Pro náhrady jednotlivých zubů máme v současnosti na výběr mnoho adekvátních terapeutických možností, existují však případy, kde se žádné z osvědčených řešení nejeví jako ideální. To byl případ 16leté pacientky, která se v roce 2015 dostavila na Protetické oddělení Univerzity Ludvíka Maxmiliána v Mnichově, Německo. U pacientky byla právě dokončena ortodontická léčba a bylo třeba následné protetické rehabilitace.
Anamnéza
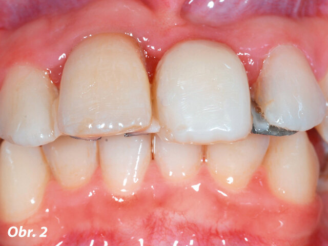
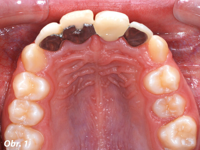
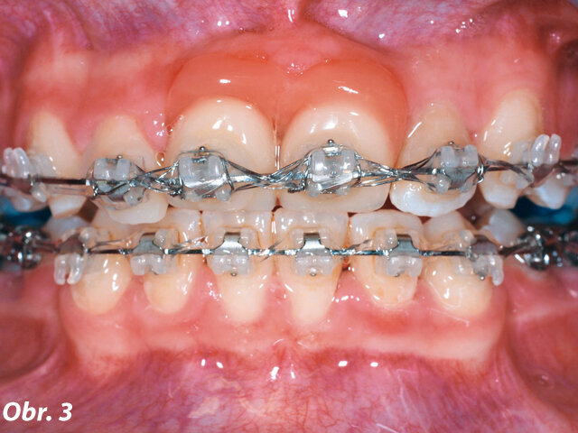
V 10 letech pacientka utrpěla trauma frontálních zubů s avulzí a replantací centrálních řezáků (zuby 11 a 21, dle značení FDI). Navzdory všem snahám nebylo možné zachovat zub 21. Předchozí zubní lékař tento zub nahradil metalokeramickým adhezivním můstkem (Marylandský můstek) (obr. 1 a 2). Naneštěstí byla v průběhu terapie potvrzena infaustní prognóza u zubu 11 – ten musel být extrahován během ortodontické léčby. Za účelem nahrazení obou centrálních řezáků byl zhotoven provizorní můstek s umělou gingivou, který byl připevněn na fixní ortodontické aparáty (obr. 3).
Protetický plán
Při první návštěvě pacientky bylo zjištěno, že laterální řezáky měly rozsáhlé kompozitní rekonstrukce, a to na vestibulárních ploškách a z důvodu předcházející rehabilitace adhezivním můstkem také na palatinálních ploškách (obr. 4).
U zubu 22 bylo provedeno endodontické ošetření. Tato skutečnost podstatně omezila protetické možnosti a měla negativní efekt na prognózu zubu. Podle vývojového stadia cervikálních obratlů stanovovaného ortodontistou prostřednictvím laterálního cefalometrického rentgenologického snímku bylo odhaleno, že je možné očekávat pouze minimální transverzální a horizontální růst u této pacientky. Na základě této skutečnosti a malé protetické hodnoty pilířového zubu 22 se protetický ošetřující tým po konzultaci s pacientkou rozhodl pro celokeramický adhezivní můstek se dvěma křidélky adhezivně fixovanými na zuby 12 a 22. Cílem tohoto ošetření byl odklad implantace na tak dlouho, jak jen to bude možné, tedy do kompletního ukončení růstu mladistvé pacientky. Prostřednictvím fixní rekonstrukce tým usiloval o nejlepší možnou podporu a zachování s defektem sousedících měkkých a tvrdých tkání.
