Nahrazovat jednotlivé zuby se pokoušeli lidé již před mnoha staletími. Používali různé materiály, aplikovaly se různé tvary. Moderní implantologie se začala rozvíjet až po roce 1942 s použitím subperiostálního implantátu Gustava Dahleho. Rok 1962 je v implantologii spojen se jménem LINKOW, který vyvinul a zaváděl do alveolárních výběžků ploché plátkové „čepelkové“ implantáty.
Implantologie začala slavit úspěchy zejména díky tomu, že se začalo dbát na správnou indikaci, na vhodnou kostní preparaci a využívání dokonalých implantátů. Ke splnění těchto podmínek napomáhá Univerzální Implantátový Systém UIS Impladenta, vyvinutý Dr. Ludwigem Terkem, který je
dostupný na evropském trhu od roku 1985.
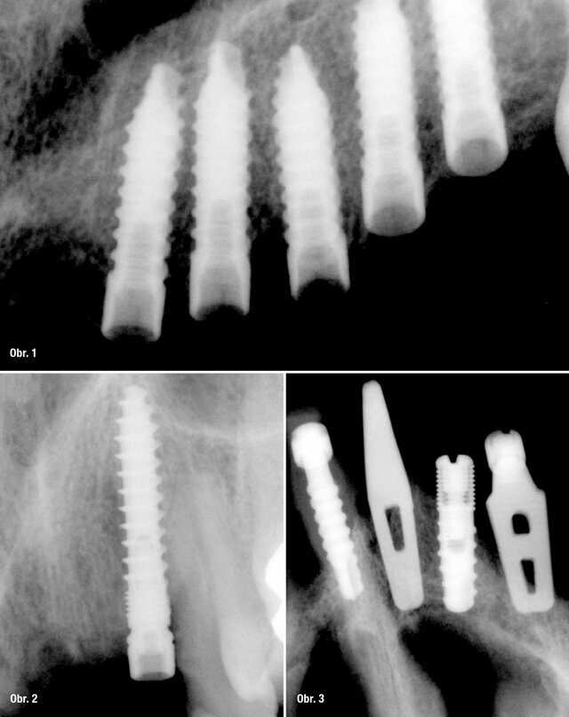
UIS IMPLADENTA obsahuje kompletní nabídku jednofázových a dvoufázových implantátů. Mini samořezné (MS), bikortikální samořezné (BS)
– jednofázové implantáty. V nabídce současně dvoufázové úzké válcové (NS) a cylindrické samořezné implantáty (CS) včetně abutmentů. Celistvost a kompletnost zajištuje speciální nabídka čepelkových – plátkových implantátů řada PROFI+.
Univerzální Implantátový Systém po své 30leté výrobní tradici nabízí stomatologům jak jednofázové, tak i dvoufázové implantáty, které jsou vhodné
k řešení různých, někdy i komplikovaných stavů po ztrátách zubů.
Pomocí tohoto kompletního systému, který se i nadále vyvíjí, doplňuje a zdokonaluje, může kaž-dý stomatolog a implantolog prospět pacientům při zlepšování mastikace, fonace i vzhledu, a to po bezchybně provedeném chirurgickém výkonu a vhodné protetické sanaci.
Implantáty UIS IMPLADENTA jsou vyráběny z certifikovaného biokompatibilního materiálu 99,6% Titanu Gr. 4. Na dentální trh se dodávají v praxi vyzkoušených požadovaných rozměrech včetně individuálních rozměrů mimo standardní nabídku na vyžádání.
ŘADA PROFI+ je určena pro zkušené implantology. Z poznatků uživatelů je patrné, že plátkové – lístkové jednofázové implantáty B1 a B2 jsou považovány za 100% spolehlivé.
Při správné indikaci jsou vhodné jako pilíře k provedení pevné (někdy i hybridní) protetické práce. Jejich tvar má výhodu v tom, že orální část implantátu přechází do ramének nitrokostní části pozvolně se rozšiřujícím pilířem, čímž na přechodu mezi orální a nitrokostní částí nejsou žádná podsekřivá místa ani ostré hrany.
Sériová výroba nejčastěji používaných plátkových implantátů nabízí více než 50 druhů tvarů implantátů a umožňuje jejich velmi široké klinické využití.
Implantát řady PROFI+ má 6mm matné, zdrsněné části, následuje 5mm lesklý povrch s bodem pro určení, kam musí zasahovat implantát do kostní tkáně. Nitrokostní část je matná a zdrsněna pískováním s otvory pro zvýšení sekundární stability.
B1 – jednofázové plátkové implantáty jsou určeny do místa, kde je výška a síla kosti omezena čelistními dutinami a nervovými kanály. Jsou vhodné k okamžitému zatížení. Tento typ implantátů se dá s pomocí ohýbacích kleští upravit do osy. Toto ohýbání se však musí provést mimo alveol a až takto upravený implantát se pomocí zatloukače usadí do kostní tkáně. Následuje sutura mukoperiostu.
