Search Dental Tribune

Články

Filtr

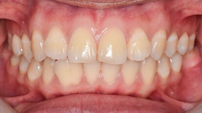
Úloha zubního lékaře u pacienta trpícího OSAS

Syndrom obstrukční spánkové apnoe (OSAS) je součástí skupiny respiračních spánkových poruch zahrnující prosté až habituální chrápání, ...

uložit

Už čistíte nebo pořád ještě leštíte?

Zubnímu kazu a parodontitidě je možno předcházet. Zubní plak, který je výsledkem mikrobiální kolonizace povrchu zubů, je prokázaným ...

uložit

Forma se snoubí s funkcí

Objevte vědu, která stojí za všestranným systémem samoligovacích zámků!

uložit

Rozhovor s Dr. Seanem K. Carlsonem: „Trojrozměrné technologie se stanou standardem péče“

Dr. Sean K. Carlson je docentem v oboru ortodoncie na University of the Pacific’s Arthur A. Dugoni School of Dentistry v San Francisku (Kalifornie, USA) a...

uložit

Jarní kongres Evropské alignerové společnosti v Benátkách

Léčba průhlednými alignery není revoluce – je to evoluce! Pro druhý kongres Evropské alignerové společnosti (EAS) si organizátoři vybrali ...

uložit

Pro pacienty je i chuť Perio Plus+ zcela zásadním přínosem

Doktor Milan Stojanovič vystudoval stomatologii na univerzitě v Bernu ve Švýcarsku a poté, co pracoval jako obličejový a čelistní chirurg v ...

uložit
advertisement

Hodnocení klinických studií

Při objektivním hodnocení účinnosti a bezpečnosti léčivých přípravků a zdravotnických prostředků jsou předkládány veřejnosti výsledky ...

uložit

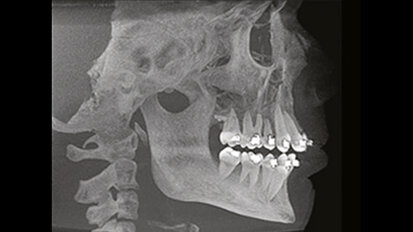
Použití technologie Cone Beam v ortodoncii

V době, kdy byla zubním lékařům představena výpočetní tomografie využívající kuželovitý paprsek záření (Cone Beam CT, CBCT), vstoupila v ...

uložit

Dýchání ústy, ortodontické anomálie a obnovení nosního dýchání

Většina zubařů a ortodontistů si je vědoma dopadu ústního dýchání na vývoj maxily. Většina z nich si také uvědomuje, že i po úspěšné ...

uložit

Nová studie informuje o problémech s dodržováním pravidel pro prostředky k bělení zubů

STRASBOURG, Francie: V nedávné studii dozoru nad trhem hodnotila Evropská síť oficiálních laboratoří pro kontrolu kosmetiky (OCCLs) kosmetické ...

uložit

Studie potvrdila klíčovou roli zubních lékařů při odhalování rakoviny dutiny ústní

TORONTO, Kanada: Nová studie ukázala, že zubní lékaři hrají důležitou roli v odhalování rakoviny v dutině ústní. Poté, co prozkoumali údaje ...

uložit

Kazuistika představuje vzácný výskyt retinovaného zubu v nosní dutině

AARHUS, Dánsko: Ve světě medicíny se kromě každodenních diagnóz vyskytují i skutečné rarity. To platilo pro pacienta na Oddělení ...

uložit
advertisement

Studie odhalila, že konzumace sladkých nápojů nemusí nutně souviset s dětskou obezitou

NOTTINGHAM, VB: Vzhledem k tomu, co víme o vztahu mezi mírou obezity a spotřebou cukru, by se dle zdravého rozumu zdálo, že děti, které konzumují ...

uložit

Ocenění uznává potenciál ortodoncie změnit život

LONDÝN, VB: Ocenění Britské ortodontické společnosti Against the Odds za rok 2019 bylo uděleno Tatianě Williamsové, jejíž příběh statečnosti ...

