Případy čelistních progenií s výraznými estetickými omezeními staví lékaře zpravidla před velkou výzvu. V minulosti – tím je míněna v Německu klasicky rozdělená struktura praktických zubních lékařů a zubních specialistů – následovalo v takových případech odeslání na oddělení ortodoncie, jež se po domluvě s ošetřujícím lékařem pokusilo takový případ adekvátně vyřešit, jak funkčně, tak i esteticky. V dnešní době má zubní lékař četné možnosti (studijní plány, doktorandská studia, atd.) se vysoce odborně vzdělávat ve speciálních oborech stomatologie, dokud není schopen ošetřit komplexní případ zcela sám. Tento moderní vývoj umožňuje brát v úvahu zub, dutinu ústní a člověka jako takového, aniž by byl ošetřující odborně fixován pouze na jediný dílčí problém. Toto má největší význam zvláště u případů s vysokými nároky na estetiku, neboť rozdělení zubní péče mezi více ošetřujících a jejich odlišné koncepty ošetření mohou vést k rozdílům, které mohou mít negativní účinek na pooperační výsledek. Navíc je dnešní zubní lékařství značně esteticky orientovaným oborem, jenž snese srovnání s kosmetickou chirurgií. Kvalitní kosmetický chirurg se též nemůže zaměřit pouze na nos, nýbrž musí posuzovat celý obličej jako takový.
Ortodontická chirurgie představuje jakožto estetický směr zubního lékařství důležitý základní kámen. Pohyby zubů jsou u výraznějších progenních vad skusu možné pouze v omezeném rozsahu a jsou pokaždé závislé nejen na vzájemném chybném postavení horní a dolní čelisti, ale i na vztahu čelistí a ostatních kostí obličeje. Anomálie mohou dospělým působit velkou újmu a těžiště ortodontické terapie se pak primárně nachází v estetické a funkční úpravě stavu. Optimální dentice a obnovení žvýkací funkce představují rozhodující faktory pro zachování zubů a profylaxi sekundárních poruch. Je mimo diskuzi, že motivací většiny pacientů je zlepšení estetiky a s tím spojeného sebevědomí, přičemž v úvahu berou i případnou chirurgickou korekci.
embedImagecenter("Imagecenter_1_2220",2220, "large");
Příčiny dysgnacie
V současné literatuře se vedou spory jak o příčinách dysgnátních nálezů tak i o etiologii dysgnátních symptomů u ortodontických pacientů. V Schopfově práci o podílu exogenních faktorů, jež se podílejí na vzniku dysgnacie, se nedokázali dopracovat k žádným konkrétním údajům o procentuelním zastoupení pacientů se získanou a dědičně podmíněnou dysgnacií (Schopf, 1981). Přesto se během posuzování jednotlivých příznaků pacientů podařilo získat poznatek, že pouze u 48 procent pacientů bylo možné spojit přítomnost dysgnátních symptomů s vnějšími etiologickými faktory. Saekel a Brodmann dospěli ve své expertíze z roku 2001, provedené na základě Schopfovy publikace, k závěru, že 20 procent anomálií by muselo být podmíněno dědičně a tím pádem by se nedaly ovlivnit profylaktickými prostředky. Následkem toho by 80 procent dysgnacií muselo být v předstihu řešitelné prevencí, takže by se ve spojení s redukcí vzniku kazů u dětí, vycházející z Německé studie orálního zdraví, musel teoreticky snížit i počet pacientů potřebujících ortodontický zákrok. Univerzitě v Greifswaldu s profesorem Henselem se však podařilo určit, že 20,3 % symptomů je klasifikováno jako podmíněné dědičně, 44,3 procent jako exogenní a 35,3 procent jako nejednoznačně zařaditelné, takže na základě těchto výsledků se na ně nemůže vztahovat předpoklad, že 80 procent dysgnacií by muselo být ovlivnitelné prevencí (Hensel, Stanovisko DGKFO – Německá ortodontická společnost, 2001).
Rozdílná data a názory ozřejmují složitost jednoznačného zařazení dysgnacií. Bez ohledu na to tu však stojí pacient se svou úzkostí a očekává léčbu svých příznaků včetně dlouhodobě stabilních výsledků provedeného ošetření. V důsledku toho by se u případů dysgnacie, jež se už nejeví ošetřitelné čistě ortodonticky, mělo uvažovat nad ortodonticky-chirurgickou léčbou, než se vůbec vyzkouší léčba pouze dentoalveolárními kompenzačními opatřeními. Vyzkoušet nejprve kompenzační mechanismy v zubní oblasti by sice mohlo pacientovi ušetřit operační zákrok, současně ale může léčbu zbytečně a riskantně prodloužit.
