Anatomie a příroda nás denně stále učí. Ošetření kořenových kanálků, ačkoli se stává rutinní procedurou, překvapí a někdy se vyskytnou i nehezké případy. V tomto článku předložím dva neobvyklé klinické případy z mé vlastní ordinace.
Klinický případ 1
Prvním je klinický případ, který představuje na základě mých zkušeností velkou výzvu. Pacient byl do mé ordinace odeslán z důvodu jednostranné parestezie horního rtu po provedení ošetření kořenového kanálku dolního druhého moláru.
RTG snímek situace před ošetřením (obr. 1), zaslaný pacientovým zubním lékařem, ukazoval na dobře provedené ošetření kořenového kanálku, které nevysvětlovalo klinické projevy, ale při pohledu zblízka na apikální část bylo možné vypozorovat, že se materiál kořenové výplně dostal k blízkosti mandibulárního kanálu. Bylo nutné ošetření okamžitě opakovat. Bohužel byl použit plastický nosič Thermafil (DENTSPLY), který zasahoval do kanálu, čímž vznikl zánět iritující nerv. Materiál Thermafil byl z kořenových kanálků odstraněn – což nikdy není snadné – pomocí kořenových nástrojů K3XF (SybronEndo, obr. 2) a bez použití jakéhokoli rozpouštědla, aby se zabránilo dalšímu poškození nervu v případě prosáknutí. Mikromotor Elements Adaptive Motor (Kerr Endodontics, obr. 3) jsem nastavil na režim K3XF a jako první použil nástroj 25.06 v části gutaperči změkčené pomocí cpátka System B. Byl jsem velice opatrný, abych nevtlačil nosič více do nervu, a zároveň abych plastový nosič nepoškodil a nepřišel o jeho úchop. Druhým použitým kořenovým nástrojem byl 25.04 K3XF, kterým jsem odstranil další gutaperču a uvolnil nosič.
embedImagecenter("Imagecenter_1_2072",2072, "large");
Nástroj byl použit k podržení nosiče a k jeho vyjmutí z kořenového kanálku (obr. 4). Jakmile byl Thermafil odstraněn a byla pomocí apexlokátoru Apex ID (Axis, SybronEndo, obr. 5) určena pracovní délka, byly kořenové kanálky v celé pracovní délce vytvarovány sekvencí nástrojů SM v režimu TF Adaptive, přičemž jsem z důvodu redukce zánětu ochlazováním kořenů použil irigační systém EndoVac (SybronEndo, obr. 6) se studeným fyziologickým roztokem. Všechny kanálky byly irigovány studeným fyziologickým roztokem nejméně po dobu 20 minut. Důvodem, proč jsem použil tuto techniku, byla okamžitá redukce zánětu uvnitř mandibulárního kanálu, který není dobře inervován. Redukce zánětu uvnitř a kolem nervu může nějaký čas trvat a já jsem jej potřeboval utlumit co možná nejdříve. Kořenové kanálky byly ponechány prázdné s vatovou peletkou v přístupové kavitě a navrch hermeticky zapečetěné.
Ihned jsem požádal o zhotovení CT skenu (i-CAT, Imaging Sciences International), abych si případ prostudoval. K mému překvapení jsem zjistil, že se pozice mandibulárního a kontralaterálního kanálu lišila a že byla v kontaktu s apexem druhého moláru, u něhož bylo provedeno ošetření kořenového kanálku (obr. 7).
Pacientovi byly předepsány protizánětlivé léky a zůstal pod dohledem. O několik dní později byl jeho ret, co se týče funkce normální, ale stále byl méně citlivý. Třicet dní po ošetření byl po obturaci přístrojem Elements Obturation Unit (SybronEndo) zhotoven další CT sken (obr. 8). Integrita obturace byla zkontrolována pomocí CBCT skenu (obr. 9 a 10).
O šest měsíců později byl za účelem kontroly zhotoven konvenční RTG snímek (obr. 11). Pacientovi se dařilo velmi dobře a ret byl plně funkční a citlivý. Konečný RTG snímek ukázal zaplněný prostor kořenového kanálku a uvnitř mandibulárního kanálu žádný materiál nezůstal.
Závěrem tohoto případu je, že nikdy neznáme důvod pro takovouto odlišnost v pozici mandibulárního kanálu mezi pravou a levou stranou, a že musíme respektovat bod 00.00 délky kořenů – nic více a nic méně. A nejdůležitější závěr je, že jakmile se odstraní příčina zánětu, má příroda a lidské tělo skutečně úžasnou léčebnou sílu.
Klinický případ 2
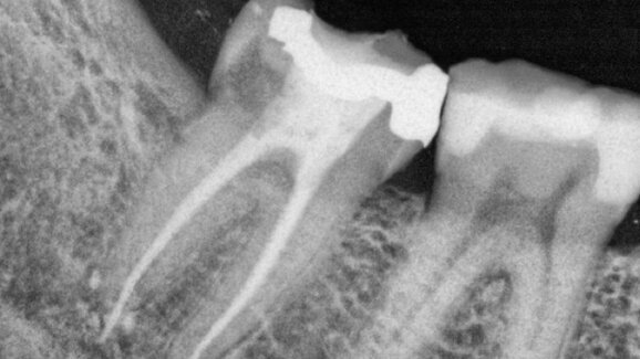
Ve druhém klinickém případě se pacient dostavil do ordinace s problémem při kousání na molár, s píštělí na bukální straně alveolu v místě dolního prvního moláru. RTG snímek před ošetřením ukázal přijatelné ošetření kořenového kanálku provedené v souladu s doporučeními (obr. 12).
