Search Dental Tribune

Zkratka po rychlé digitální dráze: Přesná reprodukce provizorních náhrad s IPS e.max Press® Multi

Fáze navrhování: drobné úpravy během fáze navrhování (Fotografie: Dr. Hyun-Jun Jung)
Dr. Hyun-Jun Jung a kol.

Dr. Hyun-Jun Jung a kol.

Pá. 14 června 2019

uložit

Tvar frontální náhrady podstatně ovlivňuje symetrii obrysů gingivy. Provizorní náhrady, které se osvědčily jako vhodné z hlediska funkce i estetiky, umožňují s pomocí digitálních metod přesnou výrobu definitivních náhrad.

Nepříznivě umístěné zuby a/nebo asymetrický obrys měkkých tkání představují pro rekonstrukci v již tak náročné frontální oblasti podstatný problém. Aby bylo možno dosáhnout přirozeně vypadajícího výsledku, musí být tvar a odstín náhrady vhodně přizpůsoben zbývajícím zubům, a navíc je potřeba vhodně upravit měkké tkáně. V mnoha případech použije stomatologický tým nejprve provizorní náhrady, takže lze účinně vyřešit klinické a estetické požadavky týkající se gingivy.

Kazuistika

33letý pacient se dostavil do naší ordinace na konzultaci ohledně defektů po rovnátkách odstraněných po třech letech ortodontické léčby. Požádal nás o ošetření kariézních lézí v zubech a o vylepšení vzhledu úsměvu. První estetická analýza odhalila nepříznivý poměr délky vůči šířce u frontálních zubů (obr. 1). V důsledku toho si pacient přál prodloužení frontálních zubů. Horní levý špičák bylo nutno endodonticky ošetřit z důvodu pokročilé nekrózy dřeňové tkáně.

Plánování

Naším plánem bylo rekonstruovat horní frontální zuby. Při výběru nejvhodnějšího materiálu na náhrady jsme zohlednili skutečnost, že pacient rád jedl tvrdé oříšky. Kromě toho uvedl, že má zlozvyk v noci skřípat zuby a zatínat čelisti. Frontální zuby by proto měly být nejen funkční a estetické, ale také velice pevné a odolné. Naplánovali jsme zhotovení šesti celokeramických korunek, s jejichž pomocí zajistíme optimalizaci poměru délky vůči šířce (prodloužení zubů) a vyrovnání gingiválního obrysu.

Výrobní technika a volba materiálů

Z důvodu minimalizace rizika zlomení keramických náhrad jsme se rozhodli použít lithium disilikátovou keramiku IPS e.max® Press, která vykazuje vysokou pevnost 470 MPa a vynikající estetiku. Kromě monochromatických presovacích ingotů obsahuje tento keramický systém také polychromatický materiál (obr. 2). Ingoty IPS e.max® Press Multi se používají k výrobě vysoce estetických monolitických náhrad, které nevyžadují žádné individualizace. Disponují přirozeným přechodem odstínů a translucence mezi dentinovými a incizálními oblastmi.

Presovací technika, která zahrnuje použití plně anatomického wax-upu, nabízí rychlý a nekomplikovaný způsob výroby korunek. Navíc nám presovací technika umožňuje reprodukovat jemné gingivální obrysy s téměř naprostou přesností. U náhrad zhotovovaných po vrstvách se keramika někdy smršťuje, díky čemuž je obtížné přesně replikovat gingivální obrysy z provizorních náhrad. Podle našeho názoru má keramika IPS e.max® Press Multi dvě rozhodující výhody: Za prvé její skladba a prostup odstínů imituje přirozené zuby v krčkové a incizální oblasti, což umožňuje zhotovování estetických náhrad bez nutnosti individualizace fazetovací keramikou. Za druhé má IPS e.max® Press Multi dobré translucentní vlastnosti, které umožňují potřebný přenos světla.

Klinické ošetření

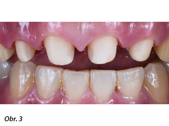
Nejprve bylo provedeno endodontické ošetření a byly odstraněny kariézní léze. Poté byly zuby rekonstruovány kompozitními výplněmi. Frontální zuby vyžadující ošetření byly vhodně preparovány (obr. 3) a byly nasazeny provizorní korunky (obr. 4). Pravý postranní řezák byl prodloužen. Provizorní korunky pomohly při podpoře gingiválních obrysů a vytvoření symetrického vzhledu. Jakmile bylo dosaženo potřebné symetrie zubů a gingiválních tkání, byly zuby preparovány pro definitivní náhrady (obr. 5) a byly zhotoveny otisky.

 

Zaujala vás ukázka článku?

Celý článek můžete prostudovat v příslušném vydání časopisu Digital CZ/SK 1/2019
stáhněte jej ve formátu PDF

 

Dr. Hyun-Jun Jung, Soul, Jižní Korea

Kyung-Sik Park, Soul, Jižní Korea

Kontakt:
Heal Dental Clinic
309, Gangseo hillstate shopping center
242, Gangseo-ro, Gangseo-gu
Seoul, Südkorea
healdentalclinic@gmail.com

Štítky:
advertisement
advertisement