Cílová skupina ortodontické chirurgie
Velkou část pacientů dnes v ortodontické praxi tvoří dospělí lidé. Vedeni vysokými sociálně kulturními požadavky a přáním perfektní zubní estetiky se zvyšuje ochota k úpravám vadného skusu. V případě dospělých mohou být skeletálně způsobené vady řešeny konvenční ortodontickou terapií k plné spokojenosti pacienta jen vzácně, takže je nezbytná kombinace ortodontické a chirurgické terapie.
Kazuistika
Kombinovaná ortodonticky-chirurgická terapie vyžaduje nejen úzkou a cílenou spolupráci s čelistním chirurgem, nýbrž také absolutní přijetí plánu léčby pacientem nebo případně rodiči. Ošetřování je zdlouhavé a nelze vyloučit případné pooperační korekce. Pacient musí být během podrobného lékařského rozhovoru dostatečně poučen o rizicích kombinovaného ošetření, měl by ale být zpraven i o rizicích neléčené dysgnacie, neboť vadná poloha skusu může vyvolat četné doprovodné symptomy, jako bolesti zad, hlavy až po chronické migrénové stavy. U výrazného dolichofaciálního typu obličeje může docházet k pharyngeální tísni, jež se může projevovat obstrukčním syndromem spánkové apnoe (Hochban a kol., 1997).
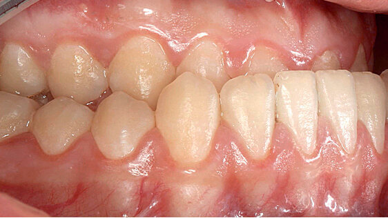
Pacientka prezentovaná v této kazuistice netrpěla nuceným progenním skusem pouze esteticky, ale také příjem potravy byl značně narušen (obr. 1a-g). Pacientka udávala, že například do jablka musela nakusovat obráceně tak, že používala dolní frontální zuby. Na bočním telerentgenovém snímku byl patrný a jasně viditelný rozsah progenie, takže v tomto případě nebude stačit pouhé posunutí dolní čelisti dozadu (obr. 2a a b).
Před začátkem terapie byl stanoven rozsah dysgnacie a s ní spojeného nuceného skusu pomocí nákusné dlahy, jež se nosí šest až osm týdnů, aby bylo možné zaručit určení fyziologické polohy kondylů. Následně proběhla ortodontická korekce v dentoalveolární oblasti, jež byla v prezentovaném případě řešitelná pouze pomocí masivního nákusu pevně fixovaného na premoláry a moláry. Nákusné dlahy umožnily odemčení zkříženého skusu ve frontě a vyklonění vpáčených řezáků v horní čelisti. Optimální pozice horní a dolní čelisti byla posouzena podle operace na modelech. Podle těchto modelů byla následně vyrobena dlaha a fixována v ústech během operace, aby bylo možné přenést předoperačně určenou fyziologickou pozici kondylů. Předoperační vyšetření pacientky ukázalo pacientku s fixními rovnátky v ústech a finální okluzí, jež byla možná jen díky masivním nákusným dlahám (obr. 4a a b). Je jasně patrné, že nákusy musely být navrženy tak, aby mohly být horní řezáky předoperačně vykloněny.
Po úspěšné ortodontické přípravě před operačním výkonem si pacientku přebírá čelistní chirurg a plánuje osteotomie nutné k posunutí čelistí. Zároveň se vytvoří operační přístup ke kostem, jež budou v určených bodech rozděleny (osteotomie kosti). Následně podle informací z operace na modelech a podle vyrobených dlah proběhne korekce postavení kostí a následné hojení v nové, zafixované pozici. V čelistní oblasti se po posunutí musí sledovat nejen vzájemná poloha čelistí, nýbrž také zuby a jejich okluze. Tento rozhodující krok musí ortodontista připravit maximálně precizně, neboť podle okluze se pak orientuje nová pozice čelistí. Při transpoziční osteotomii se může posunovat horní anebo i jen dolní čelist. V tomto případě byla indikována bignátní procedura. V dnešní době jsou téměř vždy posouvány celé části čelisti nesoucí zuby. Segmentová osteotomie se v minulosti neosvědčila a korekce chybného postavení zubů jsou přenechávány kolegovi ortodontistovi.
V prezentované kazuistice byla provedena kombinace operačních technik Obwegeser-Dal Pont a Le Fort I. Bignátní přístup má smysl, protože během porušeného růstu se horní a dolní čelist navzájem ovlivňují (obr. 4a a b). Přesto je častokrát možné dosáhnout velmi dobrého a méně riskantního výsledku i jen s pomocí techniky Obwegeser-Dal Pont. U této techniky se jedná o stupňovitou osteotomii z intraorálního přístupu na vzestupné větvi mandibuly.
