Search Dental Tribune

Augmentace sinu a současné zavedení implantátu za použití jednofázové sendvičové techniky

Distální úsek horní čelisti je tvořen extrémně tenkou bukální stěnou, s podložní trabekulární kostí s nízkým obsahem minerálů. Ztráta horních distálních zubů je obvykle doprovázena resorpcí kosti, která znamená zmenšení šířky dostupné kosti na úkor bukální stěny. To je také vysvětlení, proč se šířka kosti v distálním úseku horní čelisti zmenšuje rychleji než v ostatních úsecích. Je rovněž třeba zmínit, že fenomén resorpce kosti urychluje a počáteční třídu trabekulární kosti D3 nebo D4 zapříčiňuje nedostatečné prokrvení. Nicméně, i při zmenšení šířky o 60 % je zbytkový hřeben v distálním úseku horní čelisti dost široký pro zavedení implantátů kořenového tvaru. Progresivní resorpce posouvá alveolární hřeben směrem k patru na úkor šířky kosti.  Distální úsek horní čelisti nadále atrofuje až do chvíle, kdy dojde k ablaci celého alveolu po bazální kost. U středně až silně atrofovaných hřebenů musí vycházet vestibulární okraj definitivní náhrady z rovnováhy mezi estetickými požadavky, biomechanickým stavem a dostupností kosti.

Resorpce maxilárního sinu

Dokud jsou zuby součástí oblouku a je zachována žvýkací funkce, drží si vnitřní anatomie maxilárního sinu svůj plný rozměr, ale jakmile dojde ke ztrátě distálních zubů, rozšiřuje se. Dochází k expanzi dutiny ve směrech kaudálně a laterálně, což potenciálně narušuje oblast špičáků, a dokonce i laterální piriformní sinus. Po ztrátě zubů, související někdy s periapikálními infekčními procesy, dochází v distálním úseku horní čelisti ke značné redukci množství kosti dostupné pro zavedení implantátu. Tento jev je pravděpodobně důsledkem atrofie způsobené sníženým napětím v kosti z důvodu nedostatečné žvýkací funkce. O implantátech zavedených pod dno sinu bez použití štěpu je známo, že stimulují zvýšenou tvorbu kosti na dně sinu. Mezi hlavní kritéria úspěchu implantologického ošetření patří hlavně kvalita a kvantita kosti. Z omezeného průzkumu dostupné literatury lze odvodit, že statisticky mají implantáty s výškou 10 mm nebo méně o 16 % nižší míru zachování než implantáty s výškou větší než 10 mm. Je proto důležité zdůraznit, že faktorem, který je potřeba uvážit s ohledem na předvídatelnost a životnost rehabilitace nesené implantátem, je výška kosti. U pacientů s narušeným parodontem se často objevuje fenomén známý jako pneumatická trifurkace, při němž se maximální sinus rozpíná mezi kořeny až téměř po okraj oblasti prvního moláru. Po extrakci zubu zůstane v důsledku této anatomické zvláštnosti sinu 4–5 mm dostupné kosti. Takto omezený vertikální rozměr ještě více zhoršuje problém umístění implantátu na střed hřebenu a již tak narušená šířka alveolu. Obecně platí, že kvalita kosti v distálním úseku horní čelisti je horší než v jakékoli jiné intraorální anatomické oblasti. Hustota kosti horní čelisti je často pětkrát až desetkrát nižší než ve frontálním úseku dolní čelisti, konkrétně v oblastech symfýzy a parasymfýzy. Hustota kostních minerálů přímo ovlivňuje míru kontaktu mezi implantátem a povrchem kosti, a tedy přenos zatížení na kost. Napětí se v případě kosti s nízkou hustotou více šíří směrem k apexu implantátu než u denzní kosti. Je-li napětí nadměrné, dochází k úbytku kosti v její trabekulární oblasti, což postihuje nejprve krčkovou oblast implantátu a posléze celé tělo implantátu. Vyvíjejí se proto strategie, jak zvětšit míru kontaktu mezi kostí a implantátem, a to jak chirurgicky, tak úpravou designu implantátu.

