Použití laserů ve stomatologii – a při lékařských zákrocích obecně – zaznamenalo v posledních letech velký pokrok nejen v účinnosti, ale také v přijetí pacienty. Naši kolegové, například kožní a oční lékaři, používají lasery z celé řady důvodů již mnoho let. Při nedávné návštěvě ordinace kožního lékaře jsem viděl řadu velkých, objemných a drahých laserů. Lékař potřeboval různé typy laserů, protože musel volit laser se zdrojem energie na základě požadovaných cílů zákroku. Zákroky kožních lékařů se týkají především měkkých tkání.
Stejně jako tomu bylo u laserů pro lékařské použití obecně, i laserové systémy doporučené pro stomatologii byly určeny převážně pro zákroky na měkkých tkáních. Důvodem bylo, že s výjimkou relativně nedávno představených technologií, způsobovalo použití laserů na tvrdých tkáních ve stomatologii obvykle vysušení zubu nebo ošetřované kosti, a dotyčná tvrdá tkáň zůstala po zákroku vyschlá a křehká. Rané laserové technologie, které byly propagovány jako vhodné pro zákroky na tvrdých tkáních, byly hodně hlučné, stály spoustu peněz a v nejlepším případě dosahovaly minimálních a omezených výsledků. Současné nové laserové technologie pro použití na tvrdých zubních tkáních se však zlepšily a ukazuje se, že jsou lépe schopny splnit cíle jak z hlediska praktičnosti, tak účinnosti.
Tento článek se však zaměří pouze na měkké tkáně: konkrétně na dosažení požadovaných estetických výsledků při použití laserové technologie na měkké tkáně k ošetření hyperplazie gingivy. Moje osobní zkušenosti s lasery se datují již více než 25 let nazpět, kdy jsem si do své soukromé ordinace koupil CO² laser. Byl to dobrodružný a nákladný počin (zhruba 60 000 USD na začátku 90. let). Tehdy ještě neexistovaly žádné stomatologické laserové společnosti a jen několik z nás, zubních lékařů, se snažilo hledat novější techniky, jak účinněji a pohodlněji dosahovat výsledků, které si naši pacienti přáli.
Hyperplazie epitelové tkáně v gingivální oblasti narušuje hladký vzhled parodontálních tkání a ohrožuje tak estetiku úsměvu. Ztěžuje také pacientům udržování dobré ústní hygieny, vede k zánětům a zvyšuje riziko progrese parodontitidy.
Kazuistika 1
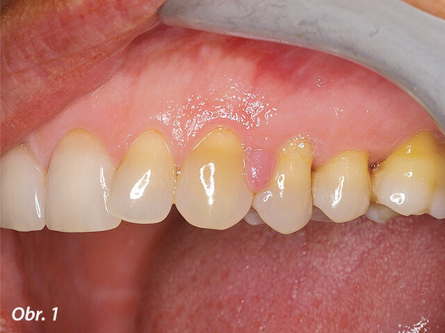
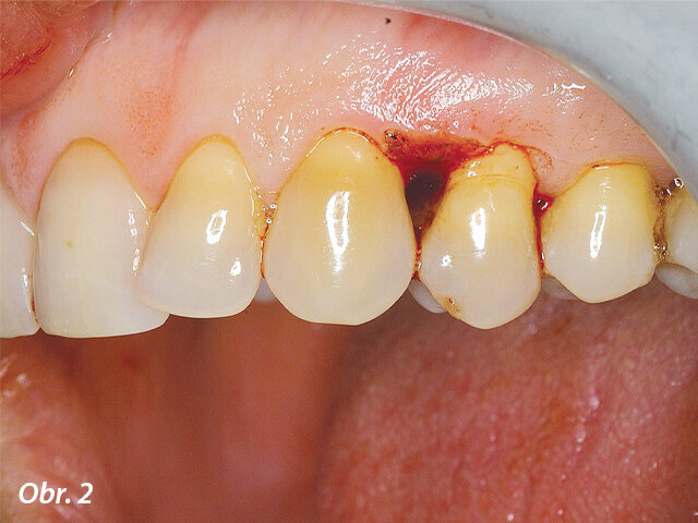
Jak je patrno z obrázku 1, pacientka se dostavila do mé ordinace s lokalizovanou hutnou hyperplastickou oblastí dásně, která byla potvrzena klinickým vyšetřením. 31letá pacientka měla elegantní oblečení a čisté, dobře udržované ruce a nehty. Stěžovala si, jak je těžké danou lokalizovanou oblast čistit a popisovala, že snaha o vyčištění bolí a způsobuje krvácení, především při použití dentální nitě. Došlo k narušení kontinuity hladkého vzhledu gingivy, díky čemuž vypadal její povrch nerovně a esteticky rušivě.
