Search Dental Tribune

Články

Filtr

Význam 3D zobrazovacích systémů v současné ortodoncii

Diagnostika v ortodoncii klade tradičně velký důraz na kefalometrii a analýzu modelů zubů. Záměrem rozvoje nových technologií však není ...

uložit

Rychlý vějířový expandér: od prototypu „Pavouka“ k mini verzi

Transverzální anomálie představují v ortodoncii klinické případy, které musí ortodontisté často řešit. Ty se mohou klinicky manifestovat ...

uložit

BiTurbo2 (BT2) systém pro rychlou úpravu hlubokého skusu

Cílem tohoto článku je představit nový zmenšený aparát BiTurbo2 (BT2), který je součástí čtyřčlenného systému používaného k léčbě ...

uložit

Vibráciami akcelerovaná ortodontická liečba

Aj vďaka dopytu pacientov sa v poslednej dekáde presadili rôzne podoby „neviditeľných strojčekov“, čím sa dosiahla redukcia viditeľnosti ...

uložit

XVIII. kongres České ortodontické společnosti

Rozhovor s MUDr. Josefem Kučerou, Ph.D., prezidentem kongresu a členem výboru ČOS

uložit

Kreativní doplňky ke zvýšení prediktability léčby fóliovými aparáty

Koncept fóliových aparátů se začal mílovými kroky vyvíjet po představení aparátů Invisalign (Align Technology) v roce 1999. Teoretické základy...

uložit
advertisement

„Díky 4D tisku budeme schopni nabídnout mnohem dokonalejší léčbu“

Rozhovor s Dr. Sherifem Kandilem, zkušeným odborníkem, CEO společnosti K Line Europe GmbH

uložit

„Sagittal First“

Když Edward Angle poprvé klasifikoval malokluze, definoval I. třídu, II. třídu a III. třídu, které dodnes zůstávají hlavními diagnostickými ...

uložit

Využití CAD/CAM v pedostomatologii – kazuistika

Stomatologie je pestrý, neustále se rozšiřující obor. Již dávno není v silách praktického zubního lékaře zvládat špičkově všechna její ...

uložit

Intraorální skenery

Intraorální skenery již nejsou novinkou a stávají se běžnou součástí moderních zubních ordinací nejrůznějších odborností. Kromě jejich ...

uložit

Digitální průmyslová revoluce aneb co předcházelo prvnímu českému vydání časopisu Digital

Ze současného „akademického“ pohledu prodělala lidská civilizace tři průmyslové revoluce, a právě žijeme ve čtvrté. První revolucí byl ...

uložit
advertisement

Na téma dentálních digitálních technologií

Moderní počítačem řízené technologie jsou stěžejním trendem ve všem oblastech zubního lékařství – považovali jsme tedy za zajímavé ...

uložit

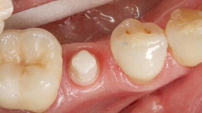
Materiály a systémy pro celokeramické CAD/CAM náhrady

V posledním desetiletí byly vyvinuty a rozvíjely se nové CAD/CAM (Computer Aided Design/Computer Aided Manufacturing) systémy a materiály pro výrobu ...

uložit

C-Works ASAP3 – stomatologická 3D tiskárna Made in Czech Republic

3D tiskárny ASAP3 přichází v době, kdy laboratoře i ordinace hledají řešení pro efektivní, rychlý a spolehlivý 3D tisk. C-Works je nová ...

uložit

3D tisk ve stomatologii: Požadavky na materiály a zpracování

3D tisk je poslední dobou velice populární – a to zcela právem. Přechod na digitální zpracování dovoluje sledování průběhu jednotlivých ...

uložit
advertisement

3D tisk jako součást digitální infrastruktury

Rozhovor s Nicolasem Klausem, manažerem firmy Formlabs

uložit

Digitální celkové náhrady

První klinické a technické zkušenosti se systémem Digital Denture (Wieland Dental)

uložit

Komplexní řešení bez obsahu kovů: hybridní keramika a implantát z oxidu zirkoničitého

Celokeramické koncepty rekonstrukcí chrupu se již osvědčily v praxi a keramické implantáty se těší stále vetší oblibě. Od roku 2014 nabízí ...

uložit

Pracovní postup se Zirkonzahn

ZIRKONZAHN’S WORKFLOW: ANALOGUE – DIGITAL – ANALOGUE-SWITCHING Tento článek byl poprvé publikován v časopisu Labline, letní vydání, 2017.

uložit
advertisement

Estetická rehabilitace a zachovávání tkání ve frontálním úseku chrupu

Pro náhrady jednotlivých zubů máme v současnosti na výběr mnoho adekvátních terapeutických možností, existují však případy, kde se žádné ...

uložit

Imediátní zavedení a zatížení implantátu – digitální ordinační pracovní postup

V posledních letech byly implantačnímu zubnímu lékařství představeny nové digitální technologie. Již zcela běžně je kupříkladu využívána...

uložit
advertisement

Termoplastické materiály v dentálních technologiích

Termoplastické materiály se již dlouho používají v leteckém a kosmickém inženýrství. Vzhledem k jejich vysoké mechanické pevnosti a nízkému ...

uložit

Zpráva z kongresu ČOS 2017 v Liberci

XVIII. kongres České ortodontické společnosti je minulostí. Tentokrát se odehrál v prostředí Technické Univerzity v Liberci ve dnech 14.–16. 9. ...

uložit

Možnosti v estetické stomatologii 2017 – digitalizace v dentálních technologiích

Již potřetí v řadě uspořádal Gernot Schuller, ředitel společnosti Ivoclar Vivadent, mezinárodní akci na téma „možnosti v estetice" ve Vídni....

uložit

Pragodent 2017 – novinky firmy W&H

Členka týmu StomaTeamu Věra Tautová vyzpovídala pana Michala Koudelku, manažera prodeje pro ČR společnosti W&H.

uložit
advertisement

Pragodent 2017 – novinky firmy Ivoclar Vivadent

Členka týmu StomaTeamu Věra Tautová vyzpovídala paní Michaelou Krátkou, manažerkou prodeje pro ČR společnosti Ivoclar Vivadent.

uložit

Pragodent 2017 – novinky firmy Voco

Členka týmu StomaTeamu Věra Tautová vyzpovídala pana Davida Filípka, manažera prodeje pro ČR společnosti Voco.

uložit

Pragodent 2017 – novinky DentaSun

Členka týmu StomaTeamu Věra Tautová hovořila s majitelem firmy DentaSun, panem Filipem Svobodou.

uložit

Pragodent 2017 – novinky firmy 3M

Členka týmu StomaTeamu Věra Tautová položila několik otázek MVDr. Michaelovi Stiksovi, produktovému specialistovi firmy 3M.

uložit
advertisement
advertisement