Hustota kostních minerálů je zvláště důležitá pro dlouhodobé zachování funkce implantátu. Při nedostatečné mineralizaci mají implantáty zvýšené riziko selhání. Nedostatečná kvalita struktury kosti ohrožuje nejen primární stabilitu implantátu, ale také jeho schopnost vydržet žvýkací síly. Absence povrchové vrstvy na hřebeni alveolu ohrožuje primární stabilitu implantátu a, protože je bukální kortikální destička obecně velice tenká a hřeben je relativně široký, přispívá ke zvýšení stability jen málo. Okluzní síly jsou v distálním úseku dutiny ústní až pětkrát větší než v úseku frontálním. Maximální okluzní síla ve frontálním úseku se pohybuje od 241 do 345 Pa, zatímco v oblasti molárů se pohybuje od 1378 do 1723 Pa. Přirozené horní moláry mají o 200 % větší povrch i podstatně větší průměr než premoláry, 1 a je jasné, že kombinace těchto dvou faktorů přispívá ke snížení napětí v kosti. V souladu s klinicky zjištěnou morfologií v dutině ústní by měla být opora implantátu v oblasti molárů větší, aby bylo možné umístění funkčnější a estetičtější náhrady. Je třeba poznamenat, že snížení kvantity a kvality kosti a snaha zvýšení pevnosti okluze by měly představovat důkladně zvažované aspekty při ošetření distálního úseku horní čelisti.

Přístup ke dnu sinu

Tatum byl prvním lékařem, který navrhl krestální přístup k elevaci dna sinu a zavedení zanořených implantátů.12 Tato technika, používaná u tenké zbytkové krestální kosti, zahrnovala proniknutí do sinu pomocí nástroje k vytvarování lůžka. Pod zahnutou membránu sinu byl umístěn kostní štěp. Později byla vyvinuta modifikovaná Caldwell-Lucova technika, při které se provádělo proniknutí do postranní stěny sinu a tato stěna se použila k elevaci membrány sinu. Do oblasti byl poté umístěn autogenní štěp. Od té doby byla popsána celá řada technik augmentace dna maxilárního sinu. V současné době se při zavádění implantátů používají hlavně dvě techniky elevace sinu: dvoufázová technika za použití přístupu přes laterální okénko a jednofázová technika za použití přístupu laterálního okénka z hřebenu alveolu. Rozhodnutí použít jednofázovou nebo dvoufázovou techniku se provádí na základě množství kosti přítomné na alveolárním hřebenu. Piezoelektrická chirurgie má jisté základní charakteristiky, díky nimž je bezpečnější a přesnější než nástroje (ruční i elektrické) obvykle používané při tomto typu chirurgických zákroků. Morfologické a histo-morfometrické studie zjistily, že tkáně reagují lépe na piezochirugii než na vrtačku. Extrémní přesnost a bezpečnost této metody je dána následujícími faktory:

  • Mikrometrický řezný účinek umožňuje účinný řez mineralizovanými strukturami, ale je neaktivní na měkkých tkáních.
  • Absence makrovibrací umožňuje lepší manipulační kontrolu, díky čemuž je zajištěn naprosto bezpečný přístup do většiny obtížně přístupných anatomických oblastí a vysoká přesnost řezu.
  • Kavitace s chlazením fyziologickým roztokem, která vzniká z charakteristických ultrazvukových vibrací, vytváří drobné rozstřikované částice vody, které udržují
    oblast chladnou a bez krve, čímž se zabrání přehřátí tkání a zajistí optimální viditelnost v průběhu zákroku.

Sendvičová technika

Tato technika doporučuje v případech elevace dna sinu o 4–5 mm a 3D rekonstrukci kosti kolem celého těla implantátu a zavedení implantátu v jedné fázi. Tato technika doporučuje provést dvě vertikální osteotomie na laterální stěně maxilárního sinu za účelem vymezení oblasti kosti k transplantaci štěpu. Třetí spodní horizontální osteotomie se provádí podle dostupnosti kosti patrné na skenu z CT a čtvrtá horní horizontální osteotomie k vymezení výšky štěpu. Vytvořené kostní okénko se vykloní do maxilárního sinu tak, aby fungovalo jako strop oblasti s transplantovaným štěpem. Kdykoli je to možné, je vhodné zachovat neporušenou Schneiderovu membránu. Dojde-li k její případné perforaci během osteotomie nebo již byla perforovaná, je nutné umístit pomocnou membránu. Do distální (palatinální) části kostního okénka se umístí Sticky Bone (CERASORB M, curasan; a fibrin bohatý na krevní destičky). Snadno se s ním manipuluje, urychluje hojení tkání a minimalizuje úbytek kosti během období hojení. Poté se zavede implantát, přičemž stávající krčková kost funguje jako zdroj primární stability. Nakonec se ve frontální oblasti (vestibulárně) umístí nová Sticky Bone a k jeho zakrytí se použijí membrány z autologního fibrinu.

