Týmový přístup při celkové hybridní rekonstrukci.
Výchozí situace
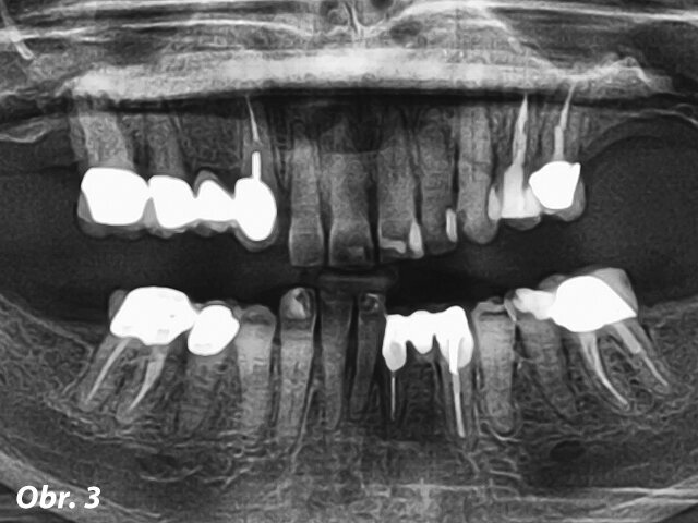
Parodontolog a kolega z ITI, jejichž praxe je dvě hodiny od té naší, doporučili našemu týmu tuto pacientku. Nejdříve byla vyšetřena protetikem dr. Harrym Randelem a následně parodontologem dr. Robertem Levinem pro zajištění týmového přístupu k řešení jejího selhávajícího chrupu. Pacientka se dostavila do naší ordinace jako 65letá nekuřačka (ASA 3: kompenzované nemoci: úzkost/deprese, osteoathritida, fibromyalgie, hypothyreóza a v minulosti myofaciální bolestivá dysfunkce, obr. 1–3). V minulosti si prošla problémy s TMK (např. lupání a bolest v pravém TM kloubu), které jsou v současnosti pod kontrolou a nebolestivé.
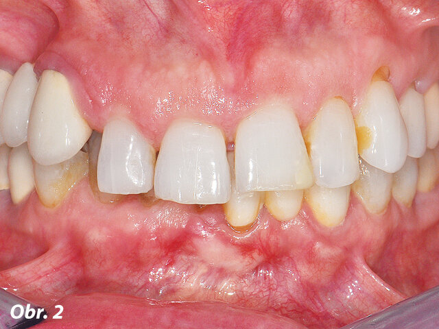
Hlavním požadavkem pacientky bylo vylepšení svého estetického vzhledu a komfortu s přáním permanentního a rychlého řešení jejího selhávajícího chrupu. Ve finálním ošetření si rovněž přála redukci gummy smile ve frontální části maxily. Dostavila se do naší ordinace ke třetí chirurgické konzultaci ohledně imediátního zatížení maxilární a mandibulární hybridní rekonstrukce prostřednictvím terapeutického konceptu Straumann® Pro Arch (šikmé zavedení distálních implantátů umožní vyhnout se anatomickým strukturám jako sinus maxillaris, foramina mentalia mandibulae). Tento terapeutický koncept zredukoval potřebu komplementárních chirurgických zákroků a množství implantátů potřebných pro zhotovení fixní hybridní rekonstrukce v rozsahu prvních molárů. Při širokém úsměvu byla zaznamenána střední až vysoká retní linie s dvojúrovňovou okluzní rovinou. Rovněž byla registrována supraokluze horních a dolních frontálních zubů (FDI: 12, 11, 21, 22 a 41–43, US: 7–10 a 25 až 27) vytvářející hluboký skus 6 mm (obr. 2). Ve vzájemném vztahu špičáků byla zaznamenána I. An-
gelova třída s předkusem 6 mm a překusem 6 mm. Vzhledem k hyposalivaci související s její medikací byly pozorovatelné generalizované rekurentní kazy. Hloubka sondáže parodontu se pohybovala od 4 do 7 mm v horní čelisti a od 4 do 6 mm v čelisti dolní s mírným až těžkým krvácením marginální gingivy v obou čelistech. U zubu 6 (FDI: 13) byla klinicky zjištěna vertikální fraktura. Zuby horní čelisti vykazovaly silnou viklavost pohybující se mezi 2.–3. stupněm: 3, 7–13, 20–26 a 29 (FDI: 16, 12, 11, 21 až 25, 31–35, 41–42 a 45). Její profilování z hlediska compliace se svým předchozím zubním lékařem bylo dobré, avšak udávala, že vždy mívala „problémy se svými dásněmi.“
Předběžný terapeutický plán diskutovaný při iniciální návštěvě s pacientkou a jejím manželem zahrnoval následnou diagnózu: generalizovaná mírná až pokročilá parodontitida; generalizované rekurentní kazy vztahující se k suchosti v ústech související s její medikací; zkrácené zubní oblouky s poruchou vertikálního rozměru okluze („mutilovaný chrup“). Prognóza: všechny přítomné zuby nemají naději na záchranu.
