Search Dental Tribune

Funkční, anatomická a estetická harmonie s novým kompozitem Enamel Plus HRi Bio Function

Zhotovená inlej (fotografie: Dr. Irene Franchi)
Dr. Irene Franchi, Itálie

Dr. Irene Franchi, Itálie

Čt. 1 července 2021

uložit

Od poloviny 90. let 20. století dochází k vývoji v oblasti adhezivních materiálů a technik, které značně transformovaly konzervativní přístup k ošetření v distálním úseku, včetně významných změn v plánování ošetření. Před zavedením adhezivních technik bylo v podstatě možné používat pouze tři materiály: amalgám pro přímé výplně, více či méně ušlechtilé kovové slitiny a živcovou keramiku k fazetování kovových slitin. Potřeba zhotovovat kompozitní výplně v distálním úseku je nejen estetické povahy, ale především souvisí s principem biologické úspornosti a schopnosti zesílit zbytkovou zubní strukturu.

Moderní kompozity vedly k vrstvení materiálů s předem určenou tloušťkou pro dentinové a sklovinné vrstvy s cílem biomimetické integrace výplně zvolením nejvhodnějšího materiálu z funkčního a estetického hlediska bez kompromisů. Zuby nejsou v dutině ústní nehybné. Mění svou pozici nejen vlivem změn v okluzi, ale také s ohledem na anatomickou rovnováhu. Různá fasciální napětí působící na kraniální úrovni mohou mít vliv na změnu polohy zubu, pokud se vyskytují dostatečně dlouho, po klinicky měřitelnou dobu. Navzdory tomu, že je sklovina nejtvrdší hmotou v organismu, podléhá opotřebení. Tato skutečnost vede k nové rovnováze v okluzi, protože se mohou časem změnit mezihrbolkové vztahy.

Nedávno byl vyvinut nový kompozit Enamel Plus HRi Bio Function (Micerium). Neobsahuje v organické matrix žádné bis-GMA, plnivem je křemičitan barnatý, ultrajemné skelné plnivo (0,3 µm) a nanočástice pyrogenního oxidu křemičitého o velikosti od 5 nm do 50 nm, s průměrnou velikostí 40 nm. Pyrogenní oxid křemičitý vytváří shluky větší než nano rozsah, zatímco neshluknuté částice se začleňují do bloků větších, než je nano rozsah vytvářený u předem vytvrzené pryskyřice, která se následně rozdrtí a poté znovu začlení do kompozitní matrix. Velikost těchto shluků je větší než 30 nm, takže nemohou proniknout do membrán buněčného jádra.2 Složení tedy umožňuje vynikající leštitelnost a dlouhotrvající lesk.

Tyto výrazné aspekty charakterizují Enamel Plus HRi Bio Function jako novou třídu materiálů, které lze definovat jako „mikrohybridní nanoagregované kompozity“, vyvinuté a vyrobené se zvláštním záměrem respektovat dutinu ústní a nervosvalový systém, a tedy lidský organismus obecně. Literatura dokládá, že hloubka opotřebení a hodnoty objemového úbytku Enamel Plus HRi Bio Function jsou srovnatelné s přirozenou sklovinou, což znamená extrémní dlouhodobou spolehlivost tohoto kompozitu nové generace, a to i u rozsáhlých výplní.

Indikace pro použití Enamel Plus HRi Bio Function jsou následující:

  • Přímá technika: I. třída (všechny kavity), II. třída (malé a střední kavity), III. třída (všechny kavity), IV. třída (všechny kavity), V. třída (všechny kavity), celkové a částečné vestibulární krytí, kosmetické korekce a složité výplně.
  • Nepřímá technika: inleje I. třídy (všechny kavity), inleje II. třídy (všechny kavity), inleje IV. třídy (všechny kavity), onleje, upevňování translucentních kompozitních a keramických náhrad (tloušťka < 2 mm), poslední vrstva u náhrad nesených implantáty a kombinovaných snímatelných náhrad, rehabilitace/úpravy a individualizace pryskyřičných zubů nebo provizorních náhrad, fazetované náhrady a náhrady na kořenových nástavbách.

