Digitalizace ve stomatologii má velmi rychlý vývoj. Pracovní modely zhotovené bez otiskování, vytištěné na 3D tiskárně, nebo realizace „neviditelných“ ortodontických aparátů v co nejkratším možném čase, jsou jen dva příklady vývoje, který ovlivňuje nejen pracovní proces v ordinaci, ale i rostoucí měrou očekávání a přání pacientů. Toto je demonstrováno na průběhu ošetření mladé pacientky od počáteční konzultace až po finální ošetření.
Pacienti s nevyhovujícím postavením zubů požadující léčbu mají v dnešní době obvykle jasně formulovaný názor na průběh a především výsledek terapie, což je vzhledem k nemalým finančním nákladům na stomatologické ošetření oprávněné. Digitalizace obecně poskytuje ortodontistovi možnost zkrácení délky léčby, vyšší komfort pro pacienta a esteticky vyhovující, téměř neviditelné, metody. Přináší také zásadní výhody v oblasti komunikace s pacienty, a to jak v rámci konzultace před ošetřením, tak v jeho průběhu. Společné plánování s pacientem a možnost zaměřit se na jeho individuální přání a obavy ve fázi rozhodování lékaři značně usnadňuje komunikaci. Digitalizace navíc dopřává pacientovi dobrý pocit, že se dostal do moderní ordinace. Konkrétní simulace pozdějšího výsledku ošetření rozptyluje pacientovy obavy, zda investovat do léčby, s jejímž výsledkem by nemusel být v plném rozsahu spokojen.
První návštěva
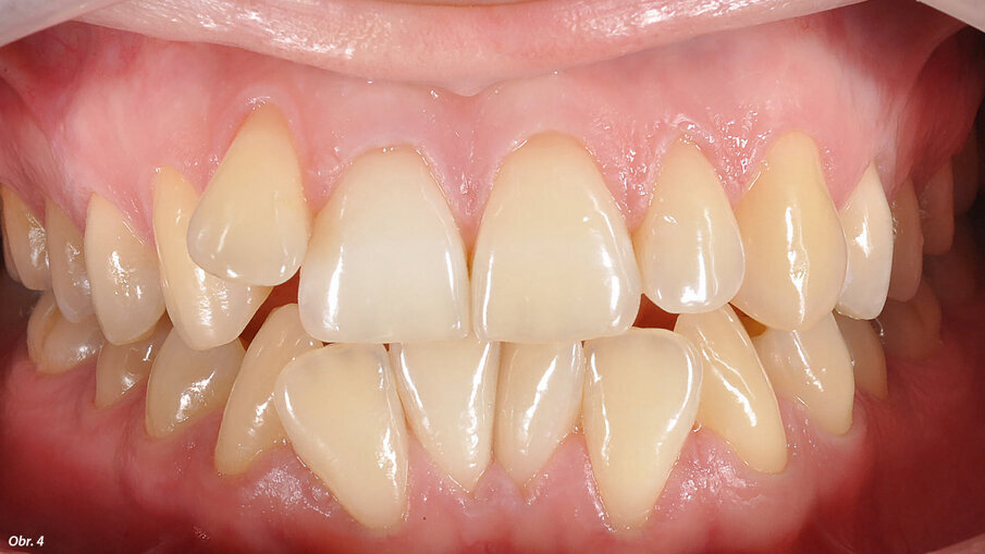
Když se 19letá Sabine S. (jméno pozměněno) objevila jako nová pacientka v naší ordinaci, stěžovala si primárně na skutečnost, že kvůli špatnému postavení zubů není schopna normálně ukusovat. Dále ji obtěžovala nevyhovující estetika rozdílného průběhu středové linie v horním a dolním zubním oblouku a postavení horního laterálního řezáku vestibulárně mimo zubní řadu (obr. 1, 2). Již během prvního sezení, které si u nás zarezervovala prostřednictvím našeho online objednávacího kalendáře, zdůraznila pacientka své funkční i estetické obtíže a trvala na jejich nápravě. Zároveň však vyjádřila určité obavy týkající se ošetření pomocí „viditelného“ ortodontického aparátu a pochybnosti, zda konečný efekt léčby bude splňovat její požadavky a představy.
