Kromě základních přání pacienta týkajících se protetického ošetření, konkrétně bezpečnosti, pohodlí a estetiky, je zapotřebí, aby byl proces ošetření účinný, vysoce nákladově efektivní a vyžadoval minimální počet návštěv ordinace. Díky možnostem, které nabízejí CAD/CAM systémy, lze tyto požadavky v mnoha případech splnit. Ačkoliv je v případě složitých a esteticky náročných náhrad (např. ve frontálním úseku) zubní technik nepostradatelný, jednočlenné náhrady (např. inleje, částečné korunky a plně anatomické korunky) je v mnoha případech možno realizovat přímo v zubní ordinaci. Pro pacienta to má velkou výhodu mimo jiné v tom, že je zapotřebí pouze jedné návštěvy ordinace. Pro takovouto indikaci jsou vhodné různé materiály. Jedná se zejména o materiály z velké rodiny sklokeramiky, které v kombinaci s adhezivní technikou optimálně vyhovují požadavkům na zachování tvrdých zubních tkání, biologickou kompatibilitu, stálost a estetiku.
Dentální keramiky v každodenní klinické praxi
V každodenní klinické praxi je k dispozici stále větší množství nejrůznějších materiálů, především pokud jde o dentální keramiku. Pro lékaře je důležité, aby si udržovali přehled ohledně výběru optimálního materiálu pro konkrétní indikaci. Dentální keramiku lze obecně rozdělit na keramiku se skleněnou fází (např. silikátová keramika a keramika s infiltrovanými částicemi skla) a keramiku bez skleněné fáze, oxidovou keramiku (např. oxid zirkoničitý). Rozdíly v materiálech spočívají mimo jiné ve světelně optických a materiálových vlastnostech (např. pevnost v ohybu a odolnost vůči lomu). Ke zhotovení korunkových náhrad na jednom zubu v zubní ordinaci se často používá sklokeramika s vysokou pevností, jako je lithium disilikátová nebo lithium silikátová keramika. Z důvodu dosažení výsledné pevnosti 360–400 MPa se tyto keramiky po frézování krystalizují. K dispozici jsou také předem krystalizované bločky, které se po frézování již jen vyleští. V tomto případě však dochází k redukci pevnosti. Před několika měsíci byla rodina CAD/CAM sklokeramik rozšířena o další třídu materiálů: lithium aluminosilikátovou keramiku (n!ce, Straumann).
Předem krystalizovaná keramika s vysokou pevností
Z pohledu charakteristiky materiálu je plně krystalizovaná sklokeramika n!ce v podstatě lithium disilikát zesílený lithium aluminosilikátem. Její pevnost v ohybu je 350 MPa (± 50 MPa). Její velkou výhodou je snadné a efektivní zpracování. Prodávaná řada obsahuje bločky ve dvou úrovních translucence: HT (vysoká translucence) a LT (nízká translucence). Obě úrovně translucence jsou k dispozici v různých odstínech (Bleach, A1, A2, A3, B2 a B4 podle klasických vzorníků VITA) a v klinické praxi pokrývají velké množství indikací. Plně krystalizované frézovací bločky byly vyvinuty speciálně pro výrobu kompletně anatomických korunek, částečných korunek, inlejí, onlejí a fazet. Bločky jsou kompatibilní s různými držáky pro různé frézovací přístroje (obr. 1). Sklokeramické bločky je tak možno zpracovávat pomocí konvenčních frézovacích přístrojů a nejsou nutné žádné další investice do hardwaru nebo softwaru. Materiál je možno frézovat, vyleštit a nasadit bez krystalizačního pálení. To šetří při každodenní práci čas a úsilí. V případě potřeby je možná i dodatečná individualizace.
Různé frézovací bločky n!ce.
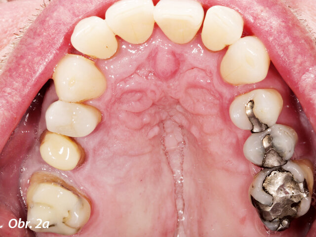
Pacient požadoval výměnu amalgámových výplní v horní (a) a dolní (b) čelisti za celokeramické náhrady.
Pacient požadoval výměnu amalgámových výplní v horní (a) a dolní (b) čelisti za celokeramické náhrady.
Preparované zuby jsou připraveny na intraorální digitalizaci (intraorální skenování).
Preparované zuby jsou připraveny na intraorální digitalizaci (intraorální skenování).
Preparované zuby jsou připraveny na intraorální digitalizaci (intraorální skenování).
Ilustrační snímek z CAD výroby v distálním úseku horní čelisti.
Ilustrační snímek z CAD výroby v distálním úseku horní čelisti.
CAD výroba v dolní čelisti.
CAD výroba v dolní čelisti.
Kazuistika
Počáteční situace
Pacient si přál odstranit víceploškové amalgámové výplně v horní a dolní čelisti (obr. 2a, b) a nahradit je celokeramickými náhradami zhotovenými s co nejmenším úsilím. Jednalo se o částečné korunky. V distálním úseku horní čelisti byla indikována můstková náhrada vyrobená z lithium disilikátové keramiky. Všechny ostatní nepřímé náhrady měly být vyrobeny z materiálu n!ce. Materiál je biologicky kompatibilní a relativně pevný i bez dodatečného krystalizačního pálení, přičemž disponuje přirozenými světelně optickými vlastnostmi.
Preparace
Cílem bylo minimálně invazivní ošetření provedené v zubní ordinaci. Nebyly přítomny žádné funkční poruchy ani periodontální abnormality. Test vitality byl proveden na všech zubech a až na zub 46 s pozitivním výsledkem. Zub 46 byl endodonticky ošetřen. Po aplikaci anestezie a nasazení kofferdamu byly odstraněny amalgámové výplně a zuby byly preparovány minimálně invazivní technikou pro celokeramické náhrady (obr. 3a–c). V pokynech pro preparaci pro náhrady z n!ce je oblý design preparace, bez ostrých úhlů a hran, a preparace raménka s oblými vnitřními hranami a/nebo schůdek. Výrobce uvádí minimální tloušťku vrstvy u plně anatomických a částečných korunek 1 mm, což preparace splňovala.
Virtuální navrhování a frézování
Pomocí intraorálního skeneru byly získány digitální otisky situace. Aby se zabránilo zrcadlovým snímkům nebo nežádoucím odrazům, byly zuby nejprve co nejdůkladněji osušeny. Následovala registrace skusu (sken) a import dat do CAD softwaru. Skeny byly zkontrolovány a byly z nich odstraněny artefakty. Po výpočtu virtuálního modelu a sestavení čelistí podle registrace skusu bylo snadné, pomocí několika kliknutí, vyznačit hranice preparace a osu nasazení náhrady. Při konstruování náhrad byl cennou pomůckou automatický biogenerický software pro počáteční navrhování. Na prvotních návrzích byly provedeny pouze minimální změny. Konstrukce náhrad trvala jen velmi krátkou dobu (obr. 4, 5) a poté byla data přenesena do CAM přístroje. V náhledu pro frézování byl naposledy zkontrolován design náhrad, například hodnoty pod minimální tloušťkou stěn.
Zaujala vás ukázka článku?
Celý článek můžete prostudovat v příslušném vydání časopisu Digital CZ/SK 1/2021 stáhněte jej ve formátu PDF
Dr. Johannes Beiter má titul Master of Science v oboru parodontologie a implantologie, a na tyto obory se také specializuje. Od roku 2012 je zubním lékařem se specializací na ústní chirurgii.
To post a reply please login or register