Terapeutický plán
1. Zhotovení CBCT obou oblouků pro posouzení kostní kvality, kostní kvantity a anatomických limitací (obr. 4).
2. Montáž studijních modelů do artikulačního přístroje se zhotovením diagnostické celkové horní náhrady (HTN), celkové dolní náhrady (DTN) a chirurgických šablon.
3. Týmová diskuse finálního chirurgického a protetického terapeutického plánu pro hybridní rekonstrukce prostřednictvím kónických bone-level (BLT) implantátů Straumann® s obnovením okluze v rozsahu prvních molárů. Pro výrobu náhrad v podobě kovem vyztužených provizorií v jeden den bylo navrženo využití nepřímé techniky.
4. Koordinace chirurgické návštěvy (dr. Robert Levine) s ordinací protetického lékaře (dr. Harry Randel), zubní laboratoří (NewTech Dental Laboratory, Lensdale, PA) a se zástupcem dentální implantologické společnosti (Straumann USA, Andover, MA). Pacientka si je vědoma možné potřeby nošení jedné nebo obou náhrad během fáze hojení, pokud hodnoty primární stability implantát při inzerci nebudou adekvátní pro imediátní zatížení. To může být způsobeno kvalitou nebo kvantitou kosti nebo potřebou augmentace kosti a membrány pro řízenou kostní regeneraci (GBR) a dvoufázový postup. Toto je velmi důležité prokonzultovat se všemi pacienty, obzvláště pokud jsou plánovány pouze čtyři implantáty v maxile a distální implantát(y) může (mohou) při inzerování vykazovat nedostatečné hodnoty primární stability kvůli kvalitě či kvantitě kosti. Signifikantně zredukovat tuto eventualitu napomáhá schopnost využívat delších, kónických (BTL) a vychýlených implantátů – jako v tomto prezentovaném případu – s adekvátním množstvím bukální kosti použitelným pro plánované implantáty o průměru 4,1 mm.
5. Předání fixních provizorií během jednoho dne v ordinaci protetického lékaře.
6. Postoperační návštěvy každé dva až tři týdny v ordinaci parodontologa za účelem odstranění plaku, zopakování technik odstraňování plaku a v šestém týdnu předání ústní sprchy. Okluzní korekce je prováděna při každé pooperační návštěvě v ordinaci chirurga nebo protetického zubního lékaře, protože okluze se mění v souvislosti s permanentní adaptací obličejové muskulatury na nově zrekonstruovaný vertikální mezičelistní rozměr (OVD). Rovněž stabilizace TMK vyžaduje nutný čas.
7. Dokončení rekonstrukce minimálně tři měsíce
od chirurgického zákroku. Protože bude pacientka trávit zimu na Floridě, bude práce pokračovat po jejím návratu na jaře.
8. Parodontální recall každé tři měsíce alternuje mezi ordinacemi.
Zaujala Vás ukázka článku? Celý článek můžete prostudovat v příslušném vydání časopisu Implants 1/2017
Stáhněte si jej ve formátu PDF
Implants 1/2017
Štítky:
Poslední vývoj v oblasti kompozitních materiálů a vazebných technologií umožnil jejich běžné ...
Realizace rekonstrukce celého zubního oblouku pomocí náhrady nesené implantáty je po všech stránkách náročným typem ošetření a vyžaduje ...
Čas od času je nutné sejmout protetickou práci nacementovanou na jednom nebo více implantátech a ne vždy lze použít ...
Kromě základních přání pacienta týkajících se protetického ošetření, konkrétně bezpečnosti, pohodlí a estetiky, je zapotřebí, aby byl ...
KRIENS, Švýcarsko: Stomatologičtí odborníci hrají důležitou roli nejen pokud jde o zdraví dutiny ústní, ale i celkový stav pohody. To dodává ...
Zobrazovací metody se staly základním kamenem moderní stomatologie – umožňují přesnější diagnostiku, lepší plánování léčby a zvyšují ...
Success CD je za studena polymerující systém pasta-pasta na bázi kompozit pro rychlé a snadné ...
LUCEMBURK: Teledentální péče zaznamenala během pandemie SARS-CoV-2 výrazný rozmach a její rostoucí využívání nadále vyvolává právní i ...
Během krátké doby se z RECIPROC® stal celosvětově velice úspěšný systém pro preparaci kořenového ...
Dvě lahvičky pro jeden protokol pro jakoukoli proceduru – KaVo Kerr představuje snadno zopakovatelné výsledky při jakémkoli scénáři použití s ...
Živý webinář
Po. 11 května 2026
6:00 (CET) Prague
Živý webinář
Po. 11 května 2026
7:00 (CET) Prague
Živý webinář
Út. 12 května 2026
7:00 (CET) Prague
Živý webinář
Čt. 14 května 2026
6:00 (CET) Prague
Živý webinář
Čt. 14 května 2026
8:00 (CET) Prague
Prof. Hani Ounsi DDS PhD FICD
Živý webinář
Út. 19 května 2026
5:00 (CET) Prague
Živý webinář
Út. 19 května 2026
7:00 (CET) Prague
Prof. Dr. med. dent. Ivo Krejci
To post a reply please login or register