Hutná hyperplastická tkáň interproximálně mezi zuby 23 a 24. Hyperplasticky změněná tkáň omezovala přístup do interdentálního prostoru, v důsledku čehož nebyla pacientka schopna provádět v inkriminované oblasti řádnou ústní hygienu.
K odstranění hyperplastické tkáně byl použit diodový laser, a to během několika málo minut a bez krvácení.
Parodontologická sonda v ošetřené oblasti: nebyla prokázána přítomnost parodontálních kapes a pacientka byla schopna opět řádně pečovat o své ústní zdraví.
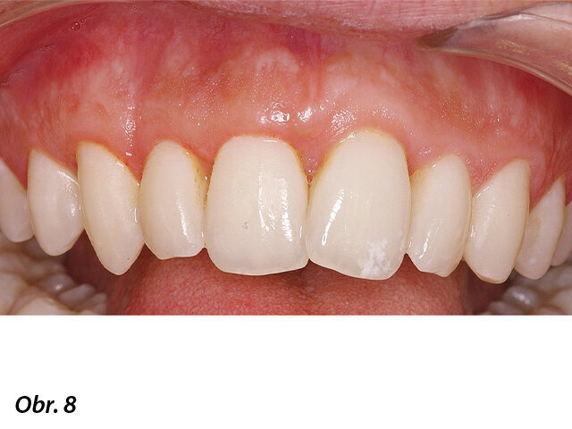
Zhojená a esteticky konsolidovaná oblast.
V druhé kazuistice se jednalo o dospívajícího pacienta s hyperplastickou gingivitidou v horním frontálním úseku.
Odstraňování nežádoucích hyperplastických tkání pomocí diodového laseru AMD Picasso s jednorázovým hrotem.
Po odstranění hyperplastických tkání v horním frontálním úseku byl patrný posun směrem k požadovaným výsledkům.
Jak bylo zmíněno, již řadu let jsou k dispozici různé laserové přístroje pro použití v celé řadě stomatologických zákroků na měkkých tkáních. Všechny mají schopnost dosahovat požadovaných výsledků, má-li lékař s danou technologií a typem zákroku dostatek zkušeností. Některá laserová zařízení se vyznačují vysokou adaptabilitou a schopností pracovat při různých intenzitách energie, přičemž při správném použití jimi lze účinně ošetřit měkké tkáně s požadovaným výsledkem.
Za účelem korekce tohoto konkrétního defektu jsme měli na výběr mezi skalpelem nebo laserem. Přiklonili jsme se k použití diodového laseru, který se snadno používá a nezpůsobuje krvácení v ráně, díky čemuž odpadá nutnost aplikace parodontálního obvazu, která by byla nutná k zakrytí výsledné rány po použití skalpelu.
Výsledků zdokumentovaných na obrázcích 1–4 bylo dosaženo pouze pomocí diodového laseru Picasso (AMD LASERS).
Tento přístroj je poněkud objemný, ale lehký a přenosný. Lze jej podle potřeby snadno přemisťovat mezi jednotlivými ordinacemi, čímž odpadá nutnost kupovat pro každou ordinaci samostatný přístroj. Pracovní hroty jsou navíc jednorázové, což zajišťuje jejich sterilitu. Klíčovým faktorem pro pořízení laseru AMD Picasso byla jeho cena. Ceny laserů na měkké tkáně jsou obvykle relativně vysoké a pohybují se v rozmezí od 12 000 do 120 000 USD. Cena tohoto přenosného přístroje se pohybuje v rozmezí od 2 000 do 2 500 USD. Podle mých zkušeností tento přístroj dosahuje výsledků srovnatelných s dražšími systémy.
Zaujala vás ukázka článku?
Celý článek můžete prostudovat v příslušném vydání časopisu Cosmetic Dentistry CZ/SK 1/2021 stáhněte jej ve formátu PDF
Dr. David L. Hoexter, DMD, FICD, FACD
Private Practice
635 Madison Ave., suite 1200,
New York, NY 10022, USA
Tel.: +1 212 355-0004
E-mail: drdavidlh@gmail.com
Web: www.drhoexter.com
Redakční poznámka: Článek byl publikován v mezinárodním vydání časopisu cosmetic dentistry beauty & science, Vol. 13, Issue 1/2019.
To post a reply please login or register