Search Dental Tribune

Remineralizace: preventivní a terapeutický přístup v managementu tvrdých zubních tkání

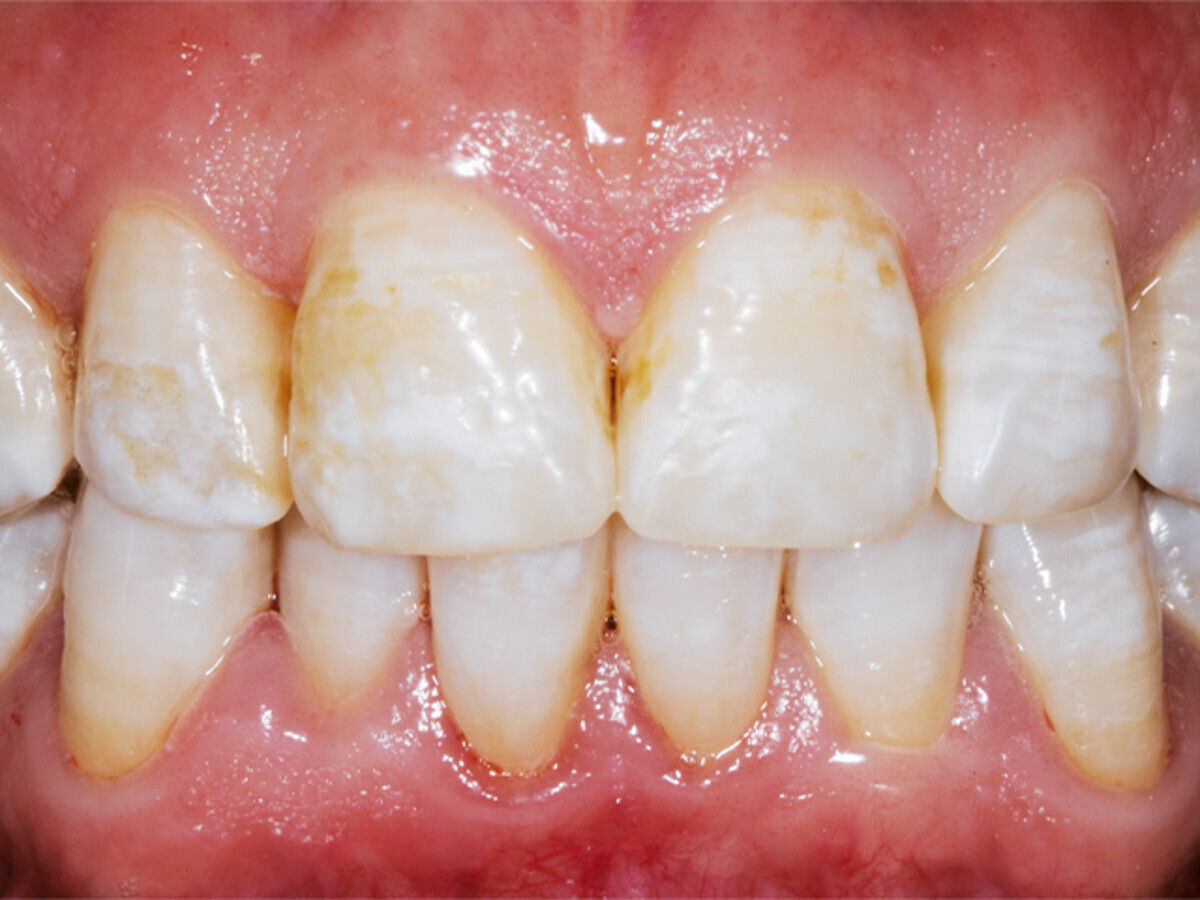
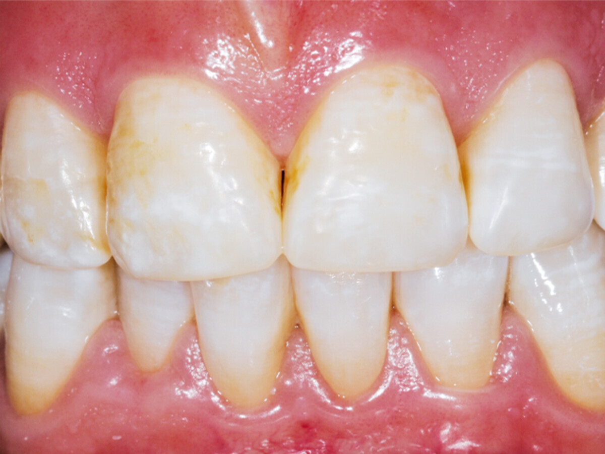
Povrch ošetřeného a neošetřeného zubu (fotografie: redakce časopisu StomaTeam)

Út. 14 září 2021

uložit

Sklovinné defekty a léze jsou v rámci světové populace stále častější a v průběhu let byla navrhována celá řada neinvazivních přístupů k léčbě nekavitovaných lézí. Raná stadia kazu jsou typická hypomineralizací bez tvorby kavity v důsledku produkce kyselých metabolitů. Tento jev je zpočátku reverzibilní, dokud – pokud nejsou přijata preventivní a včasná opatření – nezíská kavitovaný vzhled, který již lze označit jako skutečně kavitovanou lézi.