Obr. 1: Situace před ortodontickým ošetřením – adhezivní můstek s náhradou zubu 21
Obr. 2: Po sejmutí a refixaci vykazoval adhezivní můstek kompromisní dosed
Obr. 3: Fotografie během ortodontické léčby s dočasnou náhradou centrálních řezáků (Obr. 1–3 publikovány se svolením prof. A. Wichelhause)
Obr. 4: Situace při první návštěvě mladé pacientky v soukromé zubní ordinaci na LMU v Mnichově
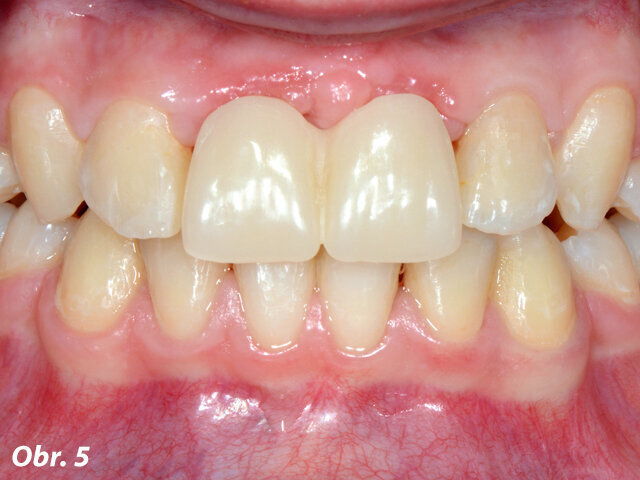
Obr. 5: Pacientka s provizorní náhradou po sejmutí ortodontického aparátu, výměně výplní a úpravě palatinální preparace zubů
Počáteční ošetření
Po odstranění fixního ortodontického aparátu byly původní rekonstrukce laterálních řezáků nahrazeny novými kompozitními dostavbami. Preparace na těchto zubech již byla provedena, když byl zhotovován předchozí metalokeramický můstek. Proto nebylo nutné dodatečně odstraňovat velká množství zubních struktur – palatinální preparace však vyžadovaly zahlazení. Gingiva byla ošetřena retrakční pastou. Otisk byl zhotoven pomocí skeneru 3M True Definition a odeslán do 3M frézovacího centra. Pacientka obdržela snímatelnou provizorní náhradu (obr. 5).
Zaujala Vás ukázka článku? Celý článek můžete prostudovat v příslušném vydání časopisu Digital 1/2017
Stáhněte si jej ve formátu PDF
Digital 01/2017
Štítky:
Použití Er,Cr:YSGG G laserového systému v každodenní praxi je bezpochyby velmi užitečným nástrojem ...
Existují dvě možnosti léčby částečně bezzubé maxily: částečná snímatelná náhrada nebo fixní náhrada nesená implantáty. Resorpce horní ...
Rekonstrukce v dolní čelisti popsaná v následující kazuistice byla provedena pomocí ASTRA TECH Implant System® EV a konceptu SmartFix® (Dentsply ...
Strach ze zubního lékaře a stomatologického ošetření je velmi závažným problémem, který zásadně přispívá k vyhýbání se stomatologické ...
Zánět je zkoumán již od starobylých časů. Bylo pozorováno, že po podráždění, poranění nebo infekci reagují tkáně po celém těle ...
Existuje mnoho technik, které zjednodušují každodenní práci. Příkladem jsou intraorální, extraorální a obličejové skenery, CBCT ...
Použití kratších implantátů bylo představeno na počátku 90. let 20. století za účelem překonání nutnosti složitých a nákladných procedur ...
V tomto článku prezentuji klinický případ managementu periimplantátových měkkých tkání pomocí spojení na míru přizpůsobené kolagenní ...
Sklovinné defekty a léze jsou v rámci světové populace stále častější a v průběhu let byla navrhována celá řada neinvazivních přístupů k ...
Rehabilitace bezzubé horní čelisti pomocí implantátů je náročná, mimo jiné s ohledem na anatomii a kvalitu kosti i design zubní náhrady. Velmi ...
Živý webinář
Po. 11 května 2026
6:00 (CET) Prague
Živý webinář
Po. 11 května 2026
7:00 (CET) Prague
Živý webinář
Út. 12 května 2026
7:00 (CET) Prague
Živý webinář
Čt. 14 května 2026
6:00 (CET) Prague
Živý webinář
Čt. 14 května 2026
8:00 (CET) Prague
Prof. Hani Ounsi DDS PhD FICD
Živý webinář
Út. 19 května 2026
5:00 (CET) Prague
Živý webinář
Út. 19 května 2026
7:00 (CET) Prague
Prof. Dr. med. dent. Ivo Krejci
To post a reply please login or register