Ošetřit bezzubé pacienty zubní náhradou představuje pro stomatologii stále velkou výzvu. Dentální implantologie však v dnešní době nabízí nespočet možností. Kromě klasických celkových protéz lze pacientům nabídnout různé druhy náhrad kotvených na implantátech.
Úspěchu u celkových protéz bez zakotvení na dentálních implantátech lze dosáhnout jen při značném úsilí – silně závisí na odborných znalostech a též na dobrém protézním loži – a to s velmi proměnlivými výsledky.
V oboru implantologie jsou možnosti a způsoby fixace zubní náhrady u bezzubých pacientů rovněž velmi variabilní. Náhrada nesená čistě implantáty je u bezzubé čelisti připevněna podle standardních měřítek na šesti implantátech, přičemž v horní čelisti může být zapotřebí i více než šest implantátů, v dolní čelisti ve výjimečných případech pouze čtyři. Podle aktuálních doporučených postupů S3 (Německo) by samotné čtyři implantáty v horní čelisti měly být ošetřeny pouze snímatelnou suprakonstrukcí.
Systém All-on-4 sice díky provizornímu, okamžitému fixnímu ošetření nabízí některé výhody, avšak nese s sebou i zvýšené riziko z důvodu okamžitého zatížení a v důsledku i riziko protetického neúspěchu, pokud by mělo dojít ke ztrátě byť jen jediného implantátu. V následujícím textu bude prezentován systém zirkonových šroubovaných suprakonstrukcí, nesených šesti implantáty v horní a dolní čelisti. Výrobou šroubovaného plastového provizoria lze zde prezentovaným způsobem prověřit všechny detaily estetiky, fonetiky a funkce před nasazením definitivní práce.
Kazuistika
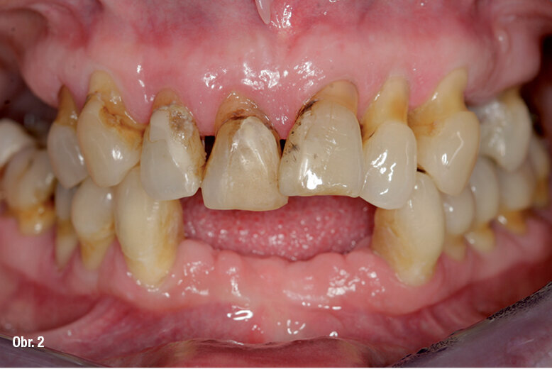
53letá pacientka se dostavila do naší praxe s dotazem, zda v jejím případě existují nějaké možnosti fixní zubní náhrady. Její dosavadní lékařka jí oznámila, že všechny zbývající zuby se musí kvůli špatnému stavu parodontu extrahovat (obr. 1). Zubní lékařka již vyrobila horní a dolní celkovou protézu jako imediátní náhradu. V rámci akutního zubního ošetření musely být při první konzultaci v naší praxi extrahovány čtyři dolní řezáky kvůli silnému stupni viklavosti (obr. 2) a nasazena imediátní náhrada těchto zubů.
Po stanovení počátečního nálezu následovalo obsáhlé poučení a plánování s pacientkou skrze implantáty a možnosti fixního ošetření. Jaká přání a představy měla vlastně pacientka ohledně zubní náhrady? Jaký je cenový plán, z kolika implantátů a z jakého materiálu to lze zhotovit? Jak bude vypadat harmonogram ošetření? Jaké jsou představy ohledně zacházení a estetiky? Jak lze zajistit, aby se splnila očekávání a přání pacientky?
Velmi rychle bylo jasné, že u pacientky přichází v úvahu pouze fixní a kvalitní náhrada. Potud byl stanoven cenový plán a časový harmonogram ošetření. Přitom bylo pro pacientku důležité, aby mohla používat jako provizorium již zhotovené imediátní náhrady.
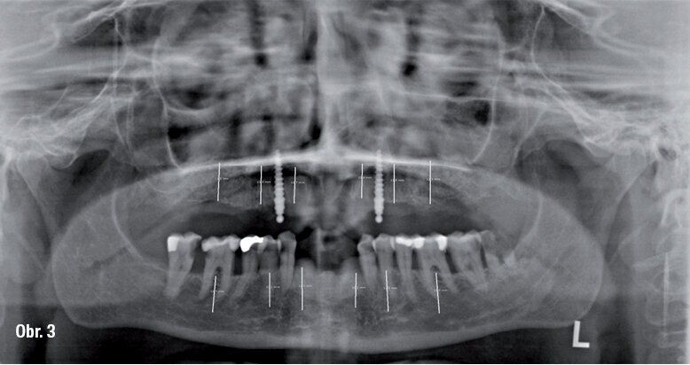
V první chirurgické fázi byly extrahovány zbývající zuby v horní čelisti, byly provedeny dva externí sinus lifty a zavedeny dva dočasné implantáty (K.S.I. BauerSchraube) s kulatou hlavou do oblasti 13 a 23. Stávající horní imediátní náhrada byla pomocí systému knoflíkových matric zakotvena na okamžitě zatížené dočasné implantáty. Tím byla zajištěna poloha imediátní náhrady a nebyly tak zatěžovány augmentované oblasti včetně později zavedených implantátů (obr. 3).
