Autorka článku vysvětluje, že podle výsledků nového výzkumu je BioMin F schopný remineralizovat jak povrch zubu, tak podpovrchovou sklovinu.
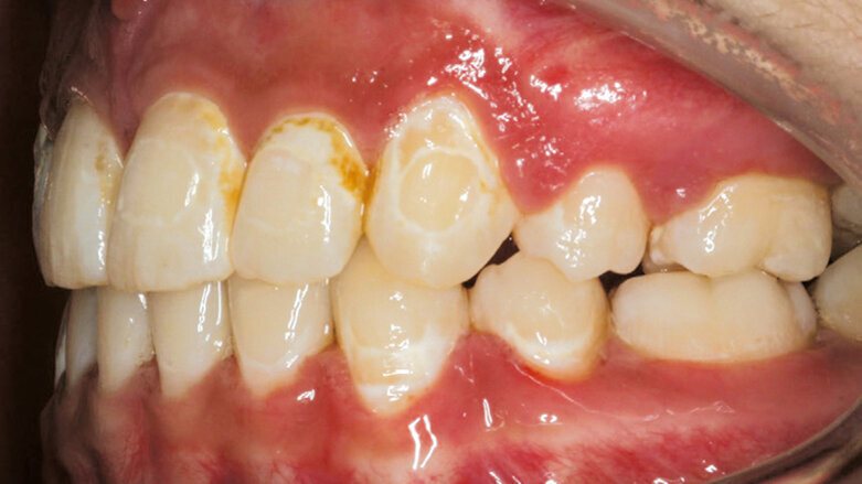
Pacienti, kteří nosí fixní ortodontické aparáty, jsou vystaveni vyššímu riziku vzniku zubního kazu. Pokud se během ortodontické léčby vytvoří zubní kaz, mohou se pak objevit bílé kariézní léze (vzniklé demineralizací zubní skloviny kolem zámku) na nově srovnaných zubech.
Účinnost BioMin F, nové zubní pasty na bázi bioaktivního skla, již byla prokázána při remineralizaci zubní skloviny a zlepšení symptomů senzitivity (Sivaranjani, 2018). Nyní nová studie ukázala, že účinky pronikají ještě hlouběji do zubu – remineralizují podpovrchovou sklovinu a zlepšují nebo úplně zacelí bílé kariézní léze (Bakry a kol., 2018).
Technologie bioaktivního skla
Vědci uměle připravili demineralizované léze kolem ortodontických zámků a porovnávali v kontrolních skupinách vzorků remineralizační účinek pasty BioMin F a fluoridového gelu aplikovaných po dobu 4 minut – po uplynutí 24 hodin od aplikace. Pomocí transverse microradiography (TMR) byla měřena podpovrchová hloubka sklovinných lézí, hustota minerálů a reakce na léčbu. BioMin F měla podstatně lepší hodnoty remineralizace než ostatní skupiny a vědci došli k závěru, že „BioMin F byla schopna účinné remineralizace podpovrchových sklovinných lézí“.
Vědci předpokládají, že díky nízkému obsahu fluoridu v BioMinu F dochází k jeho pomalému uvolňování po dobu několika hodin, čímž je umožněno pronikání iontů vápníku a fosfátů skrze porézní podpovrchovou vrstvu skloviny a dochází k úspěšné remineralizaci demineralizovaných sklovinných lézí.
BioMin F je založena na nejnovější generaci technologie bioaktivního skla vyvinuté v laboratořích Quenn Mary University v Londýně (Velká Británie). Na rozdíl od zubních past obsahujících rozpustný fluorid působí struktura BioMinu F jako zásobník iontů fluoridu, vápníku a fosfátu, který po čištění přilne k zubům a ionty uvolňuje pomalu po dobu 12 hodin. Ionty pracují se slinami, vyvažují kyselé prostředí v ústech a vytváří fluorapatit (fluoridový analog přirozené zubní skloviny), čímž obnovují jak povrchovou, tak podpovrchovou vrstvu skloviny. Fluorapatit je stabilnější a odolnější vůči působení kyselin než hydroxyapatit, který vytvářely dřívější generace bioaktivního skla.
Složení s pomalým uvolňováním umožňuje BioMinu F účinkovat po delší dobu, na rozdíl od past založených na rozpustném fluoridu, který se rychle spláchne slinami. Kromě toho jsou drobné částice BioMinu F schopny pronikat do dentinových kanálků, kde přilnou ke stěnám kanálků bohatých na apatit, kanálky uzavřou vytvořením nového minerálu a snižují tak hypersenzitivitu dentinu.
Další výhodou BioMinu F, zvláště při léčbě mladistvých pacientů, je jeho „chytrý“ účinek: při přítomnosti sníženého pH (například po konzumaci kyselých nápojů) se začíná rozpouštět dříve a iniciuje tvorbu ochranného fluorapatitu. Zastavení a blokace vzniku bílých kariézních lézí znamená, že BioMin F hraje důležitou roli coby podpůrný prostředek při ortodontické léčbě.
V současné době se vyvíjí pryskyřice obsahující bioaktivní skelné částice BioMinu F pro fixaci ortodontických zámků, která bude pomalu uvolňovat ionty fluoridu, vápníku a fosfátu po dobu, co bude v ústech a bude chránit zuby během ortodontické léčby.
Štítky:
Nedávná studie na téma remineralizace zubní skloviny zveřejněná v časopisu Journal of Dental Research uvedla, že cílem moderní stomatologie je ...
Sklovinné defekty a léze jsou v rámci světové populace stále častější a v průběhu let byla navrhována celá řada neinvazivních přístupů k ...
Cílem tohoto článku je představit nový zmenšený aparát BiTurbo2 (BT2), který je součástí čtyřčlenného systému používaného k léčbě ...
Živý webinář
Po. 11 května 2026
6:00 (CET) Prague
Živý webinář
Po. 11 května 2026
7:00 (CET) Prague
Živý webinář
Út. 12 května 2026
7:00 (CET) Prague
Živý webinář
Čt. 14 května 2026
6:00 (CET) Prague
Živý webinář
Čt. 14 května 2026
8:00 (CET) Prague
Prof. Hani Ounsi DDS PhD FICD
Živý webinář
Út. 19 května 2026
5:00 (CET) Prague
Živý webinář
Út. 19 května 2026
7:00 (CET) Prague
Prof. Dr. med. dent. Ivo Krejci