Sklovinné léze je možné rozdělit na kvalitativní a kvantitativní defekty:

  • Kvantitativní defekty jsou takové, u nichž máme nedostatek skloviny a projevují se jako důlky, rýhy, prohlubně nebo oblasti na povrchu korunky, kde tkáně zcela chybí: tento stav je známý jako hypoplazie.
  • Kvalitativní léze jsou naopak defekty, u nichž se tvoří sklovina normální tloušťky, která však není dostatečně tvrdá: tento stav je známý jako hypomineralizace. Tyto léze zahrnují: bílé nebo hnědé skvrny, fluorózu, MIH, traumatické léze a postortodontické léze. Sklovinné léze lze rozdělit na preeruptivní a posteruptivní defekty. Preeruptivní defekt je defekt související s genetickými faktory, vývojovými anomáliemi, potravinovými intolerancemi, nedostatky ve výživě, faktory prostředí, užíváním léků a/nebo doplňků stravy (např. systémově podávaným fluoridem) a dalšími faktory, kdy se zub prořeže do dutiny ústní s již existující a viditelnou lézí. Posteruptivní defekt je naopak defekt související výhradně s akumulací bakteriálního biofilmu a následnou produkcí kyselin na povrchu skloviny.

Před léčbou

Ideální metoda léčby těchto defektů dodnes neexistuje, literatura ale naznačuje, že k nim přistupujeme prostřednictvím preventivních a postupně invazivnějších protokolů. Pokud jde o prevenci, můžeme s jistotou říci, že používání pěn na bázi vápníku a amorfního fosfátu s přídavkem fluoridu (F-ACP) je zdaleka nejslibnějším přístupem a zároveň jde o metodu, která je pro pacienta nejméně nákladná a ve většině případů jediná schopná revitalizovat defekt do jeho původního stavu.

Pěny mají v oboru stomatologie širokou škálu účinků a použití: po bělení zubů, po odborné dentální hygieně nebo uhlazení povrchu kořene, v případech vysoké náchylnosti k tvorbě kazů, citlivosti zubů, hyposalivace, u pacientů s gastroezofageálním refluxem nebo u pacientů s hypomineralizací skloviny. Pěny lze používat téměř v každé klinické situaci, nicméně nejčastější použití, zvláště pro terapeutické účely, zahrnují management sklovinných defektů.

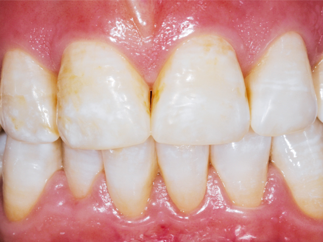
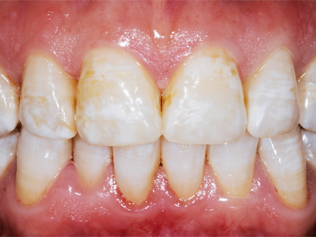
Po 30 dnech

Přídavek citrátu a fluoridu v pěně zvyšuje její remineralizační účinek. Testy in vitro dokonce prokázaly, že během pěti minut od použití se zmenší dentinové kanálky a začne docházet k usazování hydroxyapatitu. Složka ACP je dokonce považována za předstupeň samotného hydroxyapatitu a díky přítomnosti amelogeninu se amorfní částice přeměňují na krystalické minerály. Nejlepších výsledků se však dosahuje in vivo.

V dále uvedeném klinickém případě se k nám dostavila 37letá pacientka kvůli zlepšení vzhledu úsměvu. Po důkladné anamnéze a určení správné diagnózy, konkrétně fluorózy zubů, byla pacientce nabídnuta remineralizační léčba založená na účinku F-ACP pěny Biosmalto Mousse Cavities, Abrasion & Erosion nanášené pomocí individuálních tepelně formovaných nosičů a používané 2× denně vždy po dobu 20 minut. Pacientce bylo také doporučeno, aby hodinu po použití pěny ústa nevyplachovala, nepila, nejedla ani nekouřila. Požádali jsme pacientku, aby používala nosiče důsledně, každých 30 dní se dostavovala na kontroly a léčbu doplnila používáním remineralizační zubní pasty Biosmalto Cavities, Abrasion & Erosion a měkkého zubního kartáčku Curasept Soft 012 za modifikované Bassovy techniky čištění zubů.

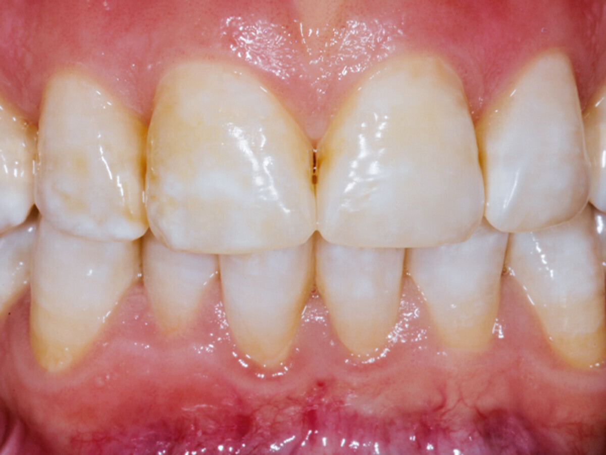
Po 70 dnech

Pacientka prokázala při léčbě vysokou míru spolupráce a dodržovala předepsaný protokol léčby, díky čemuž také zaznamenala klinické zlepšení nejen s ohledem na vzhled (fotografie níže byly pořízeny po 30 a 70 dnech), ale také na pocit menší citlivosti zubů. Při kontrolách bylo patrné zlepšení indexu plaku a zároveň menší poréznost při použití sondy daná zlepšením textury skloviny a dentinu.

Protože se jedná o pěnu v bezvodé formě, má mnohem rychlejší uvolňování a uvolňované molekuly jsou menší, což umožňuje lepší interakci s povrchem zubů a poskytuje lepší účinnost než zubní pasta. Vysoká viskozita pěny, dobrá dostupnost aktivních látek a vlastnosti samotného výrobku navíc usnadňují protokol nanášení, léčba není pro pacienta příliš nákladná, a především je v souladu s vědeckými důkazy.

 

 

 

 

To post a reply please login or register
advertisement