Implantologie je dnes běžnou součástí zubního lékařství. Jen stěží bychom hledali jiný obor stomatologie, který prodělal tolik inovací a investic v tak krátkém čase. Nicméně, i přes tuto euforii, s sebou implantologie nenese pouze pozitivní aspekty. Tento článek si klade za cíl poukázat na současné „triumfy a tragédie“ v tomto oboru.
Triumfy
Dále jsou prezentovány tři případy:
1) Implantátem nesená korunka frontálního zubu v horní čelisti
2) Kompletní rekonstrukce bezzubé maxily a částečná rekonstrukce mandibuly protetikou nesenou implantáty se zbytkovým frontálním úsekem chrupu
3) Kompletní rekonstrukce bezzubé maxily pomocí snímatelných protéz a rekonstrukce částečně ozubené mandibuly pomocí fixní protetiky
Všichni tři pacienti byli ošetřeni implantáty typu tissue level (Straumann) a disponují nyní příznivou dlouhodobou prognózou.
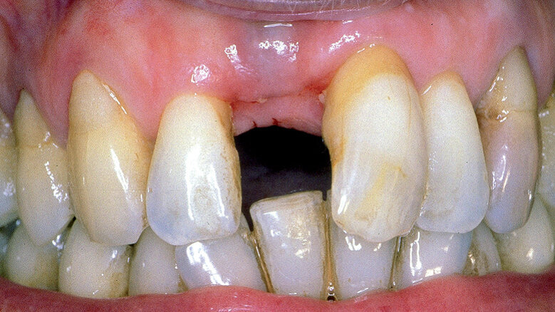
Případ 1
Žena, povoláním učitelka, ve věku 56 let v době implantace, čelila možné ztrátě zubu 11 v důsledku ztráty závěsného aparátu zubu. Předtím se léčila s pokročilou parodontitidou, v jejímž důsledku došlo k resorpci kosti. Tu se však podařilo stabilizovat a pacientka se tak v době ošetření nacházela již v recall fázi. Zub 11 byl tak poslední ztrátou způsobenou parodontitis.
Po extrakci zubu byl zaveden implantát a o tři měsíce později osazen korunkou. Zubnímu technikovi se povedlo korunku zhotovit tak, aby harmonicky zapadla do zbylého chrupu, který byl značně postižen recesy a ztrátou podpůrných tkání. Pacientka poctivě docházela na kontroly každých 6 měsíců. Návštěvy pacientky byly od roku 2005 kombinovány s dentální hygienou.
Kontrolní rentgenové snímky a klinické vyšetření neobjevily žádný patologický nález v okolí implantátu, pouze lehkou progresi bifurkace mezi zuby 46 a 36.
Tento případ se tak jeví jako ideální – bylo dosaženo optimální dlouhodobé stability v kombinaci s motivovaným a spolupracujícím pacientem.
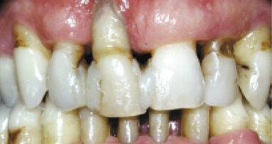
Případ 2
Krátce před 60. narozeninami chtěl univerzitní profesor vyřešit své trápení s bezzubou horní čelistí a částečně bezzubou dolní čelistí. Především však chtěl vyměnit celkovou snímatelnou náhradu v horní čelisti a částečnou náhradu v dolní čelisti za fixní řešení.
Ve dvou sezeních tak bylo zavedeno celkem 13 implantátů. Ty byly následně zatíženy můstkem v maxile v rozsahu 16–26 a samostatnými korunkami, respektive extendovaným můstkem, na levé straně v mandibule.
Pacient se nedostavil na kontroly v letech 2003, 2005 a 2008. V roce 2009 se nám povedlo se s pacientem domluvit na alespoň jednu kontrolu a jednu dentální hygienu za rok.
Rentgenové kontrolní snímky a intraorální vyšetření neodhalily žádné zhoršení stavu zbylého chrupu či zavedených implantátů.
Ve výsledku tento případ vykazuje dlouhodobou stabilitu fixní protetiky nesené implantáty a pouze částečnou spolupráci ze strany pacienta.
Případ 3
50letá pacientka trpěla bezzubou horní čelistí od svých 46 let. Život s totální náhradou byl pro ni složitý, zejména jí byla na obtíž při zpěvu. Navíc i její dolní čelist byla částečně bezzubá.