uložit

Lidský imunitní systém přispívá k zubnímu kazu a poškození zubních výplní

TORONTO, Kanada: Otázka, proč lidský imunitní systém pracuje částečně proti tělu, například v případě autoimunitních onemocnění, stále ...

uložit

Studie zjistila, že úsměv má pozitivní vliv na emoční stav

KNOXVILLE, Tenn., USA: Zubní lékaři podporují pacienty v udržování nebo vylepšování úsměvu. Kromě zachování funkcí hraje ve stomatologii ...

uložit
advertisement

Výzkum zjistil, že fóbie není překážkou stomatologickému ošetření

LONDÝN, VB: Bylo zjištěno, že pacienti s fóbií ze stomatologického ošetření mohou návštěvu zubního lékaře často odkládat nebo se jí ...

uložit

Vědci odhalili, jak mohou orální bakterie ovlivňovat agresivitu rakoviny tlustého střeva

NEW YOR, USA: Rizik spojených se špatným orálním zdravím je mnoho. Vědci již dříve zjistili, že zhruba třetina kolorektálních karcinomů je ...

uložit

ROOTS SUMMIT 2020: Otevřena možnost registrace

PRAHA, Česká republika: Online registrace na příští ROOTS SUMMIT, jediné celosvětové diskuzní fórum věnované endodoncii, je již otevřená. ...

uložit

Vědci zkoumají regenerativní potenciál zubů myší

LONDÝN, VB: Koncepce obnovy růstu zubů je ve stomatologii považována za něco jako „svatý grál“. Přestože většina plazů a ryb má za dobu ...

uložit
advertisement

Studie zpochybňuje zdravotní přínosy umělých sladidel

LONDÝN, VB: Díky poskytování sladké chuti bez kalorií a jiných škodlivých vedlejších účinků cukru jsou umělá sladidla často chválena za ...

uložit

Bakterie periodontálních onemocnění pravděpodobně řídí průběh Alzheimerovy choroby

LOUISVILLE, KY, USA: Nová studie ukázala, že Porphyromonas gingivalis, bakterie obvykle spojovaná s chronickým periodontálním onemocněním, má ...

uložit
advertisement

Vědci představují prototyp interaktivního zařízení, které je možné nosit v ústech

AUCKLAND, Nový Zéland: Vědci z Nového Zélandu vyvinuli ChewIt, zcela nové zařízení s individuálně konfigurovatelným rozhraním, které se nosí ...

uložit

Sebe léčba je při onemocněních temporomandibulárního kloubu nejpřínosnější, zjistila studie

NEW YORK, USA: Zubní lékaři i pacienti používají celou řadu metod léčby při onemocněních temporomandibulárního kloubu (TMK). V nedávné ...

uložit

Digitální technika přenosu obličejovým obloukem pomocí dentofaciálního analyzátoru

Tento článek popisuje efektivní a cenově dostupnou techniku pro přenos záznamu vztahů obličejovým obloukem do virtuálního artikulátoru pro ...

uložit

Digitální vs. analogový pracovní postup u keramických fazet v horní čelisti

Pro frontální úsek chrupu je v estetické a záchovné stomatologii k dispozici mnoho různých materiálů a možností léčby. Konvenční protokol, ...

uložit
advertisement

Zubotechnická ikona se představí v Česku

Jeden z nejuznávanějších zubních techniků současnosti Nondas Vlachopoulos přijede do České republiky a ve dnech 6.–7. září se představí v ...

uložit

Ivoclar Vivadent zve na sympózium Competence in Esthetics 2019

Každoroční sympózium Competence in Esthetics pořádané společností Ivoclar Vivadent se bude konat v Budapešti 15. a 16. listopadu 2019

uložit

Digitální maniaci (stávající i ti budoucí) míří do Olomouce

O tom, že budoucnost stomatologie je digitální, už asi pochybuje málokdo. A nezanedbatelná část zubních lékařů a techniků již tou budoucností...

uložit

Kouzelné „ALL ON FOUR“

Článek je příběhem o procesu výroby estetické celkové náhrady nesené implantáty, konkrétně o můstcích kotvených šroubkem s PEEK konstrukcí...

uložit
advertisement
advertisement