CERASORB M je vstřebatelný betatrikalciumfosfát, fázově čistý, biomimetický a zcela vstřebatelný k vyplňování, propojování a rekonstrukci kostních defektů malého, středního a velkého rozsahu, který zároveň napomáhá spojování kostí v celém kosterním systému. CERASORB M je vyroben z biokompatibilního syntetického keramického materiálu s fázovou čistotou zhruba ≥ 99 %.20 Granule CERASORB M mají polygonální tvar, který umožňuje lepší strukturální adaptaci mezi granulemi, a mají otevřené vzájemně propojené mikro, mezo a multiporézní strukturální makropóry (zhruba 65 %), nižší rentgenkontrastnost a absorpci, a remodelace v autogenní lidské kosti dosahují rychleji než konvenční biomateriály. V průběhu měsíců kontaktu s vitální kostí se materiál CERASORB M vstřebává a je současně nahrazován autologní kostní tkání. Jako syntetický a bioaktivní keramický materiál má CERASORB M vynikající histokompatibilitu a nemá lokální ani systémovou toxicitu. Na rozdíl od materiálů biologického původu nepředstavuje CERASORB M riziko infekce nebo alergické reakce, což lze považovat za důležitou výhodu. Složkou terapeutických krevních matric získaných selektivní centrifugací je na krevní destičky bohatý fibrin, který působí v kosti a při regeneraci tkání jako pomocný prostředek. Pro získání fibrinových matric se ukládají vzorky autologní krve do suchých 10ml zkumavek (Montserrat) z čistého skla a vzorky krve v suchých polystyrenových zkumavkách (Greiner Bio-One), v poměru zkumavek 6 : 2. Měly by se centrifugovat v centrifuze (Ortoalresa) podle protokolu popsaného Duartem de Almeidaem a Alvesem de Oliveirou, který využívá relativní odstředivou sílu 200 × g po dobu 10 minut, aby se v jednom kroku získaly dvě fyzikální podoby fibrinu, polymerní forma nebo pevný gel, a monomerní nebo dočasně tekutá forma.

Kazuistika

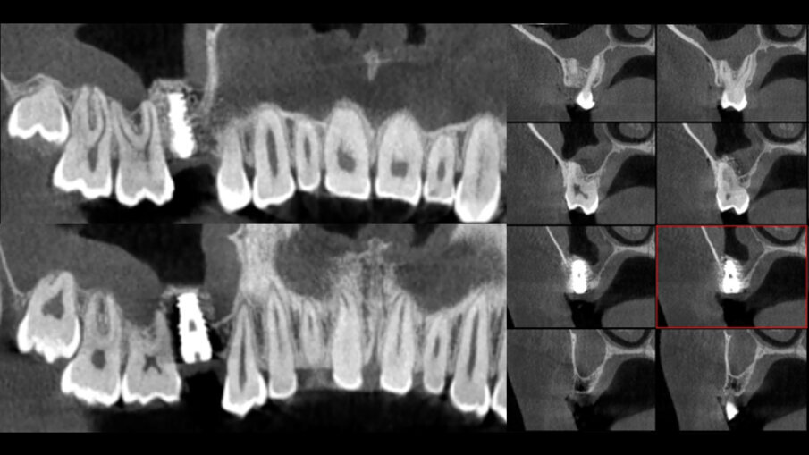
21letá pacientka se dostavila na konzultaci do stomatologické ordinace ve zdravotnickém středisku Clitrofa v Trofě v Portugalsku kvůli zavedení implantátu v anatomické oblasti zubu. V anamnéze nebyly uvedeny žádné alergie ani užívání léků. Při extraorálním klinickém vyšetření nebyly zjištěny žádné abnormality. Při intraorálním fyzickém vyšetření byla v oblasti zubu 15 patrná mírná resorpce kosti v důsledku ageneze zubu. Na skenu z CT byla v oblasti zubu 15 zjištěna výška dna sinu 4 mm, díky čemuž byl případ vhodný pro jednofázovou techniku zavedení implantátu – sendvičovou techniku (obr. 1). Na laterální stěně maxilárního sinu byly provedeny dvě vertikální osteotomie s cílem vymezit oblast kosti určenou k transplantaci štěpu. Třetí spodní horizontální osteotomie byla provedena podle dostupnosti kosti zjištěné na skenu z CT a čtvrtá horní horizontální osteotomie byla provedena za účelem vymezení výšky štěpu 10 mm. Vytvořené kostní okénko bylo vykloněno do maxilárního sinu a Schneiderova membrána zůstala neporušená. Použití fibrinu bohatého na krevní destičky při transplantaci štěpu nabízí výhody v podobě modelování zánětlivé reakce, imunitní reakce a následné opravy tkáně, reorganizace tkáně a angiogeneze. Spojení s minerálními biomateriály usnadňuje manipulaci a použití a umožňuje okamžité přilnutí k lůžku oblasti transplantace (obr. 2).

