V současné době roste ze strany pacientů poptávka po estetické variantě ortodontické léčby. Proto se lingvální ortodoncie pomocí zámků 3M™ Incognito™ System stává žádanou alternativou a je den za dnem důležitější pro naši praxi. Obzvláště když pacient ví, že terapie bude časově náročná. Z toho důvodu mnoho našich chirurgických pacientů vyžaduje terapii lingválními zámky.
Prezentace klinického případu
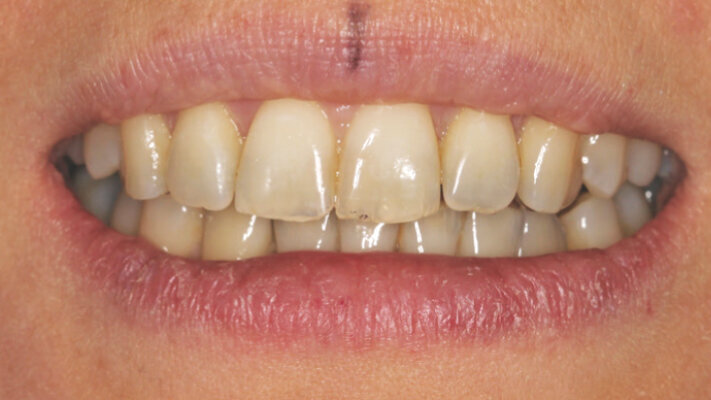
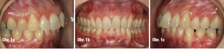
Pacientka navštívila naši praxi kvůli kloubním problémům – stěžovala si na obtíže v pravém TMK. Při intraorálním vyšetření jsme diagnostikovali II. třídu dle Anglea na levé straně, která se zhoršovala během dorazové fáze, mírnou mandibulární asymetrii s posunem dolní středové čáry zatímco horní střední čára korespondovala s filtrem, absenci 36, gingivální recesy nahoře i dole, stěsnání a klikání v kloubu (obrázky 1a–c).
Při extraorálním vyšetření byla zjevná hypoplazie zygomatických kostí, tupý nasolabiální úhel, dásňový úsměv 1 mm a mandibulární distookluze (obr. 2a–f).
Na telerentgenu pacientky byla diagnostikována II. skeletální třída, protruze horních řezáků a inklinace dolních lingválně. Na ortopantomogramu byla zjevná ztráta 36, úroveň kosti a celkový biologický faktor chrupu byly vyhovující (obr. 3a–b).
Diagnóza a léčebný plán
Po analýze nálezů pacientky, vzhledem ke II. skeletální třídě, a především kvůli asymentrické dorazové fázi, byla pro dosažení co nejlepších výsledků navržena kombinovaná ortodonticko-chirurgická terapie: bimaxilární ortognátní operace v kombinaci s lingválními zámky. V plánu bylo také uzavřít mezeru po 36 mezializací 37 a 38.
Analýza případu byla provedena pomocí programu 3M™ Unitek™ Treatment Management Portal/TMP – konečným výsledkem má být vyhovující okluze s I. třídou v molárech a špičácích a vyrovnanými středy zubních oblouků (obr. 4a–c).
Průběh léčby
Jakmile jsme se rozhodli, že použijeme Incognito lingvální zámky, udělali jsme pacientce otisky. Čas při čekání na zhotovení zámků jsme vyplnili indikací splintu relaxujícího svalstvo na deprogramování pozice dolní čelisti.
Sekvence použitých oblouků
• Horní: 0.016 NiTi | 0.016 × 0.022 NiTi | 0.018 × 0.025 NiTi | 0.016 × 0.024 Ocel | 0.0182 × 0.0182 TMA (všechny s ohyby)
• Dolní: 0.016 NiTi | 0.016 × 0.022 NiTi | 0.018 × 0.025 NiTi | 0.016 × 0.024 Ocel | 0.0182 × 0.0182 TMA (všechny bez ohybů kromě, TMA)
Po nasazení zámků byly jako iniciální oblouky použity 0.014 NiTi. Po dvou měsících byly vyměněny za 0.016 NiTi, které byly v ústech ponechány další dva měsíce (obr. 5a–c).
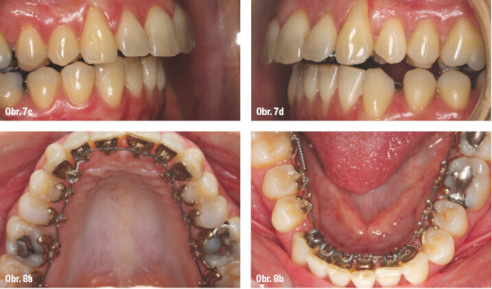
Vzhledem k tomu, že jsme plánovali uzavření mezer v dolním zubním oblouku, řetízek v dolní čelisti jsme použili až v kombinaci s ocelovým obloukem. Došlo k postupnému zhoršování jednostranné II. třídy a progresi deviace střední čáry dolního zubního oblouku (obr. 6a–c, obr. 7a–d a obr. 8a, b).
Pacientka chtěla být operována co nejdříve z kosmetických důvodů kvůli zhoršující se distookluzi dolní čelisti. K té docházelo, protože mandibula setrvávala v centrickém vztahu, a proto byl naplánován časný chirurgický zákrok. Předoperační fotodokumentaci můžete vidět na obrázcích 9a–j a 10a–g.
Po ortodontické přípravě/dekompenzaci byla provedena 3D simulace plánovaného chirurgického postupu a vytištěny CAD/CAM operační dlahy.
V celkové anestezii a nasotracheální intubaci byly umístěny čtyři minišrouby pro intraoperační maxilomandibulární fixaci a pooperační fixaci tahy. Poté byla provedena bilaterální sagitální osteotomie s předsazením a centrováním čelisti podle první operační CAD/CAM dlahy. Na každé straně byla dolní čelist fixována miniplatem se čtyřmi monokortikálními šrouby a jedním bikortikálním šroubem.
Zaujala Vás ukázka článku? Celý článek můžete prostudovat v příslušném vydání časopisu Ortho 1/2018
Stáhněte si jej ve formátu PDF
Ortho 1/2018
Štítky:
MUDr. et Mgr. Milada Soldánová, Ph.D. je specialistkou v oboru ortodoncie, provozuje úspěšné praxe v Jindřichově Hradci i v Praze a externě ...
Lingvální aparáty zajišťují estetickou a komfortní ortodontickou léčbu náročných pacientů. Po zdolání počátečních komplikací, ve smyslu ...
Existuje mnoho technik, které zjednodušují každodenní práci. Příkladem jsou intraorální, extraorální a obličejové skenery, CBCT ...
V lednu 2017 vydalo Ormco Insignia Workbook, publikaci, která sdružuje osvědčené postupy a kazuistiky zkušených uživatelů značky Insignia z ...
LightForce Orthodontics je platforma pro digitální stomatologii poskytující ortodontistům plně individualizované 3D tištěné pomůcky pro posun ...
V rozhovoru s Johnem Lannonem, který klade otázky, diskutují ortodontisté Dr. Luis Carriere a Dr. John Graham o „Sagittal first“ filozofii a ...
Orthocaps HAT (Hybrid Aligner Therapy, čili hybridní terapie alignery) je léčebná metoda, která rozšiřuje indikace použití fóliových aparátů. ...
Přesné umístění zámků a úspěšný bonding patří mezi nejdůležitější prvky efektivní ortodontické léčby. Umístění zámků do ...
Cílem vývoje nových kořenových nástrojů HyFlexTM CM bylo primárně zefektivnit zprůchodnění a ...
Při navrhování zubní soupravy Planmeca Compact™ i5 jsme měli na mysli pět nejdůležitějších prvků – design, dobrý pocit z ošetření, ...
Živý webinář
Po. 11 května 2026
6:00 (CET) Prague
Živý webinář
Po. 11 května 2026
7:00 (CET) Prague
Živý webinář
Út. 12 května 2026
7:00 (CET) Prague
Živý webinář
Čt. 14 května 2026
6:00 (CET) Prague
Živý webinář
Čt. 14 května 2026
8:00 (CET) Prague
Prof. Hani Ounsi DDS PhD FICD
Živý webinář
Út. 19 května 2026
5:00 (CET) Prague
Živý webinář
Út. 19 května 2026
7:00 (CET) Prague
Prof. Dr. med. dent. Ivo Krejci
To post a reply please login or register