Search Dental Tribune

Články

Filtr

Orální mikrobiota, střevní mikrobiota a zánětlivé onemocnění střev

Mezi hostitelem a střevní mikrobiotou, což je smíšená komunita mikroorganismů, které chrání střevo před kolonizací exogenními patogeny, ...

uložit

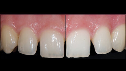
Dokonalost a komfort při bělení

Mít bílé zuby (zářivý úsměv) je módním trendem již dlouhou dobu. Světlý zářivý odstín zubů byl dokonce esteticky žádoucí i v době, kdy...

uložit

Orální biofilm – co byste o něm měli znát

Současně s rozvojem výzkumu komplexity orálního mikrobiomu (komunity mikroorganismů přítomných v ústech) by mělo docházet ke zlepšení úrovně...

uložit

Celosvětový nedostatek roušek zasahuje zubní ordinace po celém světě

LIPSKO, Německo: Podle Australské dentální asociace může trvat rok, než bude široké veřejnosti dostupná úspěšná vakcína na léčbu ...

uložit

SpofaDental a.s. – tradiční výrobce nekovových dentálních materiálů

Rozhovor s ředitelem společnosti Petrem Švecem

uložit

Ošetření pacientů s parodontitidou lineárním ultrazvukem Vector Paro

Parodontitida je považována za jeden z největších problémů dutiny ústní současné populace. V obecném povědomí dosud přetrvává mylný ...

uložit
advertisement

Výzva k vytvoření a zachování zdravých návyků ústní hygieny

Zatímco čištění zubů konvenčním zubním kartáčkem je pro naprostou většinu lidí již zavedeným zvykem, pokud jde o čištění mezizubních ...

uložit

Zánět tkání parodontu – zjednodušeně

Zánět je zkoumán již od starobylých časů. Bylo pozorováno, že po podráždění, poranění nebo infekci reagují tkáně po celém těle ...

uložit

Tisková zpráva ke Světovému dni ústního zdraví 2020

SPOLEČNĚ PRO ZDRAVÁ ÚSTA – UČIŇTE PŘEDSEVZETÍ / Pod tímto heslem se Česká stomatologická komora ve spolupráci s partnery již sedmým rokem ...

uložit

Šíření koronaviru vede ke změně termínů konání většiny odborných akcí - aktualizováno

Vzhledem k celosvětovému rozšíření onemocnění COVID-19 přistupují pořadatelé odborných akcí po celém světě ke změnám termínů jejich ...

uložit

Studie si vzala do hledáčku orální zdraví dětí s autismem

DURBAN, Jihoafrická republika: Protože po celém světě stále stoupá počet hlášených případů dětí s poruchou autistického spektra (PAS), ...

uložit

Lupové brýle vám otevřou oči

Časté dotazy týkající se lupových brýlí: 1. Kdy a proč zakoupit lupové brýle?, 2. Kolik do lupových brýlí investovat?, 3. Jaké zvětšení ...

uložit
advertisement

OPTIM® je účinný proti novému koronaviru

OPTIM® prokázal účinnost proti virům podobným novému koronaviru na tvrdých neporézních površích a neinvazivních zdravotnických prostředcích....

uložit

Reportáž: Škachův den 2020

Ve středu 12. února 2020 se v Divadle U Hasičů v Praze konal 11. Škachův den. Poprvé jsme měli tu čest být mediálním partnerem této unikátní ...

uložit

Dentální svět reaguje na propuknutí koronaviru

LIPSKO, Německo: V průběhu uplynulého měsíce dominovalo ve všech zpravodajských relacích jedno mezinárodní téma – propuknutí koronaviru ve ...

uložit

EFP a WHF zveřejňují zprávu potvrzující souvislost mezi periodontálním a kardiovaskulárním zdravím

BRUSEL, Belgie/ŽENEVA, Švýcarsko: Přestože již byla zkoumána různá spojení mezi periodontálním a kardiovaskulárním zdravím, až doposud ...