B2 – dvoufázové plátkové implantáty, mají podobné využití jako implantáty typu B1, ale i pro přímou aplikaci do plošných extrakčních ran se zakotvením do neporušené části alveolu.
Ke speciálnímu typu implantátů UIS IMPLADENTA se řadí samořezné bikortikální implantáty (BS) – jednofázové implantáty určené k okamžitému zatížení. Jsou vhodné zejména do bradové oblasti dolní čelisti. Méně vhodné do oblasti horních čelistí. Zavádět lze jak do vhojené alveolární kosti, tak i okamžitě po extrakcích frontálních zubů, pokud je dostatečně široký a vysoký kostní alveol nebo tělo dolní čelisti. V současnosti
se vyrábějí v nejčastějších délkách 12/14/16/18/20 a 22 mm, z čehož orální část má výšku 5,5 mm. Průměr implantátu je 3,5 mm.
Zavádění bikortikálních implantátů je jednoduché. Pilotním vrtákem o požadovaném průměru se provede kostní preparace pomalými otáčkami, a to tak, abychom se dotkli kraniální plochy dolní kompakty mandibuly. Tato preparační fáze je důležitá proto, že tento implantát se musí částečně vnořit do této vrstvy.
Po této preparaci se vybraný implantát vloží do kostního kanálku a pomocí ručního nástroje – zavaděče nebo ráčny se pomalu zavádí do kostní tkáně. Předem se dá použít i závitník k vytvarování kostního lože.
Po správné preparaci je implantát velmi pevně zakotven a pokud je to nutné lze jej pomocí ohybače přihnout k dosažení paralelity.
Při zavádění implantátů ihned po extrakcích např. v oblasti dolní fronty lze prostory mezi implantáty a lůžky alveolů vyplnit např. betatrikalciumfosfátem a s využitím vhodné membrány výrazně uspíšit a zkvalitnit jejich vhojování. Při preparaci je nutné dbát toho, aby nebyla poškozena stěna alveolu.
Pro stabilitu bikortikálních implantátů je nutná výška kostní tkáně kolem 13 mm při 6mm výšce orální části k protetické sanaci.
Pokud by se implantace bikortikálního implantátu (BS) prováděla v oblasti horních čelistí, je opět nutné, aby se špička implantátu ukotvila do pevné kostní lamely.
Bikortikální implantát (BS) je možné zatížit po 1 až 3 týdnech, ojediněle lze tyto implantáty zatížit ihned po provedené operaci. Možnost zatížení závisí na kvalitě a kvantitě kostní tkáně a na jejich lokalizaci. Nejvhodnější indikací použití bikortikálních implantátů (BS) je dokonalá retence hybridních zubních náhrad dolní čelisti. Dají se použít i jako dočasné implantáty, vmezeřené implantáty nebo jako náhrady při ztrátě jednoho zubu apod. Pro zkušeného implantologa je zavádění těchto implantátů bez rizika.
Správná indikace a bezchybný chirurgický výkon napomáhají pacientům ke spokojenosti se zubní náhradou.
Implants 1/2017
Štítky:
Nahrazovat jednotlivé zuby se pokoušeli lidé již před mnoha staletími. Používali různé materiály, ...
Rozhovor s Martinem Františkem Přívětivým, výkonným ředitelem a místopředsedou představenstva ABF a.s.
Při použití CBCT snímku coby mapy, řídí dynamická navigace chirurgy stejně jako GPS navigace řidiče. Lékař si virtuálně naplánuje, kam by ...
Přímé výplně v barvě zubu hrají v současných možnostech stomatologického ošetření ...
NSK používá k sestavení svých vysokorychlostních rotačních nástrojů a ...
3D tisk přinesl revoluci do moderní stomatologie a nabízí cenově efektivní, univerzální a účinnou alternativu k tradičním metodám výroby. ...
Ačkoli se povědomí o sexuálním nevhodném chování ve zdravotnictví v posledních letech zvýšilo, ve stomatologii zůstává tato problematika z ...
Zobrazovací metody se staly základním kamenem moderní stomatologie – umožňují přesnější diagnostiku, lepší plánování léčby a zvyšují ...
LONDÝN, Anglie: Rovný přístup ke kvalitní stomatologické péči patří v posledních letech k hlavním výzvám veřejného zdravotnictví ve Velké ...
Rok 2025 přináší do Prahy největší událost v oblasti stomatologie – jubilejní 30. ročník veletrhu PRAGODENT, který otevře své brány už ve ...
Živý webinář
Po. 11 května 2026
6:00 (CET) Prague
Živý webinář
Po. 11 května 2026
7:00 (CET) Prague
Živý webinář
Út. 12 května 2026
7:00 (CET) Prague
Živý webinář
Čt. 14 května 2026
6:00 (CET) Prague
Živý webinář
Čt. 14 května 2026
8:00 (CET) Prague
Prof. Hani Ounsi DDS PhD FICD
Živý webinář
Út. 19 května 2026
5:00 (CET) Prague
Živý webinář
Út. 19 května 2026
7:00 (CET) Prague
Prof. Dr. med. dent. Ivo Krejci
To post a reply please login or register