Cílem tohoto článku je představit na trh nedávno uvedený kompozitní materiál v případě, který zahrnoval přímé výplně a nepřímou náhradu.

Kazuistika

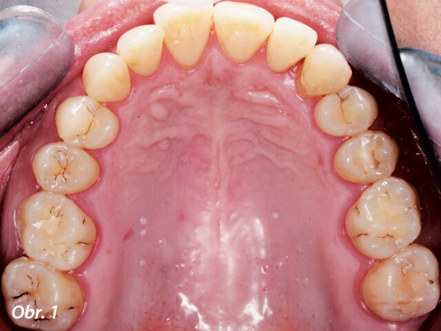
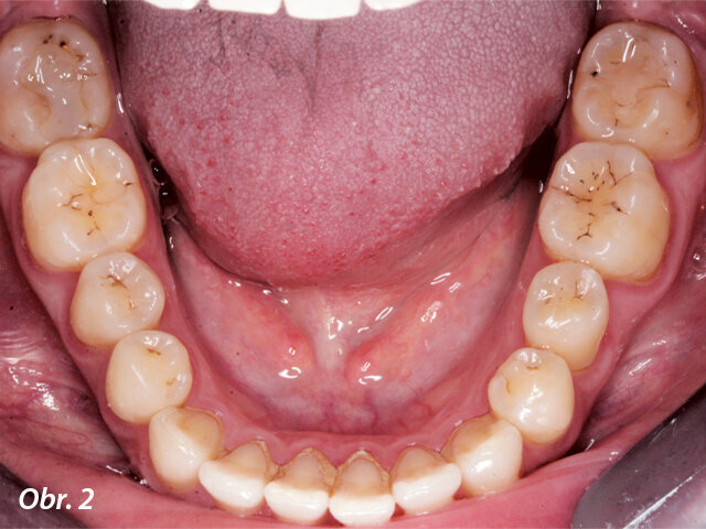
Pacientka ve věku 38 let přišla do mé ordinace kvůli vyřešení zubních kazů. Při klinickém vyšetření nebyly patrné žádné kazy velkého rozsahu (obr. 1, 2). Až na RTG snímcích typu bitewing (obr. 3, 4), nezbytného prostředku pro diagnostiku v záchovné stomatologii, byly vidět mnohé kariézní léze, které zasahovaly do dentinových tkání. Pacientka požadovala vynikající estetický výsledek, což znamenalo sladění kompozitního materiálu se sklovinnými tkáněmi. Tento požadavek musel být zkombinován s funkční rehabilitací, která by v distálním úseku odolala zatížení žvýkacími silami a zajistila dlouhodobě minimální možné opotřebení. V rámci léčebného plánu bylo pacientce navrženo řešení v podobě přímého ošetření kazů v jednotlivých kvadrantech a nepřímé výplně v zubu 47, které by umožňovalo nejlepší přesnost okrajů a bylo zárukou dlouhodobě vynikajícího výsledku.

Přistoupili jsme k rehabilitaci pomocí materiálu Enamel Plus HRi Bio Function. Bio Function je k dostání ve třech sklovinných odstínech – BF1 (nízká světlost), BF2 (střední světlost) a BF3 (vysoká světlost) – a devíti dentinových odstínech – BD0, BD0,5 (na výplně v obzvláště bílých nebo bělených zubech), BD1 (A1 dle vzorníku VITA), BD2 (A2 dle vzorníku VITA), BD3 (A3 dle vzorníku VITA), BD3,5 (A3,5 dle vzorníku VITA), BD4 (A4 dle vzorníku VITA), BD5 a BD6.

 

Zaujala Vás ukázka článku? Celý článek naleznete zde.

 

 

Dr. Irene Franchi pracuje v soukromé ordinaci v Levizzano Rangone v Itálii.
Kontaktovat ji můžete na e-mailu: franchiirene@virgilio.it

 

To post a reply please login or register
advertisement
advertisement