Search Dental Tribune

Management měkkých periimplantátových tkání pomocí kolagenní matrix a digitálního postupu

Aplikace kolagenní matrix (fotografie: Roberto Molinari)
Roberto Molinari

Roberto Molinari

Ne. 19 září 2021

uložit

V tomto článku prezentuji klinický případ managementu periimplantátových měkkých tkání pomocí spojení na míru přizpůsobené kolagenní matrix s digitálním postupem při zhotovování provizorní náhrady, a to s cílem dosáhnout adekvátního výsledku ošetření u pacientů s gingiválním úsměvem. Předkládám digitální pracovní protokol, který používám, když potřebuji zachovat původní morfologii měkkých tkání (obrys gingivy a papily) ve frontálních oblastech. Jak je známo, k dosažení optimálního výsledku řešení případů problematické estetiky chrupu je nutno, aby mezi měkkými tkáněmi a protetickými výrobky existovala určitá harmonie: to znamená, že mezizubní papily, obrys gingivy, zubní osy a dominance středních řezáků by měly být mezi sebou navzájem dobře vyváženy (obr. 1).

Digitální plánování a vedení případů s problematickou estetikou, ve kterých je nezbytné provést chirurgický zákrok ve frontální oblasti, jako je například zavedení implantátu, vyžaduje větší pozornost a péči věnovanou detailům, zejména pokud má pacient gingivální úsměv. Aby bylo dosaženo stabilní polohy a tloušťky gingiválního límce a papil, je doporučeno provést volný štěp ve vestibulární oblasti implantátu. Augmentace pojivové tkáně do této oblasti je nezbytná nejen z estetického hlediska, ale také z hlediska dlouhodobého zachování zdraví implantátu. Nejběžněji používanou metodou je odebrání štěpu z odběrového místa, které obvykle představuje patro nebo tuber. Je známo, že konvenční přístup tohoto typu představuje určitá rizika, například krvácení z odběrného místa, nekrózu štěpu, neurologické poškození, poškození estetiky, bolest, otok a parestezii. Použití kolagenní matrix, jak je vidět v následujícím klinickém případě, může být validní alternativou ke konvenční cestě, která dodnes představuje zlatý standard.

 

Klinický případ

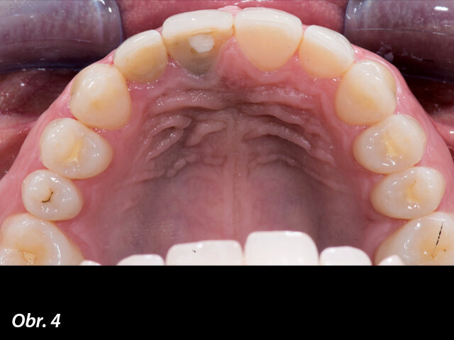
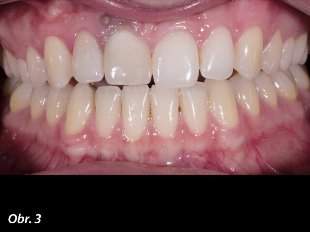
Po externí resorpci kořene měla mladá 28letá pacientka nenávratně poškozen zub 11. Byla zjištěna vestibulární píštěl a sekvence rentgenových snímků vykazovala progresivní poškození kořene, které zahrnovalo střední a cervikální třetinu kořene zubu (obr. 2–5).

 

Studie případu a léčebný plán

Ve všech případech, kdy se jedná o estetiku, vždy provádím studii úsměvu podle konceptu DSD (Digital Smile Design) a snažím se optimalizovat harmonii mezi zuby pacienta a jeho tváří (obr. 6). I v případě, jako je zde prezentovaný, kdy je nutno ve frontálním úseku nahradit pouze jeden zub, tento přístup pomůže odhalit případné nesrovnalosti s ohledem na ideální situaci (obr. 7). Morfologie přirozeného zubu 21 byla proporcionálně vyhovující a harmonická ve vztahu k sousedním zubům – při zhotovení korunkové náhrady zubu 11 jsem se tedy omezil na zrcadlové kopírování zubu 21. Výsledný tvar korunkové náhrady zubu 11 se pak ukázal jako optimální pro oporu měkkých tkání a zachování jejich tvaru po zavedeném implantátu. Léčebný plán tedy zahrnoval chirurgický zákrok zavedení implantátu, okamžité zatížení zavedeného implantátu provizorní korunkovou náhradou a po vhojení implantátu zhotovení definitivní korunkové náhrady digitálním výrobním postupem.

 

Zaujala vás ukázka článku?

Celý článek můžete prostudovat v příslušném vydání časopisu Dental Tribune CZ/SK 1/2021
stáhněte jej ve formátu PDF

 

Roberto Molinari získal diplom zubního technika v roce 1986; následně promoval v oboru zubní lékařství a zubní protetika na Univerzitě v Bologni (Itálie) v roce 1993. Poté, co absolvoval školení u nejvýznamnějších odborníků na moderní stomatologii, se specializoval na parodontologii, implantologii a estetickou protetiku. Vede kurzy pro zubní lékaře na téma správné používání technik CAD/CAM na přirozených pilířích a implantátech a účastní se jako přednášející na mezinárodních kongresech. Je zakládajícím členem Italské akademie digitální stomatologie (AIOD), členem představenstva Peers, aktivním referentem pro oblast kvality ve vedení mezinárodního veřejného mínění pro Dentsply Sirona ve vztahu k technikám CAD/CAM a pro společnost ZEISS ve vztahu k mikroskopické stomatologii. Žije v Mantově (Itálie), kde provozuje svoji zubní praxi.

To post a reply please login or register
advertisement