěny, aby byla následně umožněna kompozitní rekonstrukce. Poté se na zub umístila matrice a zafixovala v požadované pozici.

Obvykle mohou být k zajištění dostatečné fixace matrice použity mezizubní klínky z umělé hmoty či ze dřeva. Jako alternativa – např. v případě rozsáhlých rekonstrukcí III. třídy, u kterých by zavedení klínku mohlo mít za následek deformaci matrice a s ním bezprostředně související nepříznivé ovlivnění aproximálního obrysu zhotovené rekonstrukce – lze k fixaci matrice ve správné pozici použít „tekutý“ kofferdam (např. myCustom Resin, Polydentia).

Následuje vrstvení kompozitního materiálu: Nejprve obnovíme konturu zubu a poté modelujeme palatinální stěny. Následně aplikací jedné či více vrstev kompozitního materiálu vymodelujeme hrubou morfologii zubu a na závěr pomocí fréz, brousků a lešticích nástrojů dotvoříme konečný tvar zubu.

 

Kazuistika

52letá pacientka se dostavila do naší ordinace, protože nebyla spokojená se svým úsměvem. Její horní frontální zuby vykazovaly neuspokojivou anatomii a odlomenou část zubu 11 (obr. 1). Klinické vyšetření zjistilo jinak nekariézní chrup a uspokojivou úroveň ústní hygieny. Po odebrání anamnézy a klinickém vyšetření jsme se rozhodli pro rozsáhlou estetickou rekonstrukci frontálních zubů pomocí přímo vrstvených kompozitních fazet. Pro tento případ byly plánovány čtyři fazety na obou středních i postranních řezácích plně adhezivní technikou při minimální preparaci tvrdých zubních tkání. Následující postup byl realizován s použitím matric Unica Anterior.

K obnovení gingivální kontury frontálních zubů mohou být použity nejrůznější metody. My jsme se v tomto případě rozhodli pro matrice Unica Anterior, protože zjednodušují celý pracovní postup a umožňují snadné obnovení celé kontury zubu (cervikální a aproximální okraje), a to v jednom jediném kroku (obr. 2). Matrice byly nejprve umístěny na oba střední řezáky (obr. 3). V tomto případě vnitřní pevnost ocelových matric a zachovalé intaktní body kontaktu zajistili jejich dostatečnou stabilitu a upevnění, aniž by bylo nutno použít klínky nebo kompozitní pryskyřici. Konvexní tvar matric navíc umožňuje efektivnější umístění kofferdamu v cervikální oblasti, a tím i zajištění dokonale suchého pracovního pole (obr. 4).

Nejprve byl aplikován univerzální adhezivní systém, aby se zvýšila hodnota vazebné síly ke sklovině. Následovalo obnovení kontury aproximálních stěn zubů nanesením sklovinného odstínu kompozitního materiálu. Stejný postup byl proveden u druhého středního řezáku (obr. 5). Po dostavbě aproximálních stěn byla provedena modelace palatinálních stěn (obr. 6), během které bylo naneseno malé množství sklovinného odstínu kompozitního materiálu za účelem reprodukce sklonu zubu. Poté následovalo vlastní vrstvení kompozitní fazety.

 

Zaujala vás ukázka článku?

Celý článek můžete prostudovat v příslušném vydání časopisu Cosmetic Dentistry CZ/SK 1/2021
stáhněte jej ve formátu PDF

 

Kontakt:
Dr. Jordi Manauta
Style Italiano
16039 Sestri Levante (GE)
Itálie
E-mail: educational@styleitaliano.org
Web: www.styleitaliano.org

 

Redakční poznámka: Článek byl publikován v německém vydání časopisu cosmetic dentistry practice & science, Vol. 18, Issue 1/2020.

To post a reply please login or register
advertisement
advertisement