Search Dental Tribune

Články

Filtr

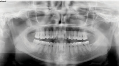
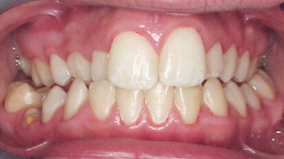
Distalizace horních molárů pomocí alignerů a cyklických sil

V posledním desetiletí se léčba fóliovými aparáty (CAT – clear aligner therapy) stala velmi dobře známou variantou ortodontické terapie, a to ...

uložit

O lingvální ortodoncii

MUDr. et Mgr. Milada Soldánová, Ph.D. je specialistkou v oboru ortodoncie, provozuje úspěšné praxe v Jindřichově Hradci i v Praze a externě ...

uložit

Zhotovení ortodontických aparátů na 3D tištěné modely

Technologie zhotovování laboratorních výrobků na virtuální modely tištěné na 3D tiskárně zasáhla už i ortodoncii. Pokrok nelze zastavit, a tak...

uložit

ORTHOCRYL® LC Pryskyřice, kterou jste si pro svou laboratoř vždy přáli

Za studena polymerující pryskyřice jsou pro účely ortodoncie používány již několik desetiletí a za tu dobu se osvědčily už asi milionkrát ...

uložit

Nové M.A.D. aparáty proti chrápání od Leone

Série M.A.D. (Mandibular Advancement Device, tj. aparát pro předsunutí mandibuly) aparátů proti chrápání od Leone je výsledkem kooperace mezi ...

uložit

Zpráva z kongresu ČOS 2017 v Liberci

XVIII. kongres České ortodontické společnosti je minulostí. Tentokrát se odehrál v prostředí Technické Univerzity v Liberci ve dnech 14.–16. 9. ...

uložit
advertisement

20. březen – Světový den ústního zdraví

Světový den ústního zdraví vyhlášený před 11 lety FDI se slaví ve více než 160 zemích světa. Letošní ročník oslav je věnován tématu ...

uložit

5 mýtů o pískování zubů, které nejsou pravdivé a přimějí Vás přehodnotit protokol dentální hygieny

Pískování zubů (air polishing) bylo poprvé zavedeno do klinické praxe kolem roku 1970. První přístroje byly velké a hlučné, při ošetření ...

uložit

Společnost Henry Schein pořádá konferenci „Nové trendy ve stomatologii“ pro zubní odborníky

S příchodem digitálních zubních technologií a zaváděním nových materiálů a léčebných metod, které pomáhají měnit způsob, jakým se ...

uložit

Stefan Koubi – případová studie bělení zubů

Ukázka z Kompletní průvodce profesionálním bělením zubů

uložit

Digitální implantologie se stolní 3D tiskárnou

Počítačem podporované plánování implantátu a navigovaná chirurgie zajišťují vysokou přesnost umístění zubního implantátu a usnadňují ...

uložit

Explantace a okamžitá implantace kombinací reverzního krouticího momentu a trepanační frézy

Na začátku své kariéry jsem se domníval, že budu zubní implantáty takřka jen zavádět, neboť při tehdy velmi často uváděné úspěšnosti ...

uložit
advertisement

Elevace čelistní dutiny pomocí krátkého implantátu

Dorzální úsek bezzubé maxily se sníženou výškou alveolárního výběžku obvykle představuje v rámci ošetření implantátem náročnou situaci....

uložit

Postupy vertikální kostní augmentace

Úspěch implantologického ošetření ve velké míře závisí na objemu kosti a na podpoře měkkých tkání. Komplexní augmentační postupy kladou i...

uložit

Technologie výzkumu kvality povrchů materiálů s živými buňkami in vitro

Kvalita materiálů dostatečně akceptovatelná buňkami a tkáněmi je prvním krokem při testování nově vyvinutých materiálů.

uložit

Tongue Star 2 (TS2) – systém pro rychlou léčbu otevřeného skusu

Cílem článku je představit nový systém využívající zmenšený aparát Tongue Star 2 (TS2) k léčbě závažných skeletálních otevřených ...

uložit
advertisement

Lingvální zámky 3M™ Incognito™ System a kombinovaná ortodontickochirurgická terapie

V současné době roste ze strany pacientů poptávka po estetické variantě ortodontické léčby. Proto se lingvální ortodoncie pomocí zámků 3M™ ...

uložit

Řešení otevřeného skusu u dospělého pomocí Insignia™ systému a Straight-Wire™ finishingu

V lednu 2017 vydalo Ormco Insignia Workbook, publikaci, která sdružuje osvědčené postupy a kazuistiky zkušených uživatelů značky Insignia z ...

uložit

Kongres Slovenskej ortodontickej spoločnosti 2018

Rozhovor s MUDr. Janou Surovkovou, prezidentkou kongresu SOS 2018

uložit

SPOLEČNOST HENRY SCHEIN, INC. OCENĚNÁ JIŽ PO SEDMÉ INSTITUTEM ETHISPHERE

MELVILLE, N.Y. – 14. února 2018 – Společnost Henry Schein, Inc. (Nasdaq: HSIC) byla institutem Ethisphere, světovou špičkou v oblasti stanovování...

uložit
advertisement

Sloučení značek zobrazovací techniky pod značku KaVo

Společnost KaVo má za cíl zlepšit a zjednodušit život zubních lékařů a nabídnout jim komplexní řešení pro každou oblast zubního ...

uložit

Střednědobá úspěšnost a stabilita marginální kosti implantátů Oktagon®

Cílem retrospektivní kohortové studie bylo zhodnotit střednědobou úspěšnost (3–5 let) a úbytek marginální kosti tissue level (TL) implantátů ...

uložit
advertisement

Nová řešení v programech Zirkonzahn: Perfektní v digitálním zpracování

Právě skončil ročník 2017 dentálního veletrhu IDS a všichni jsme se vrátili do svých zubních ordinací a laboratoří obohaceni o nové postřehy...

uložit

Večerní univerzita zubního lékaře (VUZL) v Plzni

V prosinci roku 2007 vymyslel na vánočním večírku oblastní Stomatologické komory doc. MUDr. Jiří Zemen, PhD. vzdělávací akci pro plzeňské ...

uložit

Ústecký dent 2018 – Mezistátní soutěž v modelovacích technikách

Již druhý ročník zajímavé soutěže pro studenty oborů Asistent zubního technika a Diplomovaný zubní technik Ústecký dent proběhl ve dnech ...

uložit

I. kongres Slovenskej stomatologickej spoločnosti

V dňoch 17. a 18. XI. 2017 sa uskutočnil I. kongres Slovenskej stomatologickej spoločnosti. Miestom podujatia bol Grand hotel Jasná, ktorý sa nachádza...

uložit
advertisement

Přehled klinické ortodoncie: Mechanika léčby, část I.

Mechanika léčby byla vždy ve středu zájmů všech ortodontistů. Od vzniku naší specializace jsme pro pacienty hledali nejlepší, nejrychlejší, ...

uložit

Moje absolutní proměna

Londýnský specialista na linguální ortodoncii popisuje své zkušenosti s digitálními technologiemi.

uložit

Jak zjednodušit léčebný protokol použitím drátu čtyřhranného průřezu v první fázi léčby

Pohyb zubu je možný díky komplexnímu biologickému systému, který je aktivován dodáním lehké a trvalé síly v rozmezí od 6 do 250 gramů. ...

uložit

Anna Salat – případová studie bělení zubů

Ukázka z Kompletní průvodce profesionálním bělením zubů

uložit
advertisement
advertisement