Při podrobném prostudování RTG snímků bylo ale zřetelně vidět, že je něco špatně v apikální oblasti meziálních kanálků. Bližší pohled indikoval nějaký druh patologie v koronální části distálního kanálku a možnou cervikální resorpci nebo vnitřní resorpci, která by mohla vysvětlovat píštěl v této oblasti.
K opětovnému ošetření případu byly opět použity kořenové nástroje K3XF spolu s řádnou technikou irigace pomocí přístroje Endo Vac. K vytvarování posledních 3 mm kanálků byl použit nástroj 50.04 nebo ML3 v režimu TF Adaptive. Byly připraveny odpovídající hlavní čepy vhodné pro velké zatížení v délce o 0,5 mm kratší, než byla stanovená pracovní délka kanálků. Pro zapečetění systému kořenových kanálků byl mojí volbou přístroj Elements Obturation Unit. Zvolil jsem co největší plugger, který dosáhl v každém kanálku 5 mm pracovní délky, a byl jím při kondenzaci nebo první vlně obturace vytvořen hydraulický tlak a 3D výplň. Ruční cpátka byla také upravena tak, aby dosáhla 5 mm a 10 mm od pracovní délky. Pro kartuši s velkým otvorem byl vybrán materiál střední viskozity a vytlačovací mechanismus byl nastaven na dvě šipky nebo rychlou injektáž. Sealer byl nanesen na čepy a ty byly vloženy do všech čtyř kanálků. První vlna kondenzace byla provedena v jednotlivých kanálcích postupně a poté byl z důvodu zkontrolování apikálního uzávěru použit ruční plugger, který dosahoval 5 mm od pracovní délky. PSealer byl nanesen do kanálku, přičemž byla předehřátá kartuše vkládána velmi pomalu a bez tlaku na kanylu, protože měla dosáhnout 7 mm od pracovní délky. 5 mm bylo vstříknuto přímo do každého kanálku, ke kondenzaci této části byly použity ruční pluggery a následovalo závěrečné zaplnění systému kořenových kanálků kondenzací prstovými pluggery. Hydraulická síla, která se vytváří touto technikou, je dostatečná pro utěsnění postranních a vedlejších kanálků a samozřejmě i resorpce v distálním kanálku, která se objevila na konečném RTG snímku po ošetření (obr. 13).
Systém kořenových kanálků má velmi složitou anatomii, která není na rentgenových snímcích často viditelná. Provedení částečného ošetření kořenových kanálků a umístění jednoho čepu není v proceduře ošetření kořenových kanálků právě zlatým standardem. Zapečetění systému kořenových kanálků je posledním krokem, který endodontista provádí, aby ošetření kořenových kanálků dokončil, ale zub by měl být shora zcela hermeticky uzavřen.
Prof. Philippe Sleiman
Advance American Dental Center
Abu Dhabi a Dubaj, UAE
profsleiman@gmail.com
Svatým grálem pro jakoukoli organizaci provozující online marketing je zobrazovat se na první straně ve ...
KODAŇ, Dánsko: Řada nedávných studií ukázala, že zubní kameny z archeologických vzorků by mohly být bohatým zdrojem pro lepší pochopení ...
3D tisk přinesl revoluci do moderní stomatologie a nabízí cenově efektivní, univerzální a účinnou alternativu k tradičním metodám výroby. ...
Sheila Scott nabízí osm pohotových způsobů, jak transformovat objednací knihu vašich/vaší ...
Digitalizace umožňuje ještě těsnější propojení zubních techniků a stomatologů. Jak co nejlépe využít těchto nových příležitostí v ...
LONDÝN, Anglie: Rovný přístup ke kvalitní stomatologické péči patří v posledních letech k hlavním výzvám veřejného zdravotnictví ve Velké ...
Od prvního představení digitální technologie urazila stomatologie dlouhou cestu. Na plánovaném webináři 18. listopadu 2021 bude Georgio Haddad, ...
Pokrokoví zubní lékaři požadují pokroková řešení. To je důvod, proč zubní lékaři zaměřující se na lepší výsledky ošetření a růst ...
Vláda ČR 23. března jednomyslně schválila pozastavení elektronické evidence tržeb (EET), jejíž povinnost měla pro zdravotnické profese vstoupit ...
LEEDS, Spojené království: Mnoho lidí při pomyšlení na vrtání zubů návštěvu ...
Živý webinář
Čt. 7 května 2026
8:30 (CET) Prague
Živý webinář
Po. 11 května 2026
6:00 (CET) Prague
Živý webinář
Po. 11 května 2026
7:00 (CET) Prague
Živý webinář
Út. 12 května 2026
7:00 (CET) Prague
Živý webinář
Čt. 14 května 2026
6:00 (CET) Prague
Živý webinář
Čt. 14 května 2026
8:00 (CET) Prague
Prof. Hani Ounsi DDS PhD FICD
Živý webinář
Út. 19 května 2026
5:00 (CET) Prague
To post a reply please login or register