Vše začalo v roce 2014, kdy jsem přednášel na konferenci v Zagrebu o využití PEEK materiálu pro šroubovatelné práce a o tom, jaké přinášejí benefi ty. Po skončení přednášky se v zadní části přednáškového sálu o kapacitě do 100 účastníků ozval dotaz jednoho urostlého lékaře:
Ivan: „Jestliže je tedy PEEK, jak zde říkáte, elastický jako kost. Nemůže se tedy decementovat od titanových bází?“
I přes to, že jsem se nedokázal v té době opřít o klinické zkušenosti a má odpověď tedy nemohla být uspokojivá, netrvalo dlouho a Ivan si mě pozval na kliniku do Zagrebu vyhotovit „Live Case“ z tohoto atraktivního materiálu. Na klinice působil se svým bratrem chirurgem Stankem a lékařským a laboratorním týmem. Po návratu ze Spojených států společně vybudovali vyhlášenou kliniku, čítající desítky implantologických řešení měsíčně. Cílem mé návštěvy bylo spoluvytvořit funkční workfl ow na reálném případu za pomoci systému Amann Girrbach zahrnující obličejový oblouk, artikulátor, skener, frézovací přístroje a další zařízení této sofi stikované produktové řady.
Panoramatický RTG snímek situace před ošetřením
Panoramatický RTG snímek po zavedení implantátů
Provizorium TEMPMultilayer
Nino s nasazenou provizorní náhradou
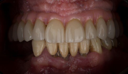
Konstrukce BioHPP a ZolidFX
Nino - detail finálního úsměvu
RTG finální nasazené práce
Konečná situace po 3 letech
Nino po třech letech kouření - detail
Nino po třech letech opět s úsměvem
Příběh „Nino“
Na počátku příběhu stál pacient Nino, který přišel do ordinace s přáním vyřešit neutěšenou situaci ve svých ústech – bohužel se nikdy moc nestaral o svůj chrup. Nino chtěl získat zpět svůj sebevědomý úsměv a usmívat se hezky na svou ženu. Situace však nebyla růžová a se snímatelnou protézou by Nino zpět své sebevědomí nezískal a nebylo to pro něj dlouhodobé řešení.
Stanko: „V tomto případě Nino vyjádřil přání zahájit ošetření pouze v horní čelisti. Prvním krokem v našem postupu bylo zhotovit panoramatický RTG snímek a CT sken. Na panoramatickém RTG snímku vidíme mnoho problémů se stávajícími zuby. Nino měl závažnou parodontózu, která postihovala všechny zuby v horní i dolní čelisti. Mnoho zubů zde selhávalo vlivem zubního kazu a dřívějších špatných dentálních náhrad. Jedinou schůdnou možností bylo extrahovat Ninovi všechny zuby v horní čelisti a rehabilitovat celý oblouk. Poté jsme promluvili s Ninem a vysvětlili mu problémy, které měl v horní čelisti a možnosti ošetření. Všichni jsme se shodli na tom, že by pro něj byla nejlepší možností náhrada kotvená šroubky. Poté jsme udělali CT sken Ninovy horní čelisti za účelem vyhodnocení našich chirurgických možností.“
Stanko se bez pomoci navigačních šablon zhostil chirurgického zákroku hned při příští návštěvě Nina.
Stanko: „V době zákroku u Nina bylo naším chirurgickým protokolem zavedení 6 implantátů bez okamžitého zatížení se snímatelnou provizorní náhradou a po době hojení 3–4 měsíce reoperační umístění vhojovacích abutmentů. V Ninově případě jsme měli velmi omezený objem kosti a bylo naplánováno umístění jen 5 kratších implantátů, v případě nutnosti s augmentací sinus liftu. Nebyl brán zřetel na primární stabilitu implantátů, protože náš protokol v danou chvíli nespočíval v jejich okamžitém zatížení.“
Operace proběhla bez komplikací, nezabrala více než hodinu a plachý pacient se odebral domů za svou ženou, která byla hlavním důvodem, proč Nino operace podstoupil. Já jsem se s ním setkal až o čtyři měsíce později.
Zaujala Vás ukázka článku? Celý článek můžete prostudovat v příslušném vydání časopisu Digital 1/2018
Stáhněte si jej ve formátu PDF
Digital 1/2018
Štítky:
Který cement funguje nejlépe pro danou indikaci a fixní náhradu? GC chápe, proč jsou v případě různých ...
LAS VEGAS, USA: Podle nedávno podané žaloby došlo během rutinního stomatologického ošetření u pětileté dívky k zapálení úst. V důsledku ...
LONDÝN / MANCHESTER, VB: Od pleťových masek po hamburgerové bulky se ve všech druzích výrobků nachází nejnovější zdravotní trend – aktivní ...
OFFENBACH, Německo: Extrakce zubu je každodenní součástí práce v zubní ordinaci. Dr. Max Lukas však byl zcela ohromen, když loni extrahoval zub, ...
Když se zeptáte pacientů, kterému členu stomatologického týmu bychom měli poděkovat, mnoho z nich odpoví, že zubním lékařům nebo sestrám. A...
„Vzhledem k vývoji sociodemografických charakteristik pacientů musí být zubní lékaři lépe vybaveni k rozpoznávání příznaků systémových ...
Co se týče zubních kartáčků, jsou spotřebitelé a zubní lékaři vystaveni tak obrovskému výběru a neustále novým produktům, které se ...
V závislosti na indikaci může trvat dokončení implantologického případu tři až dvanáct měsíců, přičemž je potenciálně zapotřebí kvůli ...
CHENGDU, Čína: Epidemiologická data naznačují, že zubní lékaři trpí očními onemocněními častěji než řada jiných profesních skupin. ...
Jak optimalizovat léčbu pacienta? Jak zvýšit rychlost a efektivitu naší práce bez obětování kvality? Tyto otázky si v našich praxích klademe ...
Živý webinář
Čt. 30 dubna 2026
1:00 (CET) Prague
Dr. Renato Leonardo D.M.D.
Živý webinář
Čt. 30 dubna 2026
7:00 (CET) Prague
Živý webinář
Ne. 3 května 2026
6:00 (CET) Prague
Dr. Rickard Brånemark MSc, MD, PhD, Dr. Robert Gottlander DDS
Živý webinář
Po. 4 května 2026
2:00 (CET) Prague
Živý webinář
Út. 5 května 2026
4:00 (CET) Prague
Živý webinář
Út. 5 května 2026
6:00 (CET) Prague
Živý webinář
Út. 5 května 2026
7:00 (CET) Prague
Dr. Maximilian Dobbertin M.Sc
To post a reply please login or register