Search Dental Tribune

Články

Filtr

Multichromatická hybridní keramika: Přechody odstínů na stisknutí tlačítka

V březnu 2017 byl poprvé představen nový multichromatický hybridní keramický bloček VITA ENAMIC® multiColor (VITA Zahnfabrik, Bad Säckingen, ...

uložit

Nový kompozitní blok BRILLIANT Crios: Příběh o brilantním úspěchu

Nový zesílený kompozitní blok BRILLIANT Crios společnosti COLTENE byl uveden na trh v roce 2016 a je považován předními dentálními profesionály ...

uložit

Aadva Lab Scan – vysoká přesnost pro dokonalé náhrady

Počítačem podporované navrhování a výroba (CAD/CAM) přineslo revoluci pro každodenní stomatologickou praxi a tento trend se bude nejspíše v ...

uložit

Reportáž ze Stomatologického běhu v sérii BRDMAN ADVENTURE 2018

Již 5. ročník Stomatologického běhu pořádaného panem Michalem Dudlou ze společnosti Cacan CZ (zástupce výrobce stomatologických svítidel) se ...

uložit

Odborná konference ADH ČR a jarní sněm ADH ČR 2018

6. a 7. dubna 2018 se konala v Praze, v hotelu Duo, dvoudenní akce pořádaná ADH ČR.

uložit

Stanovisko Koalice soukromých lékařů (KSL) k projektu Ukrajina

Koalice soukromých lékařů nic nenamítá proti řádnému příchodu lékařů ze zahraničí, pokud projdou aprobačním řízením, které prověří ...

uložit
advertisement

Digitalizace vaší implantologické praxe

Digitální stomatologie je bezpochyby současné téma. Během posledních pěti let postupovaly všechny digitální pracovní postupy vpřed mílovými ...

uložit

MAGICAL All on FOUR: chirurg, zubní lékař a zubní technik představují svůj unikátní postup

Vše začalo v roce 2014, kdy jsem přednášel na konferenci v Zagrebu o využití PEEK materiálu pro šroubovatelné práce a o tom, jaké přinášejí ...

uložit

Rozhovor s Michalem Heřmánkem, zakladatelem společnosti Microdent s.r.o.

V rámci dalšího inspirujícího rozhovoru jsme položili několik otázek zakladateli a jednateli společnosti Microdent se sídlem v Turnově: Michal ...

uložit

Proteticky řízené umístění implantátu a náhrady: Rychlý a elegantní pracovní postup Dentsply Sirona

Zubní lékaři přijímají a do své klinické praxe zahrnují neustále nové technologické pokroky, které zvyšují efektivitu, snižují výrobní ...

uložit

Rozhovor s Martinem Červeňákem, majitelem frézovacího centra ZUBA s.r.o.

Vážení čtenáři, přinášíme vám další zajímavý rozhovor, tentokrát se slovenským diplomovaným zubních technikem Martinem Červeňákem, ...

uložit

Okamžité zatížení: Co znamená pro pacienta a zubní ordinaci?

V závislosti na indikaci může trvat dokončení implantologického případu tři až dvanáct měsíců, přičemž je potenciálně zapotřebí kvůli ...

uložit
advertisement

Triumfy a tragédie v implantologii

Implantologie je dnes běžnou součástí zubního lékařství. Jen stěží bychom hledali jiný obor stomatologie, který prodělal tolik inovací a ...

uložit

Kdy parodontolog předá pacienta implantologovi?

Kapitola z monografie Dentální implantologie

uložit

Jak dostává koncepce ošetření All-on-4® lékaře v oboru do popředí

Pokrokoví zubní lékaři požadují pokroková řešení. To je důvod, proč zubní lékaři zaměřující se na lepší výsledky ošetření a růst ...

uložit

Keramické implantáty: Včera vize, dnes reálná výzva?

Když se v Tübingenu v Německu zaváděly pod dohledem prof. Williho Schultea v letech 1960 a 1970 první keramické implantáty, byla očekávání ...

uložit
advertisement

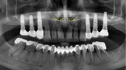
Zubní implantáty – od týmového plánování k esteticky úspěšnému výsledku

Ošetřit bezzubé pacienty zubní náhradou představuje pro stomatologii stále velkou výzvu. Dentální implantologie však v dnešní době nabízí ...

uložit

Osvětlení zubních ordinací

Opomíjené požadavky na osvětlení stomatologických provozů

uložit

Implantace pomocí dynamické navigace s okamžitým zatížením

Ačkoli je oseointegrace zubních implantátů prediktabilní, pro úspěšný výsledek ošetření je nezbytné důkladné předoperační ...

uložit

Nepřímá metoda pro ošetřování prostřednictvím provizorií

Týmový přístup při celkové hybridní rekonstrukci.

uložit
advertisement

„Naše nové produkty mění hru“

Rozhovor s viceprezidentem společnosti Planmeca Group Tuomasem Lokkim

uložit

Naše zkušenosti s technikou kostní piezochirurgie po 15 letech klinického používání

Článek shrnuje osobní zkušenosti s kostní piezochirurgií po 15 letech používání v dentoalveolární chirurgii, implantologii a chirurgii ...

uložit
advertisement

Tipy a triky pro usnadnění práce zubního technika s implantáty

Při každodenní tvorbě fixních řešení se zubní technik setkává se spoustou technologických omezení, které jeho snahu o estetické řešení ...

uložit

Management kosti a měkkých tkání při komplexní rekonstrukci jednoho zubu implantátem

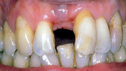
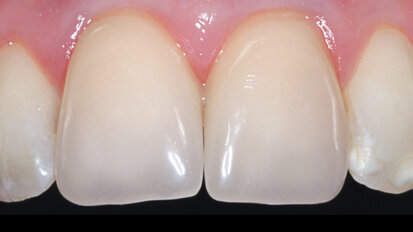
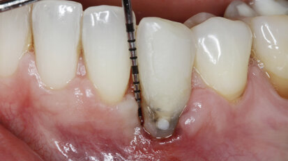
Rekonstrukce jednoho frontálního zubu implantátem bývá pravděpodobně největší estetickou výzvou pro praktického zubního lékaře. Správné ...

uložit

Přežití alogenních kortikospongiózních kostních bloků

Horizontální augmentace alveolu pro zavedení implantátu.

uložit

Piezochirurgie je metodou volby

Rozhovor s Dr. Stavrosem Pelekanosem (Atény)

uložit
advertisement

Efektivní, ale pozoruhodně šetrný ke kosti – nový systém Neo implants

Georg Isbaner, editor časopisu Implants, hovořil s prof. Mosesem Oferem ze společnosti Alpha-Bio Tec. o jejich novém implantačním systému NeO ...

uložit

Dva v jednom: Pilotní vrták a chirurgická šablona

MD Guide nabízí alternativu k výrobě konvenční chirurgické šablony.

uložit

UIS Impladenta – Užití ve všech případech!

Nahrazovat jednotlivé zuby se pokoušeli lidé již před mnoha staletími. Používali různé materiály, aplikovaly se různé tvary. Moderní ...

uložit

Virtuální realita a ortodoncie: Nový zážitek pro naše pacienty

Představte si následující scénář: pacient klidně a uvolněně vchází do vaší ordinace. Ačkoli je ve vaší praxi poprvé, dobře zná okolní ...

uložit
advertisement
advertisement