Článek je příběhem o procesu výroby estetické celkové náhrady nesené implantáty, konkrétně o můstcích kotvených šroubkem s PEEK konstrukcí v kombinaci s celokeramickými korunkami doplněnými kompozitní bází v barvě dásně.
Stomatochirurg Stanko Miletic se stará o efektivní implantologické ošetření coby základ pro protetické ošetření provedené zubním lékařem Ivanem Mileticem. Ivan Miletic musí zaznamenat individuální informace o pacientovi pro technika Pavla Metelku, který digitálně zhotoví definitivní náhradu.
V posledních 8 až 10 letech jsme už nějakou tu rekonstrukci celého oblouku nebo celých úst udělali. Jen v posledních 3 až 5 letech jsme udělali více než 400 podobných případů, většinu z nich technikou „All-on-4“ s protokolem okamžitého zatížení implantátů. Jako materiál jsme většinou použili Ceramill PEEK White od společnosti Juvora na konstrukci a zkombinovali jej se samostatnými zirkonovými korunkami vyrobenými z Ceramill Zolid FX Multilayer. Jednotlivé korunky cementujeme na PEEK konstrukci. U korunek vyrobených pro frontální úsek citlivě používáme techniku cut-back, abychom dosáhli potřebné estetiky. Gingivu vrstvíme z růžového kompozitu. V některých případech používáme SLM konstrukci fazetovanou kompozitem.
V krátkosti vám ukážeme protetický případ, na němž uvidíte význam týmové komunikace mezi chirurgem, protetikem a zubním technikem. Pouze dobrá týmová komunikace vede k funkčnímu a estetickému výsledku. Případ spočívá v rehabilitaci celé horní i dolní čelisti technikou „All-on-4“ s okamžitým zatížením implantátů. Popíšeme každou fázi procesu od chirurgie po protetiku a práci v laboratoři.
Počáteční situace
Do naší ordinace se dostavil pacient s celkovou náhradou v horní čelisti, která byla stará více než 30 let. V dolní čelisti měl zbytkový chrup a pilíře můstků zasažené periodontálním onemocněním a byl zde patrný masivní úbytek kosti. Pacient se chtěl znovu s jistotou smát a požadoval fixní, funkční a estetický výsledek ošetření. Po vyhodnocení získaných vstupních dat vyšetření jsme se rozhodli rekonstruovat obě čelisti pomocí chirurgického protokolu „All-on-4“ s okamžitým zatížením zavedených implantátů.
„Magický tým All-on-4“ – Pavel Metelka, Ivan Miletic, Stanko Miletic (zleva)
Dřívější úspěšná ošetření pomocí našeho „procesu estetické náhrady nesené implantáty“ / Pacient – fotodokumentace počáteční situace
CT sken po chirurgickém zavedení čtyř implantátů v horní čelisti
Chirurgická procedura zavádění implantátů / Konečný výsledek po chirurgické fázi
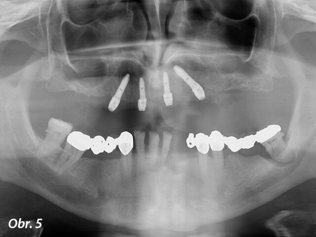
Ošetření každého případu „All-on-4“ začíná pořízením fotografií pacienta (obr. 3, 4) a naplánováním definitivní náhrady. V této fázi jsme velmi intenzivně diskutovali s pacientem, abychom zjistili, jaké problémy dříve měl a co očekává v budoucnu od nové náhrady. Následně jsme zhotovili otisky počáteční situace, zachytili ji pomocí obličejového oblouku a skusových registrátů a zaznamenali průběh okluze. Také jsme pořídili digitální panoramatické snímky a CBCT skeny, abychom naplánovali chirurgické a protetické kroky případu (obr. 5).