Diagnostický nález
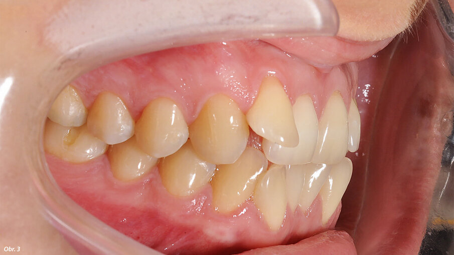
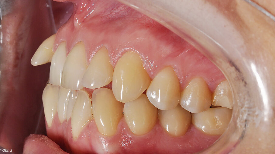
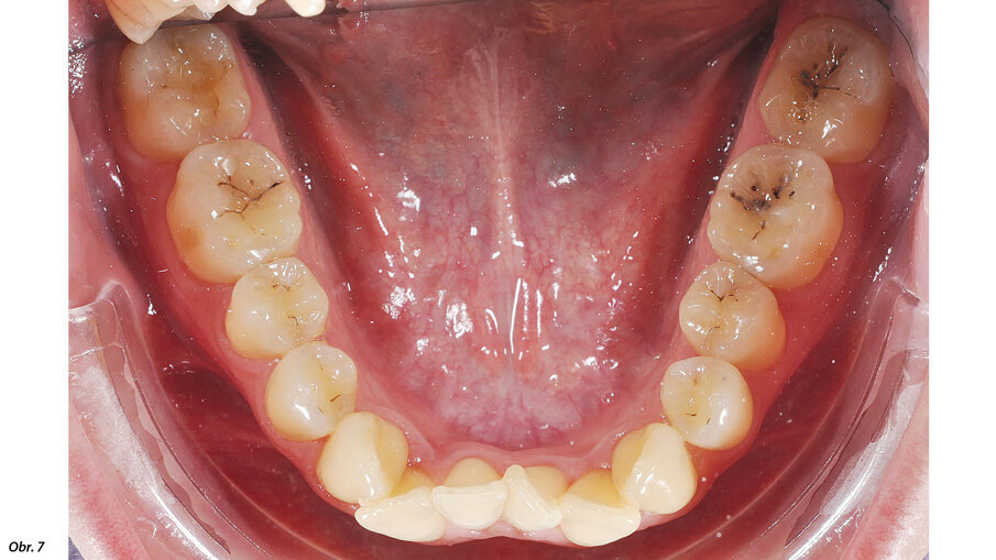
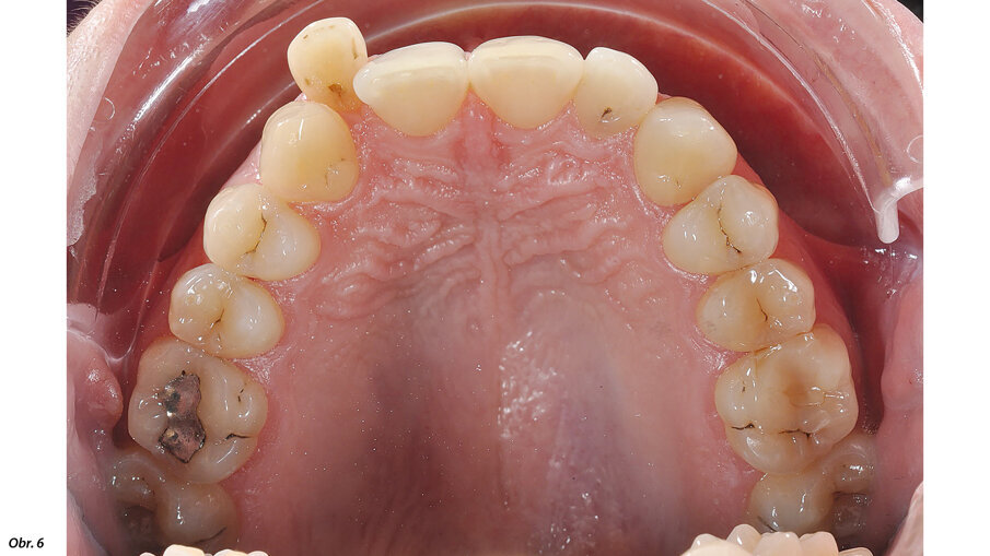
Vyšetřením jsme zjistili výrazný nedostatek místa v horní i dolní frontě. Zub 12, s meziodistální šířkou 6,25 mm, byl eruptován vestibulárně zcela mimo zubní řadu se současným posunem horní středové linie doprava. Mezera mezi zuby 11 a 13 činila 1,5 mm. Nedostatek místa v dolním zubním oblouku činil 2,6 mm resp. 2,85 mm ve dvou dolních kvadrantech. V transverzálním rozměru byl oproti normě menší jak anteriorně, tak i posteriorně. Oproti tomu skus laterálně a v místě špičáků byl normální – zde jsme diagnostikovali I. třídu podle Anglea. Hloubka skusu byla 0,5 mm s tendencí k otevřenému skusu. Incizální schůdek byl 0 mm se skusem hrana na hranu u zubů 11/41 a 21/31/41. Podle Boltnových indexů byl přítomen nepoměr v šířce zubů s přebytkem „zubního materiálu“ v dolní čelisti (obr. 3–5). Při skeletální diagnostice jsme nalezli disharmonii ve velikosti čelistí s retrognátní horní čelistí a ortognátní mandibulou – III. skeletální třída s úhlem ANB -2,3° a hodnotou WITS o velikosti -3,9 mm. U vertikální analýzy byl zřejmý mírně horizontální typ růstu s hodnotou SpP/MeGo 23° a poměrem SGo/NMe 71 % na základě anteriorní inklinace horní čelisti. Interincizální úhel byl lehce zvětšený, což bylo dáno mírnou protruzí horních řezáků spolu s retrudovaným postavením dolních řezáků (obr. 6, 7).
Extraorální fotografie počátečního stavu pacientky.
Extraorální fotografie počátečního stavu pacientky.
EIntraorální fotografie počátečního stavu pacientky.