uložit
advertisement

Boj proti pirátství – exocad se stává členem softwarové aliance BSA

DARMSTADT, Německo: Společnost exocad prodávající dentální CAD/CAM software oznámila, že se oficiálně připojila k BSA (Business Software ...

uložit

ROOTS SUMMIT zveřejňuje program praktických kurzů a přednášek

PRAHA, Česká republika: ROOTS SUMMIT vybral k vytvoření dalšího hvězdného programu svého konání v roce 2020 vysoce kvalitní přednášející a ...

uložit

Vědci volají po promyšleném nakládání s odpady ve stomatologii

CAMBRIDGE, Massachusetts, USA: Během nedávného Světového týdne Harvardské univerzity vědci ze Stomatologické fakulty Harvardské univerzity (HSDM) ...

uložit

Žaloba tvrdí, že americký zubní lékař během ošetření zapálil ústa pacientky

LAS VEGAS, USA: Podle nedávno podané žaloby došlo během rutinního stomatologického ošetření u pětileté dívky k zapálení úst. V důsledku ...

uložit
advertisement

Špatné orální zdraví souvisí s vyšším rizikem rakoviny jater, naznačuje studie

BELFAST, Velká Británie: Je nadále sporné, zda špatné orální zdraví samo o sobě souvisí s rozvojem gastrointestinálního karcinomu, protože se ...

uložit

Studie spojuje nezjištěné poruchy metabolismu cukrů s periodontitidou

STOCKHOLM, Švédsko: Potřeba větší interdisciplinární komunikace mezi zdravotnickými odborníky je stále zřejmější. Nedávná studie ...

uložit
advertisement

Od otevírání lahví po trhání izolepy – studie odhaluje nebezpečné používání zubů

RUGBY, Velká Británie/AMSTERDAM, Nizozemsko: Podle zjištění nové studie nepoužívá většina lidí zuby jen k jídlu. Výzkum Nadace pro orální ...

uložit

Stomatologická komunita reaguje na požáry v Austrálii

SYDNEY, Austrálie: Ačkoli nedávné přívalové deště přinesly některým oblastem v Austrálii postiženým v několika předchozích měsících ...

uložit

Výzkum má osvětlit resistenci orální flóry vůči antiseptikům

FREIBURG/REGENSBURG, Německo: V posledních dvaceti letech byla mnohokrát zkoumána resistence vůči antibiotikům a je nadále předmětem veřejné ...

uložit

Mezinárodní soutěž Ústecký Dent 2020

Studenti oboru zubní technik měli ve dnech 14. – 15. 1. 2020 možnost porovnat své dovednosti v kresbě a modelaci z vosku na soutěži Ústecký Dent....

uložit
advertisement

European CanCer Organisation se zabývá rakovinou související s HPV

BRUSEL, Belgie/RUGBY, Velká Británie: Na nedávném evropském summitu 2019 organizace European CanCer Organisation (ECCO) schválil výbor ECCO ...

uložit

Švédská studie potvrzuje souvislost mezi periodontitidou a rizikem kardiovaskulárních onemocnění

MALMÖ, Švédsko: Ztráta zubů, konečný výsledek periodontitidy, byla již dříve spojována se zvýšeným rizikem kardiovaskulárních onemocnění....

uložit

Nové biologicky rozložitelné drátky poskytnou pacientům s periodontitidou lepší antibiotickou léčbu

HALLE (SAALE), Německo: Jak je dobře známo, prevalence periodontálních onemocnění zůstává navzdory vzrůstajícímu povědomí o významu ...

uložit

Studie zjistila, že výplně nemusí být nejlepší metodou ošetření dětského zubního kazu

LEEDS, VB: Ačkoli jsou v případě stálého chrupu zubní výplně zavedenou metodou ošetření přítomného zubního kazu, jejich užitečnost v ...

uložit
advertisement
advertisement