Zavedení implantátů
Na CT skenu pořízeném před chirurgickým zákrokem jsme zaznamenali, že má pacient v horní čelisti značně „tenkou“ kost. Naším prvním podnětem tedy bylo začít augmentací kosti horní čelisti a později pokračovat se zavedením implantátů. Při následné konzultaci s pacientem jsme zjistili, že není ochoten podstoupit chirurgickou augmentaci kosti. Přál si řešení s co nejmenším počtem chirurgických zákroků. Po dalším vyhodnocení situace v rámci dostupné kosti v horní čelisti jsme se rozhodli tento případ vyřešit pomocí přístupu „All-on-4“ a použití implantátového systému Nobel Speedy Groovey (4.0 a 3.3) (obr. 6, 7).
Klíčovými prvky chirurgické fáze jsou: volba vhodného implantátového systému a povrchu implantátů a jejich umístění s ohledem na primární stabilitu a rozložení na ně působících sil. Všechny tyto parametry jsou velice důležité pro okamžité zatížení implantátů, u nichž neproběhla oseointegrace.
Jsou určité kroky, které je nutno splnit, aby bylo dosaženo optimální situace pro zatížení implantátů okamžitě po zavedení, tedy ideální situace pro práci protetika a zubního technika. Začínáme diagnostikou, pokračujeme plánováním, remodelací kosti a měkkých tkání, zavedením implantátů, optimálním zašitím měkkých tkání a dospějeme k vytvoření estetického prostoru pro umístění náhrad. Pouze ti, kteří přemýšlí nad všemi těmito kroky, dospějí k rychlému a snadnému chirurgickému zákroku se skvělými výsledky a dobré dlouhodobé stabilitě zubních implantátů.
Zaujala vás ukázka článku?
Celý článek můžete prostudovat v příslušném vydání časopisu Digital CZ/SK 1/2019
stáhněte jej ve formátu PDF
Štítky:
Vše začalo v roce 2014, kdy jsem přednášel na konferenci v Zagrebu o využití PEEK materiálu pro šroubovatelné práce a o tom, jaké přinášejí ...
Loni na jaře byl Dr. Seppo Lindroos, specialista na estetickou stomatologii a implantologii, osloven mladou pacientkou s několika vrozeně chybějícími ...
Nahrazovat jednotlivé zuby se pokoušeli lidé již před mnoha staletími. Používali různé materiály, ...
Pokrokoví zubní lékaři požadují pokroková řešení. To je důvod, proč zubní lékaři zaměřující se na lepší výsledky ošetření a růst ...
Ceramill Matik se vydává na cestu a zastaví přímo u Vás, budete-li si to přát!
Georg Isbaner, editor časopisu Implants, hovořil s prof. Mosesem Oferem ze společnosti Alpha-Bio Tec. o jejich novém implantačním systému NeO ...
Georg Isbaner, editor časopisu Implants, hovořil s prof. Mosesem Oferem ze společnosti Alpha-Bio Tec. o jejich novém implantačním ...
Z rozsáhlého přehledu o problematice recidivy, který zahrnuje odborné studie za posledních 40 let (Bondemark et al., ...
MELVILLE, N.Y. (USA), 25. října 2021: Společnost Henry Schein, Inc. (Nasdaq: HSIC), největší světový poskytovatel zdravotnických řešení pro ...
Imediátní zavedení implantátu a jeho zatížení zubní náhradou v bezzubé čelisti je již uznávanou léčebnou metodou v zubních praxích po ...
Živý webinář
Čt. 23 dubna 2026
5:00 (CET) Prague
Živý webinář
Čt. 23 dubna 2026
6:30 (CET) Prague
Živý webinář
Čt. 23 dubna 2026
7:00 (CET) Prague
Živý webinář
Čt. 30 dubna 2026
1:00 (CET) Prague
Dr. Renato Leonardo D.M.D.
Živý webinář
Čt. 30 dubna 2026
7:00 (CET) Prague
Živý webinář
Ne. 3 května 2026
6:00 (CET) Prague
Dr. Rickard Brånemark MSc, MD, PhD, Dr. Robert Gottlander DDS
Živý webinář
Po. 4 května 2026
2:00 (CET) Prague