Kvůli nedostatečnému objemu kostní tkáně v distálním úseku maxily byla jako řešení zvolena hybridní náhrada. Dolní čelist byla v postranním úseku ošetřena pomocí fixních můstků nesených implantáty. Maxila byla ošetřena začátkem roku 1996, zatímco mandibula na podzim stejného roku. Pacientka velmi dobře přijala novou protézu a její spolupráce byla ukázková. V posledních dvou dekádách se ukázala na každé půlroční kontrole a dentální hygieně. Nyní nosí stále stejnou náhradu, s výjimkou dvou zubů, které musely být z důvodu poškození při pádu nahrazeny.
Nedošlo tak prozatím na rozsáhlé augmentace a bylo zvoleno ošetření s kvalitou srovnatelnou s fixním řešením díky zavedeným implantátům a třmenu v horní čelisti. Díky příznivé úrovni kosti byly implantáty zavedeny také do postranních úseků mandibuly, což umožnilo ošetření pomocí fixních můstků. Silně motivovaná, spolupracující a spolehlivá pacientka byla taktéž přínosem pro dlouhodobý úspěch tohoto implantologického případu.
Tragédie
Ošetření pomocí implantátů může selhat. Toto selhání může nastat dříve či později po zatížení implantátů a jeho příčiny jsou různé. Ilustrováno je to na následujících dvou příkladech:
Případ 4: Selhání augmentace
Následující případ dokumentuje časné selhání protetiky nesené implantáty. Na chirurgickém pracovišti byl proveden sinus lift. Jak augmentace, tak fáze hojení proběhly bez komplikací.
Zavedení implantátů mělo proběhnout ve stejné praxi, avšak nakonec bylo na přání pacienta vykonáno na jiném pracovišti. Štěp, sestávající ze syntetického materiálu a autogenní kosti, byl po kontrole za využití DVT (digital volume tomography) považován za zhojený a připravený pro zatížení. Zavedení třech implantátů a jejich protetické osazení proběhlo bez problémů a komplikací.
Po 6 měsících začal pacient pociťovat problémy a projevoval se zánět měkkých tkání v okolí implantátu: nastalo kompletní selhání periimplantátové tkáně, s velmi hlubokou sondáží, doprovázené bolestí, což nutně vedlo k odstranění implantátů. Výsledek lze tedy označit za naprosté selhání. Navíc takové, které nastalo v časné fázi ošetření.
Shrnuto: tento případ ilustruje klasické časné selhání implantátů.
Zaujala Vás ukázka článku? Celý článek můžete prostudovat v příslušném vydání časopisu Implants 1/2018
Stáhněte si jej ve formátu PDF
Implants 1/2018
Štítky:
Ošetření parodontu poskytuje nejen dobré orální zdraví, ale je také základním kamenem pro ...
PRAHA/ČESKÁ REPUBLIKA: Česká společnost pro implantologii při Stomatologické klinice 3. LF UK a FN KV v Praze v rámci ...
Ve dnech 14.–20. září 2025 proběhl v Hradci Králové a v Praze pilotní ročník programu EVP určený studentům zubního lékařství. Týdenní ...
CHENGDU, Čína: Epidemiologická data naznačují, že zubní lékaři trpí očními onemocněními častěji než řada jiných profesních skupin. ...
V medicíně je široce přijímáno, že lékařské implantáty a zákroky je nutné v průběhu času revidovat. Například v ortopedické chirurgii se ...
Existuje mnoho technik, které zjednodušují každodenní práci. Příkladem jsou intraorální, extraorální a obličejové skenery, CBCT ...
Počítačem podporované plánování implantátu a navigovaná chirurgie zajišťují vysokou přesnost umístění zubního implantátu a usnadňují ...
Technologie spjatá s endodontickou terapií prošla v posledních letech opravdovou revolucí. Po dlouhá léta byly využívány jako základ pro ...
MD Guide nabízí alternativu k výrobě konvenční chirurgické šablony.
V správe ADA (Americká dentálna spoločnosť) bolo zaznamenané, že non-fluoridové varianty by mohli poskytnúť ...
Živý webinář
Po. 11 května 2026
6:00 (CET) Prague
Živý webinář
Po. 11 května 2026
7:00 (CET) Prague
Živý webinář
Út. 12 května 2026
7:00 (CET) Prague
Živý webinář
Čt. 14 května 2026
6:00 (CET) Prague
Živý webinář
Čt. 14 května 2026
8:00 (CET) Prague
Prof. Hani Ounsi DDS PhD FICD
Živý webinář
Út. 19 května 2026
5:00 (CET) Prague
Živý webinář
Út. 19 května 2026
7:00 (CET) Prague
Prof. Dr. med. dent. Ivo Krejci
To post a reply please login or register