EIntraorální fotografie počátečního stavu pacientky.
EIntraorální fotografie počátečního stavu pacientky.
Horní řezáky jsou mírně protrudované, dolní řezáky mírně retrudované.
Horní řezáky jsou mírně protrudované, dolní řezáky mírně retrudované.
Konzultace a plánování léčby společně s pacientkou
Protože si pacientka přála zcela neviditelný ortodontický aparát, a protože pro to byly vhodné předpoklady, byla jí navržena léčba pomocí fóliového aparátu Invisalign. I sama pacientka preferovala tuto terapeutickou metodu bez ortodontických zámků. Byla na ní však znát značná nejistota, co se průběhu ošetření a výsledku léčby týče. Díky možnosti digitální simulace výsledku se podařilo tyto obavy rozptýlit.
Pomocí skeneru iTero (Align Technology) byl proveden digitální sken výchozí situace chrupu pacientky. V simulátoru výsledků Invisalign může být názorně ve 3D prezentována aktuální i výsledná situace, čímž se, podle mých dosavadní zkušeností, dají velmi snadno rozptýlit pacientovy obavy. Zpravidla se tím zvyšuje i míra spolupráce pacienta. V tomto případě se podařilo pacientce zprostředkovat rozsáhlý a srozumitelný náhled na průběh a výsledek léčby, díky čemuž se viditelně oprostila od strachu, zda se konečný výsledek nebude příliš lišit od její představy (obr. 8–10).
Léčba
Pomocí software ClinCheck a OrthoCAD (Align Technology) bylo na počátku naplánováno 64 fólií. Jako podpůrná terapie byl pacientkou denně po dobu 10 minut používán přístroj OrthoPulse (Biolux Research). OrthoPulse pracuje na základě Low-Level-Light-Therapy (LLLT), při které se využívá infračervené světlo o nízké intenzitě (600 až 1000 nanometrů).