V druhé fázi proběhla extrakce zbylých zubů v dolní čelisti se současnou implantací (CAMLOG Implantate), augmentací zbytku alveolárního hřebene a zavedením dočasných implantátů do oblasti 33 a 43 v jednom kroku s připevněním dolní imediátní náhrady.
Po naplánování pomocí simulace na dentálním CT (příklad na obr. 4) a po odublování imediátní protézy jako operační šablony byly ve třetí a poslední fázi zavedeny implantáty do horní čelisti (obr. 5).
Výchozí situace na rentgenovém snímku
OPG snímek po prvním chirurgickém zákroku s plánováním pozic pro implantáty
Ukázka plánování implantátů pomocí dentálního CT
OPG snímek se 16 zavedenými implantáty a augmentovanými oblastmi
Situaci v horní čelisti na začátku protetického ošetření s integrovanými implantáty lze vidět na obrázku 6. Protože byla při tomto počtu implantátů naplánována šroubovaná suprakonstrukce bez vnitřního pnutí, je nesmírně důležité velmi pečlivě a detailně provést všechny kroky během otiskování. V prvním otiskovacím kroku se nasadí uzavřené otiskovací členy CAMLOG a zhotoví se otisk do alginátu. V laboratoři jsou pak otevřené otiskovací členy spojeny Pattern Resinem (GC) do bloku a následně opatrně diskem opět rozseparovány (obr. 7). Poté byla v laboratoři zhotovena přesně padnoucí individuální otiskovací lžíce
z Formatray (Kerr). Přitom je důležité, aby individuální patternové spojení bylo zapuštěno do lžíce a aby končilo přesně v úrovni horního okraje lžíce (příklad na obr. 8).
V ústech jsou tyto separace po našroubování otevřených otiskovacích členů opět spojeny Pattern Resinem a zhotoví se otisk do materiálu Impregum™ Penta™ (3M ESPE). Na otevřených místech na otiskovací lžíci, ze kterých vystupují otevřené otiskovací členy, se odstraní přebytky otiskovacího materiálu. Po zatuhnutí otiskovací hmoty se dále jednotlivé bloky okolo členů zakotví k individuální lžíci pomocí dalšího Pattern Resinu (obr. 9). Kontrakce Pattern Resinu je tak minimalizována separací v laboratoři a jen malým spojem v místě separace v ústech. Dosáhne se tak navíc velmi stabilního spojení navzájem mezi otiskovacími členy a současně i s otiskovací lžící. Pouze takto je možný absolutně spolehlivý a nehybný otisk implantátů (obr. 10).
První provizorní registrace skusu byla provedena na stávajících imediátních náhradách pomocí ploténky vosku. Ty byly zcela nehybné, protože byly fixovány na provizorních implantátech a protézním loži.
Zaujala Vás ukázka článku? Celý článek můžete prostudovat v příslušném vydání časopisu Implants 1/2018
Stáhněte si jej ve formátu PDF
Implants 1/2018
Štítky:
Okamžité zatížení je v implantologii stále častěji nabízeno jako rutinní metoda. Podle Prof. Mauro Labanca by s ním však mělo být nakládáno ...
ANKARA, Turecko: Použití standardních zubních implantátů se stalo široce akceptovanou metodou ošetření u zcela nebo částečně bezzubých ...
Stálé více je v zubním lékařství prosazována a citována nová vize – ...
HANNOVER, Německo: Výzkumníci v Německu vyvíjejí individualizované dentální implantáty navržené tak, aby odpovídaly anatomii čelistí ...
YORK, Spojené království: Zuby Britů si, patrně nespravedlivě, vysloužily špatnou mezinárodní pověst pro svoji křivost a jiné estetické ...
V současné stomatologii, kdy se snažíme nabídnout našim estetikou se řídícím pacientům ty ...
Vše začalo v roce 2014, kdy jsem přednášel na konferenci v Zagrebu o využití PEEK materiálu pro šroubovatelné práce a o tom, jaké přinášejí ...
Splitting alveolární kosti, krestální a vnitřní sinus lift
Dentální implantáty vznikly jako náhrada chybějících zubů a díky své vysoké ...
Když se zeptáte pacientů, kterému členu stomatologického týmu bychom měli poděkovat, mnoho z nich odpoví, že zubním lékařům nebo sestrám. A...
V současné době se díky očekávané větší délce života dostává do povědomí ...
Živý webinář
Po. 11 května 2026
6:00 (CET) Prague
Živý webinář
Po. 11 května 2026
7:00 (CET) Prague
Živý webinář
Út. 12 května 2026
7:00 (CET) Prague
Živý webinář
Čt. 14 května 2026
6:00 (CET) Prague
Živý webinář
Čt. 14 května 2026
8:00 (CET) Prague
Prof. Hani Ounsi DDS PhD FICD
Živý webinář
Út. 19 května 2026
5:00 (CET) Prague
Živý webinář
Út. 19 května 2026
7:00 (CET) Prague
Prof. Dr. med. dent. Ivo Krejci
To post a reply please login or register