Search Dental Tribune

Články

Filtr

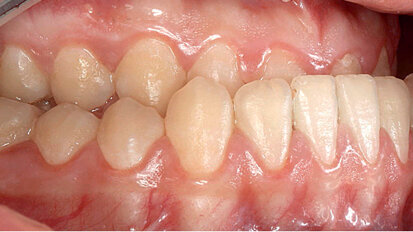
Komplexní ortodonticko-chirurgické ošetření funkčně estetické vady

Případy čelistních progenií s výraznými estetickými omezeními staví lékaře zpravidla před...

uložit

Společnost Henry Schein je opět „nejobdivovanějších společností na světě“

Společnost byla uvedena v žebříčku FORTUNE již 15. rok za sebou. Společnost Henry Schein, Inc., největší světový ...

uložit

Ještě větší KRAKDENT 2016!

Jen pár týdnů nás dělí od nejvýznamnější jarní události v oboru stomatologie v této...

uložit

Jak se dostat do bodu 00.00

Anatomie a příroda nás denně stále učí. Ošetření kořenových kanálků, ačkoli se ...

uložit

Spánková apnoe a ortodoncie: interdisciplinární přístup k léčbě chronické spánkové poruchy

Koncept interdisciplinárního plánování léčby stále mezi dentálními odborníky ...

uložit

Silné zuby: Výzkumní pracovníci prozkoumali vnitřní strukturu dentinu

Berlín, Německo: Protože jsou vystaveny masivním silám, musí lidské zuby obsahovat jeden z ...

uložit
advertisement

Ztráta zubů by mohla zpomalovat myšlenkové a tělesné funkce

Londýn, UK: Paměť a rychlost chůze u dospělých, kteří přišli o všechny zuby, upadá rychleji, než u ...

uložit

Společnost Henry Schein uvádí na trh v České republice NeoDiamond

Sterilní diamantové frézy na jedno použití, které získaly mnohá ocenění, umožňují ...

uložit

S novými trendy ve vzdělávání zubních techniků v konkurenci obstojíme

Při zhotovování stomatologické protetiky se vedle klasických postupů stále více uplatňují nové ...

uložit

DENTSPLY a Sirona uzavírají konečnou smlouvu o fúzi

DENTSPLY International Inc. a Sirona Dental Systems, Inc. dnes oznámili, že představenstvo obou společností jednomyslně schválilo ...

uložit

MiCD: Nepoškozujte kosmetickou stomatologií – část I.

Poptávka po kosmetické stomatologii je celosvětově rostoucím trendem. Zvýšená medializace, dostupnost ...

uložit

Sklo-hybridná inovácia pre pacientov od 7 do 77 rokov a nie len pre nich...

EQUIA Forte je ďalšia inovácia GC skloionomérov a živicových technológií v podobe EQUIA Forte Fil a EQUIA Forte ...

uložit
advertisement

Muž ztratil paměť po ošetření kořenových kanálků

Leicester, UK: V březnu 2005, 38letý britský voják umístěný v Německu ztratil schopnost vytvářet si ...

uložit

TISKOVÁ ZPRÁVA: Henry Schein rozšiřuje v rámci koncepce ConnectDental své portfolio

Společnost Henry Schein Dental Česko odteď jako výhradní prodejce nabízí svým zákazníkům ...

uložit

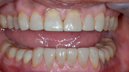
Interdisciplinární přístup v estetické stomatologii

V současné stomatologii, kdy se snažíme nabídnout našim estetikou se řídícím pacientům ty ...

uložit

Od každodenní stomatologie k pokročilým fotoakustickým endodontickým prostředkům (PIPS): laser s dvojí vlnovou délkou Er:YAG & Nd:YAG

Lasery jsou vzrušující novou technologií, která poskytuje zubním lékařům možnost poskytovat pacientům ...

uložit
advertisement

Estetická stomatologie sama o sobě nic neznamená – Rozhovor s Dr. Pascalem Magnem (USA)

Úspěch v estetické stomatologii závisí na biologii, funkci a mechanice – estetická stomatologie nemůže existovat...

uložit

S ConnectDental do budoucnosti digitální stomatologie

Henry Schein uvádí na trh v České republice komplexní řešení pro digitalizaci stomatologie, které se ...

uložit

Rozhovor: „Bowieho zuby byly stejné jako vše, co se ho týká: jiné“

David Bowie byl v 70. a 80. letech 20. století nepochybně přední postavou populární hudby. Je také jednou z mnoha ...

uložit

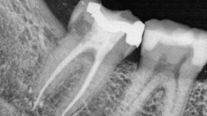
Kořen ve tvaru písmene S – rizika této velké výzvy v endodoncii

81 letá pacientka se dostavila s typickou pulpitickou bolestí v oblasti pravé dolní čelisti. Zkouška vitality ...

uložit
advertisement

Google: Jak se v roce 2015 dostat ve vyhledávači na první stránku

Svatým grálem pro jakoukoli organizaci provozující online marketing je zobrazovat se na první straně ve ...

uložit

Amann Girrbach spouští na svém webu odpočítávání pro zkrácení času zbývajícího do konání výstavy IDS 2015

S mottem „The Original Inhouse Movement“ spouští firma Amann Girrbach 19. ledna 2015 vlastní ...

uložit
advertisement

Další rekordní výsledek pro IDS

Registrace na začátku ledna již překonaly rok 2013 a na dalším ročníku veletrhu IDS (International Dental Show) tak bude ...

uložit

Stomatologický dialog s partnery z celého světa: První sympózium firmy VOCO – International Fellowship Symposium

První mezinárodní sympozium „International Fellowship Symposium“, které se konalo 23. až 27. října, ...

uložit

Artikulační papíry a tipy pro kontrolu okluze: klinické tipy pro vypořádání se s okluzními kontakty

Všichni zubní lékaři mají jako součást svého instrumentária artikulační papíry, s jejichž...

uložit

Amann Girrbach The Inhouse Company

Firma Amann Girrbach se prezentovala na letošní výstavě v Kolíně pod pojmem “The Inhouse Company”. Na ...

uložit
advertisement

Stát se jedním z pěti nejlepších výrobců dentálních materiálů na světě

Letos v dubnu prodala zcela překvapivě německá skupina Heraeus zabývající se drahými kovy svoji dentální...

uložit

Success CD – Dokonalé provizorní korunky a můstky během pouhých 5 minut

Success CD je za studena polymerující systém pasta-pasta na bázi kompozit pro rychlé a snadné ...

uložit

Bezolejové kompresory značky Ekom

Ekom je činorodou společností vyrábějící zdravotnická zařízení, která se specializuje na ...

uložit

RECIPROC – Systém pro endodoncii

Během krátké doby se z RECIPROC® stal celosvětově velice úspěšný systém pro preparaci kořenového ...

uložit
advertisement
advertisement