Po primární sérii dlah byly potřeba dva refinementy. Postupně bylo použito dalších 25 a 14 dlah v obou čelistech. Pomocí celkem 103 dlah ve třech sériích byla celá terapie úspěšně dokončena za méně než 14 měsíců. Na konci léčby bylo dosaženo jak funkčního, tak esteticky optimálního výsledku. Správné postavení frontálních zubů a harmonizace středových linií odpovídaly simulaci výsledku, kterou jsme pacientce představili před začátkem léčby. Pacientka byla naprosto spokojena (obr. 11–17).
Závěr
Digitální metody dovolují vizualizovat výsledek léčby ještě před samotným začátkem terapie. Tím umožňují ordinaci optimalizovat pracovní proces a pacientovi poskytují vyšší komfort a kratší délku léčby. Pacient, u kterého vzhledem k funkčním a estetickým omezením přichází v úvahu ortodontická léčba, se do ordinace zpravidla dostavuje s jednoznačným očekáváním a s konkrétním přáním, aby terapie probíhala rychle a co nejméně nápadně. Zároveň si takový pacient kromě požadavků přináší s sebou i své starosti a nejistoty. Ty je potřeba brát již od začátku velmi vážně a je vhodné pacienta aktivně zapojit do procesu plánování a ukázat mu jednotlivé kroky léčby i její plánovaný výsledek. Ovlivní to nejen jeho rozhodnutí, zda navrženou léčbu podstoupí, ale posiluje to i jeho pocit, že se svým problémem vyhledal přesně to pravé pracoviště. Pro ordinaci znamená použití digitálních zobrazovacích metod dobrou reputaci a mnoho doporučení od spokojených, často i nadšených, pacientů.
Redakční poznámka: Článek byl poprvé publikován v časopisu cosmetic dentistry_practice & science, Vol. 17, Issue 1/2019.
U pacienta byla naplánována okamžitá implantace s okamžitým zatížením provizorní korunkovou náhradou v estetické zóně. Protokol postupu ...
Moderní počítačem řízené technologie jsou stěžejním trendem ve všem oblastech zubního lékařství – považovali jsme tedy za zajímavé ...
Použití laserů ve stomatologii – a při lékařských zákrocích obecně – zaznamenalo v posledních letech velký pokrok nejen v účinnosti, ale ...
Počítačem podporované digitální plánování se stalo důležitým diagnostickým a terapeutickým nástrojem v moderní stomatologii. Digitální ...
Do naší ordinace přišel 42letý muž, který doufal ve vylepšení svého úsměvu. Byl si vědom opotřebení chrupu v předním úseku a také ...
V naší klinické praxi byla hypersenzitivita dentinu (HD) vždy výzvou. Nejlepším přístupem pro nás doposud bylo navrhnout domácí řešení, ...
DOHA, Katar: Vzhledem k tomu, že je parodontitida i onemocnění COVID-19 spojováno se systémovým zánětem, zkoumali vědci z Katarské univerzity a ...
Mít bílé zuby (zářivý úsměv) je módním trendem již dlouhou dobu. Světlý zářivý odstín zubů byl dokonce esteticky žádoucí i v době, kdy...
BUDAPEŠŤ, Maďarsko: Umělá inteligence (AI) rychle a zásadně proměňuje stomatologii, přičemž její vliv je obzvlášť patrný v oblasti ...
V současné době se díky očekávané větší délce života dostává do povědomí ...
Účel preparace systému kořenových kanálků je dobře znám a současné techniky zahrnují použití ...
Živý webinář
Po. 20 dubna 2026
7:00 (CET) Prague
Dr. Alberto Monje DDS, MS, PhD
Živý webinář
St. 22 dubna 2026
5:00 (CET) Prague
MDT Andreas Chatzimpatzakis
Živý webinář
St. 22 dubna 2026
5:00 (CET) Prague
Živý webinář
St. 22 dubna 2026
6:00 (CET) Prague
Živý webinář
Čt. 23 dubna 2026
5:00 (CET) Prague
Živý webinář
Čt. 23 dubna 2026
6:30 (CET) Prague
Živý webinář
Čt. 23 dubna 2026
7:00 (CET) Prague
To post a reply please login or register