Sticky Bone byla za lehkého přitlačení umístěna do distální (palatinální) části kostního okénka. Poté byl zaveden implantát (Epikut HE, 4,5 × 10,0 mm; S.I.N. Implant System), přičemž jako primární zdroj stability posloužila stávající krčková kost. Další Sticky Bone byla umístěna do frontální části (vestibulárně) (obr. 3). Autologní fibrinové membrány vytvářejí chráněné prostředí pro regeneraci kosti v místě defektu a napomáhají osteogenezi tím, že tvoří bariéru pro infiltraci (migraci) měkkých tkání a podporují tak růst osteogenních buněk v kostním defektu.

Sešití bylo provedeno jednoduchými stehy za použití nevstřebatelných stehů (hedvábí č. 4/0) (obr. 4). Pacientka podstoupila systémovou antibiotickou, analgetickou a protizánětlivou léčbu po dobu osmi dní. Co se týče pooperační péče, byla pacientka instruována, aby dodržovala přísnou ústní hygienu. Šest měsíců po zákroku byl pořízen a vyhodnocen pooperační sken z CT a byla na něm patrná tvorba nové kosti ve výšce 12 mm kolem celého těla a apexu implantátu (obr. 5).

Závěr

Difuzní remodelace maxilárního sinu a distální morfologie horní čelisti po ztrátě zubu nabízí několik možností ošetření. Stále častějším postupem je v implantologii transplantace štěpu do oblasti maxilárního sinu a je vhodné uvážit použití vstřebatelných a biomimetických kostních regeneračních materiálů, jako je CERASORB M, v kombinaci s fibrinem bohatým na krevní destičky (Sticky Bone). Tato technika je bezpečná, předvídatelná a má v distálním úseku horní čelisti dlouhou životnost. Lze ji provést samostatně nebo ve spojení s jinými rekonstrukčními procedurami. Při správném přístupu a zvládnutí vede sendvičová technika nejen k rekonstrukci kosti distálního úseku horní čelisti, ale současně k zavedení implantátu a následnému umístění náhrady ortoalveolárního tvaru zajišťující funkci mezi oblouky.

 

 

Dr. Fernando Duarte

Dr. Fernando Duarte

Dr. Fernando Duarte
Clitrofa—Centro Médico,
Dentário e Cirúrgico
Trofa, Portugal
+351 252 428960
fduarte@clitrofa.com

Redakční poznámka:

Střet zájmů: Autoři prohlašují, že nemají v souvislosti s publikací tohoto článku žádný střetu zájmů.

Redakční poznámky: Článek byl publikován v mezinárodním vydání časopisu implants – international magazine of oral implantology, Vol. 22, Issue 4/2021.

Použitá literatura na vyžádání u vydavatele.

To post a reply please login or register
advertisement
advertisement