Fixace oddělených částí čelistí probíhá zpravidla kombinací dlah určených k osteosyntéze, jež se pevně sešroubují s čelistí. Na základě většího zákroku při odstraňování osteosyntetických dlah se jeví jako vhodnější metoda Obwegeser-Dal Pont, při které se fixace provádí pouze šrouby (Hochban, 1997). Při osteotomii Le Fort I se horní čelist oddělí klasickým způsobem, patřičně se posune a poté se zafixuje čtyřmi adaptačními dlahami. Mezičelistní fixace není nutná.
Rizika ortodonticko-chirurgického ošetření
Jako u každého operačního zákroku mohou nastat nečekané komplikace, které se musí vždy pečlivě zvážit dle principu riziko vs. užitek. Dnes je transpoziční osteotomie stále velmi živě diskutována, neboť chybné postavení čelistí nepředstavuje v podstatě žádné srovnatelně vážné onemocnění, jakými jsou třeba tumor, absces nebo fraktura kosti, které by si vyžádaly operační řešení. Protože se jedná o tzv. volitelné zákroky, měly by platit zvláště vysoké nároky na bezpečnost operací. Izolovaným osteotomiím dolní čelisti, jež jasně představují nepatrné operační riziko, by jakožto kombinovaným ortodonticko-chirurgickým zákrokům měla být věnována zvláštní pozornost. Nejvýznamnější riziko osteotomie dolní čelisti s pravděpodobností kolem 5 procent představuje poškození nervus alveolaris inferior a inervace dolního rtu a oblasti brady. V případě osteotomie Le Fort I se riziko týká poškození nervus palatinus major a příslušné arteria palatina.
V případě technik Obgeweser-Dal Pont nebo Le Fort I se není třeba obávat dalších vážných rizik a recidivy krvácení se dají zpravidla zvládnout v rámci pooperační péče.
Nehledě na výše uvedené musí být pacient dlouho před operací psychicky připraven na to, že se jeho vzhled změní tak výrazně, až může docházet k poruchám osobnosti. Toto nelze podcenit a v literatuře bylo již mnohokrát popsáno, že pacienti po transpoziční osteotomii museli být delší čas pod psychologickým dohledem. Je zcela na lékaři, aby posoudil pacienta, provázel ho celou fází ošetření a zhodnotil, zda je pacient z psychologického pohledu na takto vážný zákrok připraven (obr. 5a až 6b).
Multidisciplinární léčba vyžaduje vynikající komunikaci a koordinaci odborníků různých ...
Od poloviny 90. let 20. století dochází k vývoji v oblasti adhezivních materiálů a technik, které značně transformovaly konzervativní přístup k...
V současné stomatologii, kdy se snažíme nabídnout našim estetikou se řídícím pacientům ty ...
Při práci s dentálními implantáty je nutno dodržovat celou řadu specifických pravidel týkajících se jak chirurgické fáze, tak fáze protetické...
Pacient se ke mně dostavil s akutní bolestí v horním levém kvadrantu. U zubu 26 byla diagnostikována akutní apikální periodontitida a byl ošetřen...
Pokud v minulosti pacientova situace v ústech vyústila v kompletní ztrátu zubů, bylo ošetření omezené na totální náhradu bez jakékoliv naděje ...
Moderní ordinace ve 21. století neznamená jen léčbu pacientů a vykazování kódů na pojišťovny. Ať už v malé ordinaci nebo velké klinice s ...
MD Guide nabízí alternativu k výrobě konvenční chirurgické šablony.
Digitální technologie jsou již masivně přítomny v každodenní práci zubních lékařů, a to i v případech kdy je digitální část práce ...
Protetická stomatitida (PS) je jednou z nejčastějších orálních lézí u pacientů, kteří ...
Živý webinář
Po. 11 května 2026
6:00 (CET) Prague
Živý webinář
Po. 11 května 2026
7:00 (CET) Prague
Živý webinář
Út. 12 května 2026
7:00 (CET) Prague
Živý webinář
Čt. 14 května 2026
6:00 (CET) Prague
Živý webinář
Čt. 14 května 2026
8:00 (CET) Prague
Prof. Hani Ounsi DDS PhD FICD
Živý webinář
Út. 19 května 2026
5:00 (CET) Prague
Živý webinář
Út. 19 května 2026
7:00 (CET) Prague
Prof. Dr. med. dent. Ivo